小儿胶质瘤切除术后出现症状性囊肿1例报告。

IF 1.6 Q2 MEDICINE, GENERAL & INTERNAL
Annals of Medicine and Surgery Pub Date : 2025-08-02 eCollection Date: 2025-09-01 DOI:10.1097/MS9.0000000000003666
R Praveen, Gianluca Scalia, Giuseppe Emmanuele Umana, Bipin Chaurasia
{"title":"小儿胶质瘤切除术后出现症状性囊肿1例报告。","authors":"R Praveen, Gianluca Scalia, Giuseppe Emmanuele Umana, Bipin Chaurasia","doi":"10.1097/MS9.0000000000003666","DOIUrl":null,"url":null,"abstract":"<p><strong>Introduction and importance: </strong>Postoperative cyst formation is a rare but significant complication following central nervous system (CNS) tumor resection. This case report describes a 14-year-old girl who developed a postoperative cyst after glioma excision, successfully managed through a minimally invasive approach.</p><p><strong>Case presentation: </strong>A 14-year-old female presented with headache and seizures. Magnetic Resonance Imaging (MRI) revealed a mass in the trigonal region. She underwent surgical resection of the tumor. On postoperative day 7, she developed a symptomatic cyst at the tumor bed. The cyst was drained, resulting in symptomatic improvement. Follow-up assessments confirmed her clinical recovery.</p><p><strong>Clinical discussion: </strong>In pediatric patients, postoperative cyst formation is less frequently reported compared to adults. This highlights the need for further investigation into its underlying mechanisms and optimal treatment strategies in children.</p><p><strong>Conclusion: </strong>Minimally invasive percutaneous drainage followed by shunting successfully managed the postoperative cyst and prevented recurrence in this pediatric glioma case. Given the absence of standardized treatment protocols, individualized care is essential to ensure the best possible outcomes.</p>","PeriodicalId":8025,"journal":{"name":"Annals of Medicine and Surgery","volume":"87 9","pages":"6201-6205"},"PeriodicalIF":1.6000,"publicationDate":"2025-08-02","publicationTypes":"Journal Article","fieldsOfStudy":null,"isOpenAccess":false,"openAccessPdf":"https://www.ncbi.nlm.nih.gov/pmc/articles/PMC12401426/pdf/","citationCount":"0","resultStr":"{\"title\":\"Symptomatic postoperative cyst following glioma excision in a pediatric patient: a case report.\",\"authors\":\"R Praveen, Gianluca Scalia, Giuseppe Emmanuele Umana, Bipin Chaurasia\",\"doi\":\"10.1097/MS9.0000000000003666\",\"DOIUrl\":null,\"url\":null,\"abstract\":\"<p><strong>Introduction and importance: </strong>Postoperative cyst formation is a rare but significant complication following central nervous system (CNS) tumor resection. This case report describes a 14-year-old girl who developed a postoperative cyst after glioma excision, successfully managed through a minimally invasive approach.</p><p><strong>Case presentation: </strong>A 14-year-old female presented with headache and seizures. Magnetic Resonance Imaging (MRI) revealed a mass in the trigonal region. She underwent surgical resection of the tumor. On postoperative day 7, she developed a symptomatic cyst at the tumor bed. The cyst was drained, resulting in symptomatic improvement. Follow-up assessments confirmed her clinical recovery.</p><p><strong>Clinical discussion: </strong>In pediatric patients, postoperative cyst formation is less frequently reported compared to adults. This highlights the need for further investigation into its underlying mechanisms and optimal treatment strategies in children.</p><p><strong>Conclusion: </strong>Minimally invasive percutaneous drainage followed by shunting successfully managed the postoperative cyst and prevented recurrence in this pediatric glioma case. Given the absence of standardized treatment protocols, individualized care is essential to ensure the best possible outcomes.</p>\",\"PeriodicalId\":8025,\"journal\":{\"name\":\"Annals of Medicine and Surgery\",\"volume\":\"87 9\",\"pages\":\"6201-6205\"},\"PeriodicalIF\":1.6000,\"publicationDate\":\"2025-08-02\",\"publicationTypes\":\"Journal Article\",\"fieldsOfStudy\":null,\"isOpenAccess\":false,\"openAccessPdf\":\"https://www.ncbi.nlm.nih.gov/pmc/articles/PMC12401426/pdf/\",\"citationCount\":\"0\",\"resultStr\":null,\"platform\":\"Semanticscholar\",\"paperid\":null,\"PeriodicalName\":\"Annals of Medicine and Surgery\",\"FirstCategoryId\":\"1085\",\"ListUrlMain\":\"https://doi.org/10.1097/MS9.0000000000003666\",\"RegionNum\":0,\"RegionCategory\":null,\"ArticlePicture\":[],\"TitleCN\":null,\"AbstractTextCN\":null,\"PMCID\":null,\"EPubDate\":\"2025/9/1 0:00:00\",\"PubModel\":\"eCollection\",\"JCR\":\"Q2\",\"JCRName\":\"MEDICINE, GENERAL & INTERNAL\",\"Score\":null,\"Total\":0}","platform":"Semanticscholar","paperid":null,"PeriodicalName":"Annals of Medicine and Surgery","FirstCategoryId":"1085","ListUrlMain":"https://doi.org/10.1097/MS9.0000000000003666","RegionNum":0,"RegionCategory":null,"ArticlePicture":[],"TitleCN":null,"AbstractTextCN":null,"PMCID":null,"EPubDate":"2025/9/1 0:00:00","PubModel":"eCollection","JCR":"Q2","JCRName":"MEDICINE, GENERAL & INTERNAL","Score":null,"Total":0}
引用次数: 0

