垂体腺瘤手术后的综合生育管理:日本农村病例的经验教训及实践回顾。

IF 0.8 Q3 MEDICINE, GENERAL & INTERNAL
Daisuke Numahata, Kosuke Kojo, San-E Ishikawa, Takumi Kuramae, Ayumi Nakazono, Kaoru Yanagida, Hiroyuki Nishiyama, Tatsuya Takayama
{"title":"垂体腺瘤手术后的综合生育管理:日本农村病例的经验教训及实践回顾。","authors":"Daisuke Numahata, Kosuke Kojo, San-E Ishikawa, Takumi Kuramae, Ayumi Nakazono, Kaoru Yanagida, Hiroyuki Nishiyama, Tatsuya Takayama","doi":"10.3390/reports8030144","DOIUrl":null,"url":null,"abstract":"<p><p><b>Background and Clinical Significance:</b> Pituitary adenomas, also termed pituitary neuroendocrine tumors, pose a significant risk of hypogonadotropic hypogonadism (HH) after surgical resection, with profound consequences for fertility and sexual function in young patients. <b>Case Presentation:</b> We present the case of a 29-year-old man from rural Japan who developed severe HH and azoospermia following two transsphenoidal resections for a large pituitary adenoma. Despite early engagement with neurosurgery teams, fertility management was delayed by the absence of on-site endocrinology expertise and limited local oncofertility resources. After comprehensive endocrine evaluation and counseling, the patient began combined human chorionic gonadotropin and recombinant follicle-stimulating hormone therapy, resulting in full recovery of sexual function and normalization of semen parameters, ultimately leading to spontaneous conception and the birth of a healthy child. Building on this real-world case, we provide a narrative review of current practical management strategies for HH after pituitary surgery, including the utility of hormone-stimulation tests, Japanese guideline-based subsidy systems, and best-practice approaches to hormonal replacement. <b>Conclusions:</b> This case underscores not only the necessity for early, interdisciplinary collaboration and preoperative counseling but also highlights a rare instance in which a patient with a benign tumor received care that did not address his fertility-related needs, emphasizing that such considerations should be integrated into preoperative counseling even for non-malignant conditions. Strengthening regional oncofertility networks and improving healthcare providers' awareness of fertility-preservation options remain essential for improving outcomes.</p>","PeriodicalId":74664,"journal":{"name":"Reports (MDPI)","volume":"8 3","pages":""},"PeriodicalIF":0.8000,"publicationDate":"2025-08-15","publicationTypes":"Journal Article","fieldsOfStudy":null,"isOpenAccess":false,"openAccessPdf":"https://www.ncbi.nlm.nih.gov/pmc/articles/PMC12371999/pdf/","citationCount":"0","resultStr":"{\"title\":\"Comprehensive Fertility Management After Pituitary Adenoma Surgery: Lessons from a Rural Japanese Case and Practical Review.\",\"authors\":\"Daisuke Numahata, Kosuke Kojo, San-E Ishikawa, Takumi Kuramae, Ayumi Nakazono, Kaoru Yanagida, Hiroyuki Nishiyama, Tatsuya Takayama\",\"doi\":\"10.3390/reports8030144\",\"DOIUrl\":null,\"url\":null,\"abstract\":\"<p><p><b>Background and Clinical Significance:</b> Pituitary adenomas, also termed pituitary neuroendocrine tumors, pose a significant risk of hypogonadotropic hypogonadism (HH) after surgical resection, with profound consequences for fertility and sexual function in young patients. <b>Case Presentation:</b> We present the case of a 29-year-old man from rural Japan who developed severe HH and azoospermia following two transsphenoidal resections for a large pituitary adenoma. Despite early engagement with neurosurgery teams, fertility management was delayed by the absence of on-site endocrinology expertise and limited local oncofertility resources. After comprehensive endocrine evaluation and counseling, the patient began combined human chorionic gonadotropin and recombinant follicle-stimulating hormone therapy, resulting in full recovery of sexual function and normalization of semen parameters, ultimately leading to spontaneous conception and the birth of a healthy child. Building on this real-world case, we provide a narrative review of current practical management strategies for HH after pituitary surgery, including the utility of hormone-stimulation tests, Japanese guideline-based subsidy systems, and best-practice approaches to hormonal replacement. <b>Conclusions:</b> This case underscores not only the necessity for early, interdisciplinary collaboration and preoperative counseling but also highlights a rare instance in which a patient with a benign tumor received care that did not address his fertility-related needs, emphasizing that such considerations should be integrated into preoperative counseling even for non-malignant conditions. Strengthening regional oncofertility networks and improving healthcare providers' awareness of fertility-preservation options remain essential for improving outcomes.</p>\",\"PeriodicalId\":74664,\"journal\":{\"name\":\"Reports (MDPI)\",\"volume\":\"8 3\",\"pages\":\"\"},\"PeriodicalIF\":0.8000,\"publicationDate\":\"2025-08-15\",\"publicationTypes\":\"Journal Article\",\"fieldsOfStudy\":null,\"isOpenAccess\":false,\"openAccessPdf\":\"https://www.ncbi.nlm.nih.gov/pmc/articles/PMC12371999/pdf/\",\"citationCount\":\"0\",\"resultStr\":null,\"platform\":\"Semanticscholar\",\"paperid\":null,\"PeriodicalName\":\"Reports (MDPI)\",\"FirstCategoryId\":\"1085\",\"ListUrlMain\":\"https://doi.org/10.3390/reports8030144\",\"RegionNum\":0,\"RegionCategory\":null,\"ArticlePicture\":[],\"TitleCN\":null,\"AbstractTextCN\":null,\"PMCID\":null,\"EPubDate\":\"\",\"PubModel\":\"\",\"JCR\":\"Q3\",\"JCRName\":\"MEDICINE, GENERAL & INTERNAL\",\"Score\":null,\"Total\":0}","platform":"Semanticscholar","paperid":null,"PeriodicalName":"Reports (MDPI)","FirstCategoryId":"1085","ListUrlMain":"https://doi.org/10.3390/reports8030144","RegionNum":0,"RegionCategory":null,"ArticlePicture":[],"TitleCN":null,"AbstractTextCN":null,"PMCID":null,"EPubDate":"","PubModel":"","JCR":"Q3","JCRName":"MEDICINE, GENERAL & INTERNAL","Score":null,"Total":0}
引用次数: 0

