体外受精后双胎妊娠乳糜腹水首例报告:双胎妊娠乳糜腹水一例报告。

IF 1.6 Q2 MEDICINE, GENERAL & INTERNAL
Annals of Medicine and Surgery Pub Date : 2025-08-08 eCollection Date: 2025-09-01 DOI:10.1097/MS9.0000000000003686
Nguyen Xuan Hoi, Nguyen Thi Huyen Anh, Phung Thi Ly, Nguyen Dang Tuan
{"title":"体外受精后双胎妊娠乳糜腹水首例报告:双胎妊娠乳糜腹水一例报告。","authors":"Nguyen Xuan Hoi, Nguyen Thi Huyen Anh, Phung Thi Ly, Nguyen Dang Tuan","doi":"10.1097/MS9.0000000000003686","DOIUrl":null,"url":null,"abstract":"<p><strong>Introduction and importance: </strong>Chylous ascites is an exceptionally rare condition during pregnancy, typically presenting with nonspecific symptoms. To date, only a limited number of cases have been reported in the literature, and the majority of which occurred in singleton pregnancies.</p><p><strong>Case presentation: </strong>We report the case of a 25-year-old woman with a twin pregnancy who was admitted at 32 weeks of gestation with acute abdominal pain and nausea. Due to persistent severe pain, unexplained intraperitoneal fluid, and progressing labor, an emergent cesarean section was performed. Intraoperatively, 2000 mL of milky white fluid was discovered in the peritoneal cavity. Biochemical analysis with markedly elevated triglycerides confirmed the diagnosis of chylous ascites. Postoperative management included broad-spectrum intravenous antibiotics, octreotide injection, and a low-fat diet supplemented with medium-chain triglyceride oil. By postoperative day 7, ultrasound showed complete resolution of ascites, and the patient was discharged in stable condition. No recurrence was noted during 3 years of follow-up.</p><p><strong>Clinical discussion: </strong>This report presents a rare case of spontaneous chylous ascites in a previously healthy pregnant woman with a twin gestation. Potential mechanism for chylous ascites in our case can be due to enlarged gravid uterus of twin gestation during late pregnancy, which suppress the abdominal thoracic duct of mother and increase the pressure of the duct. Another possible mechanism involves the physiological effects of progesterone during pregnancy. Progesterone is known to induce smooth muscle relaxation, which can lead to dilation of lymphatic vessels and increased lymphatic flow. This vasodilatory effect may predispose to lymphatic leakage and contribute to the development of chylous ascites. The presence of milky white peritoneal fluid combined with a markedly elevated triglyceride concentration (≥ 110 mg/dL, 1945 mg/dL in our case) was key to confirm the diagnosis of chylous ascites. Treatment strategies typically depends on the underlying etiology and may include dietary modification (low-fat, MCT-enriched diet), pharmacologic therapy (somatostatin or octreotide), and surgical interventions in refractory cases.</p><p><strong>Conclusion: </strong>Chylous ascites should be included in the differential diagnosis of unexplained ascites in twin gestation, particularly when the fluid exhibits a milky appearance. Although chylous ascites resolves spontaneously in the postpartum period, this condition may necessitate the termination of pregnancy and requires a multidisciplinary approach, involving obstetricians, gastrointestinal surgeons, radiologists, and nutritionists, for timely diagnosis and effective management.</p>","PeriodicalId":8025,"journal":{"name":"Annals of Medicine and Surgery","volume":"87 9","pages":"6211-6215"},"PeriodicalIF":1.6000,"publicationDate":"2025-08-08","publicationTypes":"Journal Article","fieldsOfStudy":null,"isOpenAccess":false,"openAccessPdf":"https://www.ncbi.nlm.nih.gov/pmc/articles/PMC12401213/pdf/","citationCount":"0","resultStr":"{\"title\":\"The first case report of chylous ascites in a twin pregnancy following <i>in vitro</i> fertilization: a case report of chylous ascites in twin pregnancy.\",\"authors\":\"Nguyen Xuan Hoi, Nguyen Thi Huyen Anh, Phung Thi Ly, Nguyen Dang Tuan\",\"doi\":\"10.1097/MS9.0000000000003686\",\"DOIUrl\":null,\"url\":null,\"abstract\":\"<p><strong>Introduction and importance: </strong>Chylous ascites is an exceptionally rare condition during pregnancy, typically presenting with nonspecific symptoms. To date, only a limited number of cases have been reported in the literature, and the majority of which occurred in singleton pregnancies.