一例罕见的膜增生性肾小球肾炎:疫苗在免疫再激活中的作用是偶然的还是因果的?

IF 0.8 Q3 MEDICINE, GENERAL & INTERNAL
Celia Rodríguez Tudero, Alberto Martín Arribas, Marco Dominguez Davalos, Elena Jiménez Mayor, José Carlos De La Flor
{"title":"一例罕见的膜增生性肾小球肾炎:疫苗在免疫再激活中的作用是偶然的还是因果的?","authors":"Celia Rodríguez Tudero, Alberto Martín Arribas, Marco Dominguez Davalos, Elena Jiménez Mayor, José Carlos De La Flor","doi":"10.3390/reports8030141","DOIUrl":null,"url":null,"abstract":"<p><p><b>Background and Clinical Significance:</b> Membranoproliferative glomerulonephritis (MPGN) is a rare and heterogeneous pattern of immune-mediated glomerular injury, often associated with infections, autoimmune disorders, or monoclonal gammopathies. Idiopathic cases remain a diagnostic challenge and frequently require empirical immunosuppressive treatment. There is increasing interest in environmental triggers that may activate the immune system in genetically or immunologically predisposed individuals. We report an unusual case of idiopathic immune complex-mediated MPGN with a relapsing course potentially associated with vaccine-induced immune reactivation. <b>Case Presentation:</b> A 35-year-old male with no significant medical history aside from untreated dyslipidemia and active smoking presented with a hypertensive emergency and acute kidney injury (AKI). Laboratory investigations revealed nephrotic-range proteinuria, microscopic hematuria, and reduced estimated glomerular filtration rate (eGFR). Kidney biopsy demonstrated type I immune complex-mediated MPGN with a diffuse endocapillary proliferative pattern and granular subendothelial deposits (IgG+++, C3+++, C1q++). An extensive work-up ruled out secondary causes, supporting a diagnosis of idiopathic MPGN. Immunosuppressive therapy with corticosteroids and mycophenolate mofetil led to a partial clinical response. However, after receiving multiple vaccinations, the patient experienced clinical deterioration. A second biopsy revealed persistent proliferative changes and new deposits of IgM++, C4d++, and both kappa and lambda light chains. This prompted a reintroduction of immunosuppressive therapy, which resulted in subsequent clinical improvement. <b>Conclusions:</b> This case supports the hypothesis that vaccine-induced immune reactivation may serve as a potential trigger for disease relapse in idiopathic MPGN. Clinicians should remain alert to environmental stimuli that may influence disease activity in immune-mediated glomerulopathies. Further research is needed to elucidate the underlying immunopathogenic mechanisms.</p>","PeriodicalId":74664,"journal":{"name":"Reports (MDPI)","volume":"8 3","pages":""},"PeriodicalIF":0.8000,"publicationDate":"2025-08-08","publicationTypes":"Journal Article","fieldsOfStudy":null,"isOpenAccess":false,"openAccessPdf":"https://www.ncbi.nlm.nih.gov/pmc/articles/PMC12372154/pdf/","citationCount":"0","resultStr":"{\"title\":\"An Unusual Case of Membranoproliferative Glomerulonephritis: Is the Role of Vaccination in Immune Reactivation a Casual or Causal Effect?\",\"authors\":\"Celia Rodríguez Tudero, Alberto Martín Arribas, Marco Dominguez Davalos, Elena Jiménez Mayor, José Carlos De La Flor\",\"doi\":\"10.3390/reports8030141\",\"DOIUrl\":null,\"url\":null,\"abstract\":\"<p><p><b>Background and Clinical Significance:</b> Membranoproliferative glomerulonephritis (MPGN) is a rare and heterogeneous pattern of immune-mediated glomerular injury, often associated with infections, autoimmune disorders, or monoclonal gammopathies. Idiopathic cases remain a diagnostic challenge and frequently require empirical immunosuppressive treatment. There is increasing interest in environmental triggers that may activate the immune system in genetically or immunologically predisposed individuals. We report an unusual case of idiopathic immune complex-mediated MPGN with a relapsing course potentially associated with vaccine-induced immune reactivation. <b>Case Presentation:</b> A 35-year-old male with no significant medical history aside from untreated dyslipidemia and active smoking presented with a hypertensive emergency and acute kidney injury (AKI). Laboratory investigations revealed nephrotic-range proteinuria, microscopic hematuria, and reduced estimated glomerular filtration rate (eGFR). Kidney biopsy demonstrated type I immune complex-mediated MPGN with a diffuse endocapillary proliferative pattern and granular subendothelial deposits (IgG+++, C3+++, C1q++). An extensive work-up ruled out secondary causes, supporting a diagnosis of idiopathic MPGN. Immunosuppressive therapy with corticosteroids and mycophenolate mofetil led to a partial clinical response. However, after receiving multiple vaccinations, the patient experienced clinical deterioration. A second biopsy revealed persistent proliferative changes and new deposits of IgM++, C4d++, and both kappa and lambda light chains. This prompted a reintroduction of immunosuppressive therapy, which resulted in subsequent clinical improvement. <b>Conclusions:</b> This case supports the hypothesis that vaccine-induced immune reactivation may serve as a potential trigger for disease relapse in idiopathic MPGN. Clinicians should remain alert to environmental stimuli that may influence disease activity in immune-mediated glomerulopathies. Further research is needed to elucidate the underlying immunopathogenic mechanisms.</p>\",\"PeriodicalId\":74664,\"journal\":{\"name\":\"Reports (MDPI)\",\"volume\":\"8 3\",\"pages\":\"\"},\"PeriodicalIF\":0.8000,\"publicationDate\":\"2025-08-08\",\"publicationTypes\":\"Journal Article\",\"fieldsOfStudy\":null,\"isOpenAccess\":false,\"openAccessPdf\":\"https://www.ncbi.nlm.nih.gov/pmc/articles/PMC12372154/pdf/\",\"citationCount\":\"0\",\"resultStr\":null,\"platform\":\"Semanticscholar\",\"paperid\":null,\"PeriodicalName\":\"Reports (MDPI)\",\"FirstCategoryId\":\"1085\",\"ListUrlMain\":\"https://doi.org/10.3390/reports8030141\",\"RegionNum\":0,\"RegionCategory\":null,\"ArticlePicture\":[],\"TitleCN\":null,\"AbstractTextCN\":null,\"PMCID\":null,\"EPubDate\":\"\",\"PubModel\":\"\",\"JCR\":\"Q3\",\"JCRName\":\"MEDICINE, GENERAL & INTERNAL\",\"Score\":null,\"Total\":0}","platform":"Semanticscholar","paperid":null,"PeriodicalName":"Reports (MDPI)","FirstCategoryId":"1085","ListUrlMain":"https://doi.org/10.3390/reports8030141","RegionNum":0,"RegionCategory":null,"ArticlePicture":[],"TitleCN":null,"AbstractTextCN":null,"PMCID":null,"EPubDate":"","PubModel":"","JCR":"Q3","JCRName":"MEDICINE, GENERAL & INTERNAL","Score":null,"Total":0}
引用次数: 0

