协同封闭胸膜间隙:胸腔镜下滑石粉和IPC联合治疗恶性胸腔积液a例。

IF 0.8 Q4 RESPIRATORY SYSTEM
Respirology Case Reports Pub Date : 2025-09-02 eCollection Date: 2025-09-01 DOI:10.1002/rcr2.70331
Mas Fazlin Mohamad Jailaini, Azat Azrai Azmel, Mohd Zulkifli Mohd Zain, Mohamed Faisal Abdul Hamid
{"title":"协同封闭胸膜间隙:胸腔镜下滑石粉和IPC联合治疗恶性胸腔积液a例。","authors":"Mas Fazlin Mohamad Jailaini, Azat Azrai Azmel, Mohd Zulkifli Mohd Zain, Mohamed Faisal Abdul Hamid","doi":"10.1002/rcr2.70331","DOIUrl":null,"url":null,"abstract":"<p><p>Management of malignant pleural effusion (MPE) via medical thoracoscopy presents a clinical challenge, particularly when deciding whether to proceed with talc poudrage during the same setting. This decision is often complicated by uncertainty about lung re-expansion and the potential failure of pleurodesis. We describe a series of three patients with cancer-associated MPE who underwent medical thoracoscopy with talc poudrage combined with indwelling pleural catheter (IPC) insertion. This combined approach served as a practical and effective strategy, offering immediate symptom relief, facilitating early pleural symphysis when feasible, and providing a reliable fallback option in cases of non-expanding lung. The dual-modality technique highlights a safe, flexible pathway for managing MPE with improved procedural confidence and patient-centred outcomes. We report 3 cases of MPE successfully achieving pleurodesis with a combination of talc poudrage and IPC, resulting in removal of IPC on follow-up.</p>","PeriodicalId":45846,"journal":{"name":"Respirology Case Reports","volume":"13 9","pages":"e70331"},"PeriodicalIF":0.8000,"publicationDate":"2025-09-02","publicationTypes":"Journal Article","fieldsOfStudy":null,"isOpenAccess":false,"openAccessPdf":"https://www.ncbi.nlm.nih.gov/pmc/articles/PMC12402579/pdf/","citationCount":"0","resultStr":"{\"title\":\"Synergistic Sealing of the Pleural Space: Combining Thoracoscopic Talc Poudrage and IPC for Malignant Pleural Effusion-A Case Series.\",\"authors\":\"Mas Fazlin Mohamad Jailaini, Azat Azrai Azmel, Mohd Zulkifli Mohd Zain, Mohamed Faisal Abdul Hamid\",\"doi\":\"10.1002/rcr2.70331\",\"DOIUrl\":null,\"url\":null,\"abstract\":\"<p><p>Management of malignant pleural effusion (MPE) via medical thoracoscopy presents a clinical challenge, particularly when deciding whether to proceed with talc poudrage during the same setting. This decision is often complicated by uncertainty about lung re-expansion and the potential failure of pleurodesis. We describe a series of three patients with cancer-associated MPE who underwent medical thoracoscopy with talc poudrage combined with indwelling pleural catheter (IPC) insertion. This combined approach served as a practical and effective strategy, offering immediate symptom relief, facilitating early pleural symphysis when feasible, and providing a reliable fallback option in cases of non-expanding lung. The dual-modality technique highlights a safe, flexible pathway for managing MPE with improved procedural confidence and patient-centred outcomes. We report 3 cases of MPE successfully achieving pleurodesis with a combination of talc poudrage and IPC, resulting in removal of IPC on follow-up.</p>\",\"PeriodicalId\":45846,\"journal\":{\"name\":\"Respirology Case Reports\",\"volume\":\"13 9\",\"pages\":\"e70331\"},\"PeriodicalIF\":0.8000,\"publicationDate\":\"2025-09-02\",\"publicationTypes\":\"Journal Article\",\"fieldsOfStudy\":null,\"isOpenAccess\":false,\"openAccessPdf\":\"https://www.ncbi.nlm.nih.gov/pmc/articles/PMC12402579/pdf/\",\"citationCount\":\"0\",\"resultStr\":null,\"platform\":\"Semanticscholar\",\"paperid\":null,\"PeriodicalName\":\"Respirology Case Reports\",\"FirstCategoryId\":\"1085\",\"ListUrlMain\":\"https://doi.org/10.1002/rcr2.70331\",\"RegionNum\":0,\"RegionCategory\":null,\"ArticlePicture\":[],\"TitleCN\":null,\"AbstractTextCN\":null,\"PMCID\":null,\"EPubDate\":\"2025/9/1 0:00:00\",\"PubModel\":\"eCollection\",\"JCR\":\"Q4\",\"JCRName\":\"RESPIRATORY SYSTEM\",\"Score\":null,\"Total\":0}","platform":"Semanticscholar","paperid":null,"PeriodicalName":"Respirology Case Reports","FirstCategoryId":"1085","ListUrlMain":"https://doi.org/10.1002/rcr2.70331","RegionNum":0,"RegionCategory":null,"ArticlePicture":[],"TitleCN":null,"AbstractTextCN":null,"PMCID":null,"EPubDate":"2025/9/1 0:00:00","PubModel":"eCollection","JCR":"Q4","JCRName":"RESPIRATORY SYSTEM","Score":null,"Total":0}
引用次数: 0

