颈椎整体切除作为脊柱软骨肉瘤补救性手术后的长期随访:说明性病例。

Stefanie Ott, Malte Schroeder, Karl-Heinz Frosch, Nils Hansen-Algenstaedt
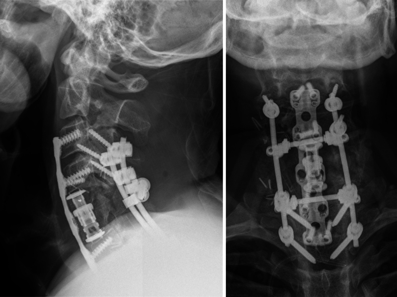
{"title":"颈椎整体切除作为脊柱软骨肉瘤补救性手术后的长期随访:说明性病例。","authors":"Stefanie Ott, Malte Schroeder, Karl-Heinz Frosch, Nils Hansen-Algenstaedt","doi":"10.3171/CASE25317","DOIUrl":null,"url":null,"abstract":"<p><strong>Background: </strong>Chondrosarcomas are rare malignancies arising from the bone, primarily from the mobile spine. Multimodal treatment is the standard of care, with surgery as a cornerstone for local control since incomplete resection is the main driving factor for progression and disease-related mortality.</p><p><strong>Observations: </strong>Here, the authors present the case of a patient who underwent an initial subtotal resection and adjuvant proton beam radiation therapy. Subsequent salvage surgery with aggressive resection was planned in an interdisciplinary setting, resulting in complete resection without recurrence. Despite incomplete resection initially, this case represents an example for reconsidering salvage surgery in an interdisciplinary setting and center of expertise even for cases with residual tumor burden.</p><p><strong>Lessons: </strong>By highlighting the current literature and setting this clinical case in this context, the authors present a case with a 10-year long-term follow-up, showing that surgical salvage therapy is a possible treatment path with predictable surgery-related morbidity in patients with spinal chondrosarcomas. https://thejns.org/doi/10.3171/CASE25317.</p>","PeriodicalId":94098,"journal":{"name":"Journal of neurosurgery. Case lessons","volume":"10 8","pages":""},"PeriodicalIF":0.0000,"publicationDate":"2025-08-25","publicationTypes":"Journal Article","fieldsOfStudy":null,"isOpenAccess":false,"openAccessPdf":"https://www.ncbi.nlm.nih.gov/pmc/articles/PMC12377175/pdf/","citationCount":"0","resultStr":"{\"title\":\"Long-term follow-up after cervical en bloc resection as salvage surgery of spinal chondrosarcoma: illustrative case.\",\"authors\":\"Stefanie Ott, Malte Schroeder, Karl-Heinz Frosch, Nils Hansen-Algenstaedt\",\"doi\":\"10.3171/CASE25317\",\"DOIUrl\":null,\"url\":null,\"abstract\":\"<p><strong>Background: </strong>Chondrosarcomas are rare malignancies arising from the bone, primarily from the mobile spine. Multimodal treatment is the standard of care, with surgery as a cornerstone for local control since incomplete resection is the main driving factor for progression and disease-related mortality.</p><p><strong>Observations: </strong>Here, the authors present the case of a patient who underwent an initial subtotal resection and adjuvant proton beam radiation therapy. Subsequent salvage surgery with aggressive resection was planned in an interdisciplinary setting, resulting in complete resection without recurrence. Despite incomplete resection initially, this case represents an example for reconsidering salvage surgery in an interdisciplinary setting and center of expertise even for cases with residual tumor burden.</p><p><strong>Lessons: </strong>By highlighting the current literature and setting this clinical case in this context, the authors present a case with a 10-year long-term follow-up, showing that surgical salvage therapy is a possible treatment path with predictable surgery-related morbidity in patients with spinal chondrosarcomas. https://thejns.org/doi/10.3171/CASE25317.</p>\",\"PeriodicalId\":94098,\"journal\":{\"name\":\"Journal of neurosurgery. Case lessons\",\"volume\":\"10 8\",\"pages\":\"\"},\"PeriodicalIF\":0.0000,\"publicationDate\":\"2025-08-25\",\"publicationTypes\":\"Journal Article\",\"fieldsOfStudy\":null,\"isOpenAccess\":false,\"openAccessPdf\":\"https://www.ncbi.nlm.nih.gov/pmc/articles/PMC12377175/pdf/\",\"citationCount\":\"0\",\"resultStr\":null,\"platform\":\"Semanticscholar\",\"paperid\":null,\"PeriodicalName\":\"Journal of neurosurgery. Case lessons\",\"FirstCategoryId\":\"1085\",\"ListUrlMain\":\"https://doi.org/10.3171/CASE25317\",\"RegionNum\":0,\"RegionCategory\":null,\"ArticlePicture\":[],\"TitleCN\":null,\"AbstractTextCN\":null,\"PMCID\":null,\"EPubDate\":\"\",\"PubModel\":\"\",\"JCR\":\"\",\"JCRName\":\"\",\"Score\":null,\"Total\":0}","platform":"Semanticscholar","paperid":null,"PeriodicalName":"Journal of neurosurgery. Case lessons","FirstCategoryId":"1085","ListUrlMain":"https://doi.org/10.3171/CASE25317","RegionNum":0,"RegionCategory":null,"ArticlePicture":[],"TitleCN":null,"AbstractTextCN":null,"PMCID":null,"EPubDate":"","PubModel":"","JCR":"","JCRName":"","Score":null,"Total":0}
引用次数: 0

