内镜下铥纤维激光去除和双支架治疗保留上肾部分的成人双输尿管囊肿1例报告。

IF 1.6 Q2 MEDICINE, GENERAL & INTERNAL
Annals of Medicine and Surgery Pub Date : 2025-08-08 eCollection Date: 2025-09-01 DOI:10.1097/MS9.0000000000003704
Sai Nikhitha Malapati, Ashok Adhikari, Venkata Akhil Makarla, Sai Geethika Malapati, Krishnam Raju Dema, Apsha Shrestha
{"title":"内镜下铥纤维激光去除和双支架治疗保留上肾部分的成人双输尿管囊肿1例报告。","authors":"Sai Nikhitha Malapati, Ashok Adhikari, Venkata Akhil Makarla, Sai Geethika Malapati, Krishnam Raju Dema, Apsha Shrestha","doi":"10.1097/MS9.0000000000003704","DOIUrl":null,"url":null,"abstract":"<p><strong>Background: </strong>Adult duplex kidney with ureterocele is rarely diagnosed, especially when the upper moiety retains function. While pediatric laser decompression is established, the use of thulium fiber laser (TFL) with dual DJ stenting in adult duplex ureteroceles remains rare.</p><p><strong>Case presentation: </strong>A 23-year-old female presented in a tertiary care hospital with intermittent right flank pain and recurrent UTIs for 3 months. Imaging revealed a right-sided duplex system with an intravesical ureterocele and functioning upper moiety. TFL deroofing was performed, with placement of dual DJ stents. Operative time was 40 minutes with negligible bleeding. Recovery was uneventful, and stents were removed at 6 weeks. At 6 months, imaging confirmed resolved hydronephrosis and preserved function; the patient remained asymptomatic at 12-month tele-follow-up.</p><p><strong>Clinical discussion: </strong>Ureteroceles result from ureteric bud maldevelopment and are often associated with duplex systems per the Weigert-Meyer law. Adult presentations may include recurrent UTIs, hematuria, or flank pain. Imaging modalities such as ultrasonography, CT urography, and renography are essential for diagnosis and surgical planning that prioritizes decompression and nephron preservation. Traditional endoscopic methods, including cold-knife incision and Holmium:YAG laser, risk reflux and tissue damage. TFL offers precise, shallow ablation with better hemostasis and reduced complications, though its adult use is underreported. This case represents the first documented TFL deroofing with dual DJ stenting in adult duplex ureterocele, showing excellent anatomical and functional outcomes, suggesting TFL's potential as a safe, effective option pending larger studies.</p><p><strong>Conclusion: </strong>TFL with dual DJ stenting offers a precise, nephron-preserving, and effective approach for adult ureterocele management.</p>","PeriodicalId":8025,"journal":{"name":"Annals of Medicine and Surgery","volume":"87 9","pages":"6221-6225"},"PeriodicalIF":1.6000,"publicationDate":"2025-08-08","publicationTypes":"Journal Article","fieldsOfStudy":null,"isOpenAccess":false,"openAccessPdf":"https://www.ncbi.nlm.nih.gov/pmc/articles/PMC12401281/pdf/","citationCount":"0","resultStr":"{\"title\":\"Endoscopic thulium-fiber laser deroofing and dual stenting for adult duplex ureterocele with preserved upper renal moiety: a case report.\",\"authors\":\"Sai Nikhitha Malapati, Ashok Adhikari, Venkata Akhil Makarla, Sai Geethika Malapati, Krishnam Raju Dema, Apsha Shrestha\",\"doi\":\"10.1097/MS9.0000000000003704\",\"DOIUrl\":null,\"url\":null,\"abstract\":\"<p><strong>Background: </strong>Adult duplex kidney with ureterocele is rarely diagnosed, especially when the upper moiety retains function. While pediatric laser decompression is established, the use of thulium fiber laser (TFL) with dual DJ stenting in adult duplex ureteroceles remains rare.</p><p><strong>Case presentation: </strong>A 23-year-old female presented in a tertiary care hospital with intermittent right flank pain and recurrent UTIs for 3 months. Imaging revealed a right-sided duplex system with an intravesical ureterocele and functioning upper moiety. TFL deroofing was performed, with placement of dual DJ stents. Operative time was 40 minutes with negligible bleeding. Recovery was uneventful, and stents were removed at 6 weeks. At 6 months, imaging confirmed resolved hydronephrosis and preserved function; the patient remained asymptomatic at 12-month tele-follow-up.</p><p><strong>Clinical discussion: </strong>Ureteroceles result from ureteric bud maldevelopment and are often associated with duplex systems per the Weigert-Meyer law. Adult presentations may include recurrent UTIs, hematuria, or flank pain. Imaging modalities such as ultrasonography, CT urography, and renography are essential for diagnosis and surgical planning that prioritizes decompression and nephron preservation. Traditional endoscopic methods, including cold-knife incision and Holmium:YAG laser, risk reflux and tissue damage. TFL offers precise, shallow ablation with better hemostasis and reduced complications, though its adult use is underreported. This case represents the first documented TFL deroofing with dual DJ stenting in adult duplex ureterocele, showing excellent anatomical and functional outcomes, suggesting TFL's potential as a safe, effective option pending larger studies.</p><p><strong>Conclusion: </strong>TFL with dual DJ stenting offers a precise, nephron-preserving, and effective approach for adult ureterocele management.</p>\",\"PeriodicalId\":8025,\"journal\":{\"name\":\"Annals of Medicine and Surgery\",\"volume\":\"87 9\",\"pages\":\"6221-6225\"},\"PeriodicalIF\":1.6000,\"publicationDate\":\"2025-08-08\",\"publicationTypes\":\"Journal Article\",\"fieldsOfStudy\":null,\"isOpenAccess\":false,\"openAccessPdf\":\"https://www.ncbi.nlm.nih.gov/pmc/articles/PMC12401281/pdf/\",\"citationCount\":\"0\",\"resultStr\":null,\"platform\":\"Semanticscholar\",\"paperid\":null,\"PeriodicalName\":\"Annals of Medicine and Surgery\",\"FirstCategoryId\":\"1085\",\"ListUrlMain\":\"https://doi.org/10.1097/MS9.0000000000003704\",\"RegionNum\":0,\"RegionCategory\":null,\"ArticlePicture\":[],\"TitleCN\":null,\"AbstractTextCN\":null,\"PMCID\":null,\"EPubDate\":\"2025/9/1 0:00:00\",\"PubModel\":\"eCollection\",\"JCR\":\"Q2\",\"JCRName\":\"MEDICINE, GENERAL & INTERNAL\",\"Score\":null,\"Total\":0}","platform":"Semanticscholar","paperid":null,"PeriodicalName":"Annals of Medicine and Surgery","FirstCategoryId":"1085","ListUrlMain":"https://doi.org/10.1097/MS9.0000000000003704","RegionNum":0,"RegionCategory":null,"ArticlePicture":[],"TitleCN":null,"AbstractTextCN":null,"PMCID":null,"EPubDate":"2025/9/1 0:00:00","PubModel":"eCollection","JCR":"Q2","JCRName":"MEDICINE, GENERAL & INTERNAL","Score":null,"Total":0}
引用次数: 0

