前列腺活检时意外注射甲醛:直肠坏死和穿孔的罕见原因。病例报告及文献复习。

IF 1.6 Q2 MEDICINE, GENERAL & INTERNAL
Annals of Medicine and Surgery Pub Date : 2025-08-02 eCollection Date: 2025-09-01 DOI:10.1097/MS9.0000000000003648
Imad Kamaleddine, Clemens Schafmayer, Ahmed Alwali
{"title":"前列腺活检时意外注射甲醛:直肠坏死和穿孔的罕见原因。病例报告及文献复习。","authors":"Imad Kamaleddine, Clemens Schafmayer, Ahmed Alwali","doi":"10.1097/MS9.0000000000003648","DOIUrl":null,"url":null,"abstract":"<p><strong>Introduction and importance: </strong>Accidental chemical injuries in medical settings are uncommon but can have devastating consequences. Formaldehyde (commonly in the form of formalin solution) is widely used as tissue fixative in clinics and laboratories. If inadvertently introduced into living tissue, formaldehyde causes rapid protein coagulation and tissue fixation, leading to cell death and necrosis. We present a rare case of rectal injury and perforation caused by accidental formaldehyde injection during a prostate biopsy.</p><p><strong>Case presentation: </strong>A 70-year-old male underwent a transrectal prostate biopsy which was complicated by the accidental injection of formaldehyde 4% into the rectum. One week later, he presented to our clinic with persistent rectal pain and was found to have an extensive rectal wall necrosis with perforation. Prompt intervention was undertaken with broad-spectrum intravenous antibiotics, transanal surgical debridement of necrotic tissue, and endoscopic vacuum therapy (EVT) to manage the rectal defect. The patient's condition improved with each sequential sponge change over an 11-day period, leading to cavity closure and granulation. He was discharged in stable condition on postoperative day 14. Two months later the rectal wound had completely healed.</p><p><strong>Clinical discussion: </strong>Accidental injection of formaldehyde into viable tissues is rare, but it can result in severe consequences. Early identification of the injury, followed by appropriate treatment (in our case, EVT), offered the best management approach and led to full recovery without the need for a diverting ostomy.</p><p><strong>Conclusion: </strong>This case highlights a rare iatrogenic chemical injury with formaldehyde, its successful management with minimally invasive endoscopic vacuum therapy (EVT), and underscores the need for stringent precautions to prevent such hazardous incidents.</p>","PeriodicalId":8025,"journal":{"name":"Annals of Medicine and Surgery","volume":"87 9","pages":"6177-6180"},"PeriodicalIF":1.6000,"publicationDate":"2025-08-02","publicationTypes":"Journal Article","fieldsOfStudy":null,"isOpenAccess":false,"openAccessPdf":"https://www.ncbi.nlm.nih.gov/pmc/articles/PMC12401394/pdf/","citationCount":"0","resultStr":"{\"title\":\"Accidental formaldehyde injection during prostate biopsy: a rare cause of rectal necrosis and perforation. Case report and review of the literature.\",\"authors\":\"Imad Kamaleddine, Clemens Schafmayer, Ahmed Alwali\",\"doi\":\"10.1097/MS9.0000000000003648\",\"DOIUrl\":null,\"url\":null,\"abstract\":\"<p><strong>Introduction and importance: </strong>Accidental chemical injuries in medical settings are uncommon but can have devastating consequences. Formaldehyde (commonly in the form of formalin solution) is widely used as tissue fixative in clinics and laboratories. If inadvertently introduced into living tissue, formaldehyde causes rapid protein coagulation and tissue fixation, leading to cell death and necrosis. We present a rare case of rectal injury and perforation caused by accidental formaldehyde injection during a prostate biopsy.</p><p><strong>Case presentation: </strong>A 70-year-old male underwent a transrectal prostate biopsy which was complicated by the accidental injection of formaldehyde 4% into the rectum. One week later, he presented to our clinic with persistent rectal pain and was found to have an extensive rectal wall necrosis with perforation. Prompt intervention was undertaken with broad-spectrum intravenous antibiotics, transanal surgical debridement of necrotic tissue, and endoscopic vacuum therapy (EVT) to manage the rectal defect. The patient's condition improved with each sequential sponge change over an 11-day period, leading to cavity closure and granulation. He was discharged in stable condition on postoperative day 14. Two months later the rectal wound had completely healed.</p><p><strong>Clinical discussion: </strong>Accidental injection of formaldehyde into viable tissues is rare, but it can result in severe consequences. Early identification of the injury, followed by appropriate treatment (in our case, EVT), offered the best management approach and led to full recovery without the need for a diverting ostomy.</p><p><strong>Conclusion: </strong>This case highlights a rare iatrogenic chemical injury with formaldehyde, its successful management with minimally invasive endoscopic vacuum therapy (EVT), and underscores the need for stringent precautions to prevent such hazardous incidents.</p>\",\"PeriodicalId\":8025,\"journal\":{\"name\":\"Annals of Medicine and Surgery\",\"volume\":\"87 9\",\"pages\":\"6177-6180\"},\"PeriodicalIF\":1.6000,\"publicationDate\":\"2025-08-02\",\"publicationTypes\":\"Journal Article\",\"fieldsOfStudy\":null,\"isOpenAccess\":false,\"openAccessPdf\":\"https://www.ncbi.nlm.nih.gov/pmc/articles/PMC12401394/pdf/\",\"citationCount\":\"0\",\"resultStr\":null,\"platform\":\"Semanticscholar\",\"paperid\":null,\"PeriodicalName\":\"Annals of Medicine and Surgery\",\"FirstCategoryId\":\"1085\",\"ListUrlMain\":\"https://doi.org/10.1097/MS9.0000000000003648\",\"RegionNum\":0,\"RegionCategory\":null,\"ArticlePicture\":[],\"TitleCN\":null,\"AbstractTextCN\":null,\"PMCID\":null,\"EPubDate\":\"2025/9/1 0:00:00\",\"PubModel\":\"eCollection\",\"JCR\":\"Q2\",\"JCRName\":\"MEDICINE, GENERAL & INTERNAL\",\"Score\":null,\"Total\":0}","platform":"Semanticscholar","paperid":null,"PeriodicalName":"Annals of Medicine and Surgery","FirstCategoryId":"1085","ListUrlMain":"https://doi.org/10.1097/MS9.0000000000003648","RegionNum":0,"RegionCategory":null,"ArticlePicture":[],"TitleCN":null,"AbstractTextCN":null,"PMCID":null,"EPubDate":"2025/9/1 0:00:00","PubModel":"eCollection","JCR":"Q2","JCRName":"MEDICINE, GENERAL & INTERNAL","Score":null,"Total":0}
引用次数: 0

