心脏填塞并发硬皮病,系统性硬化症肾危象1例。

IF 1.6 Q2 MEDICINE, GENERAL & INTERNAL
Annals of Medicine and Surgery Pub Date : 2025-08-05 eCollection Date: 2025-09-01 DOI:10.1097/MS9.0000000000003646
Suraj Shrestha, Roshan Aryal, Suman Acharya, Khagendra Shrestha, Anuradha Twayana
{"title":"心脏填塞并发硬皮病,系统性硬化症肾危象1例。","authors":"Suraj Shrestha, Roshan Aryal, Suman Acharya, Khagendra Shrestha, Anuradha Twayana","doi":"10.1097/MS9.0000000000003646","DOIUrl":null,"url":null,"abstract":"<p><strong>Introduction and importance: </strong>Systemic sclerosis (SSc) is a rare autoimmune disease characterized by fibrosis of internal organs and vasculopathy. It commonly involves the skin and multiple organs, including the kidneys and cardiovascular system. Cardiac tamponade in SSc is an uncommon manifestation, often occurring alongside scleroderma renal crisis (SRC).</p><p><strong>Case presentation: </strong>A 50-year-old woman presented with sudden shortness of breath, chest pain, and reduced urine output. Diagnostic tests revealed a large pericardial effusion leading to cardiac tamponade, acute kidney injury, and microangiopathic hemolytic anemia. Clinical assessment and immunological testing confirmed the diagnosis of systemic sclerosis. The patient received pericardiocentesis, hemodialysis, and was treated with diuretics and angiotensin-converting enzyme inhibitors (ACEIs).</p><p><strong>Discussion: </strong>Pericardial effusion is frequently seen in SSc, but it is difficult to determine whether it directly contributes to or results from SRC. Early diagnosis and the use of ACEIs have shown promising benefits in managing SRC.</p><p><strong>Conclusion: </strong>This case underscores the rare yet critical presentation of SSc with concurrent cardiac tamponade and SRC, emphasizing the importance of early diagnosis and multidisciplinary management.</p>","PeriodicalId":8025,"journal":{"name":"Annals of Medicine and Surgery","volume":"87 9","pages":"6163-6167"},"PeriodicalIF":1.6000,"publicationDate":"2025-08-05","publicationTypes":"Journal Article","fieldsOfStudy":null,"isOpenAccess":false,"openAccessPdf":"https://www.ncbi.nlm.nih.gov/pmc/articles/PMC12401429/pdf/","citationCount":"0","resultStr":"{\"title\":\"Cardiac tamponade with scleroderma renal crisis in systemic sclerosis: a case report.\",\"authors\":\"Suraj Shrestha, Roshan Aryal, Suman Acharya, Khagendra Shrestha, Anuradha Twayana\",\"doi\":\"10.1097/MS9.0000000000003646\",\"DOIUrl\":null,\"url\":null,\"abstract\":\"<p><strong>Introduction and importance: </strong>Systemic sclerosis (SSc) is a rare autoimmune disease characterized by fibrosis of internal organs and vasculopathy. It commonly involves the skin and multiple organs, including the kidneys and cardiovascular system. Cardiac tamponade in SSc is an uncommon manifestation, often occurring alongside scleroderma renal crisis (SRC).</p><p><strong>Case presentation: </strong>A 50-year-old woman presented with sudden shortness of breath, chest pain, and reduced urine output. Diagnostic tests revealed a large pericardial effusion leading to cardiac tamponade, acute kidney injury, and microangiopathic hemolytic anemia. Clinical assessment and immunological testing confirmed the diagnosis of systemic sclerosis. The patient received pericardiocentesis, hemodialysis, and was treated with diuretics and angiotensin-converting enzyme inhibitors (ACEIs).</p><p><strong>Discussion: </strong>Pericardial effusion is frequently seen in SSc, but it is difficult to determine whether it directly contributes to or results from SRC. Early diagnosis and the use of ACEIs have shown promising benefits in managing SRC.</p><p><strong>Conclusion: </strong>This case underscores the rare yet critical presentation of SSc with concurrent cardiac tamponade and SRC, emphasizing the importance of early diagnosis and multidisciplinary management.</p>\",\"PeriodicalId\":8025,\"journal\":{\"name\":\"Annals of Medicine and Surgery\",\"volume\":\"87 9\",\"pages\":\"6163-6167\"},\"PeriodicalIF\":1.6000,\"publicationDate\":\"2025-08-05\",\"publicationTypes\":\"Journal Article\",\"fieldsOfStudy\":null,\"isOpenAccess\":false,\"openAccessPdf\":\"https://www.ncbi.nlm.nih.gov/pmc/articles/PMC12401429/pdf/\",\"citationCount\":\"0\",\"resultStr\":null,\"platform\":\"Semanticscholar\",\"paperid\":null,\"PeriodicalName\":\"Annals of Medicine and Surgery\",\"FirstCategoryId\":\"1085\",\"ListUrlMain\":\"https://doi.org/10.1097/MS9.0000000000003646\",\"RegionNum\":0,\"RegionCategory\":null,\"ArticlePicture\":[],\"TitleCN\":null,\"AbstractTextCN\":null,\"PMCID\":null,\"EPubDate\":\"2025/9/1 0:00:00\",\"PubModel\":\"eCollection\",\"JCR\":\"Q2\",\"JCRName\":\"MEDICINE, GENERAL & INTERNAL\",\"Score\":null,\"Total\":0}","platform":"Semanticscholar","paperid":null,"PeriodicalName":"Annals of Medicine and Surgery","FirstCategoryId":"1085","ListUrlMain":"https://doi.org/10.1097/MS9.0000000000003646","RegionNum":0,"RegionCategory":null,"ArticlePicture":[],"TitleCN":null,"AbstractTextCN":null,"PMCID":null,"EPubDate":"2025/9/1 0:00:00","PubModel":"eCollection","JCR":"Q2","JCRName":"MEDICINE, GENERAL & INTERNAL","Score":null,"Total":0}
引用次数: 0

