结核阳性患者的未分化炎性关节炎:诊断和治疗的挑战-一个病例报告。

IF 1.6 Q2 MEDICINE, GENERAL & INTERNAL
Annals of Medicine and Surgery Pub Date : 2025-07-28 eCollection Date: 2025-09-01 DOI:10.1097/MS9.0000000000003647
Pukar Gupta, Prakriti Katwal, Pradeep Adhikari, Sitaram Katwal, Roshni Thapa, Nishchal Regmi, Ram Narayan Kurmi, Sarina Gurung
{"title":"结核阳性患者的未分化炎性关节炎:诊断和治疗的挑战-一个病例报告。","authors":"Pukar Gupta, Prakriti Katwal, Pradeep Adhikari, Sitaram Katwal, Roshni Thapa, Nishchal Regmi, Ram Narayan Kurmi, Sarina Gurung","doi":"10.1097/MS9.0000000000003647","DOIUrl":null,"url":null,"abstract":"<p><strong>Background: </strong>In clinical practice, some cases gently challenge our assumptions, reminding us that not everything is what it seems. This is the story of a young woman receiving treatment for tuberculosis who began showing signs that pointed beyond infection alone. It underlines how autoimmunity can surface in the shadows of another illness, demanding careful attention and an open mind.</p><p><strong>Case presentation: </strong>A 27-year-old woman receiving treatment for pulmonary tuberculosis presented to us with worsening joint pain, swelling, facial rash, and muscle weakness. She had trouble with basic movements like climbing stairs and noticed rashes over her face and knuckles. On examination, she had a malar rash and Gottron's papules, with noticeably weakness in her upper and lower limbs. Her lab results showed elevated ESR and a positive PM-Scl antibody; meanwhile, other autoimmune markers were negative. Her imaging revealed tenosynovitis and microvascular changes on capillaroscopy. She was then diagnosed with undifferentiated inflammatory arthritis, within the myositis spectrum <b>-</b> and was started on steroids and DMARDs while continuing her TB therapy.</p><p><strong>Discussion: </strong>This case highlights the challenges of diagnosing autoimmune disease in a patient already being treated for TB. In endemic areas, it is easy to blame new symptoms on infection alone, but her evolving clinical picture urged us to dig deeper. It reinforces the need for careful clinical judgment and teamwork when managing overlapping infectious and autoimmune conditions.</p><p><strong>Conclusion: </strong>For patients like her, timely recognition of autoimmune features <b>-</b> especially in the context of chronic infections <b>-</b> can change outcomes. Her journey highlights not only the complexity of medicine but also the value of listening closely, thinking broadly, and responding with a multidisciplinary approach.</p>","PeriodicalId":8025,"journal":{"name":"Annals of Medicine and Surgery","volume":"87 9","pages":"6135-6138"},"PeriodicalIF":1.6000,"publicationDate":"2025-07-28","publicationTypes":"Journal Article","fieldsOfStudy":null,"isOpenAccess":false,"openAccessPdf":"https://www.ncbi.nlm.nih.gov/pmc/articles/PMC12401277/pdf/","citationCount":"0","resultStr":"{\"title\":\"Undifferentiated inflammatory arthritis in a tuberculosis-positive patient: a diagnostic and therapeutic challenge - a case report.\",\"authors\":\"Pukar Gupta, Prakriti Katwal, Pradeep Adhikari, Sitaram Katwal, Roshni Thapa, Nishchal Regmi, Ram Narayan Kurmi, Sarina Gurung\",\"doi\":\"10.1097/MS9.0000000000003647\",\"DOIUrl\":null,\"url\":null,\"abstract\":\"<p><strong>Background: </strong>In clinical practice, some cases gently challenge our assumptions, reminding us that not everything is what it seems. This is the story of a young woman receiving treatment for tuberculosis who began showing signs that pointed beyond infection alone. It underlines how autoimmunity can surface in the shadows of another illness, demanding careful attention and an open mind.</p><p><strong>Case presentation: </strong>A 27-year-old woman receiving treatment for pulmonary tuberculosis presented to us with worsening joint pain, swelling, facial rash, and muscle weakness. She had trouble with basic movements like climbing stairs and noticed rashes over her face and knuckles. On examination, she had a malar rash and Gottron's papules, with noticeably weakness in her upper and lower limbs. Her lab results showed elevated ESR and a positive PM-Scl antibody; meanwhile, other autoimmune markers were negative. Her imaging revealed tenosynovitis and microvascular changes on capillaroscopy. She was then diagnosed with undifferentiated inflammatory arthritis, within the myositis spectrum <b>-</b> and was started on steroids and DMARDs while continuing her TB therapy.</p><p><strong>Discussion: </strong>This case highlights the challenges of diagnosing autoimmune disease in a patient already being treated for TB. In endemic areas, it is easy to blame new symptoms on infection alone, but her evolving clinical picture urged us to dig deeper. It reinforces the need for careful clinical judgment and teamwork when managing overlapping infectious and autoimmune conditions.</p><p><strong>Conclusion: </strong>For patients like her, timely recognition of autoimmune features <b>-</b> especially in the context of chronic infections <b>-</b> can change outcomes. Her journey highlights not only the complexity of medicine but also the value of listening closely, thinking broadly, and responding with a multidisciplinary approach.</p>\",\"PeriodicalId\":8025,\"journal\":{\"name\":\"Annals of Medicine and Surgery\",\"volume\":\"87 9\",\"pages\":\"6135-6138\"},\"PeriodicalIF\":1.6000,\"publicationDate\":\"2025-07-28\",\"publicationTypes\":\"Journal Article\",\"fieldsOfStudy\":null,\"isOpenAccess\":false,\"openAccessPdf\":\"https://www.ncbi.nlm.nih.gov/pmc/articles/PMC12401277/pdf/\",\"citationCount\":\"0\",\"resultStr\":null,\"platform\":\"Semanticscholar\",\"paperid\":null,\"PeriodicalName\":\"Annals of Medicine and Surgery\",\"FirstCategoryId\":\"1085\",\"ListUrlMain\":\"https://doi.org/10.1097/MS9.0000000000003647\",\"RegionNum\":0,\"RegionCategory\":null,\"ArticlePicture\":[],\"TitleCN\":null,\"AbstractTextCN\":null,\"PMCID\":null,\"EPubDate\":\"2025/9/1 0:00:00\",\"PubModel\":\"eCollection\",\"JCR\":\"Q2\",\"JCRName\":\"MEDICINE, GENERAL & INTERNAL\",\"Score\":null,\"Total\":0}","platform":"Semanticscholar","paperid":null,"PeriodicalName":"Annals of Medicine and Surgery","FirstCategoryId":"1085","ListUrlMain":"https://doi.org/10.1097/MS9.0000000000003647","RegionNum":0,"RegionCategory":null,"ArticlePicture":[],"TitleCN":null,"AbstractTextCN":null,"PMCID":null,"EPubDate":"2025/9/1 0:00:00","PubModel":"eCollection","JCR":"Q2","JCRName":"MEDICINE, GENERAL & INTERNAL","Score":null,"Total":0}
引用次数: 0

