45、x /46、XY组织嵌合一例:新生儿阴部模糊诊断的复杂性。

IF 0.8 Q3 MEDICINE, GENERAL & INTERNAL
Mariola Krzyścin, Agnieszka Brodowska, Dominika Pietrzyk, Katarzyna Zając, Elżbieta Sowińska-Przepiera
{"title":"45、x /46、XY组织嵌合一例:新生儿阴部模糊诊断的复杂性。","authors":"Mariola Krzyścin, Agnieszka Brodowska, Dominika Pietrzyk, Katarzyna Zając, Elżbieta Sowińska-Przepiera","doi":"10.3390/reports8030146","DOIUrl":null,"url":null,"abstract":"<p><p><b>Background and Clinical Significance</b>: The 45,X0/46,XY mosaic karyotype is categorized as a disorder of sex development and can lead to atypical sexual development. Latent mosaicism involving Y chromosomal segments may be much more prevalent than previously assumed, according to a growing number of findings. This primarily depends on how sensitive cytogenetic methods are-such as traditional karyotype screening, FISH methods, or molecular analyses. <b>Case Presentation</b>: We present the case of a 10-week-old infant with hermaphroditic external genitalia. During pregnancy, ultrasonography revealed severe fetal development difficulties, including severe widespread edema. An abnormal 45,X0/46,XY mosaic karyotype was discovered during a genetic amniocentesis conducted during the 16th week of pregnancy. The infant was born in average general condition at 39 + 6 weeks of gestation. Physical examination of the infant revealed features of facial dysmorphia, webbed neck, and hermaphroditic external genitalia. The testicle was palpable on the left side, but the gonad was absent on the right. Laboratory tests revealed a typical hormonal profile of the mini-puberty period in boys. Moreover, a hormone panel and thyroid ultrasound were performed; congenital hypothyroidism was diagnosed. Three separate independent sources of biological material were used in cytogenetic analysis to determine the karyotype: skin fibroblasts (to confirm tissue mosaicism), oral epithelial cells (FISH), and peripheral blood lymphocytes. It showed that a mosaic occurred very early in embryogenesis by confirming the existence of karyotypes 45,X and 46,XY in various tissues (mosaic tissue distribution). <b>Conclusions</b>: Tissue mosaicism should be compared to the analysis of tissues from other embryonic origins, including blood and oral tissue. Support for gender identity and treatment decisions, including the prediction of the future risk of gonadoblastoma, as well as multidisciplinary care, is necessary.</p>","PeriodicalId":74664,"journal":{"name":"Reports (MDPI)","volume":"8 3","pages":""},"PeriodicalIF":0.8000,"publicationDate":"2025-08-15","publicationTypes":"Journal Article","fieldsOfStudy":null,"isOpenAccess":false,"openAccessPdf":"https://www.ncbi.nlm.nih.gov/pmc/articles/PMC12371900/pdf/","citationCount":"0","resultStr":"{\"title\":\"A Case Report of Tissue Mosaicism in 45,X0/46,XY: Diagnostic Complexity in a Newborn with Ambiguous Genitalia.\",\"authors\":\"Mariola Krzyścin, Agnieszka Brodowska, Dominika Pietrzyk, Katarzyna Zając, Elżbieta Sowińska-Przepiera\",\"doi\":\"10.3390/reports8030146\",\"DOIUrl\":null,\"url\":null,\"abstract\":\"<p><p><b>Background and Clinical Significance</b>: The 45,X0/46,XY mosaic karyotype is categorized as a disorder of sex development and can lead to atypical sexual development. Latent mosaicism involving Y chromosomal segments may be much more prevalent than previously assumed, according to a growing number of findings. This primarily depends on how sensitive cytogenetic methods are-such as traditional karyotype screening, FISH methods, or molecular analyses. <b>Case Presentation</b>: We present the case of a 10-week-old infant with hermaphroditic external genitalia. During pregnancy, ultrasonography revealed severe fetal development difficulties, including severe widespread edema. An abnormal 45,X0/46,XY mosaic karyotype was discovered during a genetic amniocentesis conducted during the 16th week of pregnancy. The infant was born in average general condition at 39 + 6 weeks of gestation. Physical examination of the infant revealed features of facial dysmorphia, webbed neck, and hermaphroditic external genitalia. The testicle was palpable on the left side, but the gonad was absent on the right. Laboratory tests revealed a typical hormonal profile of the mini-puberty period in boys. Moreover, a hormone panel and thyroid ultrasound were performed; congenital hypothyroidism was diagnosed. Three separate independent sources of biological material were used in cytogenetic analysis to determine the karyotype: skin fibroblasts (to confirm tissue mosaicism), oral epithelial cells (FISH), and peripheral blood lymphocytes. It showed that a mosaic occurred very early in embryogenesis by confirming the existence of karyotypes 45,X and 46,XY in various tissues (mosaic tissue distribution). <b>Conclusions</b>: Tissue mosaicism should be compared to the analysis of tissues from other embryonic origins, including blood and oral tissue. Support for gender identity and treatment decisions, including the prediction of the future risk of gonadoblastoma, as well as multidisciplinary care, is necessary.</p>\",\"PeriodicalId\":74664,\"journal\":{\"name\":\"Reports (MDPI)\",\"volume\":\"8 3\",\"pages\":\"\"},\"PeriodicalIF\":0.8000,\"publicationDate\":\"2025-08-15\",\"publicationTypes\":\"Journal Article\",\"fieldsOfStudy\":null,\"isOpenAccess\":false,\"openAccessPdf\":\"https://www.ncbi.nlm.nih.gov/pmc/articles/PMC12371900/pdf/\",\"citationCount\":\"0\",\"resultStr\":null,\"platform\":\"Semanticscholar\",\"paperid\":null,\"PeriodicalName\":\"Reports (MDPI)\",\"FirstCategoryId\":\"1085\",\"ListUrlMain\":\"https://doi.org/10.3390/reports8030146\",\"RegionNum\":0,\"RegionCategory\":null,\"ArticlePicture\":[],\"TitleCN\":null,\"AbstractTextCN\":null,\"PMCID\":null,\"EPubDate\":\"\",\"PubModel\":\"\",\"JCR\":\"Q3\",\"JCRName\":\"MEDICINE, GENERAL & INTERNAL\",\"Score\":null,\"Total\":0}","platform":"Semanticscholar","paperid":null,"PeriodicalName":"Reports (MDPI)","FirstCategoryId":"1085","ListUrlMain":"https://doi.org/10.3390/reports8030146","RegionNum":0,"RegionCategory":null,"ArticlePicture":[],"TitleCN":null,"AbstractTextCN":null,"PMCID":null,"EPubDate":"","PubModel":"","JCR":"Q3","JCRName":"MEDICINE, GENERAL & INTERNAL","Score":null,"Total":0}
引用次数: 0

