套筒胃切除术后肠系膜静脉血栓1例并文献复习。

IF 0.7 Q3 MEDICINE, GENERAL & INTERNAL
Jóse Sergio Verboonen Sotelo, Jaime Ponce de León Palomares, Jeffry Romero Manzano, Hector Joaquin Pérez Corzo, Jesus Antonio Villalobos López, Gustavo Adolfo Linden Pérez-Gavilán, Guillermo Vega Tostado, Gabriela Verboonen Partida
{"title":"套筒胃切除术后肠系膜静脉血栓1例并文献复习。","authors":"Jóse Sergio Verboonen Sotelo, Jaime Ponce de León Palomares, Jeffry Romero Manzano, Hector Joaquin Pérez Corzo, Jesus Antonio Villalobos López, Gustavo Adolfo Linden Pérez-Gavilán, Guillermo Vega Tostado, Gabriela Verboonen Partida","doi":"10.12659/AJCR.947151","DOIUrl":null,"url":null,"abstract":"<p><p>BACKGROUND The prevalence of obesity has more than doubled since 1980. Consequently, bariatric surgery rates have risen significantly, increasing the need to address its complications. Portomesenteric venous thrombosis is a rare but potentially life-threatening complication, accounting for 5% to 15% of all mesenteric ischemic events. This case highlights the importance of considering portomesenteric vein thrombosis as a potential complication in bariatric surgery, especially in patients at high risk. CASE REPORT A 28-year-old woman with grade II obesity underwent elective laparoscopic sleeve gastrectomy. On postoperative day 7, she presented with diarrhea and vomiting (over 10 episodes in a weekend), dry mucosa, vague abdominal pain radiating to the lumbar region, and intolerance to oral intake. After 48 h with no improvement, a contrast-enhanced abdominal and pelvic computed tomography scan (January 7, 2024) revealed intravascular defects in the portal vein, superior mesenteric vein, and splenic vein, suggesting thrombosis. CONCLUSIONS The etiology of portomesenteric vein thrombosis following bariatric surgery is likely multifactorial. While the relationship between venous thromboembolism and obesity is well established, debates persist regarding the optimal duration of medical therapy after discharge, despite the existing preventive measures in the literature. Some 95% of surgeons administer anticoagulants for at least 10 to 14 days postoperatively, while 50% extend prophylaxis for up to 30 days, depending on individual risk factors. While gastric sleeve surgery offers substantial benefits for patients with obesity, the rising incidence of portal mesenteric thrombosis underscores the importance of proactive prevention and early detection strategies.</p>","PeriodicalId":39064,"journal":{"name":"American Journal of Case Reports","volume":"26 ","pages":"e947151"},"PeriodicalIF":0.7000,"publicationDate":"2025-09-03","publicationTypes":"Journal Article","fieldsOfStudy":null,"isOpenAccess":false,"openAccessPdf":"https://www.ncbi.nlm.nih.gov/pmc/articles/PMC12416343/pdf/","citationCount":"0","resultStr":"{\"title\":\"Portomesenteric Vein Thrombosis Following Sleeve Gastrectomy: A Case Report and Literature Review.\",\"authors\":\"Jóse Sergio Verboonen Sotelo, Jaime Ponce de León Palomares, Jeffry Romero Manzano, Hector Joaquin Pérez Corzo, Jesus Antonio Villalobos López, Gustavo Adolfo Linden Pérez-Gavilán, Guillermo Vega Tostado, Gabriela Verboonen Partida\",\"doi\":\"10.12659/AJCR.947151\",\"DOIUrl\":null,\"url\":null,\"abstract\":\"<p><p>BACKGROUND The prevalence of obesity has more than doubled since 1980. Consequently, bariatric surgery rates have risen significantly, increasing the need to address its complications. Portomesenteric venous thrombosis is a rare but potentially life-threatening complication, accounting for 5% to 15% of all mesenteric ischemic events. This case highlights the importance of considering portomesenteric vein thrombosis as a potential complication in bariatric surgery, especially in patients at high risk. CASE REPORT A 28-year-old woman with grade II obesity underwent elective laparoscopic sleeve gastrectomy. On postoperative day 7, she presented with diarrhea and vomiting (over 10 episodes in a weekend), dry mucosa, vague abdominal pain radiating to the lumbar region, and intolerance to oral intake. After 48 h with no improvement, a contrast-enhanced abdominal and pelvic computed tomography scan (January 7, 2024) revealed intravascular defects in the portal vein, superior mesenteric vein, and splenic vein, suggesting thrombosis. CONCLUSIONS The etiology of portomesenteric vein thrombosis following bariatric surgery is likely multifactorial. While the relationship between venous thromboembolism and obesity is well established, debates persist regarding the optimal duration of medical therapy after discharge, despite the existing preventive measures in the literature. Some 95% of surgeons administer anticoagulants for at least 10 to 14 days postoperatively, while 50% extend prophylaxis for up to 30 days, depending on individual risk factors. While gastric sleeve surgery offers substantial benefits for patients with obesity, the rising incidence of portal mesenteric thrombosis underscores the importance of proactive prevention and early detection strategies.</p>\",\"PeriodicalId\":39064,\"journal\":{\"name\":\"American Journal of Case Reports\",\"volume\":\"26 \",\"pages\":\"e947151\"},\"PeriodicalIF\":0.7000,\"publicationDate\":\"2025-09-03\",\"publicationTypes\":\"Journal Article\",\"fieldsOfStudy\":null,\"isOpenAccess\":false,\"openAccessPdf\":\"https://www.ncbi.nlm.nih.gov/pmc/articles/PMC12416343/pdf/\",\"citationCount\":\"0\",\"resultStr\":null,\"platform\":\"Semanticscholar\",\"paperid\":null,\"PeriodicalName\":\"American Journal of Case Reports\",\"FirstCategoryId\":\"1085\",\"ListUrlMain\":\"https://doi.org/10.12659/AJCR.947151\",\"RegionNum\":0,\"RegionCategory\":null,\"ArticlePicture\":[],\"TitleCN\":null,\"AbstractTextCN\":null,\"PMCID\":null,\"EPubDate\":\"\",\"PubModel\":\"\",\"JCR\":\"Q3\",\"JCRName\":\"MEDICINE, GENERAL & INTERNAL\",\"Score\":null,\"Total\":0}","platform":"Semanticscholar","paperid":null,"PeriodicalName":"American Journal of Case Reports","FirstCategoryId":"1085","ListUrlMain":"https://doi.org/10.12659/AJCR.947151","RegionNum":0,"RegionCategory":null,"ArticlePicture":[],"TitleCN":null,"AbstractTextCN":null,"PMCID":null,"EPubDate":"","PubModel":"","JCR":"Q3","JCRName":"MEDICINE, GENERAL & INTERNAL","Score":null,"Total":0}
引用次数: 0

