致死性脐带出血引发新生儿死亡:来自病例分析的临床病理见解。

IF 2.6 4区 医学 Q2 OBSTETRICS & GYNECOLOGY
International Journal of Women's Health Pub Date : 2025-08-29 eCollection Date: 2025-01-01 DOI:10.2147/IJWH.S542329
Tianshui Yu, Baoqing Pei, Dong Zhao
{"title":"致死性脐带出血引发新生儿死亡:来自病例分析的临床病理见解。","authors":"Tianshui Yu, Baoqing Pei, Dong Zhao","doi":"10.2147/IJWH.S542329","DOIUrl":null,"url":null,"abstract":"<p><strong>Background: </strong>Umbilical cord hemorrhage (UCH) is a rare but catastrophic obstetric emergency associated with nearly 50% fetal mortality, and its precise pathogenic mechanisms remain elusive in clinical practice. The pathophysiological cascade involves hemorrhagic expansion from ruptured umbilical vessels predominantly the umbilical vein which generates compressive forces on adjacent umbilical arteries within the constrained Wharton's jelly. This acute vascular compromise precipitates the sudden cessation of fetoplacental circulation, culminating in irreversible hypoxic-ischemic injury. Although the pathogenesis of UCH is multifactorial, the structural vulnerabilities of the umbilical vessels particularly elastic fiber deficiencies in the umbilical vein remain understudied. This case report describes a clinical outcome characterized by multifocal hemorrhagic lesions along the umbilical cord resulting from congenital elastic fiber deficiency in the umbilical vein during the late gestational stages, culminating in neonatal death despite emergent intervention.</p><p><strong>Case report: </strong>A 31-year-old primigravida at 40<sup>+4</sup> weeks gestation presented with abdominal pain and vaginal bleeding. Ultrasonography revealed cephalic presentation with the umbilical cord encircling the neck and torso once each. Following abrupt fetal bradycardia (80 bpm), fetal membrane was artificially ruptured, resulting in the release of 10 mL of yellowish-green amniotic fluid, which was classified as thick and contaminated to degree III. An emergency cesarean section was performed, delivering a male neonate (3,670 g). The Apgar scores were 10/2/0 at 1/5/10 min. Despite T-piece ventilation and chest compressions, resuscitation failed, resulting in neonatal death. Histopathological and macroscopic autopsy analyses revealed umbilical cord hemorrhage accompanied by umbilical vascular anomalies, specifically demonstrating a significant deficiency or complete absence of elastic fibers within the umbilical vein wall.</p><p><strong>Conclusion: </strong>Umbilical vein dysplasia, characterized by elastic fiber deficiency, is an underrecognized yet critical contributor to perinatal hemorrhage-related mortality, particularly in cases of mechanical cord compression. We propose systematic elastin-specific histochemical evaluation as an essential component of postmortem protocols for unexplained intrauterine fetal demise. This evidence underscores the need to develop antenatal surveillance strategies targeting high-risk cord structural cord anomalies, specifically incorporating elastin-specific screening.</p>","PeriodicalId":14356,"journal":{"name":"International Journal of Women's Health","volume":"17 ","pages":"2741-2745"},"PeriodicalIF":2.6000,"publicationDate":"2025-08-29","publicationTypes":"Journal Article","fieldsOfStudy":null,"isOpenAccess":false,"openAccessPdf":"https://www.ncbi.nlm.nih.gov/pmc/articles/PMC12404251/pdf/","citationCount":"0","resultStr":"{\"title\":\"Fatal Umbilical Cord Hemorrhage Triggering Neonatal Demise: Clinicopathological Insights from the Case Analysis.