单倍体造血干细胞移植后严重播散性腺病毒感染1例。

IF 0.7 Q3 MEDICINE, GENERAL & INTERNAL
Daniel Taehyun Yang, Nazmul Hasan, Dinora B Chinchilla, Emily Blodget
{"title":"单倍体造血干细胞移植后严重播散性腺病毒感染1例。","authors":"Daniel Taehyun Yang, Nazmul Hasan, Dinora B Chinchilla, Emily Blodget","doi":"10.12659/AJCR.947215","DOIUrl":null,"url":null,"abstract":"<p><p>BACKGROUND Adenoviruses are double-stranded DNA viruses capable of causing a spectrum of diseases from mild respiratory infections to severe systemic illnesses. Disseminated adenovirus is evidenced by gastrointestinal, pulmonary, genitourinary, neurologic and even cardiac involvement. In immunocompromised individuals, adenovirus infections can become severe and are often associated with significant morbidity and mortality. CASE REPORT A 52-year-old man with a history of large granular lymphocytic (LGL) leukemia underwent haploidentical hematopoietic stem cell transplantation (HSCT). His course was complicated by the diagnosis of hemorrhagic cystitis with findings of adenovirus. His condition rapidly declined, necessitating Intensive Care Unit (ICU) admission. Comprehensive workup identified adenovirus in the serum and cerebrospinal fluid (CSF), bronchoalveolar lavage fluid, and positive stool adenovirus. Echocardiographic evaluation revealed a moderate pericardial effusion requiring pericardiocentesis. Unfortunately, adenovirus testing of the aspirate could not be performed. Given the diagnosis of disseminated adenovirus infection, treatment with cidofovir and probenecid was initiated, but despite these interventions, the patient's status continued to deteriorate complicated by multiorgan failure and refractory shock. CONCLUSIONS This case underscores the complexity of diagnosing disseminated adenovirus, particularly given the potential for multiorgan system involvement. Early recognition is essential, such as viral polymerase chain reaction (PCR), playing a critical role in the identification and monitoring of infection. The case further emphasizes the pressing need for continued research into novel antiviral therapies and preventive measures to mitigate the risk of adenovirus in this vulnerable population.</p>","PeriodicalId":39064,"journal":{"name":"American Journal of Case Reports","volume":"26 ","pages":"e947215"},"PeriodicalIF":0.7000,"publicationDate":"2025-09-04","publicationTypes":"Journal Article","fieldsOfStudy":null,"isOpenAccess":false,"openAccessPdf":"https://www.ncbi.nlm.nih.gov/pmc/articles/PMC12418897/pdf/","citationCount":"0","resultStr":"{\"title\":\"Severe Disseminated Adenovirus Infection After Haploidentical Hematopoietic Stem Cell Transplantation: A Case Report.\",\"authors\":\"Daniel Taehyun Yang, Nazmul Hasan, Dinora B Chinchilla, Emily Blodget\",\"doi\":\"10.12659/AJCR.947215\",\"DOIUrl\":null,\"url\":null,\"abstract\":\"<p><p>BACKGROUND Adenoviruses are double-stranded DNA viruses capable of causing a spectrum of diseases from mild respiratory infections to severe systemic illnesses. Disseminated adenovirus is evidenced by gastrointestinal, pulmonary, genitourinary, neurologic and even cardiac involvement. In immunocompromised individuals, adenovirus infections can become severe and are often associated with significant morbidity and mortality. CASE REPORT A 52-year-old man with a history of large granular lymphocytic (LGL) leukemia underwent haploidentical hematopoietic stem cell transplantation (HSCT). His course was complicated by the diagnosis of hemorrhagic cystitis with findings of adenovirus. His condition rapidly declined, necessitating Intensive Care Unit (ICU) admission. Comprehensive workup identified adenovirus in the serum and cerebrospinal fluid (CSF), bronchoalveolar lavage fluid, and positive stool adenovirus. Echocardiographic evaluation revealed a moderate pericardial effusion requiring pericardiocentesis. Unfortunately, adenovirus testing of the aspirate could not be performed. Given the diagnosis of disseminated adenovirus infection, treatment with cidofovir and probenecid was initiated, but despite these interventions, the patient's status continued to deteriorate complicated by multiorgan failure and refractory shock. CONCLUSIONS This case underscores the complexity of diagnosing disseminated adenovirus, particularly given the potential for multiorgan system involvement. Early recognition is essential, such as viral polymerase chain reaction (PCR), playing a critical role in the identification and monitoring of infection. The case further emphasizes the pressing need for continued research into novel antiviral therapies and preventive measures to mitigate the risk of adenovirus in this vulnerable population.</p>\",\"PeriodicalId\":39064,\"journal\":{\"name\":\"American Journal of Case Reports\",\"volume\":\"26 \",\"pages\":\"e947215\"},\"PeriodicalIF\":0.7000,\"publicationDate\":\"2025-09-04\",\"publicationTypes\":\"Journal Article\",\"fieldsOfStudy\":null,\"isOpenAccess\":false,\"openAccessPdf\":\"https://www.ncbi.nlm.nih.gov/pmc/articles/PMC12418897/pdf/\",\"citationCount\":\"0\",\"resultStr\":null,\"platform\":\"Semanticscholar\",\"paperid\":null,\"PeriodicalName\":\"American Journal of Case Reports\",\"FirstCategoryId\":\"1085\",\"ListUrlMain\":\"https://doi.org/10.12659/AJCR.947215\",\"RegionNum\":0,\"RegionCategory\":null,\"ArticlePicture\":[],\"TitleCN\":null,\"AbstractTextCN\":null,\"PMCID\":null,\"EPubDate\":\"\",\"PubModel\":\"\",\"JCR\":\"Q3\",\"JCRName\":\"MEDICINE, GENERAL & INTERNAL\",\"Score\":null,\"Total\":0}","platform":"Semanticscholar","paperid":null,"PeriodicalName":"American Journal of Case Reports","FirstCategoryId":"1085","ListUrlMain":"https://doi.org/10.12659/AJCR.947215","RegionNum":0,"RegionCategory":null,"ArticlePicture":[],"TitleCN":null,"AbstractTextCN":null,"PMCID":null,"EPubDate":"","PubModel":"","JCR":"Q3","JCRName":"MEDICINE, GENERAL & INTERNAL","Score":null,"Total":0}
引用次数: 0

