女性获得性血友病a伴微小病变及甲状腺功能减退:罕见病例报告。

IF 1.6 Q2 MEDICINE, GENERAL & INTERNAL
Annals of Medicine and Surgery Pub Date : 2025-07-25 eCollection Date: 2025-09-01 DOI:10.1097/MS9.0000000000003645
Bishal Budha, Abhishek Chapagain, Dibij Adhikari, Satish Bajracharya, Dhiraj Poudel, Rajan Budha, Subodh Adhikari, Raman Kumar Gurmaita
{"title":"女性获得性血友病a伴微小病变及甲状腺功能减退:罕见病例报告。","authors":"Bishal Budha, Abhishek Chapagain, Dibij Adhikari, Satish Bajracharya, Dhiraj Poudel, Rajan Budha, Subodh Adhikari, Raman Kumar Gurmaita","doi":"10.1097/MS9.0000000000003645","DOIUrl":null,"url":null,"abstract":"<p><strong>Introduction: </strong>Juvenile amyotrophic lateral sclerosis (J-ALS) is extremely rare neurodegenerative motor neuron disorder that begins in early childhood or adolescence, before the age of 25 years old. It is characterized by gradual disease progression with comparison to adult-onset ALS and is often linked to genetic mutations.</p><p><strong>Case presentation: </strong>A 16-years-old female presented with long history of generalized weakness since age of 10 years, followed by bilateral sensorineural hearing loss, bulbar symptoms, and limb spasticity. Neurological examination revealed upper motor neuron signs in upper limbs, lower motor neuron signs in lower limbs, and bulbar involvement. Nerve conduction test was normal however, MRI showed early degenerative changes, and diagnosed with J-ALS after careful evaluation. She was started on Riluzole. Despite ICU care and supportive interventions including PEG and tracheostomy, she succumbed to respiratory failure.</p><p><strong>Discussion: </strong>Rarity, atypical presentation, and finical constraints can delay diagnosis of J-ALS. However, early diagnosis after careful evaluation of clinical symptoms, medical history, electrophysiological and imaging studies followed by prompt treatment with Riluzole and supportive interventions can help prolong survival and improve quality of life.</p><p><strong>Conclusion: </strong>J-ALS is a rare motor neuron disease which possess immense diagnostic challenges, can exhibit relentless progression over short period of time with time.</p>","PeriodicalId":8025,"journal":{"name":"Annals of Medicine and Surgery","volume":"87 9","pages":"6168-6172"},"PeriodicalIF":1.6000,"publicationDate":"2025-07-25","publicationTypes":"Journal Article","fieldsOfStudy":null,"isOpenAccess":false,"openAccessPdf":"https://www.ncbi.nlm.nih.gov/pmc/articles/PMC12401356/pdf/","citationCount":"0","resultStr":"{\"title\":\"Acquired hemophilia a in a female with minimal change disease and hypothyroidism: a rare case report.\",\"authors\":\"Bishal Budha, Abhishek Chapagain, Dibij Adhikari, Satish Bajracharya, Dhiraj Poudel, Rajan Budha, Subodh Adhikari, Raman Kumar Gurmaita\",\"doi\":\"10.1097/MS9.0000000000003645\",\"DOIUrl\":null,\"url\":null,\"abstract\":\"<p><strong>Introduction: </strong>Juvenile amyotrophic lateral sclerosis (J-ALS) is extremely rare neurodegenerative motor neuron disorder that begins in early childhood or adolescence, before the age of 25 years old. It is characterized by gradual disease progression with comparison to adult-onset ALS and is often linked to genetic mutations.</p><p><strong>Case presentation: </strong>A 16-years-old female presented with long history of generalized weakness since age of 10 years, followed by bilateral sensorineural hearing loss, bulbar symptoms, and limb spasticity. Neurological examination revealed upper motor neuron signs in upper limbs, lower motor neuron signs in lower limbs, and bulbar involvement. Nerve conduction test was normal however, MRI showed early degenerative changes, and diagnosed with J-ALS after careful evaluation. She was started on Riluzole. Despite ICU care and supportive interventions including PEG and tracheostomy, she succumbed to respiratory failure.</p><p><strong>Discussion: </strong>Rarity, atypical presentation, and finical constraints can delay diagnosis of J-ALS. However, early diagnosis after careful evaluation of clinical symptoms, medical history, electrophysiological and imaging studies followed by prompt treatment with Riluzole and supportive interventions can help prolong survival and improve quality of life.</p><p><strong>Conclusion: </strong>J-ALS is a rare motor neuron disease which possess immense diagnostic challenges, can exhibit relentless progression over short period of time with time.</p>\",\"PeriodicalId\":8025,\"journal\":{\"name\":\"Annals of Medicine and Surgery\",\"volume\":\"87 9\",\"pages\":\"6168-6172\"},\"PeriodicalIF\":1.6000,\"publicationDate\":\"2025-07-25\",\"publicationTypes\":\"Journal Article\",\"fieldsOfStudy\":null,\"isOpenAccess\":false,\"openAccessPdf\":\"https://www.ncbi.nlm.nih.gov/pmc/articles/PMC12401356/pdf/\",\"citationCount\":\"0\",\"resultStr\":null,\"platform\":\"Semanticscholar\",\"paperid\":null,\"PeriodicalName\":\"Annals of Medicine and Surgery\",\"FirstCategoryId\":\"1085\",\"ListUrlMain\":\"https://doi.org/10.1097/MS9.0000000000003645\",\"RegionNum\":0,\"RegionCategory\":null,\"ArticlePicture\":[],\"TitleCN\":null,\"AbstractTextCN\":null,\"PMCID\":null,\"EPubDate\":\"2025/9/1 0:00:00\",\"PubModel\":\"eCollection\",\"JCR\":\"Q2\",\"JCRName\":\"MEDICINE, GENERAL & INTERNAL\",\"Score\":null,\"Total\":0}","platform":"Semanticscholar","paperid":null,"PeriodicalName":"Annals of Medicine and Surgery","FirstCategoryId":"1085","ListUrlMain":"https://doi.org/10.1097/MS9.0000000000003645","RegionNum":0,"RegionCategory":null,"ArticlePicture":[],"TitleCN":null,"AbstractTextCN":null,"PMCID":null,"EPubDate":"2025/9/1 0:00:00","PubModel":"eCollection","JCR":"Q2","JCRName":"MEDICINE, GENERAL & INTERNAL","Score":null,"Total":0}
引用次数: 0