摘要

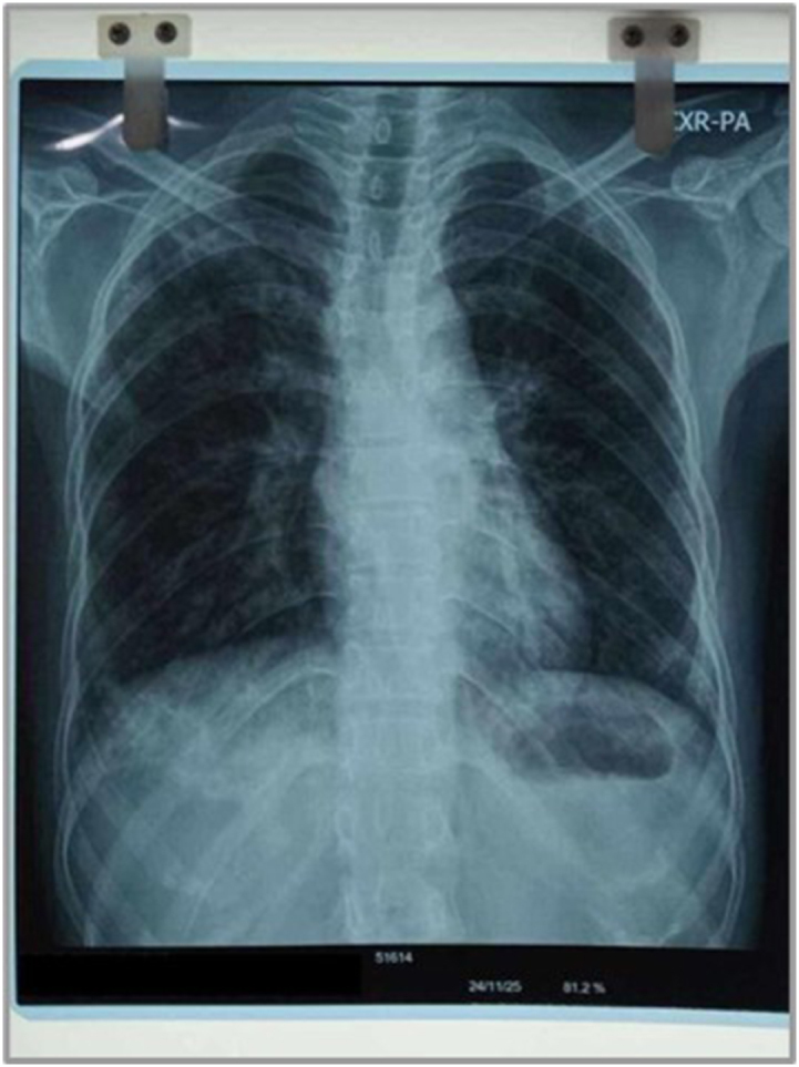
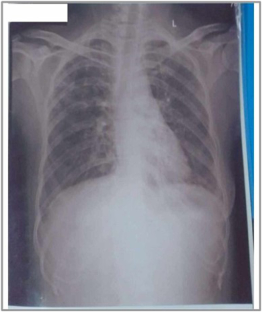
背景:在临床实践中,一些病例轻轻地挑战了我们的假设,提醒我们并非一切都是表面上看起来的那样。这是一名接受结核病治疗的年轻妇女的故事,她开始表现出不仅仅是感染的迹象。它强调了自身免疫是如何在另一种疾病的阴影下出现的,需要仔细关注和开放的思想。病例介绍:一位接受肺结核治疗的27岁女性向我们提出了恶化的关节疼痛,肿胀,面部皮疹和肌肉无力。她连爬楼梯这样的基本动作都有困难,脸上和指关节上也出现了皮疹。检查时,患者有颧红疹和戈特隆丘疹,上肢和下肢明显无力。她的实验室结果显示ESR升高,PM-Scl抗体阳性;同时,其他自身免疫标志物呈阴性。她的影像学显示腱鞘炎和微血管改变。随后,她被诊断出患有肌炎谱系内的未分化炎性关节炎,并开始服用类固醇和DMARDs,同时继续她的结核病治疗。讨论:本病例突出了在已经接受结核病治疗的患者中诊断自身免疫性疾病的挑战。在流行地区,很容易将新症状单独归咎于感染,但她不断发展的临床图景促使我们深入挖掘。它强调了在处理重叠的感染性和自身免疫性疾病时需要仔细的临床判断和团队合作。结论:对于像她这样的患者,及时识别自身免疫特征——特别是在慢性感染的情况下——可以改变结果。她的旅程不仅突出了医学的复杂性,而且强调了密切倾听、广泛思考和以多学科方法应对的价值。
本文章由计算机程序翻译,如有差异,请以英文原文为准。

