完全性反位伴乙状结肠扭转1例:罕见的共存病例报告。

IF 1.6 Q2 MEDICINE, GENERAL & INTERNAL
Annals of Medicine and Surgery Pub Date : 2025-07-25 eCollection Date: 2025-09-01 DOI:10.1097/MS9.0000000000003651
Shrestha Anmol Singh, Puspharaj Shrestha, Pahari Nabin, Singh Chandresh Kumar, Chhetri Sahas, Pahari Mukesh
{"title":"完全性反位伴乙状结肠扭转1例:罕见的共存病例报告。","authors":"Shrestha Anmol Singh, Puspharaj Shrestha, Pahari Nabin, Singh Chandresh Kumar, Chhetri Sahas, Pahari Mukesh","doi":"10.1097/MS9.0000000000003651","DOIUrl":null,"url":null,"abstract":"<p><strong>Introduction: </strong>Situs inversus totalis is an uncommon congenital disease characterized by the full transposition of thoracic and abdominal organs. Sigmoid volvulus, an unusual but potentially catastrophic cause of major bowel obstruction, is rarely associated with Situs inversus.</p><p><strong>Case presentation: </strong>A 76-year-old male presented with abdominal pain and obstipation for 5 days. Clinical examination and imaging revealed signs of bowel obstruction and dextrocardia. Computed tomography (CT) scan abdomen confirmed sigmoid volvulus and situs inversus totalis. Emergency laparotomy revealed a 360-degree twisted, dilated sigmoid colon. Manual detorsion and excision of fibrous bands were performed. The patient recovered uneventfully.</p><p><strong>Clinical discussion: </strong>While sigmoid volvulus is a known surgical emergency, its diagnosis in situs inversus patients can be challenging due to reversed anatomical landmarks. Imaging plays a critical role in both diagnosis and surgical planning.</p><p><strong>Conclusion: </strong>Awareness of reversed anatomy in situs inversus is crucial for prompt diagnosis and successful surgical management acute abdominal conditions like volvulus.</p>","PeriodicalId":8025,"journal":{"name":"Annals of Medicine and Surgery","volume":"87 9","pages":"6193-6196"},"PeriodicalIF":1.6000,"publicationDate":"2025-07-25","publicationTypes":"Journal Article","fieldsOfStudy":null,"isOpenAccess":false,"openAccessPdf":"https://www.ncbi.nlm.nih.gov/pmc/articles/PMC12401335/pdf/","citationCount":"0","resultStr":"{\"title\":\"A case of situs inversus totalis with sigmoid volvulus: a case report of a rare coexistence.\",\"authors\":\"Shrestha Anmol Singh, Puspharaj Shrestha, Pahari Nabin, Singh Chandresh Kumar, Chhetri Sahas, Pahari Mukesh\",\"doi\":\"10.1097/MS9.0000000000003651\",\"DOIUrl\":null,\"url\":null,\"abstract\":\"<p><strong>Introduction: </strong>Situs inversus totalis is an uncommon congenital disease characterized by the full transposition of thoracic and abdominal organs. Sigmoid volvulus, an unusual but potentially catastrophic cause of major bowel obstruction, is rarely associated with Situs inversus.</p><p><strong>Case presentation: </strong>A 76-year-old male presented with abdominal pain and obstipation for 5 days. Clinical examination and imaging revealed signs of bowel obstruction and dextrocardia. Computed tomography (CT) scan abdomen confirmed sigmoid volvulus and situs inversus totalis. Emergency laparotomy revealed a 360-degree twisted, dilated sigmoid colon. Manual detorsion and excision of fibrous bands were performed. The patient recovered uneventfully.</p><p><strong>Clinical discussion: </strong>While sigmoid volvulus is a known surgical emergency, its diagnosis in situs inversus patients can be challenging due to reversed anatomical landmarks. Imaging plays a critical role in both diagnosis and surgical planning.</p><p><strong>Conclusion: </strong>Awareness of reversed anatomy in situs inversus is crucial for prompt diagnosis and successful surgical management acute abdominal conditions like volvulus.</p>\",\"PeriodicalId\":8025,\"journal\":{\"name\":\"Annals of Medicine and Surgery\",\"volume\":\"87 9\",\"pages\":\"6193-6196\"},\"PeriodicalIF\":1.6000,\"publicationDate\":\"2025-07-25\",\"publicationTypes\":\"Journal Article\",\"fieldsOfStudy\":null,\"isOpenAccess\":false,\"openAccessPdf\":\"https://www.ncbi.nlm.nih.gov/pmc/articles/PMC12401335/pdf/\",\"citationCount\":\"0\",\"resultStr\":null,\"platform\":\"Semanticscholar\",\"paperid\":null,\"PeriodicalName\":\"Annals of Medicine and Surgery\",\"FirstCategoryId\":\"1085\",\"ListUrlMain\":\"https://doi.org/10.1097/MS9.0000000000003651\",\"RegionNum\":0,\"RegionCategory\":null,\"ArticlePicture\":[],\"TitleCN\":null,\"AbstractTextCN\":null,\"PMCID\":null,\"EPubDate\":\"2025/9/1 0:00:00\",\"PubModel\":\"eCollection\",\"JCR\":\"Q2\",\"JCRName\":\"MEDICINE, GENERAL & INTERNAL\",\"Score\":null,\"Total\":0}","platform":"Semanticscholar","paperid":null,"PeriodicalName":"Annals of Medicine and Surgery","FirstCategoryId":"1085","ListUrlMain":"https://doi.org/10.1097/MS9.0000000000003651","RegionNum":0,"RegionCategory":null,"ArticlePicture":[],"TitleCN":null,"AbstractTextCN":null,"PMCID":null,"EPubDate":"2025/9/1 0:00:00","PubModel":"eCollection","JCR":"Q2","JCRName":"MEDICINE, GENERAL & INTERNAL","Score":null,"Total":0}
引用次数: 0

