全层直肠活检诊断巨结肠疾病:单一中心13年的经验。

IF 0.9
Northern clinics of Istanbul Pub Date : 2025-02-05 eCollection Date: 2025-01-01 DOI:10.14744/nci.2025.97455
Neslihan Gulcin, Furkan Ersoy, Gurkan Erkoc, Ali Ihsan Anadolulu, Meltem Caglar, Sidika Seyma Ozkanli, Cigdem Ulukaya Durakbasa
{"title":"全层直肠活检诊断巨结肠疾病:单一中心13年的经验。","authors":"Neslihan Gulcin, Furkan Ersoy, Gurkan Erkoc, Ali Ihsan Anadolulu, Meltem Caglar, Sidika Seyma Ozkanli, Cigdem Ulukaya Durakbasa","doi":"10.14744/nci.2025.97455","DOIUrl":null,"url":null,"abstract":"<p><strong>Objective: </strong>An experience regarding full-thickness rectal biopsies (FTRB) indications and results is presented.</p><p><strong>Methods: </strong>The records of patients who underwent FTRB between January 2010 and January 2022 were retrospectively reviewed.</p><p><strong>Results: </strong>107 patients were included. There were 66 men (61.6%) and 41 women (38.3%). The median age at biopsy was 15 (1-196) months. FTRB was performed in 81 patients who were unable to pass meconium in the first 48 hours or had intractable constipation. A stoma was performed in 26 patients before the rectal biopsy. Contrast colon radiography was conducted in 61 patients and/or anorectal manometry in 32 patients. Of the biopsies, 74 were full-thickness while 33 were not. Biopsies were repeated in 12 patients. Of the 49 (45%) patients with aganglionic specimens, data about nerve hypertrophy was reported in 37. Among these, 33 had nerve hypertrophy and 4 did not. A definitive surgery was performed in 44 of the 49 patients diagnosed with Hirschsprung disease (HD). Complications were observed in 7 (6.5%) of the patients.</p><p><strong>Conclusion: </strong>HD was histopathologically diagnosed. Biopsies that are not full-thickness can be of value when using immunohistochemistry stains.</p>","PeriodicalId":94347,"journal":{"name":"Northern clinics of Istanbul","volume":"12 1","pages":"138-143"},"PeriodicalIF":0.9000,"publicationDate":"2025-02-05","publicationTypes":"Journal Article","fieldsOfStudy":null,"isOpenAccess":false,"openAccessPdf":"https://www.ncbi.nlm.nih.gov/pmc/articles/PMC12364466/pdf/","citationCount":"0","resultStr":"{\"title\":\"Full-thickness rectal biopsies in diagnosis of Hirschsprung disease: 13 years of experience of a single center.\",\"authors\":\"Neslihan Gulcin, Furkan Ersoy, Gurkan Erkoc, Ali Ihsan Anadolulu, Meltem Caglar, Sidika Seyma Ozkanli, Cigdem Ulukaya Durakbasa\",\"doi\":\"10.14744/nci.2025.97455\",\"DOIUrl\":null,\"url\":null,\"abstract\":\"<p><strong>Objective: </strong>An experience regarding full-thickness rectal biopsies (FTRB) indications and results is presented.</p><p><strong>Methods: </strong>The records of patients who underwent FTRB between January 2010 and January 2022 were retrospectively reviewed.</p><p><strong>Results: </strong>107 patients were included. There were 66 men (61.6%) and 41 women (38.3%). The median age at biopsy was 15 (1-196) months. FTRB was performed in 81 patients who were unable to pass meconium in the first 48 hours or had intractable constipation. A stoma was performed in 26 patients before the rectal biopsy. Contrast colon radiography was conducted in 61 patients and/or anorectal manometry in 32 patients. Of the biopsies, 74 were full-thickness while 33 were not. Biopsies were repeated in 12 patients. Of the 49 (45%) patients with aganglionic specimens, data about nerve hypertrophy was reported in 37. Among these, 33 had nerve hypertrophy and 4 did not. A definitive surgery was performed in 44 of the 49 patients diagnosed with Hirschsprung disease (HD). Complications were observed in 7 (6.5%) of the patients.</p><p><strong>Conclusion: </strong>HD was histopathologically diagnosed. Biopsies that are not full-thickness can be of value when using immunohistochemistry stains.</p>\",\"PeriodicalId\":94347,\"journal\":{\"name\":\"Northern clinics of Istanbul\",\"volume\":\"12 1\",\"pages\":\"138-143\"},\"PeriodicalIF\":0.9000,\"publicationDate\":\"2025-02-05\",\"publicationTypes\":\"Journal Article\",\"fieldsOfStudy\":null,\"isOpenAccess\":false,\"openAccessPdf\":\"https://www.ncbi.nlm.nih.gov/pmc/articles/PMC12364466/pdf/\",\"citationCount\":\"0\",\"resultStr\":null,\"platform\":\"Semanticscholar\",\"paperid\":null,\"PeriodicalName\":\"Northern clinics of Istanbul\",\"FirstCategoryId\":\"1085\",\"ListUrlMain\":\"https://doi.org/10.14744/nci.2025.97455\",\"RegionNum\":0,\"RegionCategory\":null,\"ArticlePicture\":[],\"TitleCN\":null,\"AbstractTextCN\":null,\"PMCID\":null,\"EPubDate\":\"2025/1/1 0:00:00\",\"PubModel\":\"eCollection\",\"JCR\":\"\",\"JCRName\":\"\",\"Score\":null,\"Total\":0}","platform":"Semanticscholar","paperid":null,"PeriodicalName":"Northern clinics of Istanbul","FirstCategoryId":"1085","ListUrlMain":"https://doi.org/10.14744/nci.2025.97455","RegionNum":0,"RegionCategory":null,"ArticlePicture":[],"TitleCN":null,"AbstractTextCN":null,"PMCID":null,"EPubDate":"2025/1/1 0:00:00","PubModel":"eCollection","JCR":"","JCRName":"","Score":null,"Total":0}
引用次数: 0

