从加纳阿散蒂地区医院分离出的产广谱β -内酰胺酶肺炎克雷伯菌患病率低但耐药性高。

IF 0.9
Elizabeth Akua Baidoo, Vivian Etsiapa Boamah, Hayford Odoi, Yaw Duah Boakye, Christian Agyare
{"title":"从加纳阿散蒂地区医院分离出的产广谱β -内酰胺酶肺炎克雷伯菌患病率低但耐药性高。","authors":"Elizabeth Akua Baidoo, Vivian Etsiapa Boamah, Hayford Odoi, Yaw Duah Boakye, Christian Agyare","doi":"10.4314/ahs.v25i2.4","DOIUrl":null,"url":null,"abstract":"<p><strong>Background: </strong>Antibiotic resistance continues to be a threat to public health worldwide, with its associated increased healthcare costs and loss of human lives. Despite the increasing reports of multi-drug resistant (MDR) <i>Klebsiella pneumoniae</i> (<i>K. pneumoniae</i>), its prevalence and resistance patterns remain under-reported in several developing countries, including Ghana.</p><p><strong>Objectives: </strong>This study hence sought to investigate the prevalence and resistance patterns of <i>K. pneumoniae</i> isolates from five selected hospitals in the Ashanti region of Ghana.</p><p><strong>Methods: </strong><i>K. pneumoniae</i> isolates were identified using biochemical tests, API 20 E and Matrix Assisted Laser Desorption Ionisation-Time of Flight Mass Spectrometry (MALDI-TOF MS). AST and ESBL production were determined phenotypically and via PCR.</p><p><strong>Results: </strong>Twenty (20) <i>K. pneumoniae</i> isolates were confirmed from the samples. The isolates were resistant to ampicillin (100%), ciprofloxacin (76.67%), co-trimoxazole (75%), chloramphenicol (63.33%) and cephalosporins (76.67 to 55%). Eighteen of the K. pneumoniae isolates (90%) were multi-drug resistant (MDR) while 60% of the isolates (n=12) produced Extended Spectrum Beta-Lactamases (ESBL) with blaCTX-M, blaSHV and blaTEM β-lactamase resistant encoding genes confirmed in 83, 75 and 33% of the isolates respectively.</p><p><strong>Conclusion: </strong>There is low prevalence but high multidrug resistance and high production of ESBL among <i>K. pneumoniae</i> isolates from the selected hospitals.</p>","PeriodicalId":94295,"journal":{"name":"African health sciences","volume":"25 2","pages":"20-29"},"PeriodicalIF":0.9000,"publicationDate":"2025-06-01","publicationTypes":"Journal Article","fieldsOfStudy":null,"isOpenAccess":false,"openAccessPdf":"https://www.ncbi.nlm.nih.gov/pmc/articles/PMC12361939/pdf/","citationCount":"0","resultStr":"{\"title\":\"Low prevalence but high resistance of Extended Spectrum Beta-lactamase producing <i>Klebsiella pneumoniae</i> isolated from Hospitals in the Ashanti Region of Ghana.\",\"authors\":\"Elizabeth Akua Baidoo, Vivian Etsiapa Boamah, Hayford Odoi, Yaw Duah Boakye, Christian Agyare\",\"doi\":\"10.4314/ahs.v25i2.4\",\"DOIUrl\":null,\"url\":null,\"abstract\":\"<p><strong>Background: </strong>Antibiotic resistance continues to be a threat to public health worldwide, with its associated increased healthcare costs and loss of human lives. Despite the increasing reports of multi-drug resistant (MDR) <i>Klebsiella pneumoniae</i> (<i>K. pneumoniae</i>), its prevalence and resistance patterns remain under-reported in several developing countries, including Ghana.</p><p><strong>Objectives: </strong>This study hence sought to investigate the prevalence and resistance patterns of <i>K. pneumoniae</i> isolates from five selected hospitals in the Ashanti region of Ghana.</p><p><strong>Methods: </strong><i>K. pneumoniae</i> isolates were identified using biochemical tests, API 20 E and Matrix Assisted Laser Desorption Ionisation-Time of Flight Mass Spectrometry (MALDI-TOF MS). AST and ESBL production were determined phenotypically and via PCR.</p><p><strong>Results: </strong>Twenty (20) <i>K. pneumoniae</i> isolates were confirmed from the samples. The isolates were resistant to ampicillin (100%), ciprofloxacin (76.67%), co-trimoxazole (75%), chloramphenicol (63.33%) and cephalosporins (76.67 to 55%). Eighteen of the K. pneumoniae isolates (90%) were multi-drug resistant (MDR) while 60% of the isolates (n=12) produced Extended Spectrum Beta-Lactamases (ESBL) with blaCTX-M, blaSHV and blaTEM β-lactamase resistant encoding genes confirmed in 83, 75 and 33% of the isolates respectively.</p><p><strong>Conclusion: </strong>There is low prevalence but high multidrug resistance and high production of ESBL among <i>K. pneumoniae</i> isolates from the selected hospitals.</p>\",\"PeriodicalId\":94295,\"journal\":{\"name\":\"African health sciences\",\"volume\":\"25 2\",\"pages\":\"20-29\"},\"PeriodicalIF\":0.9000,\"publicationDate\":\"2025-06-01\",\"publicationTypes\":\"Journal Article\",\"fieldsOfStudy\":null,\"isOpenAccess\":false,\"openAccessPdf\":\"https://www.ncbi.nlm.nih.gov/pmc/articles/PMC12361939/pdf/\",\"citationCount\":\"0\",\"resultStr\":null,\"platform\":\"Semanticscholar\",\"paperid\":null,\"PeriodicalName\":\"African health sciences\",\"FirstCategoryId\":\"1085\",\"ListUrlMain\":\"https://doi.org/10.4314/ahs.v25i2.4\",\"RegionNum\":0,\"RegionCategory\":null,\"ArticlePicture\":[],\"TitleCN\":null,\"AbstractTextCN\":null,\"PMCID\":null,\"EPubDate\":\"\",\"PubModel\":\"\",\"JCR\":\"\",\"JCRName\":\"\",\"Score\":null,\"Total\":0}","platform":"Semanticscholar","paperid":null,"PeriodicalName":"African health sciences","FirstCategoryId":"1085","ListUrlMain":"https://doi.org/10.4314/ahs.v25i2.4","RegionNum":0,"RegionCategory":null,"ArticlePicture":[],"TitleCN":null,"AbstractTextCN":null,"PMCID":null,"EPubDate":"","PubModel":"","JCR":"","JCRName":"","Score":null,"Total":0}
引用次数: 0