</p><p><strong>Case presentation: </strong>We report the case of a 25-year-old woman with a twin pregnancy who was admitted at 32 weeks of gestation with acute abdominal pain and nausea. Due to persistent severe pain, unexplained intraperitoneal fluid, and progressing labor, an emergent cesarean section was performed. Intraoperatively, 2000 mL of milky white fluid was discovered in the peritoneal cavity. Biochemical analysis with markedly elevated triglycerides confirmed the diagnosis of chylous ascites. Postoperative management included broad-spectrum intravenous antibiotics, octreotide injection, and a low-fat diet supplemented with medium-chain triglyceride oil. By postoperative day 7, ultrasound showed complete resolution of ascites, and the patient was discharged in stable condition. No recurrence was noted during 3 years of follow-up.</p><p><strong>Clinical discussion: </strong>This report presents a rare case of spontaneous chylous ascites in a previously healthy pregnant woman with a twin gestation. Potential mechanism for chylous ascites in our case can be due to enlarged gravid uterus of twin gestation during late pregnancy, which suppress the abdominal thoracic duct of mother and increase the pressure of the duct. Another possible mechanism involves the physiological effects of progesterone during pregnancy. Progesterone is known to induce smooth muscle relaxation, which can lead to dilation of lymphatic vessels and increased lymphatic flow. This vasodilatory effect may predispose to lymphatic leakage and contribute to the development of chylous ascites. The presence of milky white peritoneal fluid combined with a markedly elevated triglyceride concentration (≥ 110 mg/dL, 1945 mg/dL in our case) was key to confirm the diagnosis of chylous ascites. Treatment strategies typically depends on the underlying etiology and may include dietary modification (low-fat, MCT-enriched diet), pharmacologic therapy (somatostatin or octreotide), and surgical interventions in refractory cases.</p><p><strong>Conclusion: </strong>Chylous ascites should be included in the differential diagnosis of unexplained ascites in twin gestation, particularly when the fluid exhibits a milky appearance. Although chylous ascites resolves spontaneously in the postpartum period, this condition may necessitate the termination of pregnancy and requires a multidisciplinary approach, involving obstetricians, gastrointestinal surgeons, radiologists, and nutritionists, for timely diagnosis and effective management.</p>\",\"PeriodicalId\":8025,\"journal\":{\"name\":\"Annals of Medicine and Surgery\",\"volume\":\"87 9\",\"pages\":\"6211-6215\"},\"PeriodicalIF\":1.6000,\"publicationDate\":\"2025-08-08\",\"publicationTypes\":\"Journal Article\",\"fieldsOfStudy\":null,\"isOpenAccess\":false,\"openAccessPdf\":\"https://www.ncbi.nlm.nih.gov/pmc/articles/PMC12401213/pdf/\",\"citationCount\":\"0\",\"resultStr\":null,\"platform\":\"Semanticscholar\",\"paperid\":null,\"PeriodicalName\":\"Annals of Medicine and Surgery\",\"FirstCategoryId\":\"1085\",\"ListUrlMain\":\"https://doi.org/10.1097/MS9.0000000000003686\",\"RegionNum\":0,\"RegionCategory\":null,\"ArticlePicture\":[],\"TitleCN\":null,\"AbstractTextCN\":null,\"PMCID\":null,\"EPubDate\":\"2025/9/1 0:00:00\",\"PubModel\":\"eCollection\",\"JCR\":\"Q2\",\"JCRName\":\"MEDICINE, GENERAL & INTERNAL\",\"Score\":null,\"Total\":0}","platform":"Semanticscholar","paperid":null,"PeriodicalName":"Annals of Medicine and Surgery","FirstCategoryId":"1085","ListUrlMain":"https://doi.org/10.1097/MS9.0000000000003686","RegionNum":0,"RegionCategory":null,"ArticlePicture":[],"TitleCN":null,"AbstractTextCN":null,"PMCID":null,"EPubDate":"2025/9/1 0:00:00","PubModel":"eCollection","JCR":"Q2","JCRName":"MEDICINE, GENERAL & INTERNAL","Score":null,"Total":0}
引用次数: 0

