蓝光视网膜损伤BALB/c小鼠模型的建立。

IF 1.4 Q3 Pharmacology, Toxicology and Pharmaceutics
Arief Wildan, Banundari Rachmawati, Arief Sjamsulaksan Kartasasmita, Fifin Luthfia Rahmi, Maharani, Hermawan Istiadi, Anditta Syifarahmah, Irwan Nurdiansyah, Noviana Fitri Wulandari, Shofia Salsabilah
{"title":"蓝光视网膜损伤BALB/c小鼠模型的建立。","authors":"Arief Wildan, Banundari Rachmawati, Arief Sjamsulaksan Kartasasmita, Fifin Luthfia Rahmi, Maharani, Hermawan Istiadi, Anditta Syifarahmah, Irwan Nurdiansyah, Noviana Fitri Wulandari, Shofia Salsabilah","doi":"10.4103/JAPTR.JAPTR_32_25","DOIUrl":null,"url":null,"abstract":"<p><p>Blue light exposure can damage the retina, resulting in retinal atrophy and significant vision loss. Currently, no efficient animal models can observe retinal damage caused by blue light within a defined timeframe. Creating a BALB/c mouse model for blue light-induced retinal damage is expected to enhance research focused on the prevention and treatment of age-related macular degeneration. This study explores the potential effect of blue light exposure on the BALB/c mice model by analysing apoptosis and retinal degeneration. Anatomical Pathology Laboratory of Diponegoro University and The Integrated Research and Testing Laboratory of Gadjah Mada University. This study design was a posttest-only control group design. Ten five-week-old BALB/c mice were divided into two groups. The exposure group received 10,000 lux of blue light in the special cage for 2 weeks, 3 h daily. Caspase-3 expression was assessed through polymerase chain reaction testing, and retinal thickness was analyzed using hematoxylin and eosin staining. We used the Shapiro-Wilk test to evaluate data normality. Parametric <i>t</i>-tests and nonparametric Mann-Whitney tests were applied to compare groups, with <i>P</i> < 0.05 considered significant. The average whole retinal thickness of the exposed group was 152.812 ± 20.919 µm, while the control group was 214.948 ± 53.284 µm (<i>P</i> = 0.04). The average caspase-3 expression in the exposed group was 19.03 ± 8.57 µm, while the control group was 5.78 ± 2.63 µm (<i>P</i> = 0.011). This approach, utilizing animal models for blue light exposure, can be employed to learn about retinal damage caused by blue light.</p>","PeriodicalId":14877,"journal":{"name":"Journal of Advanced Pharmaceutical Technology & Research","volume":"16 3","pages":"139-143"},"PeriodicalIF":1.4000,"publicationDate":"2025-07-01","publicationTypes":"Journal Article","fieldsOfStudy":null,"isOpenAccess":false,"openAccessPdf":"https://www.ncbi.nlm.nih.gov/pmc/articles/PMC12401520/pdf/","citationCount":"0","resultStr":"{\"title\":\"Development of a BALB/c mice model for blue light retinal damage.\",\"authors\":\"Arief Wildan, Banundari Rachmawati, Arief Sjamsulaksan Kartasasmita, Fifin Luthfia Rahmi, Maharani, Hermawan Istiadi, Anditta Syifarahmah, Irwan Nurdiansyah, Noviana Fitri Wulandari, Shofia Salsabilah\",\"doi\":\"10.4103/JAPTR.JAPTR_32_25\",\"DOIUrl\":null,\"url\":null,\"abstract\":\"<p><p>Blue light exposure can damage the retina, resulting in retinal atrophy and significant vision loss. Currently, no efficient animal models can observe retinal damage caused by blue light within a defined timeframe. Creating a BALB/c mouse model for blue light-induced retinal damage is expected to enhance research focused on the prevention and treatment of age-related macular degeneration. This study explores the potential effect of blue light exposure on the BALB/c mice model by analysing apoptosis and retinal degeneration. Anatomical Pathology Laboratory of Diponegoro University and The Integrated Research and Testing Laboratory of Gadjah Mada University. This study design was a posttest-only control group design. Ten five-week-old BALB/c mice were divided into two groups. The exposure group received 10,000 lux of blue light in the special cage for 2 weeks, 3 h daily. Caspase-3 expression was assessed through polymerase chain reaction testing, and retinal thickness was analyzed using hematoxylin and eosin staining. We used the Shapiro-Wilk test to evaluate data normality. Parametric <i>t</i>-tests and nonparametric Mann-Whitney tests were applied to compare groups, with <i>P</i> < 0.05 considered significant. The average whole retinal thickness of the exposed group was 152.812 ± 20.919 µm, while the control group was 214.948 ± 53.284 µm (<i>P</i> = 0.04). The average caspase-3 expression in the exposed group was 19.03 ± 8.57 µm, while the control group was 5.78 ± 2.63 µm (<i>P</i> = 0.011). This approach, utilizing animal models for blue light exposure, can be employed to learn about retinal damage caused by blue light.</p>\",\"PeriodicalId\":14877,\"journal\":{\"name\":\"Journal of Advanced Pharmaceutical Technology & Research\",\"volume\":\"16 3\",\"pages\":\"139-143\"},\"PeriodicalIF\":1.4000,\"publicationDate\":\"2025-07-01\",\"publicationTypes\":\"Journal Article\",\"fieldsOfStudy\":null,\"isOpenAccess\":false,\"openAccessPdf\":\"https://www.ncbi.nlm.nih.gov/pmc/articles/PMC12401520/pdf/\",\"citationCount\":\"0\",\"resultStr\":null,\"platform\":\"Semanticscholar\",\"paperid\":null,\"PeriodicalName\":\"Journal of Advanced Pharmaceutical Technology & Research\",\"FirstCategoryId\":\"1085\",\"ListUrlMain\":\"https://doi.org/10.4103/JAPTR.JAPTR_32_25\",\"RegionNum\":0,\"RegionCategory\":null,\"ArticlePicture\":[],\"TitleCN\":null,\"AbstractTextCN\":null,\"PMCID\":null,\"EPubDate\":\"2025/8/9 0:00:00\",\"PubModel\":\"Epub\",\"JCR\":\"Q3\",\"JCRName\":\"Pharmacology, Toxicology and Pharmaceutics\",\"Score\":null,\"Total\":0}","platform":"Semanticscholar","paperid":null,"PeriodicalName":"Journal of Advanced Pharmaceutical Technology & Research","FirstCategoryId":"1085","ListUrlMain":"https://doi.org/10.4103/JAPTR.JAPTR_32_25","RegionNum":0,"RegionCategory":null,"ArticlePicture":[],"TitleCN":null,"AbstractTextCN":null,"PMCID":null,"EPubDate":"2025/8/9 0:00:00","PubModel":"Epub","JCR":"Q3","JCRName":"Pharmacology, Toxicology and Pharmaceutics","Score":null,"Total":0}
引用次数: 0

