帕利珠单抗治疗免疫正常成人严重呼吸道合胞病毒感染:一个病例系列。

IF 2.9 3区 医学 Q2 INFECTIOUS DISEASES
Infection and Drug Resistance Pub Date : 2025-08-28 eCollection Date: 2025-01-01 DOI:10.2147/IDR.S528785
Jun-Yu Zhong, Ting-Kuang Yeh, Hsien-Po Huang, Chun-Mei Ho, Po-Yu Liu, Yun-Ching Fu
{"title":"帕利珠单抗治疗免疫正常成人严重呼吸道合胞病毒感染:一个病例系列。","authors":"Jun-Yu Zhong, Ting-Kuang Yeh, Hsien-Po Huang, Chun-Mei Ho, Po-Yu Liu, Yun-Ching Fu","doi":"10.2147/IDR.S528785","DOIUrl":null,"url":null,"abstract":"<p><strong>Background: </strong>Respiratory syncytial virus (RSV) is a significant cause of lower respiratory tract infections in adults, particularly the elderly, and can lead to severe outcomes, including respiratory failure. Current treatment options for RSV in immunocompetent adults are limited to supportive care.</p><p><strong>Objective: </strong>This case series aims to describe the clinical course and outcomes of two immunocompetent adults with severe RSV infection treated with Palivizumab, a monoclonal antibody against RSV.</p><p><strong>Methods: </strong>We report two cases: a 92-year-old female with a history of hypertension and a previous meningioma resection, and a 42-year-old female with no significant past medical history. Both presented with severe respiratory symptoms, were diagnosed with RSV infection via PCR, and received a single dose of intramuscular Palivizumab (approximately 12-13 mg/kg) after initial clinical deterioration despite supportive care and empiric antibiotic therapy.</p><p><strong>Results: </strong>Following Palivizumab administration, both patients exhibited clinical improvement, including resolution of fever and improvement in oxygenation and radiographic findings. Both patients were discharged in stable condition without the need for supplemental oxygen.</p><p><strong>Conclusion: </strong>These cases suggest that Palivizumab may be a potential therapeutic option for severe RSV infection in immunocompetent adults. Further research, including randomized controlled trials, is needed to confirm these preliminary findings and establish optimal dosing and treatment protocols.</p>","PeriodicalId":13577,"journal":{"name":"Infection and Drug Resistance","volume":"18 ","pages":"4455-4460"},"PeriodicalIF":2.9000,"publicationDate":"2025-08-28","publicationTypes":"Journal Article","fieldsOfStudy":null,"isOpenAccess":false,"openAccessPdf":"https://www.ncbi.nlm.nih.gov/pmc/articles/PMC12402706/pdf/","citationCount":"0","resultStr":"{\"title\":\"Palivizumab for Severe Respiratory Syncytial Virus Infection in Immunocompetent Adults: A Case Series.\",\"authors\":\"Jun-Yu Zhong, Ting-Kuang Yeh, Hsien-Po Huang, Chun-Mei Ho, Po-Yu Liu, Yun-Ching Fu\",\"doi\":\"10.2147/IDR.S528785\",\"DOIUrl\":null,\"url\":null,\"abstract\":\"<p><strong>Background: </strong>Respiratory syncytial virus (RSV) is a significant cause of lower respiratory tract infections in adults, particularly the elderly, and can lead to severe outcomes, including respiratory failure. Current treatment options for RSV in immunocompetent adults are limited to supportive care.</p><p><strong>Objective: </strong>This case series aims to describe the clinical course and outcomes of two immunocompetent adults with severe RSV infection treated with Palivizumab, a monoclonal antibody against RSV.</p><p><strong>Methods: </strong>We report two cases: a 92-year-old female with a history of hypertension and a previous meningioma resection, and a 42-year-old female with no significant past medical history. Both presented with severe respiratory symptoms, were diagnosed with RSV infection via PCR, and received a single dose of intramuscular Palivizumab (approximately 12-13 mg/kg) after initial clinical deterioration despite supportive care and empiric antibiotic therapy.</p><p><strong>Results: </strong>Following Palivizumab administration, both patients exhibited clinical improvement, including resolution of fever and improvement in oxygenation and radiographic findings. Both patients were discharged in stable condition without the need for supplemental oxygen.</p><p><strong>Conclusion: </strong>These cases suggest that Palivizumab may be a potential therapeutic option for severe RSV infection in immunocompetent adults. Further research, including randomized controlled trials, is needed to confirm these preliminary findings and establish optimal dosing and treatment protocols.</p>\",\"PeriodicalId\":13577,\"journal\":{\"name\":\"Infection and Drug Resistance\",\"volume\":\"18 \",\"pages\":\"4455-4460\"},\"PeriodicalIF\":2.9000,\"publicationDate\":\"2025-08-28\",\"publicationTypes\":\"Journal Article\",\"fieldsOfStudy\":null,\"isOpenAccess\":false,\"openAccessPdf\":\"https://www.ncbi.nlm.nih.gov/pmc/articles/PMC12402706/pdf/\",\"citationCount\":\"0\",\"resultStr\":null,\"platform\":\"Semanticscholar\",\"paperid\":null,\"PeriodicalName\":\"Infection and Drug Resistance\",\"FirstCategoryId\":\"3\",\"ListUrlMain\":\"https://doi.org/10.2147/IDR.S528785\",\"RegionNum\":3,\"RegionCategory\":\"医学\",\"ArticlePicture\":[],\"TitleCN\":null,\"AbstractTextCN\":null,\"PMCID\":null,\"EPubDate\":\"2025/1/1 0:00:00\",\"PubModel\":\"eCollection\",\"JCR\":\"Q2\",\"JCRName\":\"INFECTIOUS DISEASES\",\"Score\":null,\"Total\":0}","platform":"Semanticscholar","paperid":null,"PeriodicalName":"Infection and Drug Resistance","FirstCategoryId":"3","ListUrlMain":"https://doi.org/10.2147/IDR.S528785","RegionNum":3,"RegionCategory":"医学","ArticlePicture":[],"TitleCN":null,"AbstractTextCN":null,"PMCID":null,"EPubDate":"2025/1/1 0:00:00","PubModel":"eCollection","JCR":"Q2","JCRName":"INFECTIOUS DISEASES","Score":null,"Total":0}
引用次数: 0

