间变性淋巴瘤激酶-重排胸壁-未分化小圆细胞肉瘤伴大量胸腔积液并迅速进展1例尸检报告。

IF 2.3 3区 医学 Q3 ONCOLOGY
Toshiki Amioka, Kaori Okayasu, Shoko Iwanaga, Mio Yamamoto, Mizuho Tosaka, Toshihisa Ishikawa, Tsutomu Kawasaki, Takehiko Shimoyama, Jiro Kumagai
{"title":"间变性淋巴瘤激酶-重排胸壁-未分化小圆细胞肉瘤伴大量胸腔积液并迅速进展1例尸检报告。","authors":"Toshiki Amioka, Kaori Okayasu, Shoko Iwanaga, Mio Yamamoto, Mizuho Tosaka, Toshihisa Ishikawa, Tsutomu Kawasaki, Takehiko Shimoyama, Jiro Kumagai","doi":"10.1111/1759-7714.70160","DOIUrl":null,"url":null,"abstract":"<p><p>Chest wall sarcomas are rare and may exhibit aggressive behavior, posing diagnostic challenges-particularly in young adults. Although multidisciplinary treatments involving chemotherapy, radiotherapy, and surgery are recommended, prognosis remains poor. We report a case of a 43-year-old man referred with left-sided chest pain, dyspnea, and massive pleural effusion. Cytological analysis of the effusion and biopsy revealed small, round, atypical cells, and initial immunohistochemistry suggested Ewing sarcoma. During workup, the patient's symptoms worsened, tumor lysis syndrome developed, and he died on hospital day 28. Autopsy and extended immunohistochemical testing indicated small round cell sarcoma. Molecular analysis identified an echinoderm microtubule-associated protein-like 4 (EML4)-anaplastic lymphoma kinase (ALK) fusion gene. The final diagnosis was small round cell sarcoma with EML4-ALK fusion originating from the thoracic wall. This case highlights the importance of early presentation and timely diagnosis using next generation sequencing to facilitate targeted therapy for ALK-rearranged chest wall sarcomas and improve patient outcomes.</p>","PeriodicalId":23338,"journal":{"name":"Thoracic Cancer","volume":"16 17","pages":"e70160"},"PeriodicalIF":2.3000,"publicationDate":"2025-09-01","publicationTypes":"Journal Article","fieldsOfStudy":null,"isOpenAccess":false,"openAccessPdf":"https://www.ncbi.nlm.nih.gov/pmc/articles/PMC12409067/pdf/","citationCount":"0","resultStr":"{\"title\":\"Anaplastic Lymphoma Kinase-Rearranged Chest Wall-Undifferentiated Small Round Cell Sarcoma With Massive Pleural Effusion and Rapid Progression: A Case With Autopsy Report.\",\"authors\":\"Toshiki Amioka, Kaori Okayasu, Shoko Iwanaga, Mio Yamamoto, Mizuho Tosaka, Toshihisa Ishikawa, Tsutomu Kawasaki, Takehiko Shimoyama, Jiro Kumagai\",\"doi\":\"10.1111/1759-7714.70160\",\"DOIUrl\":null,\"url\":null,\"abstract\":\"<p><p>Chest wall sarcomas are rare and may exhibit aggressive behavior, posing diagnostic challenges-particularly in young adults. Although multidisciplinary treatments involving chemotherapy, radiotherapy, and surgery are recommended, prognosis remains poor. We report a case of a 43-year-old man referred with left-sided chest pain, dyspnea, and massive pleural effusion. Cytological analysis of the effusion and biopsy revealed small, round, atypical cells, and initial immunohistochemistry suggested Ewing sarcoma. During workup, the patient's symptoms worsened, tumor lysis syndrome developed, and he died on hospital day 28. Autopsy and extended immunohistochemical testing indicated small round cell sarcoma. Molecular analysis identified an echinoderm microtubule-associated protein-like 4 (EML4)-anaplastic lymphoma kinase (ALK) fusion gene. The final diagnosis was small round cell sarcoma with EML4-ALK fusion originating from the thoracic wall. This case highlights the importance of early presentation and timely diagnosis using next generation sequencing to facilitate targeted therapy for ALK-rearranged chest wall sarcomas and improve patient outcomes.</p>\",\"PeriodicalId\":23338,\"journal\":{\"name\":\"Thoracic Cancer\",\"volume\":\"16 17\",\"pages\":\"e70160\"},\"PeriodicalIF\":2.3000,\"publicationDate\":\"2025-09-01\",\"publicationTypes\":\"Journal Article\",\"fieldsOfStudy\":null,\"isOpenAccess\":false,\"openAccessPdf\":\"https://www.ncbi.nlm.nih.gov/pmc/articles/PMC12409067/pdf/\",\"citationCount\":\"0\",\"resultStr\":null,\"platform\":\"Semanticscholar\",\"paperid\":null,\"PeriodicalName\":\"Thoracic Cancer\",\"FirstCategoryId\":\"3\",\"ListUrlMain\":\"https://doi.org/10.1111/1759-7714.70160\",\"RegionNum\":3,\"RegionCategory\":\"医学\",\"ArticlePicture\":[],\"TitleCN\":null,\"AbstractTextCN\":null,\"PMCID\":null,\"EPubDate\":\"\",\"PubModel\":\"\",\"JCR\":\"Q3\",\"JCRName\":\"ONCOLOGY\",\"Score\":null,\"Total\":0}","platform":"Semanticscholar","paperid":null,"PeriodicalName":"Thoracic Cancer","FirstCategoryId":"3","ListUrlMain":"https://doi.org/10.1111/1759-7714.70160","RegionNum":3,"RegionCategory":"医学","ArticlePicture":[],"TitleCN":null,"AbstractTextCN":null,"PMCID":null,"EPubDate":"","PubModel":"","JCR":"Q3","JCRName":"ONCOLOGY","Score":null,"Total":0}
引用次数: 0

