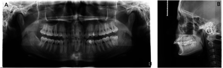
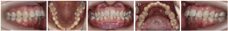
正畸治疗中抢救一颗严重内吸收的“无望”牙齿1例。

IF 3.1 Q1 DENTISTRY, ORAL SURGERY & MEDICINE
Frontiers in oral health Pub Date : 2025-08-14 eCollection Date: 2025-01-01 DOI:10.3389/froh.2025.1604976
Wenjing Liu, Xuezhong Xu, Junqiang Wang, Zhidan Li
{"title":"正畸治疗中抢救一颗严重内吸收的“无望”牙齿1例。","authors":"Wenjing Liu, Xuezhong Xu, Junqiang Wang, Zhidan Li","doi":"10.3389/froh.2025.1604976","DOIUrl":null,"url":null,"abstract":"<p><p>Root resorption is one of the leading complications that follows orthodontic treatment. It's an inflammatory process involving ischemic necrosis. Therefore, it is called orthodontically induced inflammatory root resorption (OIIRR). The purpose of this report is to present a case study of a patient in her 20s who experienced internal root resorption on two maxillary central incisors as a result of orthodontic treatment. Mineral trioxide aggregates (MTAs) were applied to the root resorption lesion to promote remineralization. A clinical and radiographic examination revealed that no radiolucency related to the resorptive lesion was found without any pathological symptoms after a 3-year follow-up.</p>","PeriodicalId":94016,"journal":{"name":"Frontiers in oral health","volume":"6 ","pages":"1604976"},"PeriodicalIF":3.1000,"publicationDate":"2025-08-14","publicationTypes":"Journal Article","fieldsOfStudy":null,"isOpenAccess":false,"openAccessPdf":"https://www.ncbi.nlm.nih.gov/pmc/articles/PMC12391063/pdf/","citationCount":"0","resultStr":"{\"title\":\"Rescuing a \\\"hopeless\\\" tooth with severe internal resorption during orthodontic therapy: a case report.\",\"authors\":\"Wenjing Liu, Xuezhong Xu, Junqiang Wang, Zhidan Li\",\"doi\":\"10.3389/froh.2025.1604976\",\"DOIUrl\":null,\"url\":null,\"abstract\":\"<p><p>Root resorption is one of the leading complications that follows orthodontic treatment. It's an inflammatory process involving ischemic necrosis. Therefore, it is called orthodontically induced inflammatory root resorption (OIIRR). The purpose of this report is to present a case study of a patient in her 20s who experienced internal root resorption on two maxillary central incisors as a result of orthodontic treatment. Mineral trioxide aggregates (MTAs) were applied to the root resorption lesion to promote remineralization. A clinical and radiographic examination revealed that no radiolucency related to the resorptive lesion was found without any pathological symptoms after a 3-year follow-up.</p>\",\"PeriodicalId\":94016,\"journal\":{\"name\":\"Frontiers in oral health\",\"volume\":\"6 \",\"pages\":\"1604976\"},\"PeriodicalIF\":3.1000,\"publicationDate\":\"2025-08-14\",\"publicationTypes\":\"Journal Article\",\"fieldsOfStudy\":null,\"isOpenAccess\":false,\"openAccessPdf\":\"https://www.ncbi.nlm.nih.gov/pmc/articles/PMC12391063/pdf/\",\"citationCount\":\"0\",\"resultStr\":null,\"platform\":\"Semanticscholar\",\"paperid\":null,\"PeriodicalName\":\"Frontiers in oral health\",\"FirstCategoryId\":\"1085\",\"ListUrlMain\":\"https://doi.org/10.3389/froh.2025.1604976\",\"RegionNum\":0,\"RegionCategory\":null,\"ArticlePicture\":[],\"TitleCN\":null,\"AbstractTextCN\":null,\"PMCID\":null,\"EPubDate\":\"2025/1/1 0:00:00\",\"PubModel\":\"eCollection\",\"JCR\":\"Q1\",\"JCRName\":\"DENTISTRY, ORAL SURGERY & MEDICINE\",\"Score\":null,\"Total\":0}","platform":"Semanticscholar","paperid":null,"PeriodicalName":"Frontiers in oral health","FirstCategoryId":"1085","ListUrlMain":"https://doi.org/10.3389/froh.2025.1604976","RegionNum":0,"RegionCategory":null,"ArticlePicture":[],"TitleCN":null,"AbstractTextCN":null,"PMCID":null,"EPubDate":"2025/1/1 0:00:00","PubModel":"eCollection","JCR":"Q1","JCRName":"DENTISTRY, ORAL SURGERY & MEDICINE","Score":null,"Total":0}
引用次数: 0

摘要

牙根吸收是正畸治疗后的主要并发症之一。这是一种涉及缺血性坏死的炎症过程。因此,它被称为正畸诱导炎症根吸收(OIIRR)。本报告的目的是提出一个病例研究的患者在她的20谁经历了内根吸收在两个上颌中门牙的正畸治疗的结果。将三氧化二矿聚集体(mta)应用于根吸收损伤以促进再矿化。经过3年的随访,临床和影像学检查显示未发现与吸收性病变相关的透光度,无任何病理症状。
本文章由计算机程序翻译,如有差异,请以英文原文为准。

Rescuing a "hopeless" tooth with severe internal resorption during orthodontic therapy: a case report.

Rescuing a "hopeless" tooth with severe internal resorption during orthodontic therapy: a case report.

Rescuing a "hopeless" tooth with severe internal resorption during orthodontic therapy: a case report.

Rescuing a "hopeless" tooth with severe internal resorption during orthodontic therapy: a case report.

Root resorption is one of the leading complications that follows orthodontic treatment. It's an inflammatory process involving ischemic necrosis. Therefore, it is called orthodontically induced inflammatory root resorption (OIIRR). The purpose of this report is to present a case study of a patient in her 20s who experienced internal root resorption on two maxillary central incisors as a result of orthodontic treatment. Mineral trioxide aggregates (MTAs) were applied to the root resorption lesion to promote remineralization. A clinical and radiographic examination revealed that no radiolucency related to the resorptive lesion was found without any pathological symptoms after a 3-year follow-up.

求助全文
通过发布文献求助,成功后即可免费获取论文全文。 去求助
来源期刊
CiteScore
3.30
自引率
0.00%
发文量
0
审稿时长
13 weeks
×
引用
GB/T 7714-2015
复制
MLA
复制
APA
复制
导出至
BibTeX EndNote RefMan NoteFirst NoteExpress
×
提示
您的信息不完整,为了账户安全,请先补充。
现在去补充
×
提示
您因"违规操作"
具体请查看互助需知
我知道了
×
提示
确定
请完成安全验证×
copy
已复制链接
快去分享给好友吧!
我知道了
右上角分享
点击右上角分享
0
联系我们:info@booksci.cn Book学术提供免费学术资源搜索服务,方便国内外学者检索中英文文献。致力于提供最便捷和优质的服务体验。 Copyright © 2023 布克学术 All rights reserved.
京ICP备2023020795号-1
ghs 京公网安备 11010802042870号
Book学术文献互助
Book学术文献互助群
群 号:604180095
Book学术官方微信