摘要

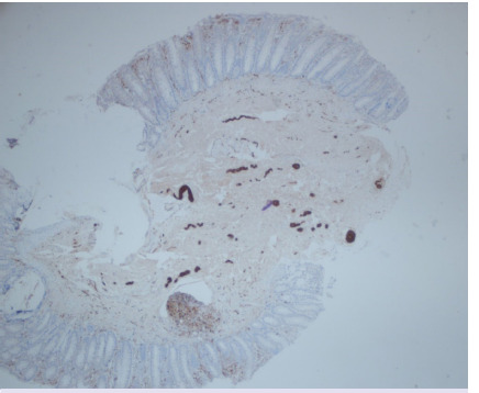
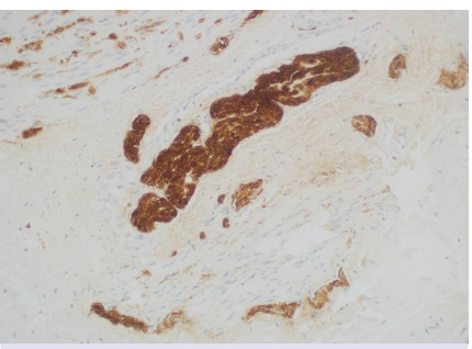
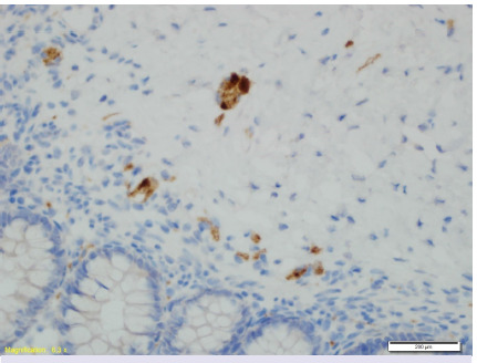
目的:介绍直肠全层活检(FTRB)的适应症和结果。方法:回顾性分析2010年1月至2022年1月间行FTRB的患者资料。结果:纳入107例患者。男性66例(61.6%),女性41例(38.3%)。活检时的中位年龄为15(1-196)个月。对81例在48小时内无法排出胎便或有顽固性便秘的患者进行了FTRB。26例患者在直肠活检前行造口术。61例患者行结肠造影,32例患者行肛肠测压。在活检中,74例为全层切片,33例为非全层切片。12例患者重复活检。在49例(45%)有神经节标本的患者中,37例报告了神经肥大的数据。其中神经肥大33例,无神经肥大4例。确诊为巨结肠病(HD)的49例患者中有44例进行了最终手术。7例(6.5%)患者出现并发症。结论:HD经组织病理学诊断。当使用免疫组织化学染色时,非全层活检是有价值的。
本文章由计算机程序翻译,如有差异,请以英文原文为准。

Full-thickness rectal biopsies in diagnosis of Hirschsprung disease: 13 years of experience of a single center.

Full-thickness rectal biopsies in diagnosis of Hirschsprung disease: 13 years of experience of a single center.

Full-thickness rectal biopsies in diagnosis of Hirschsprung disease: 13 years of experience of a single center.

Full-thickness rectal biopsies in diagnosis of Hirschsprung disease: 13 years of experience of a single center.

Objective: An experience regarding full-thickness rectal biopsies (FTRB) indications and results is presented.

Methods: The records of patients who underwent FTRB between January 2010 and January 2022 were retrospectively reviewed.

Results: 107 patients were included. There were 66 men (61.6%) and 41 women (38.3%). The median age at biopsy was 15 (1-196) months. FTRB was performed in 81 patients who were unable to pass meconium in the first 48 hours or had intractable constipation. A stoma was performed in 26 patients before the rectal biopsy. Contrast colon radiography was conducted in 61 patients and/or anorectal manometry in 32 patients. Of the biopsies, 74 were full-thickness while 33 were not. Biopsies were repeated in 12 patients. Of the 49 (45%) patients with aganglionic specimens, data about nerve hypertrophy was reported in 37. Among these, 33 had nerve hypertrophy and 4 did not. A definitive surgery was performed in 44 of the 49 patients diagnosed with Hirschsprung disease (HD). Complications were observed in 7 (6.5%) of the patients.

Conclusion: HD was histopathologically diagnosed. Biopsies that are not full-thickness can be of value when using immunohistochemistry stains.

求助全文
通过发布文献求助,成功后即可免费获取论文全文。 去求助
来源期刊
自引率
0.00%
发文量
0
×
引用
GB/T 7714-2015
复制
MLA
复制
APA
复制
导出至
BibTeX EndNote RefMan NoteFirst NoteExpress
×
提示
您的信息不完整,为了账户安全,请先补充。
现在去补充
×
提示
您因"违规操作"
具体请查看互助需知
我知道了
×
提示
确定
请完成安全验证×
copy
已复制链接
快去分享给好友吧!
我知道了
右上角分享
点击右上角分享
0
联系我们:info@booksci.cn Book学术提供免费学术资源搜索服务,方便国内外学者检索中英文文献。致力于提供最便捷和优质的服务体验。 Copyright © 2023 布克学术 All rights reserved.
京ICP备2023020795号-1
ghs 京公网安备 11010802042870号
Book学术文献互助
Book学术文献互助群
群 号:604180095
Book学术官方微信