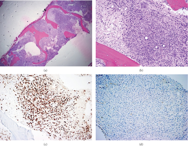
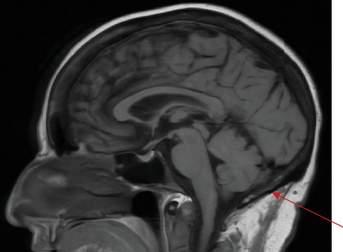
小脑膜癌和髓鞘性贫血是转移性小叶性乳腺癌的初始表现。

IF 0.6 Q4 ONCOLOGY
Case Reports in Oncological Medicine Pub Date : 2025-08-26 eCollection Date: 2025-01-01 DOI:10.1155/crom/5631996
Ogaga Urhie, Kally Dey, Kirtan Patolia, Shiraz Fidai, Michael Alebich
{"title":"小脑膜癌和髓鞘性贫血是转移性小叶性乳腺癌的初始表现。","authors":"Ogaga Urhie, Kally Dey, Kirtan Patolia, Shiraz Fidai, Michael Alebich","doi":"10.1155/crom/5631996","DOIUrl":null,"url":null,"abstract":"<p><p>Breast cancer can spread to the brain and bone, usually presenting as parenchymal and osteoblastic lesions, respectively. We present a unique case of a 59-year-old woman undergoing treatment for invasive lobular breast cancer who presented with nausea, vomiting, headache, and generalized weakness. Her clinical presentation and subsequent evaluation led to a discovery of leptomeningeal carcinomatosis and myelophthisic anemia presenting simultaneously as her initial metastases. She was treated with weekly paclitaxel and intrathecal methotrexate, with noted cerebrospinal fluid response. She continues to follow up with the oncology clinic.</p>","PeriodicalId":9636,"journal":{"name":"Case Reports in Oncological Medicine","volume":"2025 ","pages":"5631996"},"PeriodicalIF":0.6000,"publicationDate":"2025-08-26","publicationTypes":"Journal Article","fieldsOfStudy":null,"isOpenAccess":false,"openAccessPdf":"https://www.ncbi.nlm.nih.gov/pmc/articles/PMC12404835/pdf/","citationCount":"0","resultStr":"{\"title\":\"Leptomeningeal Carcinomatosis and Myelophthisic Anemia as Initial Manifestations of Metastatic Lobular Breast Cancer.\",\"authors\":\"Ogaga Urhie, Kally Dey, Kirtan Patolia, Shiraz Fidai, Michael Alebich\",\"doi\":\"10.1155/crom/5631996\",\"DOIUrl\":null,\"url\":null,\"abstract\":\"<p><p>Breast cancer can spread to the brain and bone, usually presenting as parenchymal and osteoblastic lesions, respectively. We present a unique case of a 59-year-old woman undergoing treatment for invasive lobular breast cancer who presented with nausea, vomiting, headache, and generalized weakness. Her clinical presentation and subsequent evaluation led to a discovery of leptomeningeal carcinomatosis and myelophthisic anemia presenting simultaneously as her initial metastases. She was treated with weekly paclitaxel and intrathecal methotrexate, with noted cerebrospinal fluid response. She continues to follow up with the oncology clinic.</p>\",\"PeriodicalId\":9636,\"journal\":{\"name\":\"Case Reports in Oncological Medicine\",\"volume\":\"2025 \",\"pages\":\"5631996\"},\"PeriodicalIF\":0.6000,\"publicationDate\":\"2025-08-26\",\"publicationTypes\":\"Journal Article\",\"fieldsOfStudy\":null,\"isOpenAccess\":false,\"openAccessPdf\":\"https://www.ncbi.nlm.nih.gov/pmc/articles/PMC12404835/pdf/\",\"citationCount\":\"0\",\"resultStr\":null,\"platform\":\"Semanticscholar\",\"paperid\":null,\"PeriodicalName\":\"Case Reports in Oncological Medicine\",\"FirstCategoryId\":\"1085\",\"ListUrlMain\":\"https://doi.org/10.1155/crom/5631996\",\"RegionNum\":0,\"RegionCategory\":null,\"ArticlePicture\":[],\"TitleCN\":null,\"AbstractTextCN\":null,\"PMCID\":null,\"EPubDate\":\"2025/1/1 0:00:00\",\"PubModel\":\"eCollection\",\"JCR\":\"Q4\",\"JCRName\":\"ONCOLOGY\",\"Score\":null,\"Total\":0}","platform":"Semanticscholar","paperid":null,"PeriodicalName":"Case Reports in Oncological Medicine","FirstCategoryId":"1085","ListUrlMain":"https://doi.org/10.1155/crom/5631996","RegionNum":0,"RegionCategory":null,"ArticlePicture":[],"TitleCN":null,"AbstractTextCN":null,"PMCID":null,"EPubDate":"2025/1/1 0:00:00","PubModel":"eCollection","JCR":"Q4","JCRName":"ONCOLOGY","Score":null,"Total":0}
引用次数: 0