摘要

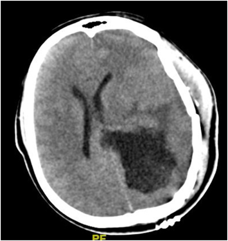
简介及重要性:囊肿形成是中枢神经系统(CNS)肿瘤切除术后罕见但重要的并发症。这个病例报告描述了一个14岁的女孩,她在胶质瘤切除术后出现了一个囊肿,并通过微创方法成功地进行了治疗。病例介绍:一名14岁女性,表现为头痛和癫痫发作。磁共振成像(MRI)显示三角区有肿块。她接受了肿瘤切除手术。术后第7天,患者在肿瘤床出现有症状的囊肿。囊肿引流后,症状得到改善。随访评估证实其临床康复。临床讨论:在儿科患者中,与成人相比,术后囊肿形成的报道较少。这突出了进一步研究其潜在机制和儿童最佳治疗策略的必要性。结论:微创经皮引流加分流术成功地治疗了小儿胶质瘤术后囊肿,并预防了复发。由于缺乏标准化的治疗方案,个性化护理对于确保最佳可能的结果至关重要。
本文章由计算机程序翻译,如有差异,请以英文原文为准。

Symptomatic postoperative cyst following glioma excision in a pediatric patient: a case report.

Symptomatic postoperative cyst following glioma excision in a pediatric patient: a case report.

Symptomatic postoperative cyst following glioma excision in a pediatric patient: a case report.

Symptomatic postoperative cyst following glioma excision in a pediatric patient: a case report.

Introduction and importance: Postoperative cyst formation is a rare but significant complication following central nervous system (CNS) tumor resection. This case report describes a 14-year-old girl who developed a postoperative cyst after glioma excision, successfully managed through a minimally invasive approach.

Case presentation: A 14-year-old female presented with headache and seizures. Magnetic Resonance Imaging (MRI) revealed a mass in the trigonal region. She underwent surgical resection of the tumor. On postoperative day 7, she developed a symptomatic cyst at the tumor bed. The cyst was drained, resulting in symptomatic improvement. Follow-up assessments confirmed her clinical recovery.

Clinical discussion: In pediatric patients, postoperative cyst formation is less frequently reported compared to adults. This highlights the need for further investigation into its underlying mechanisms and optimal treatment strategies in children.

Conclusion: Minimally invasive percutaneous drainage followed by shunting successfully managed the postoperative cyst and prevented recurrence in this pediatric glioma case. Given the absence of standardized treatment protocols, individualized care is essential to ensure the best possible outcomes.

求助全文
通过发布文献求助,成功后即可免费获取论文全文。 去求助
来源期刊
Annals of Medicine and Surgery
Annals of Medicine and Surgery MEDICINE, GENERAL & INTERNAL-
自引率
5.90%
发文量
1665
×
引用
GB/T 7714-2015
复制
MLA
复制
APA
复制
导出至
BibTeX EndNote RefMan NoteFirst NoteExpress
×
提示
您的信息不完整,为了账户安全,请先补充。
现在去补充
×
提示
您因"违规操作"
具体请查看互助需知
我知道了
×
提示
确定
请完成安全验证×
copy
已复制链接
快去分享给好友吧!
我知道了
右上角分享
点击右上角分享
0
联系我们:info@booksci.cn Book学术提供免费学术资源搜索服务,方便国内外学者检索中英文文献。致力于提供最便捷和优质的服务体验。 Copyright © 2023 布克学术 All rights reserved.
京ICP备2023020795号-1
ghs 京公网安备 11010802042870号
Book学术文献互助
Book学术文献互助群
群 号:604180095
Book学术官方微信