妊娠期高甘油三酯血症诱发急性胰腺炎1例报告。

IF 1.6 Q2 MEDICINE, GENERAL & INTERNAL
Annals of Medicine and Surgery Pub Date : 2025-07-18 eCollection Date: 2025-09-01 DOI:10.1097/MS9.0000000000003594
Sagar Mandal, Astha Chhantyal, Manvi Mukherjee, Pooja Paudyal, Suniti Rawal, Nisha Kharel
{"title":"妊娠期高甘油三酯血症诱发急性胰腺炎1例报告。","authors":"Sagar Mandal, Astha Chhantyal, Manvi Mukherjee, Pooja Paudyal, Suniti Rawal, Nisha Kharel","doi":"10.1097/MS9.0000000000003594","DOIUrl":null,"url":null,"abstract":"<p><strong>Introduction and importance: </strong>Various metabolic and physiologic changes that occur during pregnancy can sometimes lead to severe hypertriglyceridemia during pregnancy. The resultant hypertriglyceridemia may lead to acute pancreatitis in pregnancy, which even being rare poses significant health risks to both the child and the mother.</p><p><strong>Presentation of case: </strong>A 26-year-old female, G4P1L1A2 at 36 weeks and 3 days of gestation, presented with an acute onset of abdominal pain in the epigastric region and multiple episodes of vomiting. With a diagnosis of acute pancreatitis, she was admitted to the intensive care unit for the multidisciplinary approach with a plan to reduce the triglyceride (TG) levels rapidly. The woman was finally discharged against medical advice with oral antibiotics.</p><p><strong>Case discussion: </strong>Hypertriglyceridemia-induced acute pancreatitis in a pregnancy is a rare occurrence, usually seen in females with prior hyperlipidemia and with genetic predisposition, which is associated with significant morbidity and mortality. Our patient presented with TG levels above 1500 mg/dL. The favored treatment modality in our case was insulin therapy and omega-3 fatty acids. Baby was delivered through an elective caesarean section.</p><p><strong>Conclusion: </strong>Proper treatment modality according to the TG levels of the patient, along with proper continuous monitoring of both the mother and the baby, is very much essential. Injectable insulin and diet modification are equally important. The mode of delivery is assessed based on various parameters of fetal maturity and maternal risk factors.</p>","PeriodicalId":8025,"journal":{"name":"Annals of Medicine and Surgery","volume":"87 9","pages":"6121-6126"},"PeriodicalIF":1.6000,"publicationDate":"2025-07-18","publicationTypes":"Journal Article","fieldsOfStudy":null,"isOpenAccess":false,"openAccessPdf":"https://www.ncbi.nlm.nih.gov/pmc/articles/PMC12401444/pdf/","citationCount":"0","resultStr":"{\"title\":\"Hypertriglyceridemia induced acute pancreatitis in pregnancy: a case report.\",\"authors\":\"Sagar Mandal, Astha Chhantyal, Manvi Mukherjee, Pooja Paudyal, Suniti Rawal, Nisha Kharel\",\"doi\":\"10.1097/MS9.0000000000003594\",\"DOIUrl\":null,\"url\":null,\"abstract\":\"<p><strong>Introduction and importance: </strong>Various metabolic and physiologic changes that occur during pregnancy can sometimes lead to severe hypertriglyceridemia during pregnancy. The resultant hypertriglyceridemia may lead to acute pancreatitis in pregnancy, which even being rare poses significant health risks to both the child and the mother.</p><p><strong>Presentation of case: </strong>A 26-year-old female, G4P1L1A2 at 36 weeks and 3 days of gestation, presented with an acute onset of abdominal pain in the epigastric region and multiple episodes of vomiting. With a diagnosis of acute pancreatitis, she was admitted to the intensive care unit for the multidisciplinary approach with a plan to reduce the triglyceride (TG) levels rapidly. The woman was finally discharged against medical advice with oral antibiotics.</p><p><strong>Case discussion: </strong>Hypertriglyceridemia-induced acute pancreatitis in a pregnancy is a rare occurrence, usually seen in females with prior hyperlipidemia and with genetic predisposition, which is associated with significant morbidity and mortality. Our patient presented with TG levels above 1500 mg/dL. The favored treatment modality in our case was insulin therapy and omega-3 fatty acids. Baby was delivered through an elective caesarean section.</p><p><strong>Conclusion: </strong>Proper treatment modality according to the TG levels of the patient, along with proper continuous monitoring of both the mother and the baby, is very much essential. Injectable insulin and diet modification are equally important. The mode of delivery is assessed based on various parameters of fetal maturity and maternal risk factors.</p>\",\"PeriodicalId\":8025,\"journal\":{\"name\":\"Annals of Medicine and Surgery\",\"volume\":\"87 9\",\"pages\":\"6121-6126\"},\"PeriodicalIF\":1.6000,\"publicationDate\":\"2025-07-18\",\"publicationTypes\":\"Journal Article\",\"fieldsOfStudy\":null,\"isOpenAccess\":false,\"openAccessPdf\":\"https://www.ncbi.nlm.nih.gov/pmc/articles/PMC12401444/pdf/\",\"citationCount\":\"0\",\"resultStr\":null,\"platform\":\"Semanticscholar\",\"paperid\":null,\"PeriodicalName\":\"Annals of Medicine and Surgery\",\"FirstCategoryId\":\"1085\",\"ListUrlMain\":\"https://doi.org/10.1097/MS9.0000000000003594\",\"RegionNum\":0,\"RegionCategory\":null,\"ArticlePicture\":[],\"TitleCN\":null,\"AbstractTextCN\":null,\"PMCID\":null,\"EPubDate\":\"2025/9/1 0:00:00\",\"PubModel\":\"eCollection\",\"JCR\":\"Q2\",\"JCRName\":\"MEDICINE, GENERAL & INTERNAL\",\"Score\":null,\"Total\":0}","platform":"Semanticscholar","paperid":null,"PeriodicalName":"Annals of Medicine and Surgery","FirstCategoryId":"1085","ListUrlMain":"https://doi.org/10.1097/MS9.0000000000003594","RegionNum":0,"RegionCategory":null,"ArticlePicture":[],"TitleCN":null,"AbstractTextCN":null,"PMCID":null,"EPubDate":"2025/9/1 0:00:00","PubModel":"eCollection","JCR":"Q2","JCRName":"MEDICINE, GENERAL & INTERNAL","Score":null,"Total":0}
引用次数: 0