摘要

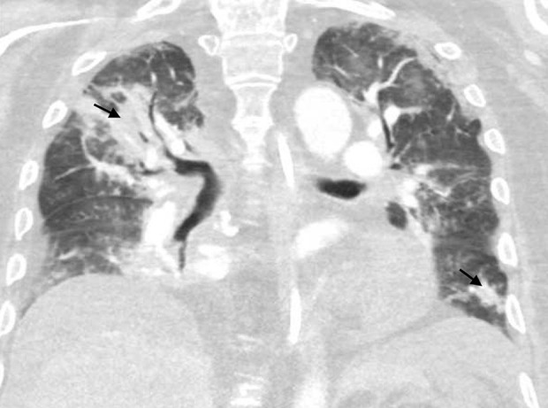
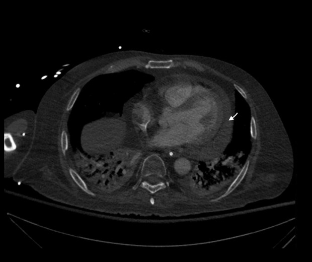
腺病毒是一种双链DNA病毒,能够引起从轻度呼吸道感染到严重全身性疾病的一系列疾病。播散性腺病毒可累及胃肠道、肺部、泌尿生殖系统、神经系统甚至心脏。在免疫功能低下的个体中,腺病毒感染可以变得严重,并且通常与显著的发病率和死亡率相关。病例报告一名有大颗粒淋巴细胞(LGL)白血病病史的52岁男性接受了单倍同卵造血干细胞移植(HSCT)。他的病程因出血性膀胱炎及腺病毒的发现而变得复杂。他的病情迅速恶化,需要进入重症监护病房(ICU)。综合检查发现血清和脑脊液(CSF)、支气管肺泡灌洗液中有腺病毒,大便腺病毒阳性。超声心动图评估显示中度心包积液需要心包穿刺。不幸的是,不能进行腺病毒检测。考虑到弥散性腺病毒感染的诊断,开始使用西多福韦和丙戊酸治疗,但尽管采取了这些干预措施,患者的状况继续恶化,并发多器官功能衰竭和难治性休克。结论:该病例强调了弥散性腺病毒诊断的复杂性,特别是考虑到可能累及多器官系统。早期识别至关重要,如病毒聚合酶链反应(PCR),在识别和监测感染中起着至关重要的作用。该病例进一步强调,迫切需要继续研究新的抗病毒疗法和预防措施,以减轻这一易感人群中腺病毒的风险。
本文章由计算机程序翻译,如有差异,请以英文原文为准。