摘要

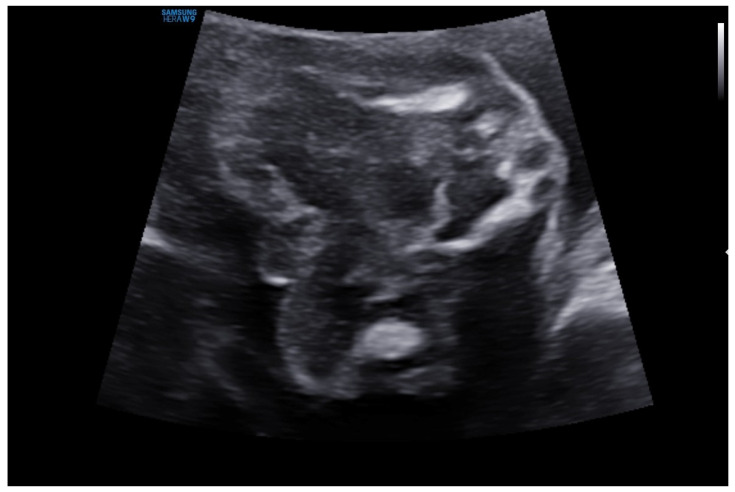
背景和临床意义:45、x /46、XY镶嵌核型被归类为一种性发育障碍,可导致非典型性发育。根据越来越多的发现,涉及Y染色体片段的潜在镶嵌现象可能比以前认为的要普遍得多。这主要取决于细胞遗传学方法的敏感性,如传统的核型筛选、FISH方法或分子分析。病例介绍:我们提出的情况下,10周大的婴儿雌雄同体外生殖器。在怀孕期间,超声检查显示严重的胎儿发育困难,包括严重的广泛水肿。在妊娠第16周进行的遗传羊膜穿刺术中发现异常的45、X0/46、XY嵌合核型。该婴儿在妊娠39 + 6周时以平均一般情况出生。婴儿体格检查显示面部畸形,颈部有蹼,外生殖器雌雄同体。左侧可见睾丸,右侧未见性腺。实验室测试显示,男孩的荷尔蒙特征是典型的小青春期。此外,进行激素面板和甲状腺超声检查;诊断为先天性甲状腺功能减退。细胞遗传学分析中使用了三种独立的生物材料来源来确定核型:皮肤成纤维细胞(以确认组织嵌合),口腔上皮细胞(FISH)和外周血淋巴细胞。证实了45、X和46、XY核型在不同组织中存在(嵌合组织分布),表明嵌合发生在胚胎发生早期。结论:组织嵌合现象应与其他胚胎来源的组织分析进行比较,包括血液和口腔组织。对性别认同和治疗决策的支持,包括对性腺母细胞瘤未来风险的预测,以及多学科护理,是必要的。
本文章由计算机程序翻译,如有差异,请以英文原文为准。

