心脏骤停后脑损伤(PCABI)后年龄不一致的脑萎缩:病例报告和文献回顾。

IF 1.6 Q2 MEDICINE, GENERAL & INTERNAL
Annals of Medicine and Surgery Pub Date : 2025-07-23 eCollection Date: 2025-09-01 DOI:10.1097/MS9.0000000000003635
Muhammad Hassa Raza, Muhammad Hamza Khan, Abdul Sattar Anjum, Sadia Anjum, Faria Saeed, Ajay Pandey
{"title":"心脏骤停后脑损伤(PCABI)后年龄不一致的脑萎缩:病例报告和文献回顾。","authors":"Muhammad Hassa Raza, Muhammad Hamza Khan, Abdul Sattar Anjum, Sadia Anjum, Faria Saeed, Ajay Pandey","doi":"10.1097/MS9.0000000000003635","DOIUrl":null,"url":null,"abstract":"<p><strong>Introduction and importance: </strong>Age-inconsistent brain atrophy refers to brain shrinkage that is not proportional to chronological age. This case report is first to report a young patient who developed age-inconsistent brain atrophy due to post cardiac arrest brain injury (PCABI). Due to limitations in the available data, we report our experience and novel magnetic resonance (MR) imaging changes in the brain over the course of 2 months.</p><p><strong>Case presentation: </strong>We report a case of a 28-year-old woman who developed sudden cardiac arrest during a routine cesarean section, with loss of consciousness for an unspecified period of time. She was resuscitated, intubated and later transferred to intensive care unit (ICU); where her Glasgow Coma Scale on arrival was 4/15. Detailed history, physical examination, and radiological investigations confirmed the diagnosis of PCABI. She was treated in ICU along with physiotherapy for speedy recovery.</p><p><strong>Clinical discussion: </strong>PCABI is the major cause of long-term disability and mortality following cardiac arrest. In this novel case report, we establish that it can lead to age-inconsistent brain atrophy.</p><p><strong>Conclusion: </strong>Serial MR imaging scans of the brain should be performed for suspected or confirmed PCABI to evaluate brain atrophy and other changes. This will not only aid in deciphering residual brain deficits but also help in guiding the correct management of the patients.</p>","PeriodicalId":8025,"journal":{"name":"Annals of Medicine and Surgery","volume":"87 9","pages":"6158-6162"},"PeriodicalIF":1.6000,"publicationDate":"2025-07-23","publicationTypes":"Journal Article","fieldsOfStudy":null,"isOpenAccess":false,"openAccessPdf":"https://www.ncbi.nlm.nih.gov/pmc/articles/PMC12401362/pdf/","citationCount":"0","resultStr":"{\"title\":\"Age inconsistent brain atrophy following post cardiac arrest brain injury (PCABI): case report and review of literature.\",\"authors\":\"Muhammad Hassa Raza, Muhammad Hamza Khan, Abdul Sattar Anjum, Sadia Anjum, Faria Saeed, Ajay Pandey\",\"doi\":\"10.1097/MS9.0000000000003635\",\"DOIUrl\":null,\"url\":null,\"abstract\":\"<p><strong>Introduction and importance: </strong>Age-inconsistent brain atrophy refers to brain shrinkage that is not proportional to chronological age. This case report is first to report a young patient who developed age-inconsistent brain atrophy due to post cardiac arrest brain injury (PCABI). Due to limitations in the available data, we report our experience and novel magnetic resonance (MR) imaging changes in the brain over the course of 2 months.</p><p><strong>Case presentation: </strong>We report a case of a 28-year-old woman who developed sudden cardiac arrest during a routine cesarean section, with loss of consciousness for an unspecified period of time. She was resuscitated, intubated and later transferred to intensive care unit (ICU); where her Glasgow Coma Scale on arrival was 4/15. Detailed history, physical examination, and radiological investigations confirmed the diagnosis of PCABI. She was treated in ICU along with physiotherapy for speedy recovery.</p><p><strong>Clinical discussion: </strong>PCABI is the major cause of long-term disability and mortality following cardiac arrest. In this novel case report, we establish that it can lead to age-inconsistent brain atrophy.</p><p><strong>Conclusion: </strong>Serial MR imaging scans of the brain should be performed for suspected or confirmed PCABI to evaluate brain atrophy and other changes. This will not only aid in deciphering residual brain deficits but also help in guiding the correct management of the patients.</p>\",\"PeriodicalId\":8025,\"journal\":{\"name\":\"Annals of Medicine and Surgery\",\"volume\":\"87 9\",\"pages\":\"6158-6162\"},\"PeriodicalIF\":1.6000,\"publicationDate\":\"2025-07-23\",\"publicationTypes\":\"Journal Article\",\"fieldsOfStudy\":null,\"isOpenAccess\":false,\"openAccessPdf\":\"https://www.ncbi.nlm.nih.gov/pmc/articles/PMC12401362/pdf/\",\"citationCount\":\"0\",\"resultStr\":null,\"platform\":\"Semanticscholar\",\"paperid\":null,\"PeriodicalName\":\"Annals of Medicine and Surgery\",\"FirstCategoryId\":\"1085\",\"ListUrlMain\":\"https://doi.org/10.1097/MS9.0000000000003635\",\"RegionNum\":0,\"RegionCategory\":null,\"ArticlePicture\":[],\"TitleCN\":null,\"AbstractTextCN\":null,\"PMCID\":null,\"EPubDate\":\"2025/9/1 0:00:00\",\"PubModel\":\"eCollection\",\"JCR\":\"Q2\",\"JCRName\":\"MEDICINE, GENERAL & INTERNAL\",\"Score\":null,\"Total\":0}","platform":"Semanticscholar","paperid":null,"PeriodicalName":"Annals of Medicine and Surgery","FirstCategoryId":"1085","ListUrlMain":"https://doi.org/10.1097/MS9.0000000000003635","RegionNum":0,"RegionCategory":null,"ArticlePicture":[],"TitleCN":null,"AbstractTextCN":null,"PMCID":null,"EPubDate":"2025/9/1 0:00:00","PubModel":"eCollection","JCR":"Q2","JCRName":"MEDICINE, GENERAL & INTERNAL","Score":null,"Total":0}
引用次数: 0

