Parkes Weber综合征,罕见的肺动脉高压1例。

IF 0.8 Q4 CARDIAC & CARDIOVASCULAR SYSTEMS
European Heart Journal: Case Reports Pub Date : 2025-08-20 eCollection Date: 2025-09-01 DOI:10.1093/ehjcr/ytaf381
Camila Castillo-Tello, Clemente Barron-Magdaleno, Consuelo Orihuela-Sandoval, Eduardo Gutiérrez-León
{"title":"Parkes Weber综合征,罕见的肺动脉高压1例。","authors":"Camila Castillo-Tello, Clemente Barron-Magdaleno, Consuelo Orihuela-Sandoval, Eduardo Gutiérrez-León","doi":"10.1093/ehjcr/ytaf381","DOIUrl":null,"url":null,"abstract":"<p><strong>Background: </strong>Parkes Weber syndrome (PWS) is a rare congenital vascular syndrome characterized by complex capillary malformation , venous malformation, lymphatic malformation, and arteriovenous malformation (AVM) in the affected limb with overgrowth; the latter is a pathognomonic feature that differentiates it from Klippel-Trenaunay syndrome. Cardiovascular complications include increased cardiac output, which promotes the onset of heart failure and the development of pulmonary hypertension (PAH), significantly impairing the quality of life due to severe functional class deterioration. However, these complications are currently treatable by ligation or removal of malformations.</p><p><strong>Case report: </strong>A 33-year-old male with a long-standing, progressively enlarging AVM of the right upper limb presented with necrosis and haemorrhage, leading to hypovolemic shock. Angiography revealed an AVM involving the subclavian, axillary, and brachial arteries, necessitating embolization and surgical interventions. Six years later, he developed distal finger necrosis, requiring infracondylar amputation. He later presented with stump infection, purulent discharge, orthopnoea, jugular venous distension, a loud second heart sound, and a holosystolic murmur in the tricuspid region. Echocardiography and catheterization confirmed PAH and a high-flow arteriovenous fistula. Multidisciplinary evaluation led to definitive amputation and PAH treatment. Postoperatively, PAH resolved, and the patient was discharged with ongoing follow-up, showing significant improvement.</p><p><strong>Discussion: </strong>This case report highlights the importance of a multidisciplinary approach in managing PWS, especially when endovascular interventions are not feasible owing to the diffuse nature of the AVM. It also emphasizes the potential for reversing severe complications through definitive surgical intervention in complex cases of PWS.</p>","PeriodicalId":11910,"journal":{"name":"European Heart Journal: Case Reports","volume":"9 9","pages":"ytaf381"},"PeriodicalIF":0.8000,"publicationDate":"2025-08-20","publicationTypes":"Journal Article","fieldsOfStudy":null,"isOpenAccess":false,"openAccessPdf":"https://www.ncbi.nlm.nih.gov/pmc/articles/PMC12404289/pdf/","citationCount":"0","resultStr":"{\"title\":\"Parkes Weber syndrome, a rare case of pulmonary hypertension: a case report.\",\"authors\":\"Camila Castillo-Tello, Clemente Barron-Magdaleno, Consuelo Orihuela-Sandoval, Eduardo Gutiérrez-León\",\"doi\":\"10.1093/ehjcr/ytaf381\",\"DOIUrl\":null,\"url\":null,\"abstract\":\"<p><strong>Background: </strong>Parkes Weber syndrome (PWS) is a rare congenital vascular syndrome characterized by complex capillary malformation , venous malformation, lymphatic malformation, and arteriovenous malformation (AVM) in the affected limb with overgrowth; the latter is a pathognomonic feature that differentiates it from Klippel-Trenaunay syndrome. Cardiovascular complications include increased cardiac output, which promotes the onset of heart failure and the development of pulmonary hypertension (PAH), significantly impairing the quality of life due to severe functional class deterioration. However, these complications are currently treatable by ligation or removal of malformations.</p><p><strong>Case report: </strong>A 33-year-old male with a long-standing, progressively enlarging AVM of the right upper limb presented with necrosis and haemorrhage, leading to hypovolemic shock. Angiography revealed an AVM involving the subclavian, axillary, and brachial arteries, necessitating embolization and surgical interventions. Six years later, he developed distal finger necrosis, requiring infracondylar amputation. He later presented with stump infection, purulent discharge, orthopnoea, jugular venous distension, a loud second heart sound, and a holosystolic murmur in the tricuspid region. Echocardiography and catheterization confirmed PAH and a high-flow arteriovenous fistula. Multidisciplinary evaluation led to definitive amputation and PAH treatment. Postoperatively, PAH resolved, and the patient was discharged with ongoing follow-up, showing significant improvement.</p><p><strong>Discussion: </strong>This case report highlights the importance of a multidisciplinary approach in managing PWS, especially when endovascular interventions are not feasible owing to the diffuse nature of the AVM. It also emphasizes the potential for reversing severe complications through definitive surgical intervention in complex cases of PWS.</p>\",\"PeriodicalId\":11910,\"journal\":{\"name\":\"European Heart Journal: Case Reports\",\"volume\":\"9 9\",\"pages\":\"ytaf381\"},\"PeriodicalIF\":0.8000,\"publicationDate\":\"2025-08-20\",\"publicationTypes\":\"Journal Article\",\"fieldsOfStudy\":null,\"isOpenAccess\":false,\"openAccessPdf\":\"https://www.ncbi.nlm.nih.gov/pmc/articles/PMC12404289/pdf/\",\"citationCount\":\"0\",\"resultStr\":null,\"platform\":\"Semanticscholar\",\"paperid\":null,\"PeriodicalName\":\"European Heart Journal: Case Reports\",\"FirstCategoryId\":\"1085\",\"ListUrlMain\":\"https://doi.org/10.1093/ehjcr/ytaf381\",\"RegionNum\":0,\"RegionCategory\":null,\"ArticlePicture\":[],\"TitleCN\":null,\"AbstractTextCN\":null,\"PMCID\":null,\"EPubDate\":\"2025/9/1 0:00:00\",\"PubModel\":\"eCollection\",\"JCR\":\"Q4\",\"JCRName\":\"CARDIAC & CARDIOVASCULAR SYSTEMS\",\"Score\":null,\"Total\":0}","platform":"Semanticscholar","paperid":null,"PeriodicalName":"European Heart Journal: Case Reports","FirstCategoryId":"1085","ListUrlMain":"https://doi.org/10.1093/ehjcr/ytaf381","RegionNum":0,"RegionCategory":null,"ArticlePicture":[],"TitleCN":null,"AbstractTextCN":null,"PMCID":null,"EPubDate":"2025/9/1 0:00:00","PubModel":"eCollection","JCR":"Q4","JCRName":"CARDIAC & CARDIOVASCULAR SYSTEMS","Score":null,"Total":0}
引用次数: 0

