1例成年女性椎基底动脉交界动脉瘤破裂并发孤立的主动脉弓中断和基底动脉发育不全:说明性病例。

Yang Dong, Weiyi Huang, Weifeng Miao, Yiping Wu, Junfei Shao, Jun Sun
{"title":"1例成年女性椎基底动脉交界动脉瘤破裂并发孤立的主动脉弓中断和基底动脉发育不全:说明性病例。","authors":"Yang Dong, Weiyi Huang, Weifeng Miao, Yiping Wu, Junfei Shao, Jun Sun","doi":"10.3171/CASE25421","DOIUrl":null,"url":null,"abstract":"<p><strong>Background: </strong>Vertebrobasilar junction (VBJ) aneurysms are frequently associated with basilar artery variations like fenestration or hypoplasia, altering hemodynamics. An interrupted aortic arch (IAA), a rare congenital malformation, may contribute to intracranial aneurysms via vascular wall defects, hemodynamic stress, and compensatory hypertension. Coexistence of IAA with cerebrovascular anomalies and VBJ aneurysms is exceptionally rare, with no prior documented cases.</p><p><strong>Observations: </strong>A 33-year-old female presented with a ruptured VBJ saccular aneurysm (2.0 × 4.1 × 2.9 mm). Emergency right transradial stent-assisted coiling achieved complete occlusion (Raymond-Roy Occlusion Classification class I). Associated anomalies included 1) Celoria-Patton type B IAA, 2) diffuse basilar hypoplasia, and 3) proximal basilar occlusion. Echocardiography confirmed isolated Celoria-Patton type B IAA. Postoperative MRI performed on day 4 revealed no infarction, and CT performed on day 12 confirmed subarachnoid hemorrhage (SAH) resolution. The patient was discharged neurologically intact (modified Rankin Scale score 0). Seven-month CT angiography demonstrated stable coils, an intact stent, and patent vertebral arteries.</p><p><strong>Lessons: </strong>In adults or adolescents with aneurysmal SAH, IAA typically manifests as an isolated anomaly pathologically linked to prenatal development of robust compensatory collateral circulation supplying the descending aorta. This case demonstrates a synergistic pathogenesis involving two critical hemodynamic factors: proximal basilar artery occlusion combined with type B aortic arch discontinuity, collectively promoting VBJ aneurysm formation. Transradial endovascular intervention proved safe and effective in this anatomically complex scenario. https://thejns.org/doi/10.3171/CASE25421.</p>","PeriodicalId":94098,"journal":{"name":"Journal of neurosurgery. Case lessons","volume":"10 9","pages":""},"PeriodicalIF":0.0000,"publicationDate":"2025-09-01","publicationTypes":"Journal Article","fieldsOfStudy":null,"isOpenAccess":false,"openAccessPdf":"https://www.ncbi.nlm.nih.gov/pmc/articles/PMC12400852/pdf/","citationCount":"0","resultStr":"{\"title\":\"Ruptured vertebrobasilar junction aneurysm coexisting with isolated interrupted aortic arch and basilar artery hypoplasia in an adult female: illustrative case.\",\"authors\":\"Yang Dong, Weiyi Huang, Weifeng Miao, Yiping Wu, Junfei Shao, Jun Sun\",\"doi\":\"10.3171/CASE25421\",\"DOIUrl\":null,\"url\":null,\"abstract\":\"<p><strong>Background: </strong>Vertebrobasilar junction (VBJ) aneurysms are frequently associated with basilar artery variations like fenestration or hypoplasia, altering hemodynamics. An interrupted aortic arch (IAA), a rare congenital malformation, may contribute to intracranial aneurysms via vascular wall defects, hemodynamic stress, and compensatory hypertension. Coexistence of IAA with cerebrovascular anomalies and VBJ aneurysms is exceptionally rare, with no prior documented cases.</p><p><strong>Observations: </strong>A 33-year-old female presented with a ruptured VBJ saccular aneurysm (2.0 × 4.1 × 2.9 mm). Emergency right transradial stent-assisted coiling achieved complete occlusion (Raymond-Roy Occlusion Classification class I). Associated anomalies included 1) Celoria-Patton type B IAA, 2) diffuse basilar hypoplasia, and 3) proximal basilar occlusion. Echocardiography confirmed isolated Celoria-Patton type B IAA. Postoperative MRI performed on day 4 revealed no infarction, and CT performed on day 12 confirmed subarachnoid hemorrhage (SAH) resolution. The patient was discharged neurologically intact (modified Rankin Scale score 0). Seven-month CT angiography demonstrated stable coils, an intact stent, and patent vertebral arteries.</p><p><strong>Lessons: </strong>In adults or adolescents with aneurysmal SAH, IAA typically manifests as an isolated anomaly pathologically linked to prenatal development of robust compensatory collateral circulation supplying the descending aorta. This case demonstrates a synergistic pathogenesis involving two critical hemodynamic factors: proximal basilar artery occlusion combined with type B aortic arch discontinuity, collectively promoting VBJ aneurysm formation. Transradial endovascular intervention proved safe and effective in this anatomically complex scenario. https://thejns.org/doi/10.3171/CASE25421.</p>\",\"PeriodicalId\":94098,\"journal\":{\"name\":\"Journal of neurosurgery. Case lessons\",\"volume\":\"10 9\",\"pages\":\"\"},\"PeriodicalIF\":0.0000,\"publicationDate\":\"2025-09-01\",\"publicationTypes\":\"Journal Article\",\"fieldsOfStudy\":null,\"isOpenAccess\":false,\"openAccessPdf\":\"https://www.ncbi.nlm.nih.gov/pmc/articles/PMC12400852/pdf/\",\"citationCount\":\"0\",\"resultStr\":null,\"platform\":\"Semanticscholar\",\"paperid\":null,\"PeriodicalName\":\"Journal of neurosurgery. Case lessons\",\"FirstCategoryId\":\"1085\",\"ListUrlMain\":\"https://doi.org/10.3171/CASE25421\",\"RegionNum\":0,\"RegionCategory\":null,\"ArticlePicture\":[],\"TitleCN\":null,\"AbstractTextCN\":null,\"PMCID\":null,\"EPubDate\":\"\",\"PubModel\":\"\",\"JCR\":\"\",\"JCRName\":\"\",\"Score\":null,\"Total\":0}","platform":"Semanticscholar","paperid":null,"PeriodicalName":"Journal of neurosurgery. Case lessons","FirstCategoryId":"1085","ListUrlMain":"https://doi.org/10.3171/CASE25421","RegionNum":0,"RegionCategory":null,"ArticlePicture":[],"TitleCN":null,"AbstractTextCN":null,"PMCID":null,"EPubDate":"","PubModel":"","JCR":"","JCRName":"","Score":null,"Total":0}
引用次数: 0