摘要

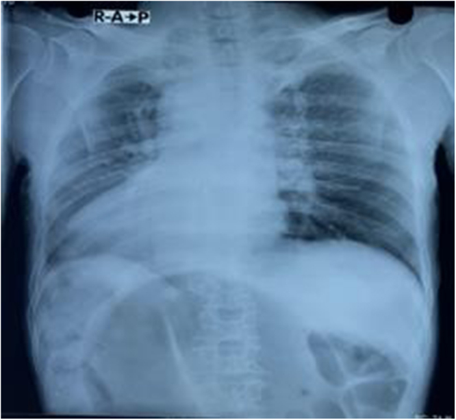
完全性倒位是一种罕见的先天性疾病,其特征是胸部和腹部器官的完全移位。乙状结肠扭转是一种罕见但潜在的严重肠梗阻的灾难性原因,很少与倒位相关。病例介绍:76岁男性,腹痛腹痛5天。临床检查及影像学显示有肠梗阻及右心征。腹部电脑断层扫描证实乙状结肠扭转及完全性倒位。急诊剖腹探查发现一个360度扭曲扩张的乙状结肠。手工扭曲和切除纤维带。病人平静地康复了。临床讨论:虽然乙状结肠扭转是一种已知的外科急症,但由于解剖标志相反,其在倒位患者中的诊断可能具有挑战性。影像在诊断和手术计划中都起着至关重要的作用。结论:了解腹扭转等急腹症的反向解剖对及时诊断和成功手术治疗至关重要。
本文章由计算机程序翻译,如有差异,请以英文原文为准。

A case of situs inversus totalis with sigmoid volvulus: a case report of a rare coexistence.

A case of situs inversus totalis with sigmoid volvulus: a case report of a rare coexistence.

A case of situs inversus totalis with sigmoid volvulus: a case report of a rare coexistence.

A case of situs inversus totalis with sigmoid volvulus: a case report of a rare coexistence.

Introduction: Situs inversus totalis is an uncommon congenital disease characterized by the full transposition of thoracic and abdominal organs. Sigmoid volvulus, an unusual but potentially catastrophic cause of major bowel obstruction, is rarely associated with Situs inversus.

Case presentation: A 76-year-old male presented with abdominal pain and obstipation for 5 days. Clinical examination and imaging revealed signs of bowel obstruction and dextrocardia. Computed tomography (CT) scan abdomen confirmed sigmoid volvulus and situs inversus totalis. Emergency laparotomy revealed a 360-degree twisted, dilated sigmoid colon. Manual detorsion and excision of fibrous bands were performed. The patient recovered uneventfully.

Clinical discussion: While sigmoid volvulus is a known surgical emergency, its diagnosis in situs inversus patients can be challenging due to reversed anatomical landmarks. Imaging plays a critical role in both diagnosis and surgical planning.

Conclusion: Awareness of reversed anatomy in situs inversus is crucial for prompt diagnosis and successful surgical management acute abdominal conditions like volvulus.

求助全文
通过发布文献求助,成功后即可免费获取论文全文。 去求助
来源期刊
Annals of Medicine and Surgery
Annals of Medicine and Surgery MEDICINE, GENERAL & INTERNAL-
自引率
5.90%
发文量
1665
×
引用
GB/T 7714-2015
复制
MLA
复制
APA
复制
导出至
BibTeX EndNote RefMan NoteFirst NoteExpress
×
提示
您的信息不完整,为了账户安全,请先补充。
现在去补充
×
提示
您因"违规操作"
具体请查看互助需知
我知道了
×
提示
确定
请完成安全验证×
copy
已复制链接
快去分享给好友吧!
我知道了
右上角分享
点击右上角分享
0
联系我们:info@booksci.cn Book学术提供免费学术资源搜索服务,方便国内外学者检索中英文文献。致力于提供最便捷和优质的服务体验。 Copyright © 2023 布克学术 All rights reserved.
京ICP备2023020795号-1
ghs 京公网安备 11010802042870号
Book学术文献互助
Book学术文献互助群
群 号:604180095
Book学术官方微信