摘要

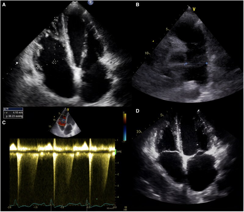
背景:Parkes Weber综合征(PWS)是一种罕见的先天性血管综合征,以患肢复杂的毛细血管畸形、静脉畸形、淋巴畸形和动静脉畸形(AVM)为特征,并伴有过度生长;后者是区别于klipppel - trenaunay综合征的病理特征。心血管并发症包括心输出量增加,这促进了心力衰竭的发生和肺动脉高压(PAH)的发展,由于严重的功能等级恶化,显著损害了生活质量。然而,这些并发症目前可以通过结扎或切除畸形来治疗。病例报告:一名33岁男性右上肢AVM长期存在,逐渐增大,表现为坏死和出血,导致低血容量性休克。血管造影显示AVM累及锁骨下动脉、腋动脉和肱动脉,需要栓塞和手术干预。6年后,他出现手指远端坏死,需要进行髁下截肢。他后来表现为残端感染,脓性分泌物,直鼻窦,颈静脉扩张,第二心音大,三尖瓣区全收缩期杂音。超声心动图和导管检查证实肺动脉高压和高流量动静脉瘘。多学科评估导致最终截肢和PAH治疗。术后PAH消退,患者出院,持续随访,病情明显好转。讨论:本病例报告强调了多学科方法治疗PWS的重要性,特别是当由于AVM的弥漫性而无法进行血管内干预时。它还强调了在复杂的PWS病例中通过明确的手术干预逆转严重并发症的潜力。
本文章由计算机程序翻译,如有差异,请以英文原文为准。

