IL-4和TGF-β在小鼠适应性SARS-CoV-2感染中调节炎症细胞因子和肺细胞浸润以及全身IL-6。

Q3 Medicine
Solomon Taye Sima, Lucinda Puebla-Clark, Maria Gonzalez-Orozco, Mark Joseph Endrino, Thomas R Shelite, Hsiang-Chi Tseng, Yazmin B Martinez-Martinez, Matthew B Huante, Hannah G Federman, Komi Gbedande, Vineet D Menachery, Mark C Siracusa, Mark A Endsley, Sara M Dann, Janice J Endsley, Ricardo Rajsbaum, Robin Stephens
{"title":"IL-4和TGF-β在小鼠适应性SARS-CoV-2感染中调节炎症细胞因子和肺细胞浸润以及全身IL-6。","authors":"Solomon Taye Sima, Lucinda Puebla-Clark, Maria Gonzalez-Orozco, Mark Joseph Endrino, Thomas R Shelite, Hsiang-Chi Tseng, Yazmin B Martinez-Martinez, Matthew B Huante, Hannah G Federman, Komi Gbedande, Vineet D Menachery, Mark C Siracusa, Mark A Endsley, Sara M Dann, Janice J Endsley, Ricardo Rajsbaum, Robin Stephens","doi":"10.1093/immhor/vlaf032","DOIUrl":null,"url":null,"abstract":"<p><p>The pathology of severe COVID-19 is due to a hyperinflammatory immune response persisting after viral clearance. To understand how the immune response to SARS-CoV-2 is regulated to avoid severe COVID-19, we tested relevant immunoregulatory cytokines. Transforming growth factor β (TGF-β), interleukin (IL)-10, and IL-4 were neutralized upon infection with mouse-adapted SARS-CoV-2 (CMA3p20), a model of mild disease; lung inflammation was quantified by histology and flow cytometry at early and late time points. Mild weight loss and lung inflammation including consolidation and alveolar thickening were evident 3 d postinfection (dpi), and inflammation persisted to 7 dpi. Coinciding with early monocytic infiltrates, CCL2 and granulocyte colony-stimulating factor were transiently produced 3 dpi, while IL-12 and CCL5 persisted to 7 dpi, modeling viral and inflammatory phases of disease. Neutralization of TGF-β, but not IL-10 or IL-4, significantly increased lung inflammatory monocytes and elevated serum but not lung IL-6. Neutralization of IL-4 prolonged weight loss and increased early perivascular infiltration without changing viral titer. Anti-IL-4 reduced expression of Arg1, a gene associated with alternative activation of macrophages. Neutralizing TGF-β and IL-4 had differential effects on pathology after virus control. Lung perivascular infiltration was reduced 7 dpi by neutralization of IL-4 or TGF-β, and periairway inflammation was affected by anti-TGF-β, while alveolar infiltrates were not affected by either. Anti-IL-4 prolonged IL-12 to 7 dpi along with reduced IL-10 in lungs. Overall, the immunoregulatory cytokines TGF-β and IL-4 dampen initial inflammation in this mouse-adapted SARS-CoV-2 infection, suggesting that promotion of immunoregulation could help patients in early stages of disease.</p>","PeriodicalId":94037,"journal":{"name":"ImmunoHorizons","volume":"9 9","pages":""},"PeriodicalIF":0.0000,"publicationDate":"2025-08-25","publicationTypes":"Journal Article","fieldsOfStudy":null,"isOpenAccess":false,"openAccessPdf":"https://www.ncbi.nlm.nih.gov/pmc/articles/PMC12377903/pdf/","citationCount":"0","resultStr":"{\"title\":\"IL-4 and TGF-β regulate inflammatory cytokines and cellular infiltration in the lung and systemic IL-6 in mouse-adapted SARS-CoV-2 infection.