经皮周围神经刺激治疗化疗所致神经病1例。

IF 0.8 Q3 MEDICINE, GENERAL & INTERNAL
Sara Mogedano-Cruz, Carlos Romero-Morales, Mónica de la Cueva-Reguera, Kristin L Campbell, Pablo Herrero
{"title":"经皮周围神经刺激治疗化疗所致神经病1例。","authors":"Sara Mogedano-Cruz, Carlos Romero-Morales, Mónica de la Cueva-Reguera, Kristin L Campbell, Pablo Herrero","doi":"10.3390/reports8030133","DOIUrl":null,"url":null,"abstract":"<p><p><b>Background and Clinical Significance</b>: Chemotherapy-induced peripheral neuropathy (CIPN) is a frequent and limiting complication of oncological treatment, particularly in patients receiving oxaliplatin. Its onset can significantly affect the quality of life and compromise the continuity of the antineoplastic therapy. Due to the limited efficacy of available pharmacological therapies, percutaneous electrical nerve stimulation (PENS) has been proposed as a non-invasive alternative for symptom management. <b>Case presentation</b>: We report the case of a 75-year-old woman with colorectal adenocarcinoma who developed CIPN following oxaliplatin administration. She underwent a 12-week course of PENS targeting the median nerve, with weekly sessions conducted without interruption of chemotherapy and without adverse effects. The patient showed progressive improvement in neurosensory symptoms, as measured by the EORTC QLQ-CIPN20 questionnaire. Quantitative sensory testing revealed normalization of thermal and vibratory sensitivity and improved mechanical detection thresholds. The cumulative oxaliplatin dose was maintained throughout treatment. <b>Conclusions</b>: PENS may offer an effective and safe therapeutic option for managing CIPN, enabling symptom control without compromising oncological treatment. This case supports the need for controlled clinical trials to confirm efficacy and establish standardized protocols.</p>","PeriodicalId":74664,"journal":{"name":"Reports (MDPI)","volume":"8 3","pages":""},"PeriodicalIF":0.8000,"publicationDate":"2025-08-01","publicationTypes":"Journal Article","fieldsOfStudy":null,"isOpenAccess":false,"openAccessPdf":"https://www.ncbi.nlm.nih.gov/pmc/articles/PMC12372149/pdf/","citationCount":"0","resultStr":"{\"title\":\"Percutaneous Peripheral Nerve Stimulation in Chemotherapy-Induced Neuropathy: A Case Report.\",\"authors\":\"Sara Mogedano-Cruz, Carlos Romero-Morales, Mónica de la Cueva-Reguera, Kristin L Campbell, Pablo Herrero\",\"doi\":\"10.3390/reports8030133\",\"DOIUrl\":null,\"url\":null,\"abstract\":\"<p><p><b>Background and Clinical Significance</b>: Chemotherapy-induced peripheral neuropathy (CIPN) is a frequent and limiting complication of oncological treatment, particularly in patients receiving oxaliplatin. Its onset can significantly affect the quality of life and compromise the continuity of the antineoplastic therapy. Due to the limited efficacy of available pharmacological therapies, percutaneous electrical nerve stimulation (PENS) has been proposed as a non-invasive alternative for symptom management. <b>Case presentation</b>: We report the case of a 75-year-old woman with colorectal adenocarcinoma who developed CIPN following oxaliplatin administration. She underwent a 12-week course of PENS targeting the median nerve, with weekly sessions conducted without interruption of chemotherapy and without adverse effects. The patient showed progressive improvement in neurosensory symptoms, as measured by the EORTC QLQ-CIPN20 questionnaire. Quantitative sensory testing revealed normalization of thermal and vibratory sensitivity and improved mechanical detection thresholds. The cumulative oxaliplatin dose was maintained throughout treatment. <b>Conclusions</b>: PENS may offer an effective and safe therapeutic option for managing CIPN, enabling symptom control without compromising oncological treatment. This case supports the need for controlled clinical trials to confirm efficacy and establish standardized protocols.</p>\",\"PeriodicalId\":74664,\"journal\":{\"name\":\"Reports (MDPI)\",\"volume\":\"8 3\",\"pages\":\"\"},\"PeriodicalIF\":0.8000,\"publicationDate\":\"2025-08-01\",\"publicationTypes\":\"Journal Article\",\"fieldsOfStudy\":null,\"isOpenAccess\":false,\"openAccessPdf\":\"https://www.ncbi.nlm.nih.gov/pmc/articles/PMC12372149/pdf/\",\"citationCount\":\"0\",\"resultStr\":null,\"platform\":\"Semanticscholar\",\"paperid\":null,\"PeriodicalName\":\"Reports (MDPI)\",\"FirstCategoryId\":\"1085\",\"ListUrlMain\":\"https://doi.org/10.3390/reports8030133\",\"RegionNum\":0,\"RegionCategory\":null,\"ArticlePicture\":[],\"TitleCN\":null,\"AbstractTextCN\":null,\"PMCID\":null,\"EPubDate\":\"\",\"PubModel\":\"\",\"JCR\":\"Q3\",\"JCRName\":\"MEDICINE, GENERAL & INTERNAL\",\"Score\":null,\"Total\":0}","platform":"Semanticscholar","paperid":null,"PeriodicalName":"Reports (MDPI)","FirstCategoryId":"1085","ListUrlMain":"https://doi.org/10.3390/reports8030133","RegionNum":0,"RegionCategory":null,"ArticlePicture":[],"TitleCN":null,"AbstractTextCN":null,"PMCID":null,"EPubDate":"","PubModel":"","JCR":"Q3","JCRName":"MEDICINE, GENERAL & INTERNAL","Score":null,"Total":0}
引用次数: 0