摘要

背景:软骨肉瘤是一种罕见的骨恶性肿瘤,主要发生在活动脊柱。多模式治疗是标准的治疗,手术是局部控制的基础,因为不完全切除是导致进展和疾病相关死亡率的主要驱动因素。观察:在这里,作者提出了一个病例,病人接受了最初的次全切除和辅助质子束放射治疗。随后的挽救性手术和积极切除是在跨学科的环境中计划的,结果是完全切除而没有复发。尽管最初不完全切除,这个病例代表了一个例子,重新考虑挽救手术在跨学科的设置和专家中心,即使是残余肿瘤负担的病例。经验教训:通过强调当前文献并在此背景下设置该临床病例,作者提出了一个10年长期随访的病例,表明手术挽救治疗是脊柱软骨肉瘤患者可预测手术相关发病率的可能治疗途径。https://thejns.org/doi/10.3171/CASE25317。
本文章由计算机程序翻译,如有差异,请以英文原文为准。

Long-term follow-up after cervical en bloc resection as salvage surgery of spinal chondrosarcoma: illustrative case.

Long-term follow-up after cervical en bloc resection as salvage surgery of spinal chondrosarcoma: illustrative case.

Long-term follow-up after cervical en bloc resection as salvage surgery of spinal chondrosarcoma: illustrative case.

Long-term follow-up after cervical en bloc resection as salvage surgery of spinal chondrosarcoma: illustrative case.

Background: Chondrosarcomas are rare malignancies arising from the bone, primarily from the mobile spine. Multimodal treatment is the standard of care, with surgery as a cornerstone for local control since incomplete resection is the main driving factor for progression and disease-related mortality.

Observations: Here, the authors present the case of a patient who underwent an initial subtotal resection and adjuvant proton beam radiation therapy. Subsequent salvage surgery with aggressive resection was planned in an interdisciplinary setting, resulting in complete resection without recurrence. Despite incomplete resection initially, this case represents an example for reconsidering salvage surgery in an interdisciplinary setting and center of expertise even for cases with residual tumor burden.

Lessons: By highlighting the current literature and setting this clinical case in this context, the authors present a case with a 10-year long-term follow-up, showing that surgical salvage therapy is a possible treatment path with predictable surgery-related morbidity in patients with spinal chondrosarcomas. https://thejns.org/doi/10.3171/CASE25317.

求助全文
通过发布文献求助,成功后即可免费获取论文全文。 去求助
来源期刊
CiteScore
0.40
自引率
0.00%
发文量
0
×
引用
GB/T 7714-2015
复制
MLA
复制
APA
复制
导出至
BibTeX EndNote RefMan NoteFirst NoteExpress
×
提示
您的信息不完整,为了账户安全,请先补充。
现在去补充
×
提示
您因"违规操作"
具体请查看互助需知
我知道了
×
提示
确定
请完成安全验证×
copy
已复制链接
快去分享给好友吧!
我知道了
右上角分享
点击右上角分享
0
联系我们:info@booksci.cn Book学术提供免费学术资源搜索服务,方便国内外学者检索中英文文献。致力于提供最便捷和优质的服务体验。 Copyright © 2023 布克学术 All rights reserved.
京ICP备2023020795号-1
ghs 京公网安备 11010802042870号
Book学术文献互助
Book学术文献互助群
群 号:604180095
Book学术官方微信