摘要

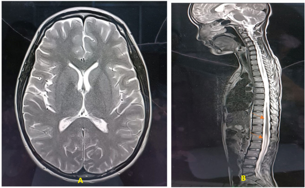
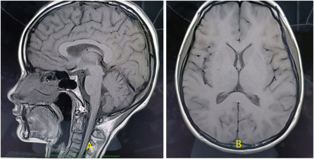
青少年肌萎缩性侧索硬化症(J-ALS)是一种极其罕见的神经退行性运动神经元疾病,始于儿童早期或青春期,25岁之前。与成人发病的ALS相比,其特点是疾病进展缓慢,通常与基因突变有关。病例介绍:一名16岁女性,自10岁起出现长期全身性虚弱,随后出现双侧感音神经性听力丧失、球症状和肢体痉挛。神经学检查显示上肢有上肢运动神经元征象,下肢有下肢运动神经元征象,并累及球。神经传导检查正常,但MRI显示早期退行性改变,经仔细评估诊断为J-ALS。她开始服用利鲁唑。尽管ICU护理和支持性干预包括PEG和气管切开术,她还是死于呼吸衰竭。讨论:罕见,不典型的表现,和财政限制可延迟诊断的J-ALS。然而,在仔细评估临床症状、病史、电生理和影像学检查后进行早期诊断,并及时使用利鲁唑和支持性干预措施进行治疗,可以帮助延长生存期,提高生活质量。结论:J-ALS是一种罕见的运动神经元疾病,具有巨大的诊断挑战,可在短时间内随着时间的推移而持续发展。
本文章由计算机程序翻译,如有差异,请以英文原文为准。

Acquired hemophilia a in a female with minimal change disease and hypothyroidism: a rare case report.

Acquired hemophilia a in a female with minimal change disease and hypothyroidism: a rare case report.

Acquired hemophilia a in a female with minimal change disease and hypothyroidism: a rare case report.

Acquired hemophilia a in a female with minimal change disease and hypothyroidism: a rare case report.

Introduction: Juvenile amyotrophic lateral sclerosis (J-ALS) is extremely rare neurodegenerative motor neuron disorder that begins in early childhood or adolescence, before the age of 25 years old. It is characterized by gradual disease progression with comparison to adult-onset ALS and is often linked to genetic mutations.

Case presentation: A 16-years-old female presented with long history of generalized weakness since age of 10 years, followed by bilateral sensorineural hearing loss, bulbar symptoms, and limb spasticity. Neurological examination revealed upper motor neuron signs in upper limbs, lower motor neuron signs in lower limbs, and bulbar involvement. Nerve conduction test was normal however, MRI showed early degenerative changes, and diagnosed with J-ALS after careful evaluation. She was started on Riluzole. Despite ICU care and supportive interventions including PEG and tracheostomy, she succumbed to respiratory failure.

Discussion: Rarity, atypical presentation, and finical constraints can delay diagnosis of J-ALS. However, early diagnosis after careful evaluation of clinical symptoms, medical history, electrophysiological and imaging studies followed by prompt treatment with Riluzole and supportive interventions can help prolong survival and improve quality of life.

Conclusion: J-ALS is a rare motor neuron disease which possess immense diagnostic challenges, can exhibit relentless progression over short period of time with time.

求助全文
通过发布文献求助,成功后即可免费获取论文全文。 去求助
来源期刊
Annals of Medicine and Surgery
Annals of Medicine and Surgery MEDICINE, GENERAL & INTERNAL-
自引率
5.90%
发文量
1665
×
引用
GB/T 7714-2015
复制
MLA
复制
APA
复制
导出至
BibTeX EndNote RefMan NoteFirst NoteExpress
×
提示
您的信息不完整,为了账户安全,请先补充。
现在去补充
×
提示
您因"违规操作"
具体请查看互助需知
我知道了
×
提示
确定
请完成安全验证×
copy
已复制链接
快去分享给好友吧!
我知道了
右上角分享
点击右上角分享
0
联系我们:info@booksci.cn Book学术提供免费学术资源搜索服务,方便国内外学者检索中英文文献。致力于提供最便捷和优质的服务体验。 Copyright © 2023 布克学术 All rights reserved.
京ICP备2023020795号-1
ghs 京公网安备 11010802042870号
Book学术文献互助
Book学术文献互助群
群 号:604180095
Book学术官方微信