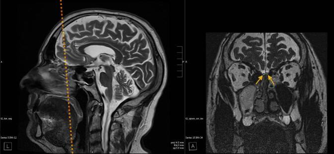
[嗅球的体积测定-嗅觉障碍客观化的一个组成部分]。

IF 1.3 4区 医学 Q4 OTORHINOLARYNGOLOGY
Hno Pub Date : 2025-10-01 Epub Date: 2025-09-04 DOI:10.1007/s00106-025-01650-z
Stefanie Keweloh, Jörg-Michael Nebel, Daniel Overhoff, Stephan Waldeck
{"title":"[嗅球的体积测定-嗅觉障碍客观化的一个组成部分]。","authors":"Stefanie Keweloh, Jörg-Michael Nebel, Daniel Overhoff, Stephan Waldeck","doi":"10.1007/s00106-025-01650-z","DOIUrl":null,"url":null,"abstract":"<p><p>Disorders of olfaction are a frequent reason for an assessment in otorhinolaryngology. Particularly when the results of subjective and/or objective olfactometry are inconclusive, additional objective findings are required to verify disorders of the sense of smell. Based on practical experience and considering the current literature, this article is intended as an aid in the preparation of supplementary radiological reports. The importance of comprehensive up to date standard imaging including olfactory bulb volumetry in addition to a detailed medical history and, if applicable, previous findings should be emphasized. In addition to the documentation of alterations in the anatomical structures involved in olfaction, which support the reported disorders in the sense of smell, special neuroradiological examination sequences for the visualization of the olfactory bulb, including a volumetric measurement of the same, can provide an objective component for the assessment of sometimes only subjectively existing disorders of the sense of smell. In the majority of cases no valid comparative volumetry can be derived from a possibly pre-existing imaging study. Therefore, a comparison with olfactory bulb reference values, determined in studies for the presumed etiology and the extent of the disorder reported/determined by olfactometry is the only way to put the olfactory bulb volume in an almost objective relationship to the function of the sense of smell reported and/or determined by olfactometry.</p>","PeriodicalId":55052,"journal":{"name":"Hno","volume":" ","pages":"682-689"},"PeriodicalIF":1.3000,"publicationDate":"2025-10-01","publicationTypes":"Journal Article","fieldsOfStudy":null,"isOpenAccess":false,"openAccessPdf":"https://www.ncbi.nlm.nih.gov/pmc/articles/PMC12457542/pdf/","citationCount":"0","resultStr":"{\"title\":\"[Volumetry of the olfactory bulb - One component in the objectification of disorders of the sense of smell].\",\"authors\":\"Stefanie Keweloh, Jörg-Michael Nebel, Daniel Overhoff, Stephan Waldeck\",\"doi\":\"10.1007/s00106-025-01650-z\",\"DOIUrl\":null,\"url\":null,\"abstract\":\"<p><p>Disorders of olfaction are a frequent reason for an assessment in otorhinolaryngology. Particularly when the results of subjective and/or objective olfactometry are inconclusive, additional objective findings are required to verify disorders of the sense of smell. Based on practical experience and considering the current literature, this article is intended as an aid in the preparation of supplementary radiological reports. The importance of comprehensive up to date standard imaging including olfactory bulb volumetry in addition to a detailed medical history and, if applicable, previous findings should be emphasized. In addition to the documentation of alterations in the anatomical structures involved in olfaction, which support the reported disorders in the sense of smell, special neuroradiological examination sequences for the visualization of the olfactory bulb, including a volumetric measurement of the same, can provide an objective component for the assessment of sometimes only subjectively existing disorders of the sense of smell. In the majority of cases no valid comparative volumetry can be derived from a possibly pre-existing imaging study. Therefore, a comparison with olfactory bulb reference values, determined in studies for the presumed etiology and the extent of the disorder reported/determined by olfactometry is the only way to put the olfactory bulb volume in an almost objective relationship to the function of the sense of smell reported and/or determined by olfactometry.</p>\",\"PeriodicalId\":55052,\"journal\":{\"name\":\"Hno\",\"volume\":\" \",\"pages\":\"682-689\"},\"PeriodicalIF\":1.3000,\"publicationDate\":\"2025-10-01\",\"publicationTypes\":\"Journal Article\",\"fieldsOfStudy\":null,\"isOpenAccess\":false,\"openAccessPdf\":\"https://www.ncbi.nlm.nih.gov/pmc/articles/PMC12457542/pdf/\",\"citationCount\":\"0\",\"resultStr\":null,\"platform\":\"Semanticscholar\",\"paperid\":null,\"PeriodicalName\":\"Hno\",\"FirstCategoryId\":\"3\",\"ListUrlMain\":\"https://doi.org/10.1007/s00106-025-01650-z\",\"RegionNum\":4,\"RegionCategory\":\"医学\",\"ArticlePicture\":[],\"TitleCN\":null,\"AbstractTextCN\":null,\"PMCID\":null,\"EPubDate\":\"2025/9/4 0:00:00\",\"PubModel\":\"Epub\",\"JCR\":\"Q4\",\"JCRName\":\"OTORHINOLARYNGOLOGY\",\"Score\":null,\"Total\":0}","platform":"Semanticscholar","paperid":null,"PeriodicalName":"Hno","FirstCategoryId":"3","ListUrlMain":"https://doi.org/10.1007/s00106-025-01650-z","RegionNum":4,"RegionCategory":"医学","ArticlePicture":[],"TitleCN":null,"AbstractTextCN":null,"PMCID":null,"EPubDate":"2025/9/4 0:00:00","PubModel":"Epub","JCR":"Q4","JCRName":"OTORHINOLARYNGOLOGY","Score":null,"Total":0}
引用次数: 0

