疑似创伤后下颌冠状增生及髁突发育不全2例报告并文献复习。

IF 0.9 Q4 DENTISTRY, ORAL SURGERY & MEDICINE
Case Reports in Dentistry Pub Date : 2025-08-26 eCollection Date: 2025-01-01 DOI:10.1155/crid/8940005
Areeg Elmusrati, Mariela Padilla
{"title":"疑似创伤后下颌冠状增生及髁突发育不全2例报告并文献复习。","authors":"Areeg Elmusrati, Mariela Padilla","doi":"10.1155/crid/8940005","DOIUrl":null,"url":null,"abstract":"<p><p>Changes in the size of the coronoid process, due to hyperplasia or hypoplasia, may interfere with the normal range of mouth opening. Coronoid hyperplasia is a rare oral and maxillofacial disease which might result in progressive limitation of mouth opening due to the impingement of an abnormal elongated mandibular coronoid process on the zygomatic arch. This condition presents with clinical challenges due to its nonspecific nature of complaints that present in patients. It is characterized by gradual painless restriction of mouth opening. Currently, the exact etiopathology still remains inconclusive; however, genetic, hormonal, inflammatory, or traumatic influences have been reported. In this paper, the authors present two case reports of adults with suspected unilateral posttraumatic coronoid hyperplasia and developmental condylar hypoplasia that have a history of physical trauma inflicted during adolescence. Provided is a succinct update of literature to highlight the etiopathogenesis, significance of accurate diagnosis, and tailored treatment modalities in achieving favorable outcomes to restore function and esthetics.</p>","PeriodicalId":46841,"journal":{"name":"Case Reports in Dentistry","volume":"2025 ","pages":"8940005"},"PeriodicalIF":0.9000,"publicationDate":"2025-08-26","publicationTypes":"Journal Article","fieldsOfStudy":null,"isOpenAccess":false,"openAccessPdf":"https://www.ncbi.nlm.nih.gov/pmc/articles/PMC12404837/pdf/","citationCount":"0","resultStr":"{\"title\":\"Suspected Posttraumatic Mandibular Coronoid Hyperplasia and Condylar Hypoplasia: Two Case Reports and Literature Review.\",\"authors\":\"Areeg Elmusrati, Mariela Padilla\",\"doi\":\"10.1155/crid/8940005\",\"DOIUrl\":null,\"url\":null,\"abstract\":\"<p><p>Changes in the size of the coronoid process, due to hyperplasia or hypoplasia, may interfere with the normal range of mouth opening. Coronoid hyperplasia is a rare oral and maxillofacial disease which might result in progressive limitation of mouth opening due to the impingement of an abnormal elongated mandibular coronoid process on the zygomatic arch. This condition presents with clinical challenges due to its nonspecific nature of complaints that present in patients. It is characterized by gradual painless restriction of mouth opening. Currently, the exact etiopathology still remains inconclusive; however, genetic, hormonal, inflammatory, or traumatic influences have been reported. In this paper, the authors present two case reports of adults with suspected unilateral posttraumatic coronoid hyperplasia and developmental condylar hypoplasia that have a history of physical trauma inflicted during adolescence. Provided is a succinct update of literature to highlight the etiopathogenesis, significance of accurate diagnosis, and tailored treatment modalities in achieving favorable outcomes to restore function and esthetics.</p>\",\"PeriodicalId\":46841,\"journal\":{\"name\":\"Case Reports in Dentistry\",\"volume\":\"2025 \",\"pages\":\"8940005\"},\"PeriodicalIF\":0.9000,\"publicationDate\":\"2025-08-26\",\"publicationTypes\":\"Journal Article\",\"fieldsOfStudy\":null,\"isOpenAccess\":false,\"openAccessPdf\":\"https://www.ncbi.nlm.nih.gov/pmc/articles/PMC12404837/pdf/\",\"citationCount\":\"0\",\"resultStr\":null,\"platform\":\"Semanticscholar\",\"paperid\":null,\"PeriodicalName\":\"Case Reports in Dentistry\",\"FirstCategoryId\":\"1085\",\"ListUrlMain\":\"https://doi.org/10.1155/crid/8940005\",\"RegionNum\":0,\"RegionCategory\":null,\"ArticlePicture\":[],\"TitleCN\":null,\"AbstractTextCN\":null,\"PMCID\":null,\"EPubDate\":\"2025/1/1 0:00:00\",\"PubModel\":\"eCollection\",\"JCR\":\"Q4\",\"JCRName\":\"DENTISTRY, ORAL SURGERY & MEDICINE\",\"Score\":null,\"Total\":0}","platform":"Semanticscholar","paperid":null,"PeriodicalName":"Case Reports in Dentistry","FirstCategoryId":"1085","ListUrlMain":"https://doi.org/10.1155/crid/8940005","RegionNum":0,"RegionCategory":null,"ArticlePicture":[],"TitleCN":null,"AbstractTextCN":null,"PMCID":null,"EPubDate":"2025/1/1 0:00:00","PubModel":"eCollection","JCR":"Q4","JCRName":"DENTISTRY, ORAL SURGERY & MEDICINE","Score":null,"Total":0}
引用次数: 0