摘要

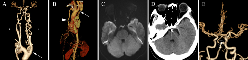
背景:椎基底动脉连接处(VBJ)动脉瘤常与基底动脉变异相关,如开窗或发育不全,改变血流动力学。主动脉弓中断(IAA)是一种罕见的先天性畸形,可能通过血管壁缺陷、血流动力学应激和代偿性高血压导致颅内动脉瘤。IAA与脑血管异常和VBJ动脉瘤共存是非常罕见的,没有先前的病例记录。观察:一名33岁女性,因VBJ囊性动脉瘤破裂(2.0 × 4.1 × 2.9 mm)。急诊右经桡骨支架辅助盘绕实现了完全闭塞(Raymond-Roy闭塞分类I类)。相关异常包括1)Celoria-Patton B型IAA, 2)弥漫性基底动脉发育不全,3)基底动脉近端闭塞。超声心动图证实孤立的Celoria-Patton B型IAA。术后第4天MRI显示无梗死,第12天CT证实蛛网膜下腔出血(SAH)消退。患者出院时神经功能完好(改良Rankin量表评分0)。7个月的CT血管造影显示线圈稳定,支架完整,椎动脉通畅。经验教训:在患有动脉瘤性SAH的成人或青少年中,IAA通常表现为一种孤立的异常,病理上与产前供应降主动脉的强大代偿侧支循环的发育有关。本病例显示了一个涉及两个关键血流动力学因素的协同发病机制:基底动脉近端闭塞合并B型主动脉弓不连续性,共同促进VBJ动脉瘤的形成。经桡骨血管内介入治疗在这种复杂的解剖情况下被证明是安全有效的。https://thejns.org/doi/10.3171/CASE25421。
本文章由计算机程序翻译,如有差异,请以英文原文为准。

