阑尾原发性印戒细胞癌表现为坏疽性阑尾炎伴腹膜炎1例。

IF 1.6 Q2 MEDICINE, GENERAL & INTERNAL
Annals of Medicine and Surgery Pub Date : 2025-08-29 eCollection Date: 2025-09-01 DOI:10.1097/MS9.0000000000002656
Kuang-Ting Liu, Yueh-Ching Chang, Yu-Chieh Lin, Junn-Liang Chang
{"title":"阑尾原发性印戒细胞癌表现为坏疽性阑尾炎伴腹膜炎1例。","authors":"Kuang-Ting Liu, Yueh-Ching Chang, Yu-Chieh Lin, Junn-Liang Chang","doi":"10.1097/MS9.0000000000002656","DOIUrl":null,"url":null,"abstract":"<p><strong>Introduction and clinical importance: </strong>Primary signet ring cell carcinoma (SRCC) of the appendix is an exceedingly rare malignancy with a non-specific clinical manifestations, and it often masquerades as acute appendicitis. Case presentation A 76-year-old man presented with acute abdominal pain and peritonitis. Abdominal computed tomography revealed relative acute appendicitis with peritonitis, and emergency laparoscopic partial cecectomy with appendectomy revealed gangrenous appendicitis with perforation. A histopathological examination revealed a primary appendiceal signet ring cell carcinoma (PASRCC).</p><p><strong>Clinical discussion: </strong>This case highlights the importance of considering appendiceal malignancies in the differential diagnosis of acute appendicitis. SRCC is a histological variant commonly associated with multiple malignancies of the gastrointestinal tract, particularly gastric and colorectal cancers.</p><p><strong>Conclusion: </strong>PASRCC is a rare malignancy presenting with symptoms indistinguishable from those of acute appendicitis. Clinicians should maintain a high index of suspicion for appendiceal malignancy, particularly in older patients with atypical clinical presentations. Early recognition, accurate diagnosis by histopathological and immunohistochemical examinations, and appropriate management are essential for optimizing the outcomes in these patients.</p>","PeriodicalId":8025,"journal":{"name":"Annals of Medicine and Surgery","volume":"87 9","pages":"6033-6040"},"PeriodicalIF":1.6000,"publicationDate":"2025-08-29","publicationTypes":"Journal Article","fieldsOfStudy":null,"isOpenAccess":false,"openAccessPdf":"https://www.ncbi.nlm.nih.gov/pmc/articles/PMC12401438/pdf/","citationCount":"0","resultStr":"{\"title\":\"Primary signet ring cell carcinoma of the appendix presenting as gangrenous appendicitis with peritonitis: a case report.\",\"authors\":\"Kuang-Ting Liu, Yueh-Ching Chang, Yu-Chieh Lin, Junn-Liang Chang\",\"doi\":\"10.1097/MS9.0000000000002656\",\"DOIUrl\":null,\"url\":null,\"abstract\":\"<p><strong>Introduction and clinical importance: </strong>Primary signet ring cell carcinoma (SRCC) of the appendix is an exceedingly rare malignancy with a non-specific clinical manifestations, and it often masquerades as acute appendicitis. Case presentation A 76-year-old man presented with acute abdominal pain and peritonitis. Abdominal computed tomography revealed relative acute appendicitis with peritonitis, and emergency laparoscopic partial cecectomy with appendectomy revealed gangrenous appendicitis with perforation. A histopathological examination revealed a primary appendiceal signet ring cell carcinoma (PASRCC).</p><p><strong>Clinical discussion: </strong>This case highlights the importance of considering appendiceal malignancies in the differential diagnosis of acute appendicitis. SRCC is a histological variant commonly associated with multiple malignancies of the gastrointestinal tract, particularly gastric and colorectal cancers.</p><p><strong>Conclusion: </strong>PASRCC is a rare malignancy presenting with symptoms indistinguishable from those of acute appendicitis. Clinicians should maintain a high index of suspicion for appendiceal malignancy, particularly in older patients with atypical clinical presentations. Early recognition, accurate diagnosis by histopathological and immunohistochemical examinations, and appropriate management are essential for optimizing the outcomes in these patients.</p>\",\"PeriodicalId\":8025,\"journal\":{\"name\":\"Annals of Medicine and Surgery\",\"volume\":\"87 9\",\"pages\":\"6033-6040\"},\"PeriodicalIF\":1.6000,\"publicationDate\":\"2025-08-29\",\"publicationTypes\":\"Journal Article\",\"fieldsOfStudy\":null,\"isOpenAccess\":false,\"openAccessPdf\":\"https://www.ncbi.nlm.nih.gov/pmc/articles/PMC12401438/pdf/\",\"citationCount\":\"0\",\"resultStr\":null,\"platform\":\"Semanticscholar\",\"paperid\":null,\"PeriodicalName\":\"Annals of Medicine and Surgery\",\"FirstCategoryId\":\"1085\",\"ListUrlMain\":\"https://doi.org/10.1097/MS9.0000000000002656\",\"RegionNum\":0,\"RegionCategory\":null,\"ArticlePicture\":[],\"TitleCN\":null,\"AbstractTextCN\":null,\"PMCID\":null,\"EPubDate\":\"2025/9/1 0:00:00\",\"PubModel\":\"eCollection\",\"JCR\":\"Q2\",\"JCRName\":\"MEDICINE, GENERAL & INTERNAL\",\"Score\":null,\"Total\":0}","platform":"Semanticscholar","paperid":null,"PeriodicalName":"Annals of Medicine and Surgery","FirstCategoryId":"1085","ListUrlMain":"https://doi.org/10.1097/MS9.0000000000002656","RegionNum":0,"RegionCategory":null,"ArticlePicture":[],"TitleCN":null,"AbstractTextCN":null,"PMCID":null,"EPubDate":"2025/9/1 0:00:00","PubModel":"eCollection","JCR":"Q2","JCRName":"MEDICINE, GENERAL & INTERNAL","Score":null,"Total":0}
引用次数: 0

