罕见的皮下环状肉芽肿一例:双侧手掌及手背结节成功治疗。

IF 1.6 Q2 MEDICINE, GENERAL & INTERNAL
Annals of Medicine and Surgery Pub Date : 2025-07-25 eCollection Date: 2025-09-01 DOI:10.1097/MS9.0000000000003642
Zainab Srouji, Najem Salem, Rama Ghwich, Munir Mounla, Noura Abdul Rahman
{"title":"罕见的皮下环状肉芽肿一例:双侧手掌及手背结节成功治疗。","authors":"Zainab Srouji, Najem Salem, Rama Ghwich, Munir Mounla, Noura Abdul Rahman","doi":"10.1097/MS9.0000000000003642","DOIUrl":null,"url":null,"abstract":"<p><strong>Introduction and importance: </strong>Granuloma annulare (GA) is a benign, self-limited, chronic inflammatory dermatosis predominantly affecting children and young adults. Subcutaneous granuloma annulare (SGA) is a rare variant, chiefly observed in children, characterized by firm, asymptomatic nodules typically located on the lower extremities, buttocks, or scalp. Involvement of the palms or soles is exceptionally rare.</p><p><strong>Case presentation: </strong>We report the case of a healthy teenager presenting with bilateral subcutaneous nodules on both the palmar and dorsal surfaces of the hands. Histopathological examination confirmed the diagnosis of SGA. Given the patient's aesthetic concerns, a treatment regimen of intralesional corticosteroid injections was initiated, leading to complete resolution of the lesions without recurrence during follow-up.</p><p><strong>Clinical discussion: </strong>This case represents the first documented instance of SGA involving both palmar and dorsal surfaces of the hands bilaterally in a healthy adolescent. While SGA is usually self-limited, cosmetic concerns or discomfort may necessitate therapeutic intervention. Intralesional corticosteroids have been employed with variable success in such cases.</p><p><strong>Conclusion: </strong>This case underscores the importance of considering SGA in the differential diagnosis of subcutaneous hand nodules in pediatric patients, even in atypical locations such as the palms and dorsal hands. It also highlights the efficacy of intralesional corticosteroid treatment in achieving satisfactory cosmetic outcomes without recurrence.</p>","PeriodicalId":8025,"journal":{"name":"Annals of Medicine and Surgery","volume":"87 9","pages":"6173-6176"},"PeriodicalIF":1.6000,"publicationDate":"2025-07-25","publicationTypes":"Journal Article","fieldsOfStudy":null,"isOpenAccess":false,"openAccessPdf":"https://www.ncbi.nlm.nih.gov/pmc/articles/PMC12401324/pdf/","citationCount":"0","resultStr":"{\"title\":\"A rare presentation of subcutaneous granuloma annulare: a case report of bilateral palmar and dorsal hand nodules with successful management.\",\"authors\":\"Zainab Srouji, Najem Salem, Rama Ghwich, Munir Mounla, Noura Abdul Rahman\",\"doi\":\"10.1097/MS9.0000000000003642\",\"DOIUrl\":null,\"url\":null,\"abstract\":\"<p><strong>Introduction and importance: </strong>Granuloma annulare (GA) is a benign, self-limited, chronic inflammatory dermatosis predominantly affecting children and young adults. Subcutaneous granuloma annulare (SGA) is a rare variant, chiefly observed in children, characterized by firm, asymptomatic nodules typically located on the lower extremities, buttocks, or scalp. Involvement of the palms or soles is exceptionally rare.</p><p><strong>Case presentation: </strong>We report the case of a healthy teenager presenting with bilateral subcutaneous nodules on both the palmar and dorsal surfaces of the hands. Histopathological examination confirmed the diagnosis of SGA. Given the patient's aesthetic concerns, a treatment regimen of intralesional corticosteroid injections was initiated, leading to complete resolution of the lesions without recurrence during follow-up.</p><p><strong>Clinical discussion: </strong>This case represents the first documented instance of SGA involving both palmar and dorsal surfaces of the hands bilaterally in a healthy adolescent. While SGA is usually self-limited, cosmetic concerns or discomfort may necessitate therapeutic intervention. Intralesional corticosteroids have been employed with variable success in such cases.</p><p><strong>Conclusion: </strong>This case underscores the importance of considering SGA in the differential diagnosis of subcutaneous hand nodules in pediatric patients, even in atypical locations such as the palms and dorsal hands. It also highlights the efficacy of intralesional corticosteroid treatment in achieving satisfactory cosmetic outcomes without recurrence.</p>\",\"PeriodicalId\":8025,\"journal\":{\"name\":\"Annals of Medicine and Surgery\",\"volume\":\"87 9\",\"pages\":\"6173-6176\"},\"PeriodicalIF\":1.6000,\"publicationDate\":\"2025-07-25\",\"publicationTypes\":\"Journal Article\",\"fieldsOfStudy\":null,\"isOpenAccess\":false,\"openAccessPdf\":\"https://www.ncbi.nlm.nih.gov/pmc/articles/PMC12401324/pdf/\",\"citationCount\":\"0\",\"resultStr\":null,\"platform\":\"Semanticscholar\",\"paperid\":null,\"PeriodicalName\":\"Annals of Medicine and Surgery\",\"FirstCategoryId\":\"1085\",\"ListUrlMain\":\"https://doi.org/10.1097/MS9.0000000000003642\",\"RegionNum\":0,\"RegionCategory\":null,\"ArticlePicture\":[],\"TitleCN\":null,\"AbstractTextCN\":null,\"PMCID\":null,\"EPubDate\":\"2025/9/1 0:00:00\",\"PubModel\":\"eCollection\",\"JCR\":\"Q2\",\"JCRName\":\"MEDICINE, GENERAL & INTERNAL\",\"Score\":null,\"Total\":0}","platform":"Semanticscholar","paperid":null,"PeriodicalName":"Annals of Medicine and Surgery","FirstCategoryId":"1085","ListUrlMain":"https://doi.org/10.1097/MS9.0000000000003642","RegionNum":0,"RegionCategory":null,"ArticlePicture":[],"TitleCN":null,"AbstractTextCN":null,"PMCID":null,"EPubDate":"2025/9/1 0:00:00","PubModel":"eCollection","JCR":"Q2","JCRName":"MEDICINE, GENERAL & INTERNAL","Score":null,"Total":0}
引用次数: 0

