以p.Ile512Leu TNNI3k变异相关扩张型心肌病为首发表现的青少年患者顺时针束支再入性室性心动过速1例报告

IF 0.8 Q4 CARDIAC & CARDIOVASCULAR SYSTEMS
European Heart Journal: Case Reports Pub Date : 2025-08-08 eCollection Date: 2025-09-01 DOI:10.1093/ehjcr/ytaf392
Marta González-Quijano, Juan Acosta, Manuel Frutos-López, Eduardo Arana-Rueda, Alonso Pedrote
{"title":"以p.Ile512Leu TNNI3k变异相关扩张型心肌病为首发表现的青少年患者顺时针束支再入性室性心动过速1例报告","authors":"Marta González-Quijano, Juan Acosta, Manuel Frutos-López, Eduardo Arana-Rueda, Alonso Pedrote","doi":"10.1093/ehjcr/ytaf392","DOIUrl":null,"url":null,"abstract":"<p><strong>Background: </strong>Bundle branch re-entrant ventricular tachycardia (BBRVT) typically occurs in patients with structural heart disease and conduction abnormalities. Certain genetic mutations may be responsible for conduction disorders leading to BBRVT, especially in young individuals without apparent structural heart disease.</p><p><strong>Case summary: </strong>A 17-year-old male with no pathological history was admitted to our institution due to wide QRS complex tachycardia with right bundle branch block morphology and left superior axis. The patient showed baseline infrahisian conduction abnormalities associated. Although left ventricular (LV) function and diameters were normal at admission, progressive LV dysfunction and dilation were observed during follow-up. Serial cardiac magnetic resonance imaging showed no evidence of myocardial scar. The electrophysiological study confirmed the diagnosis of clockwise BBRVT and a genetic study revealed a missense mutation in TNNI3K (p.Ile512Leu). Due to the high risk of AV block, no ablation was performed, and an implantable cardiac defibrillator was implanted. No recurrences were observed after 3 years of follow-up. Cosegregation analysis revealed cardiac conduction abnormalities and LV dysfunction in variant carriers.</p><p><strong>Discussion: </strong>We report a case of a teenage male with clockwise BBRVT as the initial manifestation of a familial dilated cardiomyopathy associated with the p.Ile512Leu variant in the TNNI3K gene, not previously reported in the literature. This case illustrates the importance of genetic testing in young patients with ventricular arrhythmias and conduction disorders.</p>","PeriodicalId":11910,"journal":{"name":"European Heart Journal: Case Reports","volume":"9 9","pages":"ytaf392"},"PeriodicalIF":0.8000,"publicationDate":"2025-08-08","publicationTypes":"Journal Article","fieldsOfStudy":null,"isOpenAccess":false,"openAccessPdf":"https://www.ncbi.nlm.nih.gov/pmc/articles/PMC12404290/pdf/","citationCount":"0","resultStr":"{\"title\":\"Clockwise bundle branch re-entrant ventricular tachycardia in a teenage patient as the first manifestation of dilated cardiomyopathy associated with the p.Ile512Leu TNNI3k variant: a case report.\",\"authors\":\"Marta González-Quijano, Juan Acosta, Manuel Frutos-López, Eduardo Arana-Rueda, Alonso Pedrote\",\"doi\":\"10.1093/ehjcr/ytaf392\",\"DOIUrl\":null,\"url\":null,\"abstract\":\"<p><strong>Background: </strong>Bundle branch re-entrant ventricular tachycardia (BBRVT) typically occurs in patients with structural heart disease and conduction abnormalities. Certain genetic mutations may be responsible for conduction disorders leading to BBRVT, especially in young individuals without apparent structural heart disease.</p><p><strong>Case summary: </strong>A 17-year-old male with no pathological history was admitted to our institution due to wide QRS complex tachycardia with right bundle branch block morphology and left superior axis. The patient showed baseline infrahisian conduction abnormalities associated. Although left ventricular (LV) function and diameters were normal at admission, progressive LV dysfunction and dilation were observed during follow-up. Serial cardiac magnetic resonance imaging showed no evidence of myocardial scar. The electrophysiological study confirmed the diagnosis of clockwise BBRVT and a genetic study revealed a missense mutation in TNNI3K (p.Ile512Leu). Due to the high risk of AV block, no ablation was performed, and an implantable cardiac defibrillator was implanted. No recurrences were observed after 3 years of follow-up. Cosegregation analysis revealed cardiac conduction abnormalities and LV dysfunction in variant carriers.</p><p><strong>Discussion: </strong>We report a case of a teenage male with clockwise BBRVT as the initial manifestation of a familial dilated cardiomyopathy associated with the p.Ile512Leu variant in the TNNI3K gene, not previously reported in the literature. This case illustrates the importance of genetic testing in young patients with ventricular arrhythmias and conduction disorders.</p>\",\"PeriodicalId\":11910,\"journal\":{\"name\":\"European Heart Journal: Case Reports\",\"volume\":\"9 9\",\"pages\":\"ytaf392\"},\"PeriodicalIF\":0.8000,\"publicationDate\":\"2025-08-08\",\"publicationTypes\":\"Journal Article\",\"fieldsOfStudy\":null,\"isOpenAccess\":false,\"openAccessPdf\":\"https://www.ncbi.nlm.nih.gov/pmc/articles/PMC12404290/pdf/\",\"citationCount\":\"0\",\"resultStr\":null,\"platform\":\"Semanticscholar\",\"paperid\":null,\"PeriodicalName\":\"European Heart Journal: Case Reports\",\"FirstCategoryId\":\"1085\",\"ListUrlMain\":\"https://doi.org/10.1093/ehjcr/ytaf392\",\"RegionNum\":0,\"RegionCategory\":null,\"ArticlePicture\":[],\"TitleCN\":null,\"AbstractTextCN\":null,\"PMCID\":null,\"EPubDate\":\"2025/9/1 0:00:00\",\"PubModel\":\"eCollection\",\"JCR\":\"Q4\",\"JCRName\":\"CARDIAC & CARDIOVASCULAR SYSTEMS\",\"Score\":null,\"Total\":0}","platform":"Semanticscholar","paperid":null,"PeriodicalName":"European Heart Journal: Case Reports","FirstCategoryId":"1085","ListUrlMain":"https://doi.org/10.1093/ehjcr/ytaf392","RegionNum":0,"RegionCategory":null,"ArticlePicture":[],"TitleCN":null,"AbstractTextCN":null,"PMCID":null,"EPubDate":"2025/9/1 0:00:00","PubModel":"eCollection","JCR":"Q4","JCRName":"CARDIAC & CARDIOVASCULAR SYSTEMS","Score":null,"Total":0}
引用次数: 0