摘要

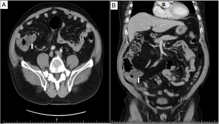
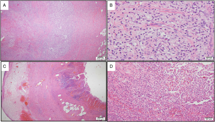
简介及临床意义:阑尾原发性印戒细胞癌(SRCC)是一种极为罕见的恶性肿瘤,临床表现无特异性,常伪装成急性阑尾炎。76岁男性,急性腹痛和腹膜炎。腹部计算机断层扫描显示急性阑尾炎合并腹膜炎,急诊腹腔镜阑尾部分切除术合并阑尾切除术显示坏疽性阑尾炎伴穿孔。组织病理学检查显示原发性阑尾印戒细胞癌(PASRCC)。临床讨论:本病例强调在鉴别诊断急性阑尾炎时考虑阑尾恶性肿瘤的重要性。SRCC是一种组织学变异,通常与胃肠道的多种恶性肿瘤有关,特别是胃癌和结直肠癌。结论:PASRCC是一种罕见的恶性肿瘤,其症状与急性阑尾炎难以区分。临床医生应该对阑尾恶性肿瘤保持高度的怀疑,特别是对临床表现不典型的老年患者。早期识别,通过组织病理学和免疫组织化学检查准确诊断,以及适当的管理是优化这些患者预后的必要条件。
本文章由计算机程序翻译,如有差异,请以英文原文为准。

Primary signet ring cell carcinoma of the appendix presenting as gangrenous appendicitis with peritonitis: a case report.

Primary signet ring cell carcinoma of the appendix presenting as gangrenous appendicitis with peritonitis: a case report.

Primary signet ring cell carcinoma of the appendix presenting as gangrenous appendicitis with peritonitis: a case report.

Primary signet ring cell carcinoma of the appendix presenting as gangrenous appendicitis with peritonitis: a case report.

Introduction and clinical importance: Primary signet ring cell carcinoma (SRCC) of the appendix is an exceedingly rare malignancy with a non-specific clinical manifestations, and it often masquerades as acute appendicitis. Case presentation A 76-year-old man presented with acute abdominal pain and peritonitis. Abdominal computed tomography revealed relative acute appendicitis with peritonitis, and emergency laparoscopic partial cecectomy with appendectomy revealed gangrenous appendicitis with perforation. A histopathological examination revealed a primary appendiceal signet ring cell carcinoma (PASRCC).

Clinical discussion: This case highlights the importance of considering appendiceal malignancies in the differential diagnosis of acute appendicitis. SRCC is a histological variant commonly associated with multiple malignancies of the gastrointestinal tract, particularly gastric and colorectal cancers.

Conclusion: PASRCC is a rare malignancy presenting with symptoms indistinguishable from those of acute appendicitis. Clinicians should maintain a high index of suspicion for appendiceal malignancy, particularly in older patients with atypical clinical presentations. Early recognition, accurate diagnosis by histopathological and immunohistochemical examinations, and appropriate management are essential for optimizing the outcomes in these patients.

求助全文
通过发布文献求助,成功后即可免费获取论文全文。 去求助
来源期刊
Annals of Medicine and Surgery
Annals of Medicine and Surgery MEDICINE, GENERAL & INTERNAL-
自引率
5.90%
发文量
1665
×
引用
GB/T 7714-2015
复制
MLA
复制
APA
复制
导出至
BibTeX EndNote RefMan NoteFirst NoteExpress
×
提示
您的信息不完整,为了账户安全,请先补充。
现在去补充
×
提示
您因"违规操作"
具体请查看互助需知
我知道了
×
提示
确定
请完成安全验证×
copy
已复制链接
快去分享给好友吧!
我知道了
右上角分享
点击右上角分享
0
联系我们:info@booksci.cn Book学术提供免费学术资源搜索服务,方便国内外学者检索中英文文献。致力于提供最便捷和优质的服务体验。 Copyright © 2023 布克学术 All rights reserved.
京ICP备2023020795号-1
ghs 京公网安备 11010802042870号
Book学术文献互助
Book学术文献互助群
群 号:604180095
Book学术官方微信