\",\"authors\":\"Tianshui Yu, Baoqing Pei, Dong Zhao\",\"doi\":\"10.2147/IJWH.S542329\",\"DOIUrl\":null,\"url\":null,\"abstract\":\"<p><strong>Background: </strong>Umbilical cord hemorrhage (UCH) is a rare but catastrophic obstetric emergency associated with nearly 50% fetal mortality, and its precise pathogenic mechanisms remain elusive in clinical practice. The pathophysiological cascade involves hemorrhagic expansion from ruptured umbilical vessels predominantly the umbilical vein which generates compressive forces on adjacent umbilical arteries within the constrained Wharton's jelly. This acute vascular compromise precipitates the sudden cessation of fetoplacental circulation, culminating in irreversible hypoxic-ischemic injury. Although the pathogenesis of UCH is multifactorial, the structural vulnerabilities of the umbilical vessels particularly elastic fiber deficiencies in the umbilical vein remain understudied. This case report describes a clinical outcome characterized by multifocal hemorrhagic lesions along the umbilical cord resulting from congenital elastic fiber deficiency in the umbilical vein during the late gestational stages, culminating in neonatal death despite emergent intervention.</p><p><strong>Case report: </strong>A 31-year-old primigravida at 40<sup>+4</sup> weeks gestation presented with abdominal pain and vaginal bleeding. Ultrasonography revealed cephalic presentation with the umbilical cord encircling the neck and torso once each. Following abrupt fetal bradycardia (80 bpm), fetal membrane was artificially ruptured, resulting in the release of 10 mL of yellowish-green amniotic fluid, which was classified as thick and contaminated to degree III. An emergency cesarean section was performed, delivering a male neonate (3,670 g). The Apgar scores were 10/2/0 at 1/5/10 min. Despite T-piece ventilation and chest compressions, resuscitation failed, resulting in neonatal death. Histopathological and macroscopic autopsy analyses revealed umbilical cord hemorrhage accompanied by umbilical vascular anomalies, specifically demonstrating a significant deficiency or complete absence of elastic fibers within the umbilical vein wall.</p><p><strong>Conclusion: </strong>Umbilical vein dysplasia, characterized by elastic fiber deficiency, is an underrecognized yet critical contributor to perinatal hemorrhage-related mortality, particularly in cases of mechanical cord compression. We propose systematic elastin-specific histochemical evaluation as an essential component of postmortem protocols for unexplained intrauterine fetal demise. This evidence underscores the need to develop antenatal surveillance strategies targeting high-risk cord structural cord anomalies, specifically incorporating elastin-specific screening.</p>\",\"PeriodicalId\":14356,\"journal\":{\"name\":\"International Journal of Women's Health\",\"volume\":\"17 \",\"pages\":\"2741-2745\"},\"PeriodicalIF\":2.6000,\"publicationDate\":\"2025-08-29\",\"publicationTypes\":\"Journal Article\",\"fieldsOfStudy\":null,\"isOpenAccess\":false,\"openAccessPdf\":\"https://www.ncbi.nlm.nih.gov/pmc/articles/PMC12404251/pdf/\",\"citationCount\":\"0\",\"resultStr\":null,\"platform\":\"Semanticscholar\",\"paperid\":null,\"PeriodicalName\":\"International Journal of Women's Health\",\"FirstCategoryId\":\"3\",\"ListUrlMain\":\"https://doi.org/10.2147/IJWH.S542329\",\"RegionNum\":4,\"RegionCategory\":\"医学\",\"ArticlePicture\":[],\"TitleCN\":null,\"AbstractTextCN\":null,\"PMCID\":null,\"EPubDate\":\"2025/1/1 0:00:00\",\"PubModel\":\"eCollection\",\"JCR\":\"Q2\",\"JCRName\":\"OBSTETRICS & GYNECOLOGY\",\"Score\":null,\"Total\":0}","platform":"Semanticscholar","paperid":null,"PeriodicalName":"International Journal of Women's Health","FirstCategoryId":"3","ListUrlMain":"https://doi.org/10.2147/IJWH.S542329","RegionNum":4,"RegionCategory":"医学","ArticlePicture":[],"TitleCN":null,"AbstractTextCN":null,"PMCID":null,"EPubDate":"2025/1/1 0:00:00","PubModel":"eCollection","JCR":"Q2","JCRName":"OBSTETRICS & GYNECOLOGY","Score":null,"Total":0}
引用次数: 0