摘要

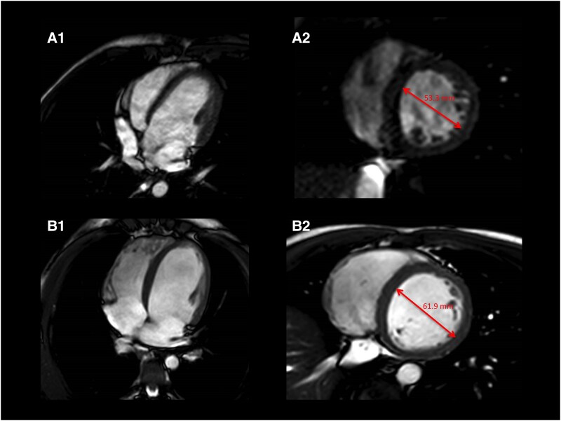
背景:束支再入性室性心动过速(BBRVT)通常发生在结构性心脏病和传导异常的患者中。某些基因突变可能导致传导障碍导致BBRVT,特别是在没有明显结构性心脏病的年轻人中。病例总结:一名17岁男性,无病理史,因QRS宽性复杂心动过速,右束支阻滞形态,左上轴。患者表现出基线下隐神经传导异常。虽然入院时左室功能和左室直径正常,但随访期间观察到进行性左室功能障碍和左室扩张。连续心脏磁共振成像未见心肌瘢痕。电生理研究证实了顺时针型BBRVT的诊断,基因研究显示TNNI3K错义突变(p.i ile512leu)。由于房室传导阻滞的高风险,没有进行消融术,并植入了植入式心脏除颤器。随访3年无复发。共分离分析显示变异携带者心脏传导异常和左室功能障碍。讨论:我们报告了一例青少年男性顺顺性BBRVT,其最初表现为家族扩张性心肌病,与TNNI3K基因p.i ile512leu变异有关,以前没有文献报道。这个病例说明了基因检测在年轻室性心律失常和传导障碍患者中的重要性。
本文章由计算机程序翻译,如有差异,请以英文原文为准。

