既往牵张关节置换术患者全踝关节置换术的疗效。

Foot & Ankle Orthopaedics Pub Date : 2025-08-29 eCollection Date: 2025-07-01 DOI:10.1177/24730114251363917
Allison L Boden, Kira Lu, Jensen K Henry, Emily Teehan, Constantine A Demetracopoulos
{"title":"既往牵张关节置换术患者全踝关节置换术的疗效。","authors":"Allison L Boden, Kira Lu, Jensen K Henry, Emily Teehan, Constantine A Demetracopoulos","doi":"10.1177/24730114251363917","DOIUrl":null,"url":null,"abstract":"<p><strong>Background: </strong>Distraction arthroplasty aims to treat ankle osteoarthritis while preserving the native ankle joint, often to prevent or delay ankle arthrodesis or total ankle replacement (TAR). No study to date has explored TAR outcomes in patients who have had prior distraction arthroplasty. Thus, this study described the clinical, radiographic, and patient-reported outcomes for TAR at minimum 2-year follow-up in patients who had undergone prior ankle distraction arthroplasty.</p><p><strong>Methods: </strong>This retrospective review included 19 ankles in 17 patients who underwent TAR at a single institution subsequent to ipsilateral distraction arthroplasty. The primary aims were to evaluate complication rate and patient satisfaction following TAR. PROMIS scores were obtained preoperatively and at minimum 2 years postoperatively. The proportion of patients who achieved the patient acceptable symptom state (PASS) threshold for each Patient-Reported Outcomes Measurement Information System (PROMIS) domain at final follow-up was used to assess patient satisfaction following TAR.</p><p><strong>Results: </strong>TAR was performed a mean of 5.3 ± 3.5 years following distraction arthroplasty. At mean 4.4-year follow-up after TAR, 18/19 (94.7%) ankles remained implanted. One ankle was revised because of failure of the talar component, and there were 4 additional reoperations. Radiographic complications were observed in 37% of patients at 2 years postoperatively. Patients experienced significant improvement at 2-year follow-up for PROMIS domains of Physical Function (<i>P</i> = .002), Pain Interference (<i>P</i> = .007), and Pain Intensity (<i>P</i> = .010). At final follow-up, PASS was achieved by 65% and 71% of patients in the Physical Function and Pain Interference domains, respectively, but only 35% in the Pain Intensity domain.</p><p><strong>Conclusion: </strong>TAR is a viable option to treat ankle osteoarthritis symptoms that persist after distraction arthroplasty. However, many of these patients present with a complex surgical history and, therefore, may be at a greater risk for reoperation. Thus, patients should be counseled appropriately before electing to proceed with distraction arthroplasty before more definitive surgical treatment options.</p><p><strong>Level of evidence: </strong>Level IV, case series.</p>","PeriodicalId":12429,"journal":{"name":"Foot & Ankle Orthopaedics","volume":"10 3","pages":"24730114251363917"},"PeriodicalIF":0.0000,"publicationDate":"2025-08-29","publicationTypes":"Journal Article","fieldsOfStudy":null,"isOpenAccess":false,"openAccessPdf":"https://www.ncbi.nlm.nih.gov/pmc/articles/PMC12399839/pdf/","citationCount":"0","resultStr":"{\"title\":\"Total Ankle Replacement Outcomes in Patients With Prior Distraction Arthroplasty.\",\"authors\":\"Allison L Boden, Kira Lu, Jensen K Henry, Emily Teehan, Constantine A Demetracopoulos\",\"doi\":\"10.1177/24730114251363917\",\"DOIUrl\":null,\"url\":null,\"abstract\":\"<p><strong>Background: </strong>Distraction arthroplasty aims to treat ankle osteoarthritis while preserving the native ankle joint, often to prevent or delay ankle arthrodesis or total ankle replacement (TAR). No study to date has explored TAR outcomes in patients who have had prior distraction arthroplasty. Thus, this study described the clinical, radiographic, and patient-reported outcomes for TAR at minimum 2-year follow-up in patients who had undergone prior ankle distraction arthroplasty.</p><p><strong>Methods: </strong>This retrospective review included 19 ankles in 17 patients who underwent TAR at a single institution subsequent to ipsilateral distraction arthroplasty. The primary aims were to evaluate complication rate and patient satisfaction following TAR. PROMIS scores were obtained preoperatively and at minimum 2 years postoperatively. The proportion of patients who achieved the patient acceptable symptom state (PASS) threshold for each Patient-Reported Outcomes Measurement Information System (PROMIS) domain at final follow-up was used to assess patient satisfaction following TAR.</p><p><strong>Results: </strong>TAR was performed a mean of 5.3 ± 3.5 years following distraction arthroplasty. At mean 4.4-year follow-up after TAR, 18/19 (94.7%) ankles remained implanted. One ankle was revised because of failure of the talar component, and there were 4 additional reoperations. Radiographic complications were observed in 37% of patients at 2 years postoperatively. Patients experienced significant improvement at 2-year follow-up for PROMIS domains of Physical Function (<i>P</i> = .002), Pain Interference (<i>P</i> = .007), and Pain Intensity (<i>P</i> = .010). At final follow-up, PASS was achieved by 65% and 71% of patients in the Physical Function and Pain Interference domains, respectively, but only 35% in the Pain Intensity domain.</p><p><strong>Conclusion: </strong>TAR is a viable option to treat ankle osteoarthritis symptoms that persist after distraction arthroplasty. However, many of these patients present with a complex surgical history and, therefore, may be at a greater risk for reoperation. Thus, patients should be counseled appropriately before electing to proceed with distraction arthroplasty before more definitive surgical treatment options.</p><p><strong>Level of evidence: </strong>Level IV, case series.</p>\",\"PeriodicalId\":12429,\"journal\":{\"name\":\"Foot & Ankle Orthopaedics\",\"volume\":\"10 3\",\"pages\":\"24730114251363917\"},\"PeriodicalIF\":0.0000,\"publicationDate\":\"2025-08-29\",\"publicationTypes\":\"Journal Article\",\"fieldsOfStudy\":null,\"isOpenAccess\":false,\"openAccessPdf\":\"https://www.ncbi.nlm.nih.gov/pmc/articles/PMC12399839/pdf/\",\"citationCount\":\"0\",\"resultStr\":null,\"platform\":\"Semanticscholar\",\"paperid\":null,\"PeriodicalName\":\"Foot & Ankle Orthopaedics\",\"FirstCategoryId\":\"1085\",\"ListUrlMain\":\"https://doi.org/10.1177/24730114251363917\",\"RegionNum\":0,\"RegionCategory\":null,\"ArticlePicture\":[],\"TitleCN\":null,\"AbstractTextCN\":null,\"PMCID\":null,\"EPubDate\":\"2025/7/1 0:00:00\",\"PubModel\":\"eCollection\",\"JCR\":\"\",\"JCRName\":\"\",\"Score\":null,\"Total\":0}","platform":"Semanticscholar","paperid":null,"PeriodicalName":"Foot & Ankle Orthopaedics","FirstCategoryId":"1085","ListUrlMain":"https://doi.org/10.1177/24730114251363917","RegionNum":0,"RegionCategory":null,"ArticlePicture":[],"TitleCN":null,"AbstractTextCN":null,"PMCID":null,"EPubDate":"2025/7/1 0:00:00","PubModel":"eCollection","JCR":"","JCRName":"","Score":null,"Total":0}
引用次数: 0