摘要

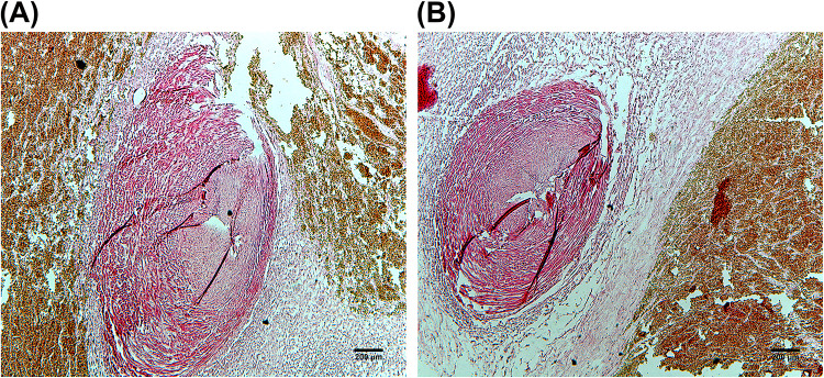
背景:脐带出血(UCH)是一种罕见但灾难性的产科急诊,与近50%的胎儿死亡率有关,其确切的致病机制在临床实践中尚不清楚。病理生理学级联涉及破裂的脐血管的出血扩张,主要是脐静脉,在受限的华氏胶内对邻近的脐动脉产生压缩力。这种急性血管损伤导致胎胎盘循环突然停止,最终导致不可逆的缺氧缺血性损伤。尽管UCH的发病机制是多因素的,但脐带血管的结构脆弱性,特别是脐静脉弹性纤维缺乏,仍未得到充分研究。本病例报告描述了一个临床结果,其特点是妊娠后期脐带静脉先天性弹性纤维缺乏导致脐带多灶性出血性病变,尽管紧急干预,最终导致新生儿死亡。病例报告:一例31岁妊娠40+4周的初孕妇女,表现为腹痛和阴道出血。超声检查显示头位表现,脐带环绕颈部和躯干各一次。突发性胎儿心动过缓(80次/分钟)后,人工破裂胎膜,释放黄绿色羊水10ml,判定为粘稠,污染程度为III级。进行了紧急剖宫产手术,产下一名男婴(3670克)。在1/5/10 min时Apgar评分为10/2/0。尽管进行了t字通气和胸部按压,但复苏失败,导致新生儿死亡。组织病理学和宏观解剖分析显示脐带出血伴有脐血管异常,特别是脐静脉壁弹性纤维明显缺乏或完全缺失。结论:以弹性纤维缺乏为特征的脐静脉发育不良是围产期出血相关死亡率的一个未被充分认识的关键因素,特别是在机械脐带压迫的情况下。我们建议系统的弹性蛋白特异性组织化学评估作为一个重要组成部分的死后协议的原因不明的宫内胎儿死亡。这一证据强调需要制定针对高危脐带结构异常的产前监测策略,特别是结合弹性蛋白特异性筛查。
本文章由计算机程序翻译,如有差异,请以英文原文为准。

Fatal Umbilical Cord Hemorrhage Triggering Neonatal Demise: Clinicopathological Insights from the Case Analysis.

Fatal Umbilical Cord Hemorrhage Triggering Neonatal Demise: Clinicopathological Insights from the Case Analysis.

Fatal Umbilical Cord Hemorrhage Triggering Neonatal Demise: Clinicopathological Insights from the Case Analysis.

Fatal Umbilical Cord Hemorrhage Triggering Neonatal Demise: Clinicopathological Insights from the Case Analysis.