Ruptured vertebrobasilar junction aneurysm coexisting with isolated interrupted aortic arch and basilar artery hypoplasia in an adult female: illustrative case.

Ruptured vertebrobasilar junction aneurysm coexisting with isolated interrupted aortic arch and basilar artery hypoplasia in an adult female: illustrative case.

Ruptured vertebrobasilar junction aneurysm coexisting with isolated interrupted aortic arch and basilar artery hypoplasia in an adult female: illustrative case.

Background: Vertebrobasilar junction (VBJ) aneurysms are frequently associated with basilar artery variations like fenestration or hypoplasia, altering hemodynamics. An interrupted aortic arch (IAA), a rare congenital malformation, may contribute to intracranial aneurysms via vascular wall defects, hemodynamic stress, and compensatory hypertension. Coexistence of IAA with cerebrovascular anomalies and VBJ aneurysms is exceptionally rare, with no prior documented cases.

Observations: A 33-year-old female presented with a ruptured VBJ saccular aneurysm (2.0 × 4.1 × 2.9 mm). Emergency right transradial stent-assisted coiling achieved complete occlusion (Raymond-Roy Occlusion Classification class I). Associated anomalies included 1) Celoria-Patton type B IAA, 2) diffuse basilar hypoplasia, and 3) proximal basilar occlusion. Echocardiography confirmed isolated Celoria-Patton type B IAA. Postoperative MRI performed on day 4 revealed no infarction, and CT performed on day 12 confirmed subarachnoid hemorrhage (SAH) resolution. The patient was discharged neurologically intact (modified Rankin Scale score 0). Seven-month CT angiography demonstrated stable coils, an intact stent, and patent vertebral arteries.

Lessons: In adults or adolescents with aneurysmal SAH, IAA typically manifests as an isolated anomaly pathologically linked to prenatal development of robust compensatory collateral circulation supplying the descending aorta. This case demonstrates a synergistic pathogenesis involving two critical hemodynamic factors: proximal basilar artery occlusion combined with type B aortic arch discontinuity, collectively promoting VBJ aneurysm formation. Transradial endovascular intervention proved safe and effective in this anatomically complex scenario. https://thejns.org/doi/10.3171/CASE25421.

求助全文
通过发布文献求助,成功后即可免费获取论文全文。 去求助
来源期刊
CiteScore
0.40
自引率
0.00%
发文量
0
×
引用
GB/T 7714-2015
复制
MLA
复制
APA
复制
导出至
BibTeX EndNote RefMan NoteFirst NoteExpress
×
提示
您的信息不完整,为了账户安全,请先补充。
现在去补充
×
提示
您因"违规操作"
具体请查看互助需知
我知道了
×
提示
确定
请完成安全验证×
copy
已复制链接
快去分享给好友吧!
我知道了
右上角分享
点击右上角分享
0
联系我们:info@booksci.cn Book学术提供免费学术资源搜索服务,方便国内外学者检索中英文文献。致力于提供最便捷和优质的服务体验。 Copyright © 2023 布克学术 All rights reserved.
京ICP备2023020795号-1
ghs 京公网安备 11010802042870号
Book学术文献互助
Book学术文献互助群
群 号:604180095
Book学术官方微信