摘要

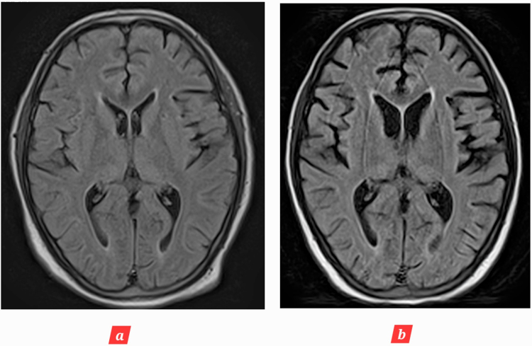
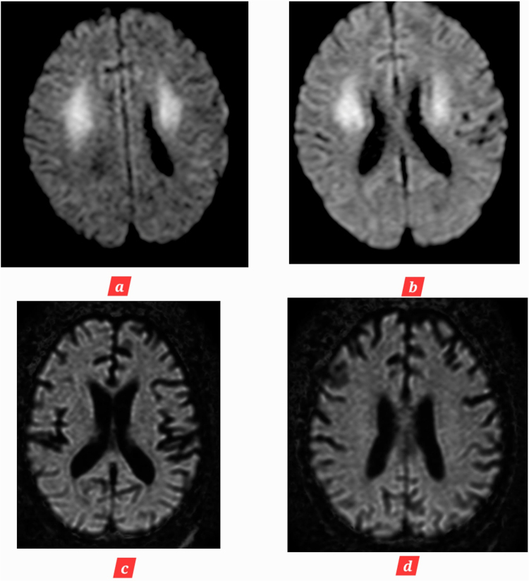
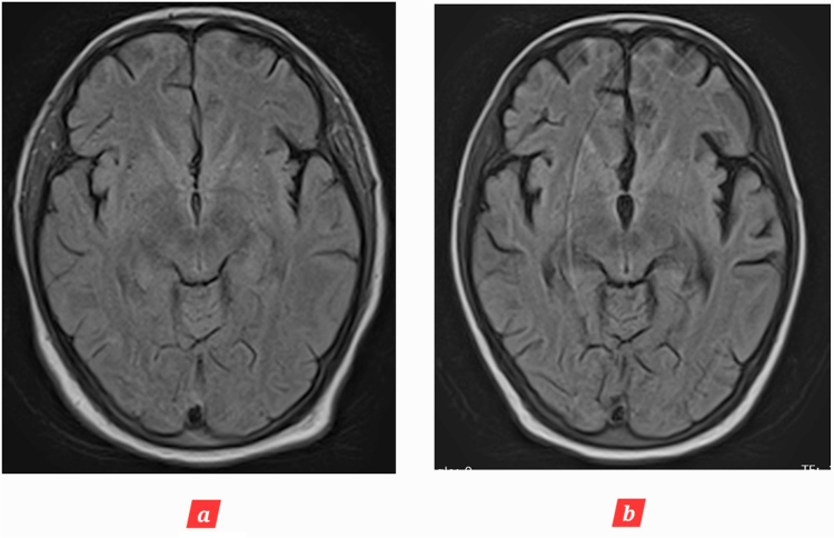
简介及重要性:年龄不一致的脑萎缩是指与实际年龄不成比例的脑萎缩。本病例报告首次报道了一名年轻患者因心脏骤停后脑损伤(PCABI)而发生年龄不一致的脑萎缩。由于可用数据的限制,我们报告了我们的经验和新的磁共振(MR)成像在2个月的过程中大脑的变化。病例介绍:我们报告一例28岁的妇女谁发展心脏骤停在常规剖宫产手术,意识丧失的时间不明。她被复苏,插管,后来转移到重症监护病房(ICU);她到达时格拉斯哥昏迷评分为4/15详细的病史、体格检查和影像学检查证实了PCABI的诊断。她在重症监护室接受物理治疗,以迅速康复。临床讨论:PCABI是心脏骤停后长期残疾和死亡的主要原因。在这个新颖的病例报告中,我们确定它可以导致年龄不一致的脑萎缩。结论:怀疑或证实PCABI的患者应进行连续的脑MR成像扫描,以评估脑萎缩和其他变化。这不仅有助于解释残留的脑缺陷,而且有助于指导正确的患者治疗。
本文章由计算机程序翻译,如有差异,请以英文原文为准。