摘要

妊娠期间发生的各种代谢和生理变化有时会导致妊娠期间严重的高甘油三酯血症。由此产生的高甘油三酯血症可能导致妊娠期急性胰腺炎,即使这种情况很少发生,也会对儿童和母亲造成重大的健康风险。病例表现:26岁女性,妊娠36周零3天G4P1L1A2,表现为急性上腹部疼痛和多次呕吐。由于诊断为急性胰腺炎,她被送进重症监护室接受多学科治疗,并计划迅速降低甘油三酯(TG)水平。这名妇女最终不顾医嘱,口服抗生素出院。病例讨论:妊娠期高甘油三酯血症引起的急性胰腺炎是一种罕见的情况,通常见于既往有高脂血症和遗传易感性的女性,其发病率和死亡率都很高。我们的患者表现为TG水平高于1500mg /dL。在我们的病例中,首选的治疗方式是胰岛素治疗和omega-3脂肪酸。婴儿是通过选择性剖腹产分娩的。结论:根据患者的TG水平选择合适的治疗方式,并对母婴进行适当的持续监测是非常必要的。注射胰岛素和饮食调整同样重要。分娩方式是根据胎儿成熟度和产妇危险因素的各种参数来评估的。
本文章由计算机程序翻译,如有差异,请以英文原文为准。

Hypertriglyceridemia induced acute pancreatitis in pregnancy: a case report.

Hypertriglyceridemia induced acute pancreatitis in pregnancy: a case report.

Hypertriglyceridemia induced acute pancreatitis in pregnancy: a case report.

Hypertriglyceridemia induced acute pancreatitis in pregnancy: a case report.

Introduction and importance: Various metabolic and physiologic changes that occur during pregnancy can sometimes lead to severe hypertriglyceridemia during pregnancy. The resultant hypertriglyceridemia may lead to acute pancreatitis in pregnancy, which even being rare poses significant health risks to both the child and the mother.

Presentation of case: A 26-year-old female, G4P1L1A2 at 36 weeks and 3 days of gestation, presented with an acute onset of abdominal pain in the epigastric region and multiple episodes of vomiting. With a diagnosis of acute pancreatitis, she was admitted to the intensive care unit for the multidisciplinary approach with a plan to reduce the triglyceride (TG) levels rapidly. The woman was finally discharged against medical advice with oral antibiotics.

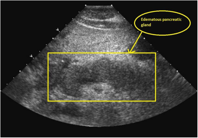
Case discussion: Hypertriglyceridemia-induced acute pancreatitis in a pregnancy is a rare occurrence, usually seen in females with prior hyperlipidemia and with genetic predisposition, which is associated with significant morbidity and mortality. Our patient presented with TG levels above 1500 mg/dL. The favored treatment modality in our case was insulin therapy and omega-3 fatty acids. Baby was delivered through an elective caesarean section.

Conclusion: Proper treatment modality according to the TG levels of the patient, along with proper continuous monitoring of both the mother and the baby, is very much essential. Injectable insulin and diet modification are equally important. The mode of delivery is assessed based on various parameters of fetal maturity and maternal risk factors.

求助全文
通过发布文献求助,成功后即可免费获取论文全文。 去求助
来源期刊
Annals of Medicine and Surgery
Annals of Medicine and Surgery MEDICINE, GENERAL & INTERNAL-
自引率
5.90%
发文量
1665
×
引用
GB/T 7714-2015
复制
MLA
复制
APA
复制
导出至
BibTeX EndNote RefMan NoteFirst NoteExpress
×
提示
您的信息不完整,为了账户安全,请先补充。
现在去补充
×
提示
您因"违规操作"
具体请查看互助需知
我知道了
×
提示
确定
请完成安全验证×
copy
已复制链接
快去分享给好友吧!
我知道了
右上角分享
点击右上角分享
0
联系我们:info@booksci.cn Book学术提供免费学术资源搜索服务,方便国内外学者检索中英文文献。致力于提供最便捷和优质的服务体验。 Copyright © 2023 布克学术 All rights reserved.
京ICP备2023020795号-1
ghs 京公网安备 11010802042870号
Book学术文献互助
Book学术文献互助群
群 号:604180095
Book学术官方微信