前庭神经鞘瘤治疗后胼胝体脾脏的回飞征:1例报告及文献复习。

IF 0.8 Q3 MEDICINE, GENERAL & INTERNAL
Maciej Laskowski, Bartłomiej Błaszczyk, Marcin Setlak, Adam Rudnik, Ewa Warmuz-Uhma, Jan Herzyk
{"title":"前庭神经鞘瘤治疗后胼胝体脾脏的回飞征:1例报告及文献复习。","authors":"Maciej Laskowski, Bartłomiej Błaszczyk, Marcin Setlak, Adam Rudnik, Ewa Warmuz-Uhma, Jan Herzyk","doi":"10.3390/reports8030136","DOIUrl":null,"url":null,"abstract":"<p><p><b>Background and Clinical Significance</b>: The term \"boomerang sign\" refers to a boomerang-shaped area of cytotoxic edema in the splenium of the corpus callosum. It is seen as hyperintense lesions on T2-weighted images, FLAIR and DWI in MRI. No specific pathomechanism leading to these changes in the splenium have been yet found; however, authors have listed a variety of potential causes. <b>Case Presentation</b>: The case presents a 38-year-old male patient after left cerebellopontine angle tumor resection with an abnormal, increased signal intensity within the corpus callosum (boomerang sign) in FLAIR MRI sequence. In the case of our patient, unlike the patients described in the literature, the changes in the commissure persist. <b>Conclusions</b>: These lesions could be caused by several factors such as the development of cerebellar edema and subarachnoid bleeding or hypertonic salt usage while in the intensive care unit.</p>","PeriodicalId":74664,"journal":{"name":"Reports (MDPI)","volume":"8 3","pages":""},"PeriodicalIF":0.8000,"publicationDate":"2025-08-04","publicationTypes":"Journal Article","fieldsOfStudy":null,"isOpenAccess":false,"openAccessPdf":"https://www.ncbi.nlm.nih.gov/pmc/articles/PMC12372113/pdf/","citationCount":"0","resultStr":"{\"title\":\"Boomerang Sign in the Splenium of the Corpus Callosum After Vestibullar Schwannoma Treatment: Case Report and Review of the Literature.\",\"authors\":\"Maciej Laskowski, Bartłomiej Błaszczyk, Marcin Setlak, Adam Rudnik, Ewa Warmuz-Uhma, Jan Herzyk\",\"doi\":\"10.3390/reports8030136\",\"DOIUrl\":null,\"url\":null,\"abstract\":\"<p><p><b>Background and Clinical Significance</b>: The term \\\"boomerang sign\\\" refers to a boomerang-shaped area of cytotoxic edema in the splenium of the corpus callosum. It is seen as hyperintense lesions on T2-weighted images, FLAIR and DWI in MRI. No specific pathomechanism leading to these changes in the splenium have been yet found; however, authors have listed a variety of potential causes. <b>Case Presentation</b>: The case presents a 38-year-old male patient after left cerebellopontine angle tumor resection with an abnormal, increased signal intensity within the corpus callosum (boomerang sign) in FLAIR MRI sequence. In the case of our patient, unlike the patients described in the literature, the changes in the commissure persist. <b>Conclusions</b>: These lesions could be caused by several factors such as the development of cerebellar edema and subarachnoid bleeding or hypertonic salt usage while in the intensive care unit.</p>\",\"PeriodicalId\":74664,\"journal\":{\"name\":\"Reports (MDPI)\",\"volume\":\"8 3\",\"pages\":\"\"},\"PeriodicalIF\":0.8000,\"publicationDate\":\"2025-08-04\",\"publicationTypes\":\"Journal Article\",\"fieldsOfStudy\":null,\"isOpenAccess\":false,\"openAccessPdf\":\"https://www.ncbi.nlm.nih.gov/pmc/articles/PMC12372113/pdf/\",\"citationCount\":\"0\",\"resultStr\":null,\"platform\":\"Semanticscholar\",\"paperid\":null,\"PeriodicalName\":\"Reports (MDPI)\",\"FirstCategoryId\":\"1085\",\"ListUrlMain\":\"https://doi.org/10.3390/reports8030136\",\"RegionNum\":0,\"RegionCategory\":null,\"ArticlePicture\":[],\"TitleCN\":null,\"AbstractTextCN\":null,\"PMCID\":null,\"EPubDate\":\"\",\"PubModel\":\"\",\"JCR\":\"Q3\",\"JCRName\":\"MEDICINE, GENERAL & INTERNAL\",\"Score\":null,\"Total\":0}","platform":"Semanticscholar","paperid":null,"PeriodicalName":"Reports (MDPI)","FirstCategoryId":"1085","ListUrlMain":"https://doi.org/10.3390/reports8030136","RegionNum":0,"RegionCategory":null,"ArticlePicture":[],"TitleCN":null,"AbstractTextCN":null,"PMCID":null,"EPubDate":"","PubModel":"","JCR":"Q3","JCRName":"MEDICINE, GENERAL & INTERNAL","Score":null,"Total":0}
引用次数: 0