摘要

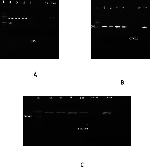
背景:抗生素耐药性继续对全世界的公共卫生构成威胁,与之相关的是卫生保健费用增加和生命损失。尽管多药耐药肺炎克雷伯菌(肺炎克雷伯菌)的报告越来越多,但在包括加纳在内的几个发展中国家,其流行率和耐药模式仍然报告不足。目的:因此,本研究旨在调查加纳阿散蒂地区五家选定医院的肺炎克雷伯菌分离株的流行情况和耐药模式。方法:采用生化试验、API 20 E和基质辅助激光解吸电离飞行时间质谱(MALDI-TOF MS)对分离的肺炎克雷伯菌进行鉴定。通过表型和PCR检测AST和ESBL的产生。结果:共分离出肺炎克雷伯菌20株。对氨苄西林(100%)、环丙沙星(76.67%)、复方新诺明(75%)、氯霉素(63.33%)、头孢菌素(76.67 ~ 55%)耐药。肺炎克雷伯菌中有18株(90%)具有多重耐药(MDR), 60% (n=12)的分离株产生扩展谱β-内酰胺酶(ESBL),分别有83%、75%和33%的分离株检测到blaCTX-M、blaSHV和blaTEM β-内酰胺酶耐药编码基因。结论:所选医院分离的肺炎克雷伯菌ESBL患病率低,但多药耐药性高,产率高。
本文章由计算机程序翻译,如有差异,请以英文原文为准。

Low prevalence but high resistance of Extended Spectrum Beta-lactamase producing <i>Klebsiella pneumoniae</i> isolated from Hospitals in the Ashanti Region of Ghana.

Low prevalence but high resistance of Extended Spectrum Beta-lactamase producing <i>Klebsiella pneumoniae</i> isolated from Hospitals in the Ashanti Region of Ghana.

Low prevalence but high resistance of Extended Spectrum Beta-lactamase producing Klebsiella pneumoniae isolated from Hospitals in the Ashanti Region of Ghana.

Background: Antibiotic resistance continues to be a threat to public health worldwide, with its associated increased healthcare costs and loss of human lives. Despite the increasing reports of multi-drug resistant (MDR) Klebsiella pneumoniae (K. pneumoniae), its prevalence and resistance patterns remain under-reported in several developing countries, including Ghana.

Objectives: This study hence sought to investigate the prevalence and resistance patterns of K. pneumoniae isolates from five selected hospitals in the Ashanti region of Ghana.

Methods: K. pneumoniae isolates were identified using biochemical tests, API 20 E and Matrix Assisted Laser Desorption Ionisation-Time of Flight Mass Spectrometry (MALDI-TOF MS). AST and ESBL production were determined phenotypically and via PCR.

Results: Twenty (20) K. pneumoniae isolates were confirmed from the samples. The isolates were resistant to ampicillin (100%), ciprofloxacin (76.67%), co-trimoxazole (75%), chloramphenicol (63.33%) and cephalosporins (76.67 to 55%). Eighteen of the K. pneumoniae isolates (90%) were multi-drug resistant (MDR) while 60% of the isolates (n=12) produced Extended Spectrum Beta-Lactamases (ESBL) with blaCTX-M, blaSHV and blaTEM β-lactamase resistant encoding genes confirmed in 83, 75 and 33% of the isolates respectively.

Conclusion: There is low prevalence but high multidrug resistance and high production of ESBL among K. pneumoniae isolates from the selected hospitals.

求助全文
通过发布文献求助,成功后即可免费获取论文全文。 去求助
来源期刊
自引率
0.00%
发文量
0
×
引用
GB/T 7714-2015
复制
MLA
复制
APA
复制
导出至
BibTeX EndNote RefMan NoteFirst NoteExpress
×
提示
您的信息不完整,为了账户安全,请先补充。
现在去补充
×
提示
您因"违规操作"
具体请查看互助需知
我知道了
×
提示
确定
请完成安全验证×
copy
已复制链接
快去分享给好友吧!
我知道了
右上角分享
点击右上角分享
0
联系我们:info@booksci.cn Book学术提供免费学术资源搜索服务,方便国内外学者检索中英文文献。致力于提供最便捷和优质的服务体验。 Copyright © 2023 布克学术 All rights reserved.
京ICP备2023020795号-1
ghs 京公网安备 11010802042870号
Book学术文献互助
Book学术文献互助群
群 号:604180095
Book学术官方微信