摘要

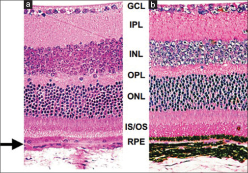
蓝光照射会损害视网膜,导致视网膜萎缩和严重的视力丧失。目前,没有有效的动物模型可以在规定的时间内观察到蓝光引起的视网膜损伤。建立蓝光诱导视网膜损伤的BALB/c小鼠模型有望加强对年龄相关性黄斑变性预防和治疗的研究。本研究通过分析细胞凋亡和视网膜变性,探讨蓝光照射对BALB/c小鼠模型的潜在影响。Diponegoro大学解剖病理学实验室和Gadjah Mada大学综合研究与测试实验室。本研究设计为纯后测对照组设计。10只5周龄BALB/c小鼠分为两组。暴露组在专用笼中接受10000勒克斯蓝光照射,连续2周,每天3小时。采用聚合酶链反应检测Caspase-3表达,苏木精和伊红染色检测视网膜厚度。我们使用Shapiro-Wilk检验来评估数据的正态性。比较组采用参数t检验和非参数Mann-Whitney检验,以P < 0.05为差异有统计学意义。暴露组视网膜全层平均厚度为152.812±20.919µm,对照组为214.948±53.284µm (P = 0.04)。暴露组caspase-3平均表达量为19.03±8.57µm,对照组为5.78±2.63µm (P = 0.011)。这种方法利用蓝光暴露的动物模型,可以用来了解蓝光引起的视网膜损伤。
本文章由计算机程序翻译,如有差异,请以英文原文为准。