摘要

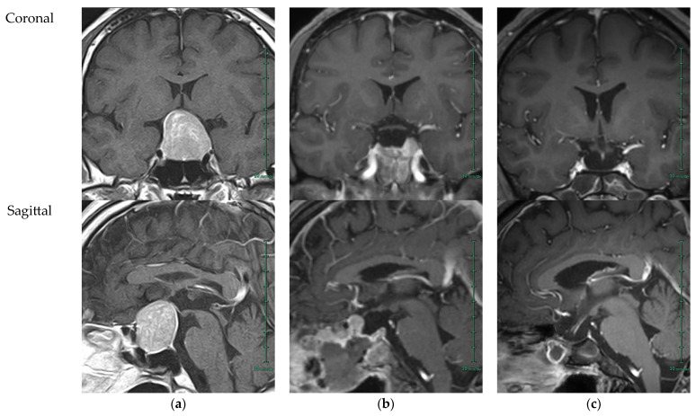
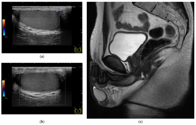
背景和临床意义:垂体腺瘤,也称为垂体神经内分泌肿瘤,在手术切除后发生促性腺功能低下(HH)的风险很大,对年轻患者的生育和性功能有深远的影响。病例介绍:我们报告一名来自日本农村的29岁男子,他在两次经蝶窦切除大垂体腺瘤后发展为严重HH和无精子症。尽管早期与神经外科团队接触,但由于缺乏现场内分泌专家和有限的当地肿瘤生育资源,生育管理被推迟。经过全面的内分泌评估和咨询,患者开始人绒毛膜促性腺激素和重组促卵泡激素联合治疗,性功能完全恢复,精液参数恢复正常,最终实现自然受孕,健康生育。基于这一真实案例,我们提供了当前垂体手术后HH的实际管理策略的叙述性回顾,包括激素刺激试验的效用,日本基于指南的补贴制度,以及激素替代的最佳实践方法。结论:该病例不仅强调了早期跨学科合作和术前咨询的必要性,而且强调了一例罕见的良性肿瘤患者接受的治疗没有解决其生育相关需求,强调了即使是非恶性肿瘤也应纳入术前咨询的考虑因素。加强区域肿瘤生育网络和提高保健提供者对保留生育选择的认识对于改善结果仍然至关重要。
本文章由计算机程序翻译,如有差异,请以英文原文为准。