摘要

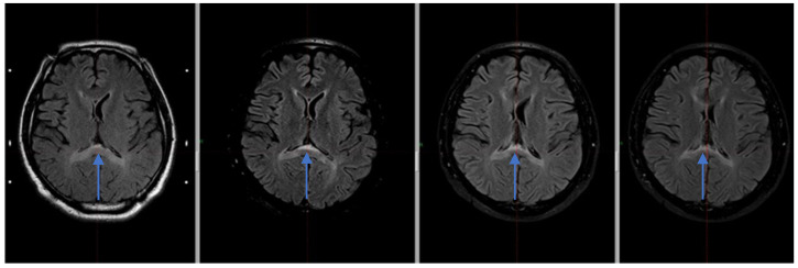
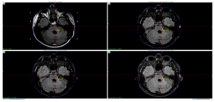
背景和临床意义:“回飞镖征”是指胼胝体脾部出现的回飞镖状细胞毒性水肿区。在MRI的t2加权图像、FLAIR和DWI上表现为高强度病变。目前还没有发现导致脾脏这些变化的具体病理机制;然而,作者列出了各种潜在的原因。病例介绍:本病例为一38岁男性患者,左脑桥小脑角肿瘤切除后,FLAIR MRI序列显示胼胝体内异常信号强度增高(回旋征)。在我们的病例中,与文献中描述的患者不同,连合的变化持续存在。结论:这些病变可能是由多种因素引起的,如小脑水肿和蛛网膜下腔出血的发展或在重症监护病房使用高渗盐。
本文章由计算机程序翻译,如有差异,请以英文原文为准。

Boomerang Sign in the Splenium of the Corpus Callosum After Vestibullar Schwannoma Treatment: Case Report and Review of the Literature.

Boomerang Sign in the Splenium of the Corpus Callosum After Vestibullar Schwannoma Treatment: Case Report and Review of the Literature.

Boomerang Sign in the Splenium of the Corpus Callosum After Vestibullar Schwannoma Treatment: Case Report and Review of the Literature.

Background and Clinical Significance: The term "boomerang sign" refers to a boomerang-shaped area of cytotoxic edema in the splenium of the corpus callosum. It is seen as hyperintense lesions on T2-weighted images, FLAIR and DWI in MRI. No specific pathomechanism leading to these changes in the splenium have been yet found; however, authors have listed a variety of potential causes. Case Presentation: The case presents a 38-year-old male patient after left cerebellopontine angle tumor resection with an abnormal, increased signal intensity within the corpus callosum (boomerang sign) in FLAIR MRI sequence. In the case of our patient, unlike the patients described in the literature, the changes in the commissure persist. Conclusions: These lesions could be caused by several factors such as the development of cerebellar edema and subarachnoid bleeding or hypertonic salt usage while in the intensive care unit.

求助全文
通过发布文献求助,成功后即可免费获取论文全文。 去求助
来源期刊
自引率
0.00%
发文量
0
审稿时长
11 weeks
×
引用
GB/T 7714-2015
复制
MLA
复制
APA
复制
导出至
BibTeX EndNote RefMan NoteFirst NoteExpress
×
提示
您的信息不完整,为了账户安全,请先补充。
现在去补充
×
提示
您因"违规操作"
具体请查看互助需知
我知道了
×
提示
确定
请完成安全验证×
copy
已复制链接
快去分享给好友吧!
我知道了
右上角分享
点击右上角分享
0
联系我们:info@booksci.cn Book学术提供免费学术资源搜索服务,方便国内外学者检索中英文文献。致力于提供最便捷和优质的服务体验。 Copyright © 2023 布克学术 All rights reserved.
京ICP备2023020795号-1
ghs 京公网安备 11010802042870号
Book学术文献互助
Book学术文献互助群
群 号:604180095
Book学术官方微信