Undifferentiated inflammatory arthritis in a tuberculosis-positive patient: a diagnostic and therapeutic challenge - a case report.

Undifferentiated inflammatory arthritis in a tuberculosis-positive patient: a diagnostic and therapeutic challenge - a case report.

Undifferentiated inflammatory arthritis in a tuberculosis-positive patient: a diagnostic and therapeutic challenge - a case report.

Background: In clinical practice, some cases gently challenge our assumptions, reminding us that not everything is what it seems. This is the story of a young woman receiving treatment for tuberculosis who began showing signs that pointed beyond infection alone. It underlines how autoimmunity can surface in the shadows of another illness, demanding careful attention and an open mind.

Case presentation: A 27-year-old woman receiving treatment for pulmonary tuberculosis presented to us with worsening joint pain, swelling, facial rash, and muscle weakness. She had trouble with basic movements like climbing stairs and noticed rashes over her face and knuckles. On examination, she had a malar rash and Gottron's papules, with noticeably weakness in her upper and lower limbs. Her lab results showed elevated ESR and a positive PM-Scl antibody; meanwhile, other autoimmune markers were negative. Her imaging revealed tenosynovitis and microvascular changes on capillaroscopy. She was then diagnosed with undifferentiated inflammatory arthritis, within the myositis spectrum - and was started on steroids and DMARDs while continuing her TB therapy.

Discussion: This case highlights the challenges of diagnosing autoimmune disease in a patient already being treated for TB. In endemic areas, it is easy to blame new symptoms on infection alone, but her evolving clinical picture urged us to dig deeper. It reinforces the need for careful clinical judgment and teamwork when managing overlapping infectious and autoimmune conditions.

Conclusion: For patients like her, timely recognition of autoimmune features - especially in the context of chronic infections - can change outcomes. Her journey highlights not only the complexity of medicine but also the value of listening closely, thinking broadly, and responding with a multidisciplinary approach.

求助全文
通过发布文献求助,成功后即可免费获取论文全文。 去求助
来源期刊
Annals of Medicine and Surgery
Annals of Medicine and Surgery MEDICINE, GENERAL & INTERNAL-
自引率
5.90%
发文量
1665
×
引用
GB/T 7714-2015
复制
MLA
复制
APA
复制
导出至
BibTeX EndNote RefMan NoteFirst NoteExpress
×
提示
您的信息不完整,为了账户安全,请先补充。
现在去补充
×
提示
您因"违规操作"
具体请查看互助需知
我知道了
×
提示
确定
请完成安全验证×
copy
已复制链接
快去分享给好友吧!
我知道了
右上角分享
点击右上角分享
0
联系我们:info@booksci.cn Book学术提供免费学术资源搜索服务,方便国内外学者检索中英文文献。致力于提供最便捷和优质的服务体验。 Copyright © 2023 布克学术 All rights reserved.
京ICP备2023020795号-1
ghs 京公网安备 11010802042870号
Book学术文献互助
Book学术文献互助群
群 号:604180095
Book学术官方微信