摘要

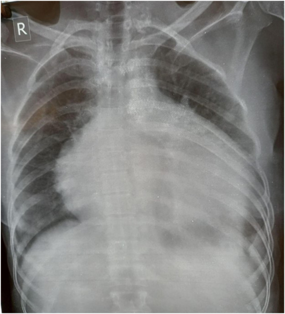
简介及重要性:系统性硬化症(SSc)是一种罕见的自身免疫性疾病,以内脏纤维化和血管病变为特征。它通常涉及皮肤和多个器官,包括肾脏和心血管系统。心脏填塞是一种罕见的表现,通常与硬皮病肾危象(SRC)一起发生。病例介绍:一名50岁女性,表现为突然呼吸短促、胸痛和尿量减少。诊断试验显示大量心包积液导致心包填塞、急性肾损伤和微血管病溶血性贫血。临床评估和免疫检查证实了系统性硬化症的诊断。患者接受心包穿刺、血液透析、利尿剂和血管紧张素转换酶抑制剂(ACEIs)治疗。讨论:心包积液常见于SSc,但很难确定它是SRC的直接诱因还是SRC的结果。早期诊断和使用acei在治疗SRC方面显示出有希望的益处。结论:该病例强调了SSc合并心包填塞和SRC的罕见但关键的表现,强调了早期诊断和多学科治疗的重要性。
本文章由计算机程序翻译,如有差异,请以英文原文为准。

Cardiac tamponade with scleroderma renal crisis in systemic sclerosis: a case report.

Cardiac tamponade with scleroderma renal crisis in systemic sclerosis: a case report.

Cardiac tamponade with scleroderma renal crisis in systemic sclerosis: a case report.

Cardiac tamponade with scleroderma renal crisis in systemic sclerosis: a case report.

Introduction and importance: Systemic sclerosis (SSc) is a rare autoimmune disease characterized by fibrosis of internal organs and vasculopathy. It commonly involves the skin and multiple organs, including the kidneys and cardiovascular system. Cardiac tamponade in SSc is an uncommon manifestation, often occurring alongside scleroderma renal crisis (SRC).

Case presentation: A 50-year-old woman presented with sudden shortness of breath, chest pain, and reduced urine output. Diagnostic tests revealed a large pericardial effusion leading to cardiac tamponade, acute kidney injury, and microangiopathic hemolytic anemia. Clinical assessment and immunological testing confirmed the diagnosis of systemic sclerosis. The patient received pericardiocentesis, hemodialysis, and was treated with diuretics and angiotensin-converting enzyme inhibitors (ACEIs).

Discussion: Pericardial effusion is frequently seen in SSc, but it is difficult to determine whether it directly contributes to or results from SRC. Early diagnosis and the use of ACEIs have shown promising benefits in managing SRC.

Conclusion: This case underscores the rare yet critical presentation of SSc with concurrent cardiac tamponade and SRC, emphasizing the importance of early diagnosis and multidisciplinary management.

求助全文
通过发布文献求助,成功后即可免费获取论文全文。 去求助
来源期刊
Annals of Medicine and Surgery
Annals of Medicine and Surgery MEDICINE, GENERAL & INTERNAL-
自引率
5.90%
发文量
1665
×
引用
GB/T 7714-2015
复制
MLA
复制
APA
复制
导出至
BibTeX EndNote RefMan NoteFirst NoteExpress
×
提示
您的信息不完整,为了账户安全,请先补充。
现在去补充
×
提示
您因"违规操作"
具体请查看互助需知
我知道了
×
提示
确定
请完成安全验证×
copy
已复制链接
快去分享给好友吧!
我知道了
右上角分享
点击右上角分享
0
联系我们:info@booksci.cn Book学术提供免费学术资源搜索服务,方便国内外学者检索中英文文献。致力于提供最便捷和优质的服务体验。 Copyright © 2023 布克学术 All rights reserved.
京ICP备2023020795号-1
ghs 京公网安备 11010802042870号
Book学术文献互助
Book学术文献互助群
群 号:604180095
Book学术官方微信