摘要

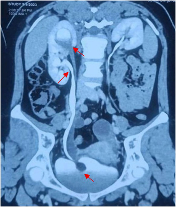
背景:成人双肾伴输尿管膨出很少被诊断出来,尤其是当肾上部部分保留功能时。虽然儿童激光减压已经建立,但在成人双输尿管囊肿中使用铥纤维激光(TFL)联合双DJ支架仍然很少见。病例介绍:一名23岁女性,因间歇性右侧疼痛和复发性尿路感染3个月在一家三级保健医院就诊。影像显示右侧双系统伴膀胱内输尿管膨出,上部部分功能正常。行TFL清除术,放置双DJ支架。手术时间40分钟,出血轻微。恢复顺利,6周时取出支架。6个月时,影像学证实肾积水解决,功能保留;在12个月的远程随访中,患者仍无症状。临床讨论:输尿管囊肿是由输尿管芽发育不良引起的,根据Weigert-Meyer定律,输尿管囊肿通常与双系统有关。成人的表现可能包括复发性尿路感染、血尿或侧腹疼痛。超声、CT尿路造影和肾造影等影像学检查对于诊断和手术计划至关重要,手术计划应优先考虑减压和肾元保存。传统的内镜方法,包括冷刀切开和钬激光,有反流和组织损伤的风险。TFL提供精确,浅消融,更好的止血和减少并发症,尽管其成人使用报道不足。该病例是第一例记录在案的双DJ支架治疗成人双输尿管囊肿的TFL,显示出良好的解剖和功能结果,表明TFL作为一种安全有效的选择有待于更大规模的研究。结论:TFL联合双DJ支架治疗成人输尿管囊肿是一种精确、有效、保留肾脏的方法。
本文章由计算机程序翻译,如有差异,请以英文原文为准。