摘要

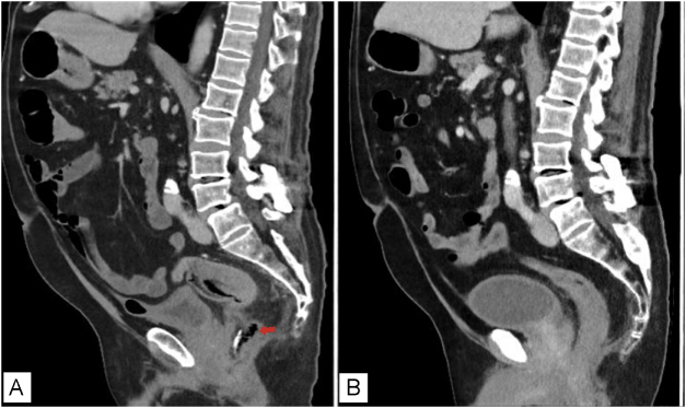
简介和重要性:医疗环境中的意外化学伤害并不常见,但可能造成毁灭性后果。甲醛(通常以福尔马林溶液的形式)在诊所和实验室中广泛用作组织固定剂。如果无意中引入活组织,甲醛会导致蛋白质快速凝固和组织固定,导致细胞死亡和坏死。我们提出一个罕见的病例直肠损伤和穿孔引起意外甲醛注射在前列腺活检。病例介绍:一位70岁男性接受了经直肠前列腺活检,该活检因意外向直肠注射4%的甲醛而复杂化。一周后,他以持续的直肠疼痛来到我们的诊所,发现他有广泛的直肠壁坏死并穿孔。立即采取广谱静脉注射抗生素、经肛门手术清除坏死组织和内镜真空治疗(EVT)来处理直肠缺损。在11天的时间里,每次连续更换海绵,患者的病情都有所改善,导致腔体关闭和肉芽肿。术后第14天出院,病情稳定。两个月后,直肠伤口完全愈合。临床讨论:意外注射甲醛到活组织是罕见的,但它可以导致严重的后果。早期识别损伤,然后进行适当的治疗(在我们的病例中,EVT),提供了最佳的管理方法,并导致完全恢复,而无需转移造口术。结论:本病例是一例罕见的医源性甲醛化学损伤,采用微创内镜真空治疗(EVT)成功治疗,并强调了严格预防此类危险事件的必要性。
本文章由计算机程序翻译,如有差异,请以英文原文为准。