摘要

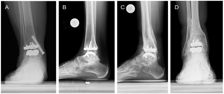
背景:牵张关节成形术旨在治疗踝关节骨性关节炎,同时保留踝关节,通常用于预防或延迟踝关节融合术或全踝关节置换术(TAR)。迄今为止,尚无研究探讨曾行牵张关节置换术患者的TAR结果。因此,本研究描述了对先前接受过踝关节牵张置换术的患者进行至少2年随访后TAR的临床、影像学和患者报告的结果。方法:本回顾性研究包括17例同侧牵张关节成形术后在同一机构接受TAR治疗的患者的19个踝关节。主要目的是评估TAR后的并发症发生率和患者满意度。术前和术后至少2年获得PROMIS评分。在最后随访时,每个患者报告的结果测量信息系统(PROMIS)域达到患者可接受症状状态(PASS)阈值的患者比例用于评估TAR后患者满意度。结果:牵张关节置换术后平均5.3±3.5年进行TAR。TAR术后平均随访4.4年,18/19(94.7%)踝关节仍植入。一个踝关节因距骨组件失败而进行了翻修,另外还有4次再手术。术后2年有37%的患者出现影像学并发症。在2年的随访中,患者在PROMIS身体功能领域有显著改善(P =。002),疼痛干扰(P =。疼痛强度(P = 0.010)。在最后的随访中,65%和71%的患者在身体功能和疼痛干扰领域分别达到了PASS,但在疼痛强度领域只有35%达到了PASS。结论:TAR是治疗牵张关节成形术后持续存在的踝关节骨关节炎症状的可行选择。然而,这些患者中有许多有复杂的手术史,因此可能有更大的再手术风险。因此,在选择更明确的手术治疗方案之前,患者应该得到适当的建议。证据等级:四级,案例系列。
本文章由计算机程序翻译,如有差异,请以英文原文为准。