Severe Disseminated Adenovirus Infection After Haploidentical Hematopoietic Stem Cell Transplantation: A Case Report.

Severe Disseminated Adenovirus Infection After Haploidentical Hematopoietic Stem Cell Transplantation: A Case Report.

Severe Disseminated Adenovirus Infection After Haploidentical Hematopoietic Stem Cell Transplantation: A Case Report.

BACKGROUND Adenoviruses are double-stranded DNA viruses capable of causing a spectrum of diseases from mild respiratory infections to severe systemic illnesses. Disseminated adenovirus is evidenced by gastrointestinal, pulmonary, genitourinary, neurologic and even cardiac involvement. In immunocompromised individuals, adenovirus infections can become severe and are often associated with significant morbidity and mortality. CASE REPORT A 52-year-old man with a history of large granular lymphocytic (LGL) leukemia underwent haploidentical hematopoietic stem cell transplantation (HSCT). His course was complicated by the diagnosis of hemorrhagic cystitis with findings of adenovirus. His condition rapidly declined, necessitating Intensive Care Unit (ICU) admission. Comprehensive workup identified adenovirus in the serum and cerebrospinal fluid (CSF), bronchoalveolar lavage fluid, and positive stool adenovirus. Echocardiographic evaluation revealed a moderate pericardial effusion requiring pericardiocentesis. Unfortunately, adenovirus testing of the aspirate could not be performed. Given the diagnosis of disseminated adenovirus infection, treatment with cidofovir and probenecid was initiated, but despite these interventions, the patient's status continued to deteriorate complicated by multiorgan failure and refractory shock. CONCLUSIONS This case underscores the complexity of diagnosing disseminated adenovirus, particularly given the potential for multiorgan system involvement. Early recognition is essential, such as viral polymerase chain reaction (PCR), playing a critical role in the identification and monitoring of infection. The case further emphasizes the pressing need for continued research into novel antiviral therapies and preventive measures to mitigate the risk of adenovirus in this vulnerable population.

求助全文
通过发布文献求助,成功后即可免费获取论文全文。 去求助
来源期刊
American Journal of Case Reports
American Journal of Case Reports Medicine-Medicine (all)
CiteScore
1.80
自引率
0.00%
发文量
599
期刊介绍: American Journal of Case Reports is an international, peer-reviewed scientific journal that publishes single and series case reports in all medical fields. American Journal of Case Reports is issued on a continuous basis as a primary electronic journal. Print copies of a single article or a set of articles can be ordered on demand.
×
引用
GB/T 7714-2015
复制
MLA
复制
APA
复制
导出至
BibTeX EndNote RefMan NoteFirst NoteExpress
×
提示
您的信息不完整,为了账户安全,请先补充。
现在去补充
×
提示
您因"违规操作"
具体请查看互助需知
我知道了
×
提示
确定
请完成安全验证×
copy
已复制链接
快去分享给好友吧!
我知道了
右上角分享
点击右上角分享
0
联系我们:info@booksci.cn Book学术提供免费学术资源搜索服务,方便国内外学者检索中英文文献。致力于提供最便捷和优质的服务体验。 Copyright © 2023 布克学术 All rights reserved.
京ICP备2023020795号-1
ghs 京公网安备 11010802042870号
Book学术文献互助
Book学术文献互助群
群 号:604180095
Book学术官方微信