经巩膜鼻内窥镜入路切除脑桥腹侧海绵状畸形:说明性病例。

Luigi M Cavallo, Jacopo Berardinelli, Ilaria Bove, Teresa Somma, Mario Cirillo, Felice Esposito
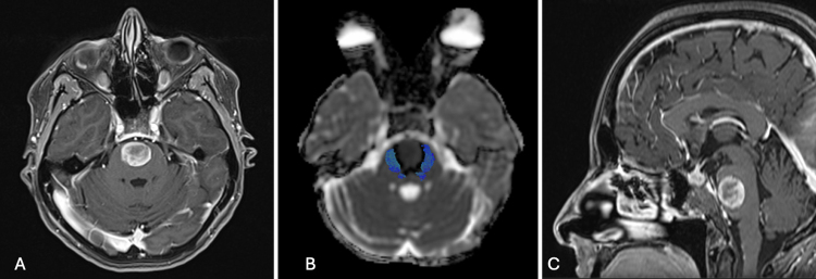
{"title":"经巩膜鼻内窥镜入路切除脑桥腹侧海绵状畸形:说明性病例。","authors":"Luigi M Cavallo, Jacopo Berardinelli, Ilaria Bove, Teresa Somma, Mario Cirillo, Felice Esposito","doi":"10.3171/CASE25356","DOIUrl":null,"url":null,"abstract":"<p><strong>Background: </strong>Brainstem cavernous malformations (BSCMs) are rare vascular lesions, most frequently located in the pons. Their surgical management is particularly demanding due to the dense concentration within the brainstem of eloquent neural pathways and nuclei. Among various surgical routes, the endoscopic endonasal transclival approach (EETA) has been established as a valuable option for treating selected ventrally located lesions.</p><p><strong>Observations: </strong>The authors report the case of a 54-year-old woman with a ventral pontine cavernous malformation (CM) presenting with recurrent hemorrhagic episodes, all resolving without neurological sequelae. Based on the anterior midline location of the lesion within the pons and the posterolateral displacement of the corticospinal tracts (CSTs) on preoperative tractography, an EETA was deemed the most suitable approach. Gross-total removal was achieved without neurological worsening or postoperative CSF leakage.</p><p><strong>Lessons: </strong>This case supports the use of EETA as a safe and effective surgical route for ventral pontine CMs with anterior surface presentation. Accurate preoperative planning, including assessment of CST displacement via diffusion tensor imaging, and direct intraoperative cortical stimualtion are essential for identifying a safe entry point. Although technically demanding and not universally applicable, EETA offers a direct surgical corridor that minimizes neurovascular manipulation and facilitates favorable outcomes in selected cases. https://thejns.org/doi/10.3171/CASE25356.</p>","PeriodicalId":94098,"journal":{"name":"Journal of neurosurgery. Case lessons","volume":"10 9","pages":""},"PeriodicalIF":0.0000,"publicationDate":"2025-09-01","publicationTypes":"Journal Article","fieldsOfStudy":null,"isOpenAccess":false,"openAccessPdf":"https://www.ncbi.nlm.nih.gov/pmc/articles/PMC12400843/pdf/","citationCount":"0","resultStr":"{\"title\":\"Endoscopic endonasal transclival approach for the resection of a ventral pontine cavernous malformation: illustrative case.\",\"authors\":\"Luigi M Cavallo, Jacopo Berardinelli, Ilaria Bove, Teresa Somma, Mario Cirillo, Felice Esposito\",\"doi\":\"10.3171/CASE25356\",\"DOIUrl\":null,\"url\":null,\"abstract\":\"<p><strong>Background: </strong>Brainstem cavernous malformations (BSCMs) are rare vascular lesions, most frequently located in the pons. Their surgical management is particularly demanding due to the dense concentration within the brainstem of eloquent neural pathways and nuclei. Among various surgical routes, the endoscopic endonasal transclival approach (EETA) has been established as a valuable option for treating selected ventrally located lesions.</p><p><strong>Observations: </strong>The authors report the case of a 54-year-old woman with a ventral pontine cavernous malformation (CM) presenting with recurrent hemorrhagic episodes, all resolving without neurological sequelae. Based on the anterior midline location of the lesion within the pons and the posterolateral displacement of the corticospinal tracts (CSTs) on preoperative tractography, an EETA was deemed the most suitable approach. Gross-total removal was achieved without neurological worsening or postoperative CSF leakage.</p><p><strong>Lessons: </strong>This case supports the use of EETA as a safe and effective surgical route for ventral pontine CMs with anterior surface presentation. Accurate preoperative planning, including assessment of CST displacement via diffusion tensor imaging, and direct intraoperative cortical stimualtion are essential for identifying a safe entry point. Although technically demanding and not universally applicable, EETA offers a direct surgical corridor that minimizes neurovascular manipulation and facilitates favorable outcomes in selected cases. https://thejns.org/doi/10.3171/CASE25356.</p>\",\"PeriodicalId\":94098,\"journal\":{\"name\":\"Journal of neurosurgery. Case lessons\",\"volume\":\"10 9\",\"pages\":\"\"},\"PeriodicalIF\":0.0000,\"publicationDate\":\"2025-09-01\",\"publicationTypes\":\"Journal Article\",\"fieldsOfStudy\":null,\"isOpenAccess\":false,\"openAccessPdf\":\"https://www.ncbi.nlm.nih.gov/pmc/articles/PMC12400843/pdf/\",\"citationCount\":\"0\",\"resultStr\":null,\"platform\":\"Semanticscholar\",\"paperid\":null,\"PeriodicalName\":\"Journal of neurosurgery. Case lessons\",\"FirstCategoryId\":\"1085\",\"ListUrlMain\":\"https://doi.org/10.3171/CASE25356\",\"RegionNum\":0,\"RegionCategory\":null,\"ArticlePicture\":[],\"TitleCN\":null,\"AbstractTextCN\":null,\"PMCID\":null,\"EPubDate\":\"\",\"PubModel\":\"\",\"JCR\":\"\",\"JCRName\":\"\",\"Score\":null,\"Total\":0}","platform":"Semanticscholar","paperid":null,"PeriodicalName":"Journal of neurosurgery. Case lessons","FirstCategoryId":"1085","ListUrlMain":"https://doi.org/10.3171/CASE25356","RegionNum":0,"RegionCategory":null,"ArticlePicture":[],"TitleCN":null,"AbstractTextCN":null,"PMCID":null,"EPubDate":"","PubModel":"","JCR":"","JCRName":"","Score":null,"Total":0}
引用次数: 0