Parkes Weber syndrome, a rare case of pulmonary hypertension: a case report.

Parkes Weber syndrome, a rare case of pulmonary hypertension: a case report.

Parkes Weber syndrome, a rare case of pulmonary hypertension: a case report.

Parkes Weber syndrome, a rare case of pulmonary hypertension: a case report.

Background: Parkes Weber syndrome (PWS) is a rare congenital vascular syndrome characterized by complex capillary malformation , venous malformation, lymphatic malformation, and arteriovenous malformation (AVM) in the affected limb with overgrowth; the latter is a pathognomonic feature that differentiates it from Klippel-Trenaunay syndrome. Cardiovascular complications include increased cardiac output, which promotes the onset of heart failure and the development of pulmonary hypertension (PAH), significantly impairing the quality of life due to severe functional class deterioration. However, these complications are currently treatable by ligation or removal of malformations.

Case report: A 33-year-old male with a long-standing, progressively enlarging AVM of the right upper limb presented with necrosis and haemorrhage, leading to hypovolemic shock. Angiography revealed an AVM involving the subclavian, axillary, and brachial arteries, necessitating embolization and surgical interventions. Six years later, he developed distal finger necrosis, requiring infracondylar amputation. He later presented with stump infection, purulent discharge, orthopnoea, jugular venous distension, a loud second heart sound, and a holosystolic murmur in the tricuspid region. Echocardiography and catheterization confirmed PAH and a high-flow arteriovenous fistula. Multidisciplinary evaluation led to definitive amputation and PAH treatment. Postoperatively, PAH resolved, and the patient was discharged with ongoing follow-up, showing significant improvement.

Discussion: This case report highlights the importance of a multidisciplinary approach in managing PWS, especially when endovascular interventions are not feasible owing to the diffuse nature of the AVM. It also emphasizes the potential for reversing severe complications through definitive surgical intervention in complex cases of PWS.

求助全文
通过发布文献求助,成功后即可免费获取论文全文。 去求助
来源期刊
European Heart Journal: Case Reports
European Heart Journal: Case Reports Medicine-Cardiology and Cardiovascular Medicine
CiteScore
1.30
自引率
10.00%
发文量
451
审稿时长
14 weeks
×
引用
GB/T 7714-2015
复制
MLA
复制
APA
复制
导出至
BibTeX EndNote RefMan NoteFirst NoteExpress
×
提示
您的信息不完整,为了账户安全,请先补充。
现在去补充
×
提示
您因"违规操作"
具体请查看互助需知
我知道了
×
提示
确定
请完成安全验证×
copy
已复制链接
快去分享给好友吧!
我知道了
右上角分享
点击右上角分享
0
联系我们:info@booksci.cn Book学术提供免费学术资源搜索服务,方便国内外学者检索中英文文献。致力于提供最便捷和优质的服务体验。 Copyright © 2023 布克学术 All rights reserved.
京ICP备2023020795号-1
ghs 京公网安备 11010802042870号
Book学术文献互助
Book学术文献互助群
群 号:604180095
Book学术官方微信