Background: Umbilical cord hemorrhage (UCH) is a rare but catastrophic obstetric emergency associated with nearly 50% fetal mortality, and its precise pathogenic mechanisms remain elusive in clinical practice. The pathophysiological cascade involves hemorrhagic expansion from ruptured umbilical vessels predominantly the umbilical vein which generates compressive forces on adjacent umbilical arteries within the constrained Wharton's jelly. This acute vascular compromise precipitates the sudden cessation of fetoplacental circulation, culminating in irreversible hypoxic-ischemic injury. Although the pathogenesis of UCH is multifactorial, the structural vulnerabilities of the umbilical vessels particularly elastic fiber deficiencies in the umbilical vein remain understudied. This case report describes a clinical outcome characterized by multifocal hemorrhagic lesions along the umbilical cord resulting from congenital elastic fiber deficiency in the umbilical vein during the late gestational stages, culminating in neonatal death despite emergent intervention.

Case report: A 31-year-old primigravida at 40+4 weeks gestation presented with abdominal pain and vaginal bleeding. Ultrasonography revealed cephalic presentation with the umbilical cord encircling the neck and torso once each. Following abrupt fetal bradycardia (80 bpm), fetal membrane was artificially ruptured, resulting in the release of 10 mL of yellowish-green amniotic fluid, which was classified as thick and contaminated to degree III. An emergency cesarean section was performed, delivering a male neonate (3,670 g). The Apgar scores were 10/2/0 at 1/5/10 min. Despite T-piece ventilation and chest compressions, resuscitation failed, resulting in neonatal death. Histopathological and macroscopic autopsy analyses revealed umbilical cord hemorrhage accompanied by umbilical vascular anomalies, specifically demonstrating a significant deficiency or complete absence of elastic fibers within the umbilical vein wall.

Conclusion: Umbilical vein dysplasia, characterized by elastic fiber deficiency, is an underrecognized yet critical contributor to perinatal hemorrhage-related mortality, particularly in cases of mechanical cord compression. We propose systematic elastin-specific histochemical evaluation as an essential component of postmortem protocols for unexplained intrauterine fetal demise. This evidence underscores the need to develop antenatal surveillance strategies targeting high-risk cord structural cord anomalies, specifically incorporating elastin-specific screening.

求助全文
通过发布文献求助,成功后即可免费获取论文全文。 去求助
来源期刊
International Journal of Women's Health
International Journal of Women's Health OBSTETRICS & GYNECOLOGY-
CiteScore
3.70
自引率
0.00%
发文量
194
审稿时长
16 weeks
期刊介绍: International Journal of Women''s Health is an international, peer-reviewed, open access, online journal. Publishing original research, reports, editorials, reviews and commentaries on all aspects of women''s healthcare including gynecology, obstetrics, and breast cancer. Subject areas include: Chronic conditions including cancers of various organs specific and not specific to women Migraine, headaches, arthritis, osteoporosis Endocrine and autoimmune syndromes - asthma, multiple sclerosis, lupus, diabetes Sexual and reproductive health including fertility patterns and emerging technologies to address infertility Infectious disease with chronic sequelae including HIV/AIDS, HPV, PID, and other STDs Psychological and psychosocial conditions - depression across the life span, substance abuse, domestic violence Health maintenance among aging females - factors affecting the quality of life including physical, social and mental issues Avenues for health promotion and disease prevention across the life span Male vs female incidence comparisons for conditions that affect both genders.
×
引用
GB/T 7714-2015
复制
MLA
复制
APA
复制
导出至
BibTeX EndNote RefMan NoteFirst NoteExpress
×
提示
您的信息不完整,为了账户安全,请先补充。
现在去补充
×
提示
您因"违规操作"
具体请查看互助需知
我知道了
×
提示
确定
请完成安全验证×
copy
已复制链接
快去分享给好友吧!
我知道了
右上角分享
点击右上角分享
0
联系我们:info@booksci.cn Book学术提供免费学术资源搜索服务,方便国内外学者检索中英文文献。致力于提供最便捷和优质的服务体验。 Copyright © 2023 布克学术 All rights reserved.
京ICP备2023020795号-1
ghs 京公网安备 11010802042870号
Book学术文献互助
Book学术文献互助群
群 号:604180095
Book学术官方微信