摘要

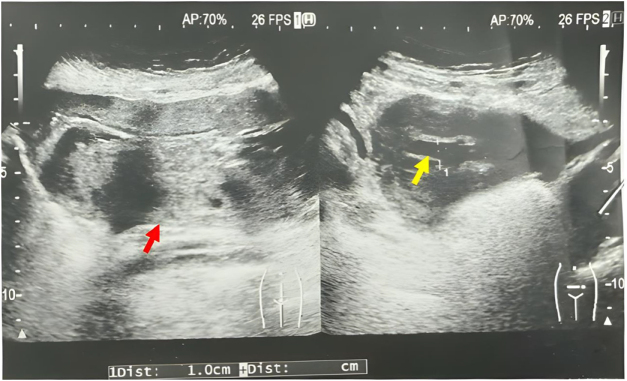
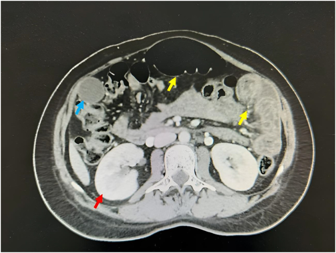
简介及重要性:乳糜腹水是妊娠期罕见的疾病,通常表现为非特异性症状。迄今为止,文献中只报道了有限数量的病例,其中大多数发生在单胎妊娠。病例介绍:我们报告了一例25岁的双胎妊娠妇女,在妊娠32周时因急性腹痛和恶心入院。由于持续剧烈疼痛,不明原因的腹腔积液,以及分娩进展,我们进行了紧急剖宫产手术。术中腹腔内发现2000 mL乳白色液体。甘油三酯明显升高的生化分析证实了乳糜腹水的诊断。术后治疗包括广谱静脉注射抗生素、奥曲肽、低脂饮食加中链甘油三酯油。术后第7天超声显示腹水完全消除,出院时病情稳定。随访3年无复发。临床讨论:本报告提出了一个罕见的自发性乳糜腹水的情况下,以前健康的孕妇与双胎妊娠。本病例乳糜腹水的潜在机制可能是由于妊娠后期双胎妊娠子宫增大,使母体胸腹管受到抑制,胸腹管压力增大。另一种可能的机制涉及怀孕期间黄体酮的生理作用。众所周知,黄体酮可以诱导平滑肌松弛,从而导致淋巴管扩张和淋巴流量增加。这种血管扩张作用可能导致淋巴渗漏,并导致乳糜腹水的发生。乳白色腹膜液并甘油三酯浓度显著升高(≥110 mg/dL,本例为1945 mg/dL)是确诊乳糜腹水的关键。治疗策略通常取决于潜在的病因,可能包括饮食调整(低脂,富含mct的饮食),药物治疗(生长抑素或奥曲肽),以及难治性病例的手术干预。结论:乳糜腹水应列入双胎妊娠不明原因腹水的鉴别诊断,特别是当液体呈乳状时。虽然乳糜腹水在产后会自行消退,但这种情况可能需要终止妊娠,需要多学科的方法,包括产科医生、胃肠外科医生、放射科医生和营养学家,以及时诊断和有效管理。
本文章由计算机程序翻译,如有差异,请以英文原文为准。

The first case report of chylous ascites in a twin pregnancy following <i>in vitro</i> fertilization: a case report of chylous ascites in twin pregnancy.