Accidental formaldehyde injection during prostate biopsy: a rare cause of rectal necrosis and perforation. Case report and review of the literature.

Accidental formaldehyde injection during prostate biopsy: a rare cause of rectal necrosis and perforation. Case report and review of the literature.

Accidental formaldehyde injection during prostate biopsy: a rare cause of rectal necrosis and perforation. Case report and review of the literature.

Introduction and importance: Accidental chemical injuries in medical settings are uncommon but can have devastating consequences. Formaldehyde (commonly in the form of formalin solution) is widely used as tissue fixative in clinics and laboratories. If inadvertently introduced into living tissue, formaldehyde causes rapid protein coagulation and tissue fixation, leading to cell death and necrosis. We present a rare case of rectal injury and perforation caused by accidental formaldehyde injection during a prostate biopsy.

Case presentation: A 70-year-old male underwent a transrectal prostate biopsy which was complicated by the accidental injection of formaldehyde 4% into the rectum. One week later, he presented to our clinic with persistent rectal pain and was found to have an extensive rectal wall necrosis with perforation. Prompt intervention was undertaken with broad-spectrum intravenous antibiotics, transanal surgical debridement of necrotic tissue, and endoscopic vacuum therapy (EVT) to manage the rectal defect. The patient's condition improved with each sequential sponge change over an 11-day period, leading to cavity closure and granulation. He was discharged in stable condition on postoperative day 14. Two months later the rectal wound had completely healed.

Clinical discussion: Accidental injection of formaldehyde into viable tissues is rare, but it can result in severe consequences. Early identification of the injury, followed by appropriate treatment (in our case, EVT), offered the best management approach and led to full recovery without the need for a diverting ostomy.

Conclusion: This case highlights a rare iatrogenic chemical injury with formaldehyde, its successful management with minimally invasive endoscopic vacuum therapy (EVT), and underscores the need for stringent precautions to prevent such hazardous incidents.

求助全文
通过发布文献求助,成功后即可免费获取论文全文。 去求助
来源期刊
Annals of Medicine and Surgery
Annals of Medicine and Surgery MEDICINE, GENERAL & INTERNAL-
自引率
5.90%
发文量
1665
×
引用
GB/T 7714-2015
复制
MLA
复制
APA
复制
导出至
BibTeX EndNote RefMan NoteFirst NoteExpress
×
提示
您的信息不完整,为了账户安全,请先补充。
现在去补充
×
提示
您因"违规操作"
具体请查看互助需知
我知道了
×
提示
确定
请完成安全验证×
copy
已复制链接
快去分享给好友吧!
我知道了
右上角分享
点击右上角分享
0
联系我们:info@booksci.cn Book学术提供免费学术资源搜索服务,方便国内外学者检索中英文文献。致力于提供最便捷和优质的服务体验。 Copyright © 2023 布克学术 All rights reserved.
京ICP备2023020795号-1
ghs 京公网安备 11010802042870号
Book学术文献互助
Book学术文献互助群
群 号:604180095
Book学术官方微信