\",\"authors\":\"Solomon Taye Sima, Lucinda Puebla-Clark, Maria Gonzalez-Orozco, Mark Joseph Endrino, Thomas R Shelite, Hsiang-Chi Tseng, Yazmin B Martinez-Martinez, Matthew B Huante, Hannah G Federman, Komi Gbedande, Vineet D Menachery, Mark C Siracusa, Mark A Endsley, Sara M Dann, Janice J Endsley, Ricardo Rajsbaum, Robin Stephens\",\"doi\":\"10.1093/immhor/vlaf032\",\"DOIUrl\":null,\"url\":null,\"abstract\":\"<p><p>The pathology of severe COVID-19 is due to a hyperinflammatory immune response persisting after viral clearance. To understand how the immune response to SARS-CoV-2 is regulated to avoid severe COVID-19, we tested relevant immunoregulatory cytokines. Transforming growth factor β (TGF-β), interleukin (IL)-10, and IL-4 were neutralized upon infection with mouse-adapted SARS-CoV-2 (CMA3p20), a model of mild disease; lung inflammation was quantified by histology and flow cytometry at early and late time points. Mild weight loss and lung inflammation including consolidation and alveolar thickening were evident 3 d postinfection (dpi), and inflammation persisted to 7 dpi. Coinciding with early monocytic infiltrates, CCL2 and granulocyte colony-stimulating factor were transiently produced 3 dpi, while IL-12 and CCL5 persisted to 7 dpi, modeling viral and inflammatory phases of disease. Neutralization of TGF-β, but not IL-10 or IL-4, significantly increased lung inflammatory monocytes and elevated serum but not lung IL-6. Neutralization of IL-4 prolonged weight loss and increased early perivascular infiltration without changing viral titer. Anti-IL-4 reduced expression of Arg1, a gene associated with alternative activation of macrophages. Neutralizing TGF-β and IL-4 had differential effects on pathology after virus control. Lung perivascular infiltration was reduced 7 dpi by neutralization of IL-4 or TGF-β, and periairway inflammation was affected by anti-TGF-β, while alveolar infiltrates were not affected by either. Anti-IL-4 prolonged IL-12 to 7 dpi along with reduced IL-10 in lungs. Overall, the immunoregulatory cytokines TGF-β and IL-4 dampen initial inflammation in this mouse-adapted SARS-CoV-2 infection, suggesting that promotion of immunoregulation could help patients in early stages of disease.</p>\",\"PeriodicalId\":94037,\"journal\":{\"name\":\"ImmunoHorizons\",\"volume\":\"9 9\",\"pages\":\"\"},\"PeriodicalIF\":0.0000,\"publicationDate\":\"2025-08-25\",\"publicationTypes\":\"Journal Article\",\"fieldsOfStudy\":null,\"isOpenAccess\":false,\"openAccessPdf\":\"https://www.ncbi.nlm.nih.gov/pmc/articles/PMC12377903/pdf/\",\"citationCount\":\"0\",\"resultStr\":null,\"platform\":\"Semanticscholar\",\"paperid\":null,\"PeriodicalName\":\"ImmunoHorizons\",\"FirstCategoryId\":\"1085\",\"ListUrlMain\":\"https://doi.org/10.1093/immhor/vlaf032\",\"RegionNum\":0,\"RegionCategory\":null,\"ArticlePicture\":[],\"TitleCN\":null,\"AbstractTextCN\":null,\"PMCID\":null,\"EPubDate\":\"\",\"PubModel\":\"\",\"JCR\":\"Q3\",\"JCRName\":\"Medicine\",\"Score\":null,\"Total\":0}","platform":"Semanticscholar","paperid":null,"PeriodicalName":"ImmunoHorizons","FirstCategoryId":"1085","ListUrlMain":"https://doi.org/10.1093/immhor/vlaf032","RegionNum":0,"RegionCategory":null,"ArticlePicture":[],"TitleCN":null,"AbstractTextCN":null,"PMCID":null,"EPubDate":"","PubModel":"","JCR":"Q3","JCRName":"Medicine","Score":null,"Total":0}
引用次数: 0