The first case report of chylous ascites in a twin pregnancy following <i>in vitro</i> fertilization: a case report of chylous ascites in twin pregnancy.

The first case report of chylous ascites in a twin pregnancy following <i>in vitro</i> fertilization: a case report of chylous ascites in twin pregnancy.

The first case report of chylous ascites in a twin pregnancy following in vitro fertilization: a case report of chylous ascites in twin pregnancy.

Introduction and importance: Chylous ascites is an exceptionally rare condition during pregnancy, typically presenting with nonspecific symptoms. To date, only a limited number of cases have been reported in the literature, and the majority of which occurred in singleton pregnancies.

Case presentation: We report the case of a 25-year-old woman with a twin pregnancy who was admitted at 32 weeks of gestation with acute abdominal pain and nausea. Due to persistent severe pain, unexplained intraperitoneal fluid, and progressing labor, an emergent cesarean section was performed. Intraoperatively, 2000 mL of milky white fluid was discovered in the peritoneal cavity. Biochemical analysis with markedly elevated triglycerides confirmed the diagnosis of chylous ascites. Postoperative management included broad-spectrum intravenous antibiotics, octreotide injection, and a low-fat diet supplemented with medium-chain triglyceride oil. By postoperative day 7, ultrasound showed complete resolution of ascites, and the patient was discharged in stable condition. No recurrence was noted during 3 years of follow-up.

Clinical discussion: This report presents a rare case of spontaneous chylous ascites in a previously healthy pregnant woman with a twin gestation. Potential mechanism for chylous ascites in our case can be due to enlarged gravid uterus of twin gestation during late pregnancy, which suppress the abdominal thoracic duct of mother and increase the pressure of the duct. Another possible mechanism involves the physiological effects of progesterone during pregnancy. Progesterone is known to induce smooth muscle relaxation, which can lead to dilation of lymphatic vessels and increased lymphatic flow. This vasodilatory effect may predispose to lymphatic leakage and contribute to the development of chylous ascites. The presence of milky white peritoneal fluid combined with a markedly elevated triglyceride concentration (≥ 110 mg/dL, 1945 mg/dL in our case) was key to confirm the diagnosis of chylous ascites. Treatment strategies typically depends on the underlying etiology and may include dietary modification (low-fat, MCT-enriched diet), pharmacologic therapy (somatostatin or octreotide), and surgical interventions in refractory cases.

Conclusion: Chylous ascites should be included in the differential diagnosis of unexplained ascites in twin gestation, particularly when the fluid exhibits a milky appearance. Although chylous ascites resolves spontaneously in the postpartum period, this condition may necessitate the termination of pregnancy and requires a multidisciplinary approach, involving obstetricians, gastrointestinal surgeons, radiologists, and nutritionists, for timely diagnosis and effective management.

求助全文
通过发布文献求助,成功后即可免费获取论文全文。 去求助
来源期刊
Annals of Medicine and Surgery
Annals of Medicine and Surgery MEDICINE, GENERAL & INTERNAL-
自引率
5.90%
发文量
1665
×
引用
GB/T 7714-2015
复制
MLA
复制
APA
复制
导出至
BibTeX EndNote RefMan NoteFirst NoteExpress
×
提示
您的信息不完整,为了账户安全,请先补充。
现在去补充
×
提示
您因"违规操作"
具体请查看互助需知
我知道了
×
提示
确定
请完成安全验证×
copy
已复制链接
快去分享给好友吧!
我知道了
右上角分享
点击右上角分享
0
联系我们:info@booksci.cn Book学术提供免费学术资源搜索服务,方便国内外学者检索中英文文献。致力于提供最便捷和优质的服务体验。 Copyright © 2023 布克学术 All rights reserved.
京ICP备2023020795号-1
ghs 京公网安备 11010802042870号
Book学术文献互助
Book学术文献互助群
群 号:604180095
Book学术官方微信