摘要

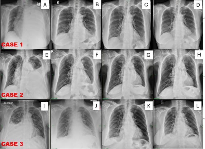
通过医学胸腔镜治疗恶性胸腔积液(MPE)是一项临床挑战,特别是在决定是否在同一情况下继续使用滑石粉时。由于肺再扩张的不确定性和胸膜切除术的潜在失败,这个决定往往很复杂。我们报道了3例癌症相关性MPE患者,他们接受了滑石粉粉末联合留置胸膜导管(IPC)的医学胸腔镜检查。这种联合入路是一种实用有效的策略,可以立即缓解症状,在可行的情况下促进早期胸膜联合,并在肺不扩张的情况下提供可靠的后备选择。双模技术强调了管理MPE的安全,灵活的途径,提高了手术信心和以患者为中心的结果。我们报告了3例MPE通过滑石粉和IPC联合成功实现胸膜固定术,并在随访中切除了IPC。
本文章由计算机程序翻译,如有差异,请以英文原文为准。

Synergistic Sealing of the Pleural Space: Combining Thoracoscopic Talc Poudrage and IPC for Malignant Pleural Effusion-A Case Series.

Synergistic Sealing of the Pleural Space: Combining Thoracoscopic Talc Poudrage and IPC for Malignant Pleural Effusion-A Case Series.

Synergistic Sealing of the Pleural Space: Combining Thoracoscopic Talc Poudrage and IPC for Malignant Pleural Effusion-A Case Series.

Synergistic Sealing of the Pleural Space: Combining Thoracoscopic Talc Poudrage and IPC for Malignant Pleural Effusion-A Case Series.

Management of malignant pleural effusion (MPE) via medical thoracoscopy presents a clinical challenge, particularly when deciding whether to proceed with talc poudrage during the same setting. This decision is often complicated by uncertainty about lung re-expansion and the potential failure of pleurodesis. We describe a series of three patients with cancer-associated MPE who underwent medical thoracoscopy with talc poudrage combined with indwelling pleural catheter (IPC) insertion. This combined approach served as a practical and effective strategy, offering immediate symptom relief, facilitating early pleural symphysis when feasible, and providing a reliable fallback option in cases of non-expanding lung. The dual-modality technique highlights a safe, flexible pathway for managing MPE with improved procedural confidence and patient-centred outcomes. We report 3 cases of MPE successfully achieving pleurodesis with a combination of talc poudrage and IPC, resulting in removal of IPC on follow-up.

求助全文
通过发布文献求助,成功后即可免费获取论文全文。 去求助
来源期刊
Respirology Case Reports
Respirology Case Reports RESPIRATORY SYSTEM-
CiteScore
1.40
自引率
0.00%
发文量
178
审稿时长
8 weeks
期刊介绍: Respirology Case Reports is an open-access online journal dedicated to the publication of original clinical case reports, case series, clinical images and clinical videos in all fields of respiratory medicine. The Journal encourages the international exchange between clinicians and researchers of experiences in diagnosing and treating uncommon diseases or diseases with unusual presentations. All manuscripts are peer-reviewed through a streamlined process that aims at providing a rapid turnaround time from submission to publication.
×
引用
GB/T 7714-2015
复制
MLA
复制
APA
复制
导出至
BibTeX EndNote RefMan NoteFirst NoteExpress
×
提示
您的信息不完整,为了账户安全,请先补充。
现在去补充
×
提示
您因"违规操作"
具体请查看互助需知
我知道了
×
提示
确定
请完成安全验证×
copy
已复制链接
快去分享给好友吧!
我知道了
右上角分享
点击右上角分享
0
联系我们:info@booksci.cn Book学术提供免费学术资源搜索服务,方便国内外学者检索中英文文献。致力于提供最便捷和优质的服务体验。 Copyright © 2023 布克学术 All rights reserved.
京ICP备2023020795号-1
ghs 京公网安备 11010802042870号
Book学术文献互助
Book学术文献互助群
群 号:604180095
Book学术官方微信