甲状腺滤泡癌转移至下颌骨:一例罕见病例报告。

Q2 Dentistry
Dental Research Journal Pub Date : 2025-08-25 eCollection Date: 2025-01-01 DOI:10.4103/drj.drj_284_24
Pouyan Aminishakib, Alireza Parhiz, Samira Derakhshan, Hossein Borhani
{"title":"甲状腺滤泡癌转移至下颌骨:一例罕见病例报告。","authors":"Pouyan Aminishakib, Alireza Parhiz, Samira Derakhshan, Hossein Borhani","doi":"10.4103/drj.drj_284_24","DOIUrl":null,"url":null,"abstract":"<p><p>Malignant tumors are able to grow at sites distant from the primary site of origin. Breast, prostate, renal, thyroid, and lung carcinomas commonly metastasize to bone. Jaw metastasis is rare but may occur more often than generally estimated. Follicular carcinomas of the thyroid gland are tumors of follicular cell differentiation that consist of a microfollicular architecture with follicles lined by cuboidal epithelial cells. It is very difficult to diagnose this type of cancer at the preoperative or intraoperative stage of treatment. Here, we report a case of follicular carcinoma of the thyroid gland who was referred due to a mandibular lesion.</p>","PeriodicalId":11016,"journal":{"name":"Dental Research Journal","volume":"22 ","pages":"35"},"PeriodicalIF":0.0000,"publicationDate":"2025-08-25","publicationTypes":"Journal Article","fieldsOfStudy":null,"isOpenAccess":false,"openAccessPdf":"https://www.ncbi.nlm.nih.gov/pmc/articles/PMC12404424/pdf/","citationCount":"0","resultStr":"{\"title\":\"Metastasis of follicular carcinoma of the thyroid gland to the mandible: A report of a rare case.\",\"authors\":\"Pouyan Aminishakib, Alireza Parhiz, Samira Derakhshan, Hossein Borhani\",\"doi\":\"10.4103/drj.drj_284_24\",\"DOIUrl\":null,\"url\":null,\"abstract\":\"<p><p>Malignant tumors are able to grow at sites distant from the primary site of origin. Breast, prostate, renal, thyroid, and lung carcinomas commonly metastasize to bone. Jaw metastasis is rare but may occur more often than generally estimated. Follicular carcinomas of the thyroid gland are tumors of follicular cell differentiation that consist of a microfollicular architecture with follicles lined by cuboidal epithelial cells. It is very difficult to diagnose this type of cancer at the preoperative or intraoperative stage of treatment. Here, we report a case of follicular carcinoma of the thyroid gland who was referred due to a mandibular lesion.</p>\",\"PeriodicalId\":11016,\"journal\":{\"name\":\"Dental Research Journal\",\"volume\":\"22 \",\"pages\":\"35\"},\"PeriodicalIF\":0.0000,\"publicationDate\":\"2025-08-25\",\"publicationTypes\":\"Journal Article\",\"fieldsOfStudy\":null,\"isOpenAccess\":false,\"openAccessPdf\":\"https://www.ncbi.nlm.nih.gov/pmc/articles/PMC12404424/pdf/\",\"citationCount\":\"0\",\"resultStr\":null,\"platform\":\"Semanticscholar\",\"paperid\":null,\"PeriodicalName\":\"Dental Research Journal\",\"FirstCategoryId\":\"1085\",\"ListUrlMain\":\"https://doi.org/10.4103/drj.drj_284_24\",\"RegionNum\":0,\"RegionCategory\":null,\"ArticlePicture\":[],\"TitleCN\":null,\"AbstractTextCN\":null,\"PMCID\":null,\"EPubDate\":\"2025/1/1 0:00:00\",\"PubModel\":\"eCollection\",\"JCR\":\"Q2\",\"JCRName\":\"Dentistry\",\"Score\":null,\"Total\":0}","platform":"Semanticscholar","paperid":null,"PeriodicalName":"Dental Research Journal","FirstCategoryId":"1085","ListUrlMain":"https://doi.org/10.4103/drj.drj_284_24","RegionNum":0,"RegionCategory":null,"ArticlePicture":[],"TitleCN":null,"AbstractTextCN":null,"PMCID":null,"EPubDate":"2025/1/1 0:00:00","PubModel":"eCollection","JCR":"Q2","JCRName":"Dentistry","Score":null,"Total":0}
引用次数: 0