A Case Report of Tissue Mosaicism in 45,X0/46,XY: Diagnostic Complexity in a Newborn with Ambiguous Genitalia.

A Case Report of Tissue Mosaicism in 45,X0/46,XY: Diagnostic Complexity in a Newborn with Ambiguous Genitalia.

A Case Report of Tissue Mosaicism in 45,X0/46,XY: Diagnostic Complexity in a Newborn with Ambiguous Genitalia.

A Case Report of Tissue Mosaicism in 45,X0/46,XY: Diagnostic Complexity in a Newborn with Ambiguous Genitalia.

Background and Clinical Significance: The 45,X0/46,XY mosaic karyotype is categorized as a disorder of sex development and can lead to atypical sexual development. Latent mosaicism involving Y chromosomal segments may be much more prevalent than previously assumed, according to a growing number of findings. This primarily depends on how sensitive cytogenetic methods are-such as traditional karyotype screening, FISH methods, or molecular analyses. Case Presentation: We present the case of a 10-week-old infant with hermaphroditic external genitalia. During pregnancy, ultrasonography revealed severe fetal development difficulties, including severe widespread edema. An abnormal 45,X0/46,XY mosaic karyotype was discovered during a genetic amniocentesis conducted during the 16th week of pregnancy. The infant was born in average general condition at 39 + 6 weeks of gestation. Physical examination of the infant revealed features of facial dysmorphia, webbed neck, and hermaphroditic external genitalia. The testicle was palpable on the left side, but the gonad was absent on the right. Laboratory tests revealed a typical hormonal profile of the mini-puberty period in boys. Moreover, a hormone panel and thyroid ultrasound were performed; congenital hypothyroidism was diagnosed. Three separate independent sources of biological material were used in cytogenetic analysis to determine the karyotype: skin fibroblasts (to confirm tissue mosaicism), oral epithelial cells (FISH), and peripheral blood lymphocytes. It showed that a mosaic occurred very early in embryogenesis by confirming the existence of karyotypes 45,X and 46,XY in various tissues (mosaic tissue distribution). Conclusions: Tissue mosaicism should be compared to the analysis of tissues from other embryonic origins, including blood and oral tissue. Support for gender identity and treatment decisions, including the prediction of the future risk of gonadoblastoma, as well as multidisciplinary care, is necessary.

求助全文
通过发布文献求助,成功后即可免费获取论文全文。 去求助
来源期刊
自引率
0.00%
发文量
0
审稿时长
11 weeks
×
引用
GB/T 7714-2015
复制
MLA
复制
APA
复制
导出至
BibTeX EndNote RefMan NoteFirst NoteExpress
×
提示
您的信息不完整,为了账户安全,请先补充。
现在去补充
×
提示
您因"违规操作"
具体请查看互助需知
我知道了
×
提示
确定
请完成安全验证×
copy
已复制链接
快去分享给好友吧!
我知道了
右上角分享
点击右上角分享
0
联系我们:info@booksci.cn Book学术提供免费学术资源搜索服务,方便国内外学者检索中英文文献。致力于提供最便捷和优质的服务体验。 Copyright © 2023 布克学术 All rights reserved.
京ICP备2023020795号-1
ghs 京公网安备 11010802042870号
Book学术文献互助
Book学术文献互助群
群 号:604180095
Book学术官方微信