摘要

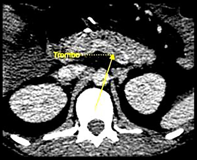
背景:自1980年以来,肥胖症的患病率增加了一倍多。因此,减肥手术率显著上升,增加了解决其并发症的需要。肠系膜静脉血栓形成是一种罕见但可能危及生命的并发症,占所有肠系膜缺血性事件的5%至15%。本病例强调了将肠系膜静脉血栓形成作为减肥手术的潜在并发症的重要性,特别是在高危患者中。病例报告一名28岁的II级肥胖女性接受了选择性腹腔镜袖式胃切除术。术后第7天,患者出现腹泻和呕吐(周末10次以上),黏膜干燥,模糊腹痛放射至腰部,口服不耐受。48小时后,没有任何改善,2024年1月7日,腹部和骨盆增强计算机断层扫描显示门静脉、肠系膜上静脉和脾静脉血管内缺损,提示血栓形成。结论:减肥手术后肠门静脉血栓形成的病因可能是多因素的。虽然静脉血栓栓塞与肥胖之间的关系已经确立,但尽管文献中已有预防措施,但关于出院后药物治疗的最佳持续时间仍存在争议。约95%的外科医生会在术后至少10至14天内使用抗凝剂,而50%的医生会将预防延长至30天,具体时间取决于个人的危险因素。虽然胃套管手术为肥胖患者提供了实质性的好处,但门脉肠系膜血栓形成的发病率不断上升,强调了积极预防和早期发现策略的重要性。
本文章由计算机程序翻译,如有差异,请以英文原文为准。