Clockwise bundle branch re-entrant ventricular tachycardia in a teenage patient as the first manifestation of dilated cardiomyopathy associated with the p.Ile512Leu TNNI3k variant: a case report.

Clockwise bundle branch re-entrant ventricular tachycardia in a teenage patient as the first manifestation of dilated cardiomyopathy associated with the p.Ile512Leu TNNI3k variant: a case report.

Clockwise bundle branch re-entrant ventricular tachycardia in a teenage patient as the first manifestation of dilated cardiomyopathy associated with the p.Ile512Leu TNNI3k variant: a case report.

Clockwise bundle branch re-entrant ventricular tachycardia in a teenage patient as the first manifestation of dilated cardiomyopathy associated with the p.Ile512Leu TNNI3k variant: a case report.

Background: Bundle branch re-entrant ventricular tachycardia (BBRVT) typically occurs in patients with structural heart disease and conduction abnormalities. Certain genetic mutations may be responsible for conduction disorders leading to BBRVT, especially in young individuals without apparent structural heart disease.

Case summary: A 17-year-old male with no pathological history was admitted to our institution due to wide QRS complex tachycardia with right bundle branch block morphology and left superior axis. The patient showed baseline infrahisian conduction abnormalities associated. Although left ventricular (LV) function and diameters were normal at admission, progressive LV dysfunction and dilation were observed during follow-up. Serial cardiac magnetic resonance imaging showed no evidence of myocardial scar. The electrophysiological study confirmed the diagnosis of clockwise BBRVT and a genetic study revealed a missense mutation in TNNI3K (p.Ile512Leu). Due to the high risk of AV block, no ablation was performed, and an implantable cardiac defibrillator was implanted. No recurrences were observed after 3 years of follow-up. Cosegregation analysis revealed cardiac conduction abnormalities and LV dysfunction in variant carriers.

Discussion: We report a case of a teenage male with clockwise BBRVT as the initial manifestation of a familial dilated cardiomyopathy associated with the p.Ile512Leu variant in the TNNI3K gene, not previously reported in the literature. This case illustrates the importance of genetic testing in young patients with ventricular arrhythmias and conduction disorders.

求助全文
通过发布文献求助,成功后即可免费获取论文全文。 去求助
来源期刊
European Heart Journal: Case Reports
European Heart Journal: Case Reports Medicine-Cardiology and Cardiovascular Medicine
CiteScore
1.30
自引率
10.00%
发文量
451
审稿时长
14 weeks
×
引用
GB/T 7714-2015
复制
MLA
复制
APA
复制
导出至
BibTeX EndNote RefMan NoteFirst NoteExpress
×
提示
您的信息不完整,为了账户安全,请先补充。
现在去补充
×
提示
您因"违规操作"
具体请查看互助需知
我知道了
×
提示
确定
请完成安全验证×
copy
已复制链接
快去分享给好友吧!
我知道了
右上角分享
点击右上角分享
0
联系我们:info@booksci.cn Book学术提供免费学术资源搜索服务,方便国内外学者检索中英文文献。致力于提供最便捷和优质的服务体验。 Copyright © 2023 布克学术 All rights reserved.
京ICP备2023020795号-1
ghs 京公网安备 11010802042870号
Book学术文献互助
Book学术文献互助群
群 号:604180095
Book学术官方微信