摘要

乳腺癌可扩散到大脑和骨骼,通常分别表现为实质和成骨细胞病变。我们提出一个独特的情况下,59岁的妇女接受治疗浸润性小叶乳腺癌谁提出恶心,呕吐,头痛,和全身无力。她的临床表现和随后的评估导致发现轻脑膜癌和髓鞘性贫血同时出现在她的初始转移。她每周接受紫杉醇和鞘内甲氨蝶呤治疗,脑脊液有明显反应。她继续在肿瘤诊所跟进。
本文章由计算机程序翻译,如有差异,请以英文原文为准。

Leptomeningeal Carcinomatosis and Myelophthisic Anemia as Initial Manifestations of Metastatic Lobular Breast Cancer.

Leptomeningeal Carcinomatosis and Myelophthisic Anemia as Initial Manifestations of Metastatic Lobular Breast Cancer.

Leptomeningeal Carcinomatosis and Myelophthisic Anemia as Initial Manifestations of Metastatic Lobular Breast Cancer.

Breast cancer can spread to the brain and bone, usually presenting as parenchymal and osteoblastic lesions, respectively. We present a unique case of a 59-year-old woman undergoing treatment for invasive lobular breast cancer who presented with nausea, vomiting, headache, and generalized weakness. Her clinical presentation and subsequent evaluation led to a discovery of leptomeningeal carcinomatosis and myelophthisic anemia presenting simultaneously as her initial metastases. She was treated with weekly paclitaxel and intrathecal methotrexate, with noted cerebrospinal fluid response. She continues to follow up with the oncology clinic.

求助全文
通过发布文献求助,成功后即可免费获取论文全文。 去求助
来源期刊
自引率
0.00%
发文量
11
审稿时长
16 weeks
期刊介绍: Case Reports in Oncological Medicine is a peer-reviewed, Open Access journal that publishes case reports and case series related to breast cancer, lung cancer, gastrointestinal cancer, skin cancer, head and neck cancer, paediatric oncology, neurooncology as well as genitourinary cancer.
×
引用
GB/T 7714-2015
复制
MLA
复制
APA
复制
导出至
BibTeX EndNote RefMan NoteFirst NoteExpress
×
提示
您的信息不完整,为了账户安全,请先补充。
现在去补充
×
提示
您因"违规操作"
具体请查看互助需知
我知道了
×
提示
确定
请完成安全验证×
copy
已复制链接
快去分享给好友吧!
我知道了
右上角分享
点击右上角分享
0
联系我们:info@booksci.cn Book学术提供免费学术资源搜索服务,方便国内外学者检索中英文文献。致力于提供最便捷和优质的服务体验。 Copyright © 2023 布克学术 All rights reserved.
京ICP备2023020795号-1
ghs 京公网安备 11010802042870号
Book学术文献互助
Book学术文献互助群
群 号:604180095
Book学术官方微信