摘要

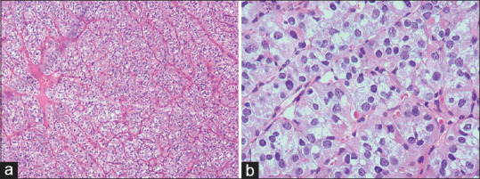
恶性肿瘤能够在远离原发部位的地方生长。乳腺癌、前列腺癌、肾癌、甲状腺癌和肺癌通常转移到骨。下颌转移是罕见的,但可能发生比一般估计更频繁。甲状腺滤泡癌是滤泡细胞分化的肿瘤,由微滤泡结构组成,滤泡由立方上皮细胞排列。这种类型的癌症在术前或术中治疗阶段很难诊断。在这里,我们报告一个病例滤泡癌的甲状腺谁是转诊由于下颌骨病变。
本文章由计算机程序翻译,如有差异,请以英文原文为准。

Metastasis of follicular carcinoma of the thyroid gland to the mandible: A report of a rare case.

Metastasis of follicular carcinoma of the thyroid gland to the mandible: A report of a rare case.

Metastasis of follicular carcinoma of the thyroid gland to the mandible: A report of a rare case.

Metastasis of follicular carcinoma of the thyroid gland to the mandible: A report of a rare case.

Malignant tumors are able to grow at sites distant from the primary site of origin. Breast, prostate, renal, thyroid, and lung carcinomas commonly metastasize to bone. Jaw metastasis is rare but may occur more often than generally estimated. Follicular carcinomas of the thyroid gland are tumors of follicular cell differentiation that consist of a microfollicular architecture with follicles lined by cuboidal epithelial cells. It is very difficult to diagnose this type of cancer at the preoperative or intraoperative stage of treatment. Here, we report a case of follicular carcinoma of the thyroid gland who was referred due to a mandibular lesion.

求助全文
通过发布文献求助,成功后即可免费获取论文全文。 去求助
来源期刊
Dental Research Journal
Dental Research Journal Dentistry-Dentistry (all)
CiteScore
1.70
自引率
0.00%
发文量
70
审稿时长
52 weeks
期刊介绍: Dental Research Journal, a publication of Isfahan University of Medical Sciences, is a peer-reviewed online journal with Bimonthly print on demand compilation of issues published. The journal’s full text is available online at http://www.drjjournal.net. The journal allows free access (Open Access) to its contents and permits authors to self-archive final accepted version of the articles on any OAI-compliant institutional / subject-based repository. The journal will cover technical and clinical studies related to health, ethical and social issues in field of Dentistry. Articles with clinical interest and implications will be given preference.
×
引用
GB/T 7714-2015
复制
MLA
复制
APA
复制
导出至
BibTeX EndNote RefMan NoteFirst NoteExpress
×
提示
您的信息不完整,为了账户安全,请先补充。
现在去补充
×
提示
您因"违规操作"
具体请查看互助需知
我知道了
×
提示
确定
请完成安全验证×
copy
已复制链接
快去分享给好友吧!
我知道了
右上角分享
点击右上角分享
0
联系我们:info@booksci.cn Book学术提供免费学术资源搜索服务,方便国内外学者检索中英文文献。致力于提供最便捷和优质的服务体验。 Copyright © 2023 布克学术 All rights reserved.
京ICP备2023020795号-1
ghs 京公网安备 11010802042870号
Book学术文献互助
Book学术文献互助群
群 号:604180095
Book学术官方微信