摘要

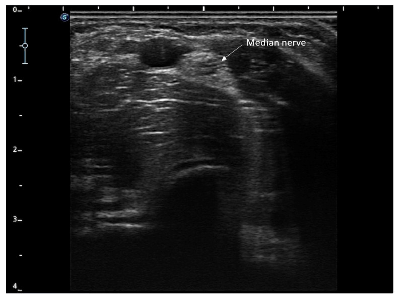
背景和临床意义:化疗引起的周围神经病变(CIPN)是肿瘤治疗的常见和限制性并发症,特别是在接受奥沙利铂的患者中。它的发作可显著影响生活质量,并危及抗肿瘤治疗的连续性。由于现有药物治疗的疗效有限,经皮神经电刺激(PENS)已被提出作为一种非侵入性的治疗症状的替代方法。病例介绍:我们报告一例75岁的女性结直肠癌患者在奥沙利铂治疗后发生CIPN。她接受了为期12周的针对正中神经的钢笔疗程,每周进行一次,没有中断化疗,没有不良反应。通过EORTC QLQ-CIPN20问卷测量,患者表现出神经感觉症状的进行性改善。定量感官测试显示热和振动灵敏度归一化,机械检测阈值提高。在整个治疗过程中,奥沙利铂的累积剂量保持不变。结论:钢笔可以提供有效和安全的治疗选择来管理CIPN,使症状控制而不影响肿瘤治疗。这一病例说明需要进行对照临床试验,以确认疗效并建立标准化方案。
本文章由计算机程序翻译,如有差异,请以英文原文为准。

Percutaneous Peripheral Nerve Stimulation in Chemotherapy-Induced Neuropathy: A Case Report.

Percutaneous Peripheral Nerve Stimulation in Chemotherapy-Induced Neuropathy: A Case Report.

Percutaneous Peripheral Nerve Stimulation in Chemotherapy-Induced Neuropathy: A Case Report.

Background and Clinical Significance: Chemotherapy-induced peripheral neuropathy (CIPN) is a frequent and limiting complication of oncological treatment, particularly in patients receiving oxaliplatin. Its onset can significantly affect the quality of life and compromise the continuity of the antineoplastic therapy. Due to the limited efficacy of available pharmacological therapies, percutaneous electrical nerve stimulation (PENS) has been proposed as a non-invasive alternative for symptom management. Case presentation: We report the case of a 75-year-old woman with colorectal adenocarcinoma who developed CIPN following oxaliplatin administration. She underwent a 12-week course of PENS targeting the median nerve, with weekly sessions conducted without interruption of chemotherapy and without adverse effects. The patient showed progressive improvement in neurosensory symptoms, as measured by the EORTC QLQ-CIPN20 questionnaire. Quantitative sensory testing revealed normalization of thermal and vibratory sensitivity and improved mechanical detection thresholds. The cumulative oxaliplatin dose was maintained throughout treatment. Conclusions: PENS may offer an effective and safe therapeutic option for managing CIPN, enabling symptom control without compromising oncological treatment. This case supports the need for controlled clinical trials to confirm efficacy and establish standardized protocols.

求助全文
通过发布文献求助,成功后即可免费获取论文全文。 去求助
来源期刊
自引率
0.00%
发文量
0
审稿时长
11 weeks
×
引用
GB/T 7714-2015
复制
MLA
复制
APA
复制
导出至
BibTeX EndNote RefMan NoteFirst NoteExpress
×
提示
您的信息不完整,为了账户安全,请先补充。
现在去补充
×
提示
您因"违规操作"
具体请查看互助需知
我知道了
×
提示
确定
请完成安全验证×
copy
已复制链接
快去分享给好友吧!
我知道了
右上角分享
点击右上角分享
0
联系我们:info@booksci.cn Book学术提供免费学术资源搜索服务,方便国内外学者检索中英文文献。致力于提供最便捷和优质的服务体验。 Copyright © 2023 布克学术 All rights reserved.
京ICP备2023020795号-1
ghs 京公网安备 11010802042870号
Book学术文献互助
Book学术文献互助群
群 号:604180095
Book学术官方微信