摘要

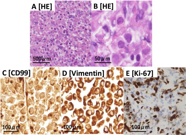
胸壁肉瘤是罕见的,可能表现出侵略性的行为,提出诊断挑战-特别是在年轻人。虽然多学科治疗包括化疗,放疗和手术推荐,预后仍然很差。我们报告一例43岁的男性,因左侧胸痛、呼吸困难和大量胸腔积液而就诊。积液的细胞学分析和活检显示小,圆,非典型细胞,初步免疫组化提示尤文氏肉瘤。随访期间,患者症状恶化,出现肿瘤溶解综合征,于住院第28天死亡。尸体解剖及免疫组化检查显示为小圆细胞肉瘤。分子分析鉴定出一个棘皮微管相关蛋白样4 (EML4)-间变性淋巴瘤激酶(ALK)融合基因。最终诊断为起源于胸壁的EML4-ALK融合小圆细胞肉瘤。该病例强调了早期表现和及时诊断的重要性,利用下一代测序技术促进对alk重排胸壁肉瘤的靶向治疗并改善患者预后。
本文章由计算机程序翻译,如有差异,请以英文原文为准。

Anaplastic Lymphoma Kinase-Rearranged Chest Wall-Undifferentiated Small Round Cell Sarcoma With Massive Pleural Effusion and Rapid Progression: A Case With Autopsy Report.

Anaplastic Lymphoma Kinase-Rearranged Chest Wall-Undifferentiated Small Round Cell Sarcoma With Massive Pleural Effusion and Rapid Progression: A Case With Autopsy Report.

Anaplastic Lymphoma Kinase-Rearranged Chest Wall-Undifferentiated Small Round Cell Sarcoma With Massive Pleural Effusion and Rapid Progression: A Case With Autopsy Report.

Anaplastic Lymphoma Kinase-Rearranged Chest Wall-Undifferentiated Small Round Cell Sarcoma With Massive Pleural Effusion and Rapid Progression: A Case With Autopsy Report.

Chest wall sarcomas are rare and may exhibit aggressive behavior, posing diagnostic challenges-particularly in young adults. Although multidisciplinary treatments involving chemotherapy, radiotherapy, and surgery are recommended, prognosis remains poor. We report a case of a 43-year-old man referred with left-sided chest pain, dyspnea, and massive pleural effusion. Cytological analysis of the effusion and biopsy revealed small, round, atypical cells, and initial immunohistochemistry suggested Ewing sarcoma. During workup, the patient's symptoms worsened, tumor lysis syndrome developed, and he died on hospital day 28. Autopsy and extended immunohistochemical testing indicated small round cell sarcoma. Molecular analysis identified an echinoderm microtubule-associated protein-like 4 (EML4)-anaplastic lymphoma kinase (ALK) fusion gene. The final diagnosis was small round cell sarcoma with EML4-ALK fusion originating from the thoracic wall. This case highlights the importance of early presentation and timely diagnosis using next generation sequencing to facilitate targeted therapy for ALK-rearranged chest wall sarcomas and improve patient outcomes.

求助全文
通过发布文献求助,成功后即可免费获取论文全文。 去求助
来源期刊
Thoracic Cancer
Thoracic Cancer ONCOLOGY-RESPIRATORY SYSTEM
CiteScore
5.20
自引率
3.40%
发文量
439
审稿时长
2 months
期刊介绍: Thoracic Cancer aims to facilitate international collaboration and exchange of comprehensive and cutting-edge information on basic, translational, and applied clinical research in lung cancer, esophageal cancer, mediastinal cancer, breast cancer and other thoracic malignancies. Prevention, treatment and research relevant to Asia-Pacific is a focus area, but submissions from all regions are welcomed. The editors encourage contributions relevant to prevention, general thoracic surgery, medical oncology, radiology, radiation medicine, pathology, basic cancer research, as well as epidemiological and translational studies in thoracic cancer. Thoracic Cancer is the official publication of the Chinese Society of Lung Cancer, International Chinese Society of Thoracic Surgery and is endorsed by the Korean Association for the Study of Lung Cancer and the Hong Kong Cancer Therapy Society. The Journal publishes a range of article types including: Editorials, Invited Reviews, Mini Reviews, Original Articles, Clinical Guidelines, Technological Notes, Imaging in thoracic cancer, Meeting Reports, Case Reports, Letters to the Editor, Commentaries, and Brief Reports.
×
引用
GB/T 7714-2015
复制
MLA
复制
APA
复制
导出至
BibTeX EndNote RefMan NoteFirst NoteExpress
×
提示
您的信息不完整,为了账户安全,请先补充。
现在去补充
×
提示
您因"违规操作"
具体请查看互助需知
我知道了
×
提示
确定
请完成安全验证×
copy
已复制链接
快去分享给好友吧!
我知道了
右上角分享
点击右上角分享
0
联系我们:info@booksci.cn Book学术提供免费学术资源搜索服务,方便国内外学者检索中英文文献。致力于提供最便捷和优质的服务体验。 Copyright © 2023 布克学术 All rights reserved.
京ICP备2023020795号-1
ghs 京公网安备 11010802042870号
Book学术文献互助
Book学术文献互助群
群 号:604180095
Book学术官方微信