Portomesenteric Vein Thrombosis Following Sleeve Gastrectomy: A Case Report and Literature Review.

Portomesenteric Vein Thrombosis Following Sleeve Gastrectomy: A Case Report and Literature Review.

Portomesenteric Vein Thrombosis Following Sleeve Gastrectomy: A Case Report and Literature Review.

Portomesenteric Vein Thrombosis Following Sleeve Gastrectomy: A Case Report and Literature Review.

BACKGROUND The prevalence of obesity has more than doubled since 1980. Consequently, bariatric surgery rates have risen significantly, increasing the need to address its complications. Portomesenteric venous thrombosis is a rare but potentially life-threatening complication, accounting for 5% to 15% of all mesenteric ischemic events. This case highlights the importance of considering portomesenteric vein thrombosis as a potential complication in bariatric surgery, especially in patients at high risk. CASE REPORT A 28-year-old woman with grade II obesity underwent elective laparoscopic sleeve gastrectomy. On postoperative day 7, she presented with diarrhea and vomiting (over 10 episodes in a weekend), dry mucosa, vague abdominal pain radiating to the lumbar region, and intolerance to oral intake. After 48 h with no improvement, a contrast-enhanced abdominal and pelvic computed tomography scan (January 7, 2024) revealed intravascular defects in the portal vein, superior mesenteric vein, and splenic vein, suggesting thrombosis. CONCLUSIONS The etiology of portomesenteric vein thrombosis following bariatric surgery is likely multifactorial. While the relationship between venous thromboembolism and obesity is well established, debates persist regarding the optimal duration of medical therapy after discharge, despite the existing preventive measures in the literature. Some 95% of surgeons administer anticoagulants for at least 10 to 14 days postoperatively, while 50% extend prophylaxis for up to 30 days, depending on individual risk factors. While gastric sleeve surgery offers substantial benefits for patients with obesity, the rising incidence of portal mesenteric thrombosis underscores the importance of proactive prevention and early detection strategies.

求助全文
通过发布文献求助,成功后即可免费获取论文全文。 去求助
来源期刊
American Journal of Case Reports
American Journal of Case Reports Medicine-Medicine (all)
CiteScore
1.80
自引率
0.00%
发文量
599
期刊介绍: American Journal of Case Reports is an international, peer-reviewed scientific journal that publishes single and series case reports in all medical fields. American Journal of Case Reports is issued on a continuous basis as a primary electronic journal. Print copies of a single article or a set of articles can be ordered on demand.
×
引用
GB/T 7714-2015
复制
MLA
复制
APA
复制
导出至
BibTeX EndNote RefMan NoteFirst NoteExpress
×
提示
您的信息不完整,为了账户安全,请先补充。
现在去补充
×
提示
您因"违规操作"
具体请查看互助需知
我知道了
×
提示
确定
请完成安全验证×
copy
已复制链接
快去分享给好友吧!
我知道了
右上角分享
点击右上角分享
0
联系我们:info@booksci.cn Book学术提供免费学术资源搜索服务,方便国内外学者检索中英文文献。致力于提供最便捷和优质的服务体验。 Copyright © 2023 布克学术 All rights reserved.
京ICP备2023020795号-1
ghs 京公网安备 11010802042870号
Book学术文献互助
Book学术文献互助群
群 号:604180095
Book学术官方微信