摘要

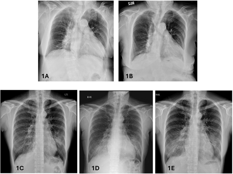
背景:呼吸道合胞病毒(RSV)是成年人,特别是老年人下呼吸道感染的重要原因,可导致包括呼吸衰竭在内的严重后果。目前免疫功能正常的成人呼吸道合胞病毒的治疗方案仅限于支持性治疗。目的:本病例系列旨在描述两名免疫功能正常的成人严重RSV感染患者接受抗RSV单克隆抗体帕利珠单抗治疗的临床过程和结果。方法:我们报告两例病例:一名92岁女性,既往有高血压病史和脑膜瘤切除术,另一名42岁女性,既往无明显病史。两名患者均出现严重的呼吸道症状,通过PCR诊断为RSV感染,并在最初的临床恶化后接受单剂量肌注帕利珠单抗(约12-13 mg/kg),尽管有支持治疗和经验性抗生素治疗。结果:在给予帕利珠单抗后,两名患者均表现出临床改善,包括发热消退、氧合改善和影像学表现。两例患者出院时情况稳定,无需补充氧气。结论:这些病例表明,帕利珠单抗可能是免疫功能正常的成人严重RSV感染的潜在治疗选择。需要进一步的研究,包括随机对照试验,以证实这些初步发现并确定最佳剂量和治疗方案。
本文章由计算机程序翻译,如有差异,请以英文原文为准。

Palivizumab for Severe Respiratory Syncytial Virus Infection in Immunocompetent Adults: A Case Series.

Palivizumab for Severe Respiratory Syncytial Virus Infection in Immunocompetent Adults: A Case Series.

Background: Respiratory syncytial virus (RSV) is a significant cause of lower respiratory tract infections in adults, particularly the elderly, and can lead to severe outcomes, including respiratory failure. Current treatment options for RSV in immunocompetent adults are limited to supportive care.

Objective: This case series aims to describe the clinical course and outcomes of two immunocompetent adults with severe RSV infection treated with Palivizumab, a monoclonal antibody against RSV.

Methods: We report two cases: a 92-year-old female with a history of hypertension and a previous meningioma resection, and a 42-year-old female with no significant past medical history. Both presented with severe respiratory symptoms, were diagnosed with RSV infection via PCR, and received a single dose of intramuscular Palivizumab (approximately 12-13 mg/kg) after initial clinical deterioration despite supportive care and empiric antibiotic therapy.

Results: Following Palivizumab administration, both patients exhibited clinical improvement, including resolution of fever and improvement in oxygenation and radiographic findings. Both patients were discharged in stable condition without the need for supplemental oxygen.

Conclusion: These cases suggest that Palivizumab may be a potential therapeutic option for severe RSV infection in immunocompetent adults. Further research, including randomized controlled trials, is needed to confirm these preliminary findings and establish optimal dosing and treatment protocols.

求助全文
通过发布文献求助,成功后即可免费获取论文全文。 去求助
来源期刊
Infection and Drug Resistance
Infection and Drug Resistance Medicine-Pharmacology (medical)
CiteScore
5.60
自引率
7.70%
发文量
826
审稿时长
16 weeks
期刊介绍: About Journal Editors Peer Reviewers Articles Article Publishing Charges Aims and Scope Call For Papers ISSN: 1178-6973 Editor-in-Chief: Professor Suresh Antony An international, peer-reviewed, open access journal that focuses on the optimal treatment of infection (bacterial, fungal and viral) and the development and institution of preventative strategies to minimize the development and spread of resistance.
×
引用
GB/T 7714-2015
复制
MLA
复制
APA
复制
导出至
BibTeX EndNote RefMan NoteFirst NoteExpress
×
提示
您的信息不完整,为了账户安全,请先补充。
现在去补充
×
提示
您因"违规操作"
具体请查看互助需知
我知道了
×
提示
确定
请完成安全验证×
copy
已复制链接
快去分享给好友吧!
我知道了
右上角分享
点击右上角分享
0
联系我们:info@booksci.cn Book学术提供免费学术资源搜索服务,方便国内外学者检索中英文文献。致力于提供最便捷和优质的服务体验。 Copyright © 2023 布克学术 All rights reserved.
京ICP备2023020795号-1
ghs 京公网安备 11010802042870号
Book学术文献互助
Book学术文献互助群
群 号:604180095
Book学术官方微信