摘要

背景:脑干海绵状血管瘤(BSCMs)是一种罕见的血管病变,最常见于脑桥。由于脑干内神经通路和神经核的密集集中,他们的手术治疗要求特别高。在各种手术途径中,内镜经鼻粘膜入路(EETA)已被确定为治疗特定腹侧病变的有价值的选择。观察:作者报告了一例54岁的女性脑桥腹侧海绵状畸形(CM),表现为复发性出血发作,全部消退,无神经系统后遗症。基于脑桥内病变的前中线位置和术前神经束造影皮质脊髓束(CSTs)的后外侧移位,EETA被认为是最合适的入路。在无神经系统恶化或术后脑脊液漏的情况下实现了全切除。经验教训:本病例支持使用EETA作为安全有效的手术途径治疗前表面表现的桥腹侧CMs。准确的术前计划,包括通过弥散张量成像评估CST位移,以及术中直接皮质刺激对于确定安全切入点至关重要。尽管技术要求高且不普遍适用,但EETA提供了直接的手术通道,最大限度地减少了神经血管操作,并在选定的病例中促进了良好的结果。https://thejns.org/doi/10.3171/CASE25356。
本文章由计算机程序翻译,如有差异,请以英文原文为准。

Endoscopic endonasal transclival approach for the resection of a ventral pontine cavernous malformation: illustrative case.

Endoscopic endonasal transclival approach for the resection of a ventral pontine cavernous malformation: illustrative case.

Endoscopic endonasal transclival approach for the resection of a ventral pontine cavernous malformation: illustrative case.

Endoscopic endonasal transclival approach for the resection of a ventral pontine cavernous malformation: illustrative case.

Background: Brainstem cavernous malformations (BSCMs) are rare vascular lesions, most frequently located in the pons. Their surgical management is particularly demanding due to the dense concentration within the brainstem of eloquent neural pathways and nuclei. Among various surgical routes, the endoscopic endonasal transclival approach (EETA) has been established as a valuable option for treating selected ventrally located lesions.

Observations: The authors report the case of a 54-year-old woman with a ventral pontine cavernous malformation (CM) presenting with recurrent hemorrhagic episodes, all resolving without neurological sequelae. Based on the anterior midline location of the lesion within the pons and the posterolateral displacement of the corticospinal tracts (CSTs) on preoperative tractography, an EETA was deemed the most suitable approach. Gross-total removal was achieved without neurological worsening or postoperative CSF leakage.

Lessons: This case supports the use of EETA as a safe and effective surgical route for ventral pontine CMs with anterior surface presentation. Accurate preoperative planning, including assessment of CST displacement via diffusion tensor imaging, and direct intraoperative cortical stimualtion are essential for identifying a safe entry point. Although technically demanding and not universally applicable, EETA offers a direct surgical corridor that minimizes neurovascular manipulation and facilitates favorable outcomes in selected cases. https://thejns.org/doi/10.3171/CASE25356.

求助全文
通过发布文献求助,成功后即可免费获取论文全文。 去求助
来源期刊
CiteScore
0.40
自引率
0.00%
发文量
0
×
引用
GB/T 7714-2015
复制
MLA
复制
APA
复制
导出至
BibTeX EndNote RefMan NoteFirst NoteExpress
×
提示
您的信息不完整,为了账户安全,请先补充。
现在去补充
×
提示
您因"违规操作"
具体请查看互助需知
我知道了
×
提示
确定
请完成安全验证×
copy
已复制链接
快去分享给好友吧!
我知道了
右上角分享
点击右上角分享
0
联系我们:info@booksci.cn Book学术提供免费学术资源搜索服务,方便国内外学者检索中英文文献。致力于提供最便捷和优质的服务体验。 Copyright © 2023 布克学术 All rights reserved.
京ICP备2023020795号-1
ghs 京公网安备 11010802042870号
Book学术文献互助
Book学术文献互助群
群 号:604180095
Book学术官方微信