Total Ankle Replacement Outcomes in Patients With Prior Distraction Arthroplasty.

Total Ankle Replacement Outcomes in Patients With Prior Distraction Arthroplasty.

Total Ankle Replacement Outcomes in Patients With Prior Distraction Arthroplasty.

Total Ankle Replacement Outcomes in Patients With Prior Distraction Arthroplasty.

Background: Distraction arthroplasty aims to treat ankle osteoarthritis while preserving the native ankle joint, often to prevent or delay ankle arthrodesis or total ankle replacement (TAR). No study to date has explored TAR outcomes in patients who have had prior distraction arthroplasty. Thus, this study described the clinical, radiographic, and patient-reported outcomes for TAR at minimum 2-year follow-up in patients who had undergone prior ankle distraction arthroplasty.

Methods: This retrospective review included 19 ankles in 17 patients who underwent TAR at a single institution subsequent to ipsilateral distraction arthroplasty. The primary aims were to evaluate complication rate and patient satisfaction following TAR. PROMIS scores were obtained preoperatively and at minimum 2 years postoperatively. The proportion of patients who achieved the patient acceptable symptom state (PASS) threshold for each Patient-Reported Outcomes Measurement Information System (PROMIS) domain at final follow-up was used to assess patient satisfaction following TAR.

Results: TAR was performed a mean of 5.3 ± 3.5 years following distraction arthroplasty. At mean 4.4-year follow-up after TAR, 18/19 (94.7%) ankles remained implanted. One ankle was revised because of failure of the talar component, and there were 4 additional reoperations. Radiographic complications were observed in 37% of patients at 2 years postoperatively. Patients experienced significant improvement at 2-year follow-up for PROMIS domains of Physical Function (P = .002), Pain Interference (P = .007), and Pain Intensity (P = .010). At final follow-up, PASS was achieved by 65% and 71% of patients in the Physical Function and Pain Interference domains, respectively, but only 35% in the Pain Intensity domain.

Conclusion: TAR is a viable option to treat ankle osteoarthritis symptoms that persist after distraction arthroplasty. However, many of these patients present with a complex surgical history and, therefore, may be at a greater risk for reoperation. Thus, patients should be counseled appropriately before electing to proceed with distraction arthroplasty before more definitive surgical treatment options.

Level of evidence: Level IV, case series.

求助全文
通过发布文献求助,成功后即可免费获取论文全文。 去求助
来源期刊
Foot & Ankle Orthopaedics
Foot & Ankle Orthopaedics Medicine-Orthopedics and Sports Medicine
CiteScore
1.20
自引率
0.00%
发文量
1152
×
引用
GB/T 7714-2015
复制
MLA
复制
APA
复制
导出至
BibTeX EndNote RefMan NoteFirst NoteExpress
×
提示
您的信息不完整,为了账户安全,请先补充。
现在去补充
×
提示
您因"违规操作"
具体请查看互助需知
我知道了
×
提示
确定
请完成安全验证×
copy
已复制链接
快去分享给好友吧!
我知道了
右上角分享
点击右上角分享
0
联系我们:info@booksci.cn Book学术提供免费学术资源搜索服务,方便国内外学者检索中英文文献。致力于提供最便捷和优质的服务体验。 Copyright © 2023 布克学术 All rights reserved.
京ICP备2023020795号-1
ghs 京公网安备 11010802042870号
Book学术文献互助
Book学术文献互助群
群 号:604180095
Book学术官方微信