摘要

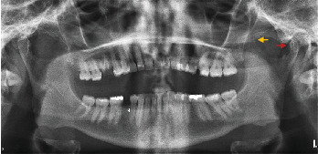
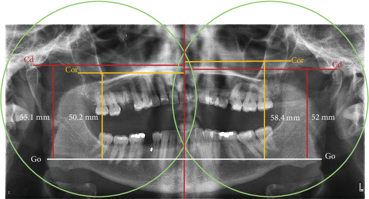
冠突的大小变化,由于增生或发育不全,可能会干扰正常的张嘴范围。摘要冠状突增生症是一种罕见的口腔颌面疾病,由于下颌冠状突的异常延长与颧弓的撞击,导致开口逐渐受限。这种情况提出了临床挑战,由于其非特异性性质的投诉,目前在患者。它的特点是逐渐无痛地限制张嘴。目前,确切的病因仍然没有定论;然而,遗传、激素、炎症或创伤的影响也有报道。在本文中,作者提出了两个病例报告的成年人怀疑单侧创伤后冠状增生和发育性髁发育不全,有历史的物理创伤造成的青春期。提供了一份简明的文献更新,以强调病因,准确诊断的意义,以及在恢复功能和美学方面实现有利结果的量身定制的治疗方式。
本文章由计算机程序翻译,如有差异,请以英文原文为准。

Suspected Posttraumatic Mandibular Coronoid Hyperplasia and Condylar Hypoplasia: Two Case Reports and Literature Review.

Suspected Posttraumatic Mandibular Coronoid Hyperplasia and Condylar Hypoplasia: Two Case Reports and Literature Review.

Suspected Posttraumatic Mandibular Coronoid Hyperplasia and Condylar Hypoplasia: Two Case Reports and Literature Review.

Suspected Posttraumatic Mandibular Coronoid Hyperplasia and Condylar Hypoplasia: Two Case Reports and Literature Review.

Changes in the size of the coronoid process, due to hyperplasia or hypoplasia, may interfere with the normal range of mouth opening. Coronoid hyperplasia is a rare oral and maxillofacial disease which might result in progressive limitation of mouth opening due to the impingement of an abnormal elongated mandibular coronoid process on the zygomatic arch. This condition presents with clinical challenges due to its nonspecific nature of complaints that present in patients. It is characterized by gradual painless restriction of mouth opening. Currently, the exact etiopathology still remains inconclusive; however, genetic, hormonal, inflammatory, or traumatic influences have been reported. In this paper, the authors present two case reports of adults with suspected unilateral posttraumatic coronoid hyperplasia and developmental condylar hypoplasia that have a history of physical trauma inflicted during adolescence. Provided is a succinct update of literature to highlight the etiopathogenesis, significance of accurate diagnosis, and tailored treatment modalities in achieving favorable outcomes to restore function and esthetics.

求助全文
通过发布文献求助,成功后即可免费获取论文全文。 去求助
来源期刊
Case Reports in Dentistry
Case Reports in Dentistry DENTISTRY, ORAL SURGERY & MEDICINE-
CiteScore
1.40
自引率
12.50%
发文量
107
审稿时长
14 weeks
期刊介绍: Case Reports in Dentistry is a peer-reviewed, Open Access journal that publishes case reports and case series in all areas of dentistry, including periodontal diseases, dental implants, oral pathology, as well as oral and maxillofacial surgery.
×
引用
GB/T 7714-2015
复制
MLA
复制
APA
复制
导出至
BibTeX EndNote RefMan NoteFirst NoteExpress
×
提示
您的信息不完整,为了账户安全,请先补充。
现在去补充
×
提示
您因"违规操作"
具体请查看互助需知
我知道了
×
提示
确定
请完成安全验证×
copy
已复制链接
快去分享给好友吧!
我知道了
右上角分享
点击右上角分享
0
联系我们:info@booksci.cn Book学术提供免费学术资源搜索服务,方便国内外学者检索中英文文献。致力于提供最便捷和优质的服务体验。 Copyright © 2023 布克学术 All rights reserved.
京ICP备2023020795号-1
ghs 京公网安备 11010802042870号
Book学术文献互助
Book学术文献互助群
群 号:604180095
Book学术官方微信