摘要

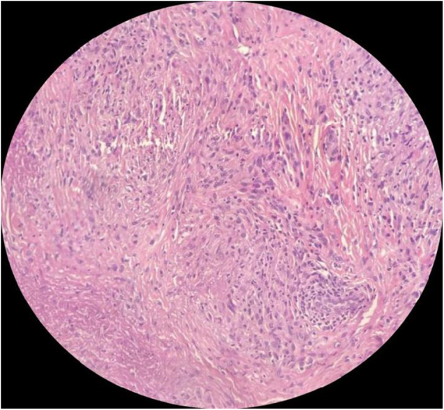
简介及重要性:环形肉芽肿(GA)是一种良性,自限性,慢性炎症性皮肤病,主要影响儿童和年轻人。皮下环状肉芽肿(SGA)是一种罕见的变型,主要见于儿童,其特征是坚硬、无症状的结节,通常位于下肢、臀部或头皮。手掌或脚底受累极为罕见。病例介绍:我们报告的情况下,健康的青少年表现为双侧皮下结节在手掌和手背表面。组织病理学检查证实SGA的诊断。考虑到患者的审美问题,开始了病灶内皮质类固醇注射的治疗方案,导致病变完全消退,随访期间无复发。临床讨论:本病例是健康青少年中第一例涉及双侧手掌和手背的SGA病例。虽然SGA通常是自限性的,但美容方面的考虑或不适可能需要治疗干预。在这种情况下,病灶内皮质类固醇的应用取得了不同程度的成功。结论:本病例强调了在小儿手部皮下结节的鉴别诊断中考虑SGA的重要性,即使是在不典型的部位,如手掌和手背。它也强调了皮内皮质类固醇治疗在达到满意的美容结果没有复发的有效性。
本文章由计算机程序翻译,如有差异,请以英文原文为准。

A rare presentation of subcutaneous granuloma annulare: a case report of bilateral palmar and dorsal hand nodules with successful management.

A rare presentation of subcutaneous granuloma annulare: a case report of bilateral palmar and dorsal hand nodules with successful management.

A rare presentation of subcutaneous granuloma annulare: a case report of bilateral palmar and dorsal hand nodules with successful management.

A rare presentation of subcutaneous granuloma annulare: a case report of bilateral palmar and dorsal hand nodules with successful management.

Introduction and importance: Granuloma annulare (GA) is a benign, self-limited, chronic inflammatory dermatosis predominantly affecting children and young adults. Subcutaneous granuloma annulare (SGA) is a rare variant, chiefly observed in children, characterized by firm, asymptomatic nodules typically located on the lower extremities, buttocks, or scalp. Involvement of the palms or soles is exceptionally rare.

Case presentation: We report the case of a healthy teenager presenting with bilateral subcutaneous nodules on both the palmar and dorsal surfaces of the hands. Histopathological examination confirmed the diagnosis of SGA. Given the patient's aesthetic concerns, a treatment regimen of intralesional corticosteroid injections was initiated, leading to complete resolution of the lesions without recurrence during follow-up.

Clinical discussion: This case represents the first documented instance of SGA involving both palmar and dorsal surfaces of the hands bilaterally in a healthy adolescent. While SGA is usually self-limited, cosmetic concerns or discomfort may necessitate therapeutic intervention. Intralesional corticosteroids have been employed with variable success in such cases.

Conclusion: This case underscores the importance of considering SGA in the differential diagnosis of subcutaneous hand nodules in pediatric patients, even in atypical locations such as the palms and dorsal hands. It also highlights the efficacy of intralesional corticosteroid treatment in achieving satisfactory cosmetic outcomes without recurrence.

求助全文
通过发布文献求助,成功后即可免费获取论文全文。 去求助
来源期刊
Annals of Medicine and Surgery
Annals of Medicine and Surgery MEDICINE, GENERAL & INTERNAL-
自引率
5.90%
发文量
1665
×
引用
GB/T 7714-2015
复制
MLA
复制
APA
复制
导出至
BibTeX EndNote RefMan NoteFirst NoteExpress
×
提示
您的信息不完整,为了账户安全,请先补充。
现在去补充
×
提示
您因"违规操作"
具体请查看互助需知
我知道了
×
提示
确定
请完成安全验证×
copy
已复制链接
快去分享给好友吧!
我知道了
右上角分享
点击右上角分享
0
联系我们:info@booksci.cn Book学术提供免费学术资源搜索服务,方便国内外学者检索中英文文献。致力于提供最便捷和优质的服务体验。 Copyright © 2023 布克学术 All rights reserved.
京ICP备2023020795号-1
ghs 京公网安备 11010802042870号
Book学术文献互助
Book学术文献互助群
群 号:604180095
Book学术官方微信