Development of a BALB/c mice model for blue light retinal damage.

Development of a BALB/c mice model for blue light retinal damage.

Development of a BALB/c mice model for blue light retinal damage.

Development of a BALB/c mice model for blue light retinal damage.

Blue light exposure can damage the retina, resulting in retinal atrophy and significant vision loss. Currently, no efficient animal models can observe retinal damage caused by blue light within a defined timeframe. Creating a BALB/c mouse model for blue light-induced retinal damage is expected to enhance research focused on the prevention and treatment of age-related macular degeneration. This study explores the potential effect of blue light exposure on the BALB/c mice model by analysing apoptosis and retinal degeneration. Anatomical Pathology Laboratory of Diponegoro University and The Integrated Research and Testing Laboratory of Gadjah Mada University. This study design was a posttest-only control group design. Ten five-week-old BALB/c mice were divided into two groups. The exposure group received 10,000 lux of blue light in the special cage for 2 weeks, 3 h daily. Caspase-3 expression was assessed through polymerase chain reaction testing, and retinal thickness was analyzed using hematoxylin and eosin staining. We used the Shapiro-Wilk test to evaluate data normality. Parametric t-tests and nonparametric Mann-Whitney tests were applied to compare groups, with P < 0.05 considered significant. The average whole retinal thickness of the exposed group was 152.812 ± 20.919 µm, while the control group was 214.948 ± 53.284 µm (P = 0.04). The average caspase-3 expression in the exposed group was 19.03 ± 8.57 µm, while the control group was 5.78 ± 2.63 µm (P = 0.011). This approach, utilizing animal models for blue light exposure, can be employed to learn about retinal damage caused by blue light.

求助全文
通过发布文献求助,成功后即可免费获取论文全文。 去求助
来源期刊
CiteScore
2.00
自引率
7.10%
发文量
44
审稿时长
20 weeks
期刊介绍: Journal of Advanced Pharmaceutical Technology & Research (JAPTR) is an Official Publication of Society of Pharmaceutical Education & Research™. It is an international journal published Quarterly. Journal of Advanced Pharmaceutical Technology & Research (JAPTR) is available in online and print version. It is a peer reviewed journal aiming to communicate high quality original research work, reviews, short communications, case report, Ethics Forum, Education Forum and Letter to editor that contribute significantly to further the scientific knowledge related to the field of Pharmacy i.e. Pharmaceutics, Pharmacology, Pharmacognosy, Pharmaceutical Chemistry. Articles with timely interest and newer research concepts will be given more preference.
×
引用
GB/T 7714-2015
复制
MLA
复制
APA
复制
导出至
BibTeX EndNote RefMan NoteFirst NoteExpress
×
提示
您的信息不完整,为了账户安全,请先补充。
现在去补充
×
提示
您因"违规操作"
具体请查看互助需知
我知道了
×
提示
确定
请完成安全验证×
copy
已复制链接
快去分享给好友吧!
我知道了
右上角分享
点击右上角分享
0
联系我们:info@booksci.cn Book学术提供免费学术资源搜索服务,方便国内外学者检索中英文文献。致力于提供最便捷和优质的服务体验。 Copyright © 2023 布克学术 All rights reserved.
京ICP备2023020795号-1
ghs 京公网安备 11010802042870号
Book学术文献互助
Book学术文献互助群
群 号:604180095
Book学术官方微信