摘要

嗅觉障碍是耳鼻喉科评估的常见原因。特别是当主观和/或客观嗅觉测量的结果不确定时,需要额外的客观发现来验证嗅觉障碍。根据实际经验,并考虑到目前的文献,这篇文章的目的是作为辅助准备补充放射学报告。除了详细的病史和既往发现(如果适用)外,还应强调综合最新标准影像学的重要性,包括嗅球体积测定。除了与嗅觉有关的解剖结构的改变的文献,这支持了报道的嗅觉障碍,特殊的嗅球可视化神经放射学检查序列,包括体积测量,可以为评估有时仅主观存在的嗅觉障碍提供客观成分。在大多数情况下,没有有效的比较体积可以从可能预先存在的影像学研究中得出。因此,与嗅球参考值进行比较,在研究中确定了假定的病因和由嗅测法报告/确定的疾病程度,这是将嗅球体积与报告和/或由嗅测法确定的嗅觉功能保持几乎客观关系的唯一方法。
本文章由计算机程序翻译,如有差异,请以英文原文为准。

[Volumetry of the olfactory bulb - One component in the objectification of disorders of the sense of smell].

[Volumetry of the olfactory bulb - One component in the objectification of disorders of the sense of smell].

[Volumetry of the olfactory bulb - One component in the objectification of disorders of the sense of smell].

[Volumetry of the olfactory bulb - One component in the objectification of disorders of the sense of smell].

Disorders of olfaction are a frequent reason for an assessment in otorhinolaryngology. Particularly when the results of subjective and/or objective olfactometry are inconclusive, additional objective findings are required to verify disorders of the sense of smell. Based on practical experience and considering the current literature, this article is intended as an aid in the preparation of supplementary radiological reports. The importance of comprehensive up to date standard imaging including olfactory bulb volumetry in addition to a detailed medical history and, if applicable, previous findings should be emphasized. In addition to the documentation of alterations in the anatomical structures involved in olfaction, which support the reported disorders in the sense of smell, special neuroradiological examination sequences for the visualization of the olfactory bulb, including a volumetric measurement of the same, can provide an objective component for the assessment of sometimes only subjectively existing disorders of the sense of smell. In the majority of cases no valid comparative volumetry can be derived from a possibly pre-existing imaging study. Therefore, a comparison with olfactory bulb reference values, determined in studies for the presumed etiology and the extent of the disorder reported/determined by olfactometry is the only way to put the olfactory bulb volume in an almost objective relationship to the function of the sense of smell reported and/or determined by olfactometry.

求助全文
通过发布文献求助,成功后即可免费获取论文全文。 去求助
来源期刊
Hno
Hno 医学-耳鼻喉科学
CiteScore
1.50
自引率
33.30%
发文量
116
审稿时长
4-8 weeks
期刊介绍: HNO is an internationally recognized journal and addresses all ENT specialists in practices and clinics dealing with all aspects of ENT medicine, e.g. prevention, diagnostic methods, complication management, modern therapy strategies and surgical procedures. Review articles provide an overview on selected topics and offer the reader a summary of current findings from all fields of ENT medicine. Freely submitted original papers allow the presentation of important clinical studies and serve the scientific exchange. Case reports feature interesting cases and aim at optimizing diagnostic and therapeutic strategies. Review articles under the rubric ''Continuing Medical Education'' present verified results of scientific research and their integration into daily practice.
×
引用
GB/T 7714-2015
复制
MLA
复制
APA
复制
导出至
BibTeX EndNote RefMan NoteFirst NoteExpress
×
提示
您的信息不完整,为了账户安全,请先补充。
现在去补充
×
提示
您因"违规操作"
具体请查看互助需知
我知道了
×
提示
确定
请完成安全验证×
copy
已复制链接
快去分享给好友吧!
我知道了
右上角分享
点击右上角分享
0
联系我们:info@booksci.cn Book学术提供免费学术资源搜索服务,方便国内外学者检索中英文文献。致力于提供最便捷和优质的服务体验。 Copyright © 2023 布克学术 All rights reserved.
京ICP备2023020795号-1
ghs 京公网安备 11010802042870号
Book学术文献互助
Book学术文献互助群
群 号:604180095
Book学术官方微信
小红书