Endoscopic thulium-fiber laser deroofing and dual stenting for adult duplex ureterocele with preserved upper renal moiety: a case report.

Endoscopic thulium-fiber laser deroofing and dual stenting for adult duplex ureterocele with preserved upper renal moiety: a case report.

Endoscopic thulium-fiber laser deroofing and dual stenting for adult duplex ureterocele with preserved upper renal moiety: a case report.

Endoscopic thulium-fiber laser deroofing and dual stenting for adult duplex ureterocele with preserved upper renal moiety: a case report.

Background: Adult duplex kidney with ureterocele is rarely diagnosed, especially when the upper moiety retains function. While pediatric laser decompression is established, the use of thulium fiber laser (TFL) with dual DJ stenting in adult duplex ureteroceles remains rare.

Case presentation: A 23-year-old female presented in a tertiary care hospital with intermittent right flank pain and recurrent UTIs for 3 months. Imaging revealed a right-sided duplex system with an intravesical ureterocele and functioning upper moiety. TFL deroofing was performed, with placement of dual DJ stents. Operative time was 40 minutes with negligible bleeding. Recovery was uneventful, and stents were removed at 6 weeks. At 6 months, imaging confirmed resolved hydronephrosis and preserved function; the patient remained asymptomatic at 12-month tele-follow-up.

Clinical discussion: Ureteroceles result from ureteric bud maldevelopment and are often associated with duplex systems per the Weigert-Meyer law. Adult presentations may include recurrent UTIs, hematuria, or flank pain. Imaging modalities such as ultrasonography, CT urography, and renography are essential for diagnosis and surgical planning that prioritizes decompression and nephron preservation. Traditional endoscopic methods, including cold-knife incision and Holmium:YAG laser, risk reflux and tissue damage. TFL offers precise, shallow ablation with better hemostasis and reduced complications, though its adult use is underreported. This case represents the first documented TFL deroofing with dual DJ stenting in adult duplex ureterocele, showing excellent anatomical and functional outcomes, suggesting TFL's potential as a safe, effective option pending larger studies.

Conclusion: TFL with dual DJ stenting offers a precise, nephron-preserving, and effective approach for adult ureterocele management.

求助全文
通过发布文献求助,成功后即可免费获取论文全文。 去求助
来源期刊
Annals of Medicine and Surgery
Annals of Medicine and Surgery MEDICINE, GENERAL & INTERNAL-
自引率
5.90%
发文量
1665
×
引用
GB/T 7714-2015
复制
MLA
复制
APA
复制
导出至
BibTeX EndNote RefMan NoteFirst NoteExpress
×
提示
您的信息不完整,为了账户安全,请先补充。
现在去补充
×
提示
您因"违规操作"
具体请查看互助需知
我知道了
×
提示
确定
请完成安全验证×
copy
已复制链接
快去分享给好友吧!
我知道了
右上角分享
点击右上角分享
0
联系我们:info@booksci.cn Book学术提供免费学术资源搜索服务,方便国内外学者检索中英文文献。致力于提供最便捷和优质的服务体验。 Copyright © 2023 布克学术 All rights reserved.
京ICP备2023020795号-1
ghs 京公网安备 11010802042870号
Book学术文献互助
Book学术文献互助群
群 号:604180095
Book学术官方微信