摘要

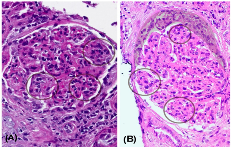
背景和临床意义:膜增生性肾小球肾炎(MPGN)是一种罕见且异质性的免疫介导的肾小球损伤,通常与感染、自身免疫性疾病或单克隆伽玛病有关。特发性病例仍然是一个诊断挑战,经常需要经验性免疫抑制治疗。在遗传或免疫易感性个体中,环境触发因素可能激活免疫系统的研究日益引起人们的兴趣。我们报告了一个罕见的特发性免疫复合物介导的MPGN病例,其复发过程可能与疫苗诱导的免疫再激活有关。病例介绍:一名35岁男性,除了未经治疗的血脂异常和积极吸烟外,没有明显的病史,表现为高血压急诊和急性肾损伤(AKI)。实验室检查显示肾范围蛋白尿,显微镜下血尿,肾小球滤过率(eGFR)降低。肾活检显示I型免疫复合物介导的MPGN具有弥漫性毛细血管内增生模式和颗粒状内皮下沉积(IgG+++, c3c++ +, c1q++ +)。广泛的检查排除了继发性原因,支持特发性MPGN的诊断。皮质类固醇和霉酚酸酯的免疫抑制治疗导致部分临床反应。然而,在多次接种疫苗后,患者出现了临床恶化。第二次活检显示持续增生性变化和igm++、C4d++、kappa和lambda轻链的新沉积。这促使免疫抑制疗法的重新引入,导致随后的临床改善。结论:该病例支持疫苗诱导的免疫再激活可能是特发性MPGN疾病复发的潜在触发因素的假设。临床医生应该对可能影响免疫介导的肾小球疾病活动性的环境刺激保持警惕。需要进一步的研究来阐明潜在的免疫致病机制。
本文章由计算机程序翻译,如有差异,请以英文原文为准。