摘要

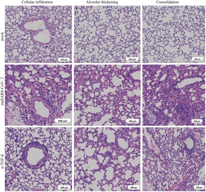
重症COVID-19的病理是由于病毒清除后持续的高炎症免疫反应。为了了解如何调节对SARS-CoV-2的免疫反应以避免严重的COVID-19,我们测试了相关的免疫调节细胞因子。转化生长因子β (TGF-β)、白细胞介素(IL)-10和IL-4在小鼠适应型SARS-CoV-2 (CMA3p20)感染后被中和;采用组织学和流式细胞术对早期和晚期肺部炎症进行量化。感染后3 d明显出现轻度体重减轻和肺部炎症,包括实变和肺泡增厚,炎症持续至7 dpi。与早期单核细胞浸润一致,CCL2和粒细胞集落刺激因子短暂产生3 dpi,而IL-12和CCL5持续产生7 dpi,模拟疾病的病毒和炎症期。中和TGF-β,但不中和IL-10或IL-4,显著增加肺炎性单核细胞和血清,但不升高肺IL-6。在不改变病毒滴度的情况下,IL-4的中和延长了体重减轻和增加了早期血管周围浸润。抗il -4可降低巨噬细胞选择性活化相关基因Arg1的表达。中和TGF-β和IL-4对病毒控制后的病理有不同的影响。中和IL-4或TGF-β可使肺血管周围浸润减少7 dpi,抗TGF-β可影响气道周围炎症,但对肺泡浸润无影响。抗il -4将IL-12延长至7 dpi,同时降低IL-10。总体而言,免疫调节细胞因子TGF-β和IL-4抑制了小鼠适应性SARS-CoV-2感染的初始炎症,表明促进免疫调节可能有助于疾病早期患者。
本文章由计算机程序翻译,如有差异,请以英文原文为准。

IL-4 and TGF-β regulate inflammatory cytokines and cellular infiltration in the lung and systemic IL-6 in mouse-adapted SARS-CoV-2 infection.

IL-4 and TGF-β regulate inflammatory cytokines and cellular infiltration in the lung and systemic IL-6 in mouse-adapted SARS-CoV-2 infection.

IL-4 and TGF-β regulate inflammatory cytokines and cellular infiltration in the lung and systemic IL-6 in mouse-adapted SARS-CoV-2 infection.

IL-4 and TGF-β regulate inflammatory cytokines and cellular infiltration in the lung and systemic IL-6 in mouse-adapted SARS-CoV-2 infection.

The pathology of severe COVID-19 is due to a hyperinflammatory immune response persisting after viral clearance. To understand how the immune response to SARS-CoV-2 is regulated to avoid severe COVID-19, we tested relevant immunoregulatory cytokines. Transforming growth factor β (TGF-β), interleukin (IL)-10, and IL-4 were neutralized upon infection with mouse-adapted SARS-CoV-2 (CMA3p20), a model of mild disease; lung inflammation was quantified by histology and flow cytometry at early and late time points. Mild weight loss and lung inflammation including consolidation and alveolar thickening were evident 3 d postinfection (dpi), and inflammation persisted to 7 dpi. Coinciding with early monocytic infiltrates, CCL2 and granulocyte colony-stimulating factor were transiently produced 3 dpi, while IL-12 and CCL5 persisted to 7 dpi, modeling viral and inflammatory phases of disease. Neutralization of TGF-β, but not IL-10 or IL-4, significantly increased lung inflammatory monocytes and elevated serum but not lung IL-6. Neutralization of IL-4 prolonged weight loss and increased early perivascular infiltration without changing viral titer. Anti-IL-4 reduced expression of Arg1, a gene associated with alternative activation of macrophages. Neutralizing TGF-β and IL-4 had differential effects on pathology after virus control. Lung perivascular infiltration was reduced 7 dpi by neutralization of IL-4 or TGF-β, and periairway inflammation was affected by anti-TGF-β, while alveolar infiltrates were not affected by either. Anti-IL-4 prolonged IL-12 to 7 dpi along with reduced IL-10 in lungs. Overall, the immunoregulatory cytokines TGF-β and IL-4 dampen initial inflammation in this mouse-adapted SARS-CoV-2 infection, suggesting that promotion of immunoregulation could help patients in early stages of disease.

求助全文
通过发布文献求助,成功后即可免费获取论文全文。 去求助
来源期刊
CiteScore
3.70
自引率
0.00%
发文量
0
审稿时长
4 weeks
×
引用
GB/T 7714-2015
复制
MLA
复制
APA
复制
导出至
BibTeX EndNote RefMan NoteFirst NoteExpress
×
提示
您的信息不完整,为了账户安全,请先补充。
现在去补充
×
提示
您因"违规操作"
具体请查看互助需知
我知道了
×
提示
确定
请完成安全验证×
copy
已复制链接
快去分享给好友吧!
我知道了
右上角分享
点击右上角分享
0
联系我们:info@booksci.cn Book学术提供免费学术资源搜索服务,方便国内外学者检索中英文文献。致力于提供最便捷和优质的服务体验。 Copyright © 2023 布克学术 All rights reserved.
京ICP备2023020795号-1
ghs 京公网安备 11010802042870号
Book学术文献互助
Book学术文献互助群
群 号:604180095
Book学术官方微信