Comprehensive Fertility Management After Pituitary Adenoma Surgery: Lessons from a Rural Japanese Case and Practical Review.

Comprehensive Fertility Management After Pituitary Adenoma Surgery: Lessons from a Rural Japanese Case and Practical Review.

Comprehensive Fertility Management After Pituitary Adenoma Surgery: Lessons from a Rural Japanese Case and Practical Review.

Comprehensive Fertility Management After Pituitary Adenoma Surgery: Lessons from a Rural Japanese Case and Practical Review.

Background and Clinical Significance: Pituitary adenomas, also termed pituitary neuroendocrine tumors, pose a significant risk of hypogonadotropic hypogonadism (HH) after surgical resection, with profound consequences for fertility and sexual function in young patients. Case Presentation: We present the case of a 29-year-old man from rural Japan who developed severe HH and azoospermia following two transsphenoidal resections for a large pituitary adenoma. Despite early engagement with neurosurgery teams, fertility management was delayed by the absence of on-site endocrinology expertise and limited local oncofertility resources. After comprehensive endocrine evaluation and counseling, the patient began combined human chorionic gonadotropin and recombinant follicle-stimulating hormone therapy, resulting in full recovery of sexual function and normalization of semen parameters, ultimately leading to spontaneous conception and the birth of a healthy child. Building on this real-world case, we provide a narrative review of current practical management strategies for HH after pituitary surgery, including the utility of hormone-stimulation tests, Japanese guideline-based subsidy systems, and best-practice approaches to hormonal replacement. Conclusions: This case underscores not only the necessity for early, interdisciplinary collaboration and preoperative counseling but also highlights a rare instance in which a patient with a benign tumor received care that did not address his fertility-related needs, emphasizing that such considerations should be integrated into preoperative counseling even for non-malignant conditions. Strengthening regional oncofertility networks and improving healthcare providers' awareness of fertility-preservation options remain essential for improving outcomes.

求助全文
通过发布文献求助,成功后即可免费获取论文全文。 去求助
来源期刊
自引率
0.00%
发文量
0
审稿时长
11 weeks
×
引用
GB/T 7714-2015
复制
MLA
复制
APA
复制
导出至
BibTeX EndNote RefMan NoteFirst NoteExpress
×
提示
您的信息不完整,为了账户安全,请先补充。
现在去补充
×
提示
您因"违规操作"
具体请查看互助需知
我知道了
×
提示
确定
请完成安全验证×
copy
已复制链接
快去分享给好友吧!
我知道了
右上角分享
点击右上角分享
0
联系我们:info@booksci.cn Book学术提供免费学术资源搜索服务,方便国内外学者检索中英文文献。致力于提供最便捷和优质的服务体验。 Copyright © 2023 布克学术 All rights reserved.
京ICP备2023020795号-1
ghs 京公网安备 11010802042870号
Book学术文献互助
Book学术文献互助群
群 号:604180095
Book学术官方微信