An Unusual Case of Membranoproliferative Glomerulonephritis: Is the Role of Vaccination in Immune Reactivation a Casual or Causal Effect?

An Unusual Case of Membranoproliferative Glomerulonephritis: Is the Role of Vaccination in Immune Reactivation a Casual or Causal Effect?

An Unusual Case of Membranoproliferative Glomerulonephritis: Is the Role of Vaccination in Immune Reactivation a Casual or Causal Effect?

An Unusual Case of Membranoproliferative Glomerulonephritis: Is the Role of Vaccination in Immune Reactivation a Casual or Causal Effect?

Background and Clinical Significance: Membranoproliferative glomerulonephritis (MPGN) is a rare and heterogeneous pattern of immune-mediated glomerular injury, often associated with infections, autoimmune disorders, or monoclonal gammopathies. Idiopathic cases remain a diagnostic challenge and frequently require empirical immunosuppressive treatment. There is increasing interest in environmental triggers that may activate the immune system in genetically or immunologically predisposed individuals. We report an unusual case of idiopathic immune complex-mediated MPGN with a relapsing course potentially associated with vaccine-induced immune reactivation. Case Presentation: A 35-year-old male with no significant medical history aside from untreated dyslipidemia and active smoking presented with a hypertensive emergency and acute kidney injury (AKI). Laboratory investigations revealed nephrotic-range proteinuria, microscopic hematuria, and reduced estimated glomerular filtration rate (eGFR). Kidney biopsy demonstrated type I immune complex-mediated MPGN with a diffuse endocapillary proliferative pattern and granular subendothelial deposits (IgG+++, C3+++, C1q++). An extensive work-up ruled out secondary causes, supporting a diagnosis of idiopathic MPGN. Immunosuppressive therapy with corticosteroids and mycophenolate mofetil led to a partial clinical response. However, after receiving multiple vaccinations, the patient experienced clinical deterioration. A second biopsy revealed persistent proliferative changes and new deposits of IgM++, C4d++, and both kappa and lambda light chains. This prompted a reintroduction of immunosuppressive therapy, which resulted in subsequent clinical improvement. Conclusions: This case supports the hypothesis that vaccine-induced immune reactivation may serve as a potential trigger for disease relapse in idiopathic MPGN. Clinicians should remain alert to environmental stimuli that may influence disease activity in immune-mediated glomerulopathies. Further research is needed to elucidate the underlying immunopathogenic mechanisms.

求助全文
通过发布文献求助,成功后即可免费获取论文全文。 去求助
来源期刊
自引率
0.00%
发文量
0
审稿时长
11 weeks
×
引用
GB/T 7714-2015
复制
MLA
复制
APA
复制
导出至
BibTeX EndNote RefMan NoteFirst NoteExpress
×
提示
您的信息不完整,为了账户安全,请先补充。
现在去补充
×
提示
您因"违规操作"
具体请查看互助需知
我知道了
×
提示
确定
请完成安全验证×
copy
已复制链接
快去分享给好友吧!
我知道了
右上角分享
点击右上角分享
0
联系我们:info@booksci.cn Book学术提供免费学术资源搜索服务,方便国内外学者检索中英文文献。致力于提供最便捷和优质的服务体验。 Copyright © 2023 布克学术 All rights reserved.
京ICP备2023020795号-1
ghs 京公网安备 11010802042870号
Book学术文献互助
Book学术文献互助群
群 号:604180095
Book学术官方微信