Age inconsistent brain atrophy following post cardiac arrest brain injury (PCABI): case report and review of literature.

Age inconsistent brain atrophy following post cardiac arrest brain injury (PCABI): case report and review of literature.

Age inconsistent brain atrophy following post cardiac arrest brain injury (PCABI): case report and review of literature.

Age inconsistent brain atrophy following post cardiac arrest brain injury (PCABI): case report and review of literature.

Introduction and importance: Age-inconsistent brain atrophy refers to brain shrinkage that is not proportional to chronological age. This case report is first to report a young patient who developed age-inconsistent brain atrophy due to post cardiac arrest brain injury (PCABI). Due to limitations in the available data, we report our experience and novel magnetic resonance (MR) imaging changes in the brain over the course of 2 months.

Case presentation: We report a case of a 28-year-old woman who developed sudden cardiac arrest during a routine cesarean section, with loss of consciousness for an unspecified period of time. She was resuscitated, intubated and later transferred to intensive care unit (ICU); where her Glasgow Coma Scale on arrival was 4/15. Detailed history, physical examination, and radiological investigations confirmed the diagnosis of PCABI. She was treated in ICU along with physiotherapy for speedy recovery.

Clinical discussion: PCABI is the major cause of long-term disability and mortality following cardiac arrest. In this novel case report, we establish that it can lead to age-inconsistent brain atrophy.

Conclusion: Serial MR imaging scans of the brain should be performed for suspected or confirmed PCABI to evaluate brain atrophy and other changes. This will not only aid in deciphering residual brain deficits but also help in guiding the correct management of the patients.

求助全文
通过发布文献求助,成功后即可免费获取论文全文。 去求助
来源期刊
Annals of Medicine and Surgery
Annals of Medicine and Surgery MEDICINE, GENERAL & INTERNAL-
自引率
5.90%
发文量
1665
×
引用
GB/T 7714-2015
复制
MLA
复制
APA
复制
导出至
BibTeX EndNote RefMan NoteFirst NoteExpress
×
提示
您的信息不完整,为了账户安全,请先补充。
现在去补充
×
提示
您因"违规操作"
具体请查看互助需知
我知道了
×
提示
确定
请完成安全验证×
copy
已复制链接
快去分享给好友吧!
我知道了
右上角分享
点击右上角分享
0
联系我们:info@booksci.cn Book学术提供免费学术资源搜索服务,方便国内外学者检索中英文文献。致力于提供最便捷和优质的服务体验。 Copyright © 2023 布克学术 All rights reserved.
京ICP备2023020795号-1
ghs 京公网安备 11010802042870号
Book学术文献互助
Book学术文献互助群
群 号:604180095
Book学术官方微信