血清阴性类风湿关节炎重新分类为抗pl -12抗合成酶综合征伴间质性肺疾病及关节受累1例报告

IF 0.8 Q3 MEDICINE, GENERAL & INTERNAL
Diana Elena Cosău, Alexandru Dan Costache, Irina Iuliana Costache Enache, Ionela Lăcrămioara Șerban, Luiza Andreea Petrariu, Cristina Pomîrleanu, Mara Russu, Vladia Lăpuște, Codrina Ancuța
{"title":"血清阴性类风湿关节炎重新分类为抗pl -12抗合成酶综合征伴间质性肺疾病及关节受累1例报告","authors":"Diana Elena Cosău, Alexandru Dan Costache, Irina Iuliana Costache Enache, Ionela Lăcrămioara Șerban, Luiza Andreea Petrariu, Cristina Pomîrleanu, Mara Russu, Vladia Lăpuște, Codrina Ancuța","doi":"10.3390/reports8030123","DOIUrl":null,"url":null,"abstract":"<p><p><b>Background and Clinical Significance:</b> Antisynthetase syndrome (ASyS) is a rare autoimmune entity defined by the presence of anti-aminoacyl-t ribonucleic acid (RNA) synthetase autoantibodies and classically associated with a triad of interstitial lung disease (ILD), inflammatory myopathy, and arthritis. Additional clinical features may include Raynaud's phenomenon and \"mechanic's hands\". Among antisynthetase antibodies, anti-PL-12 is notably associated with predominant or isolated ILD and may occur in the absence of clinically evident myositis, thereby complicating timely diagnosis. <b>Case Presentation:</b> We are presenting a 45-year-old non-smoking female patient with a prior diagnosis of seronegative rheumatoid arthritis (RA) who developed progressive dyspnea, dry cough, and sicca symptoms. High-resolution computed tomography revealed a nonspecific interstitial pneumonia (NSIP) pattern. Despite normal creatine kinase and lactate dehydrogenase levels, serological work-up revealed positive anti-PL-12 and anti-Ro52 antibodies, supporting a diagnosis of antisynthetase syndrome without myositis, fulfilling the diagnostic criteria for ASyS per Connors and Solomon. Treatment with corticosteroids and cyclophosphamide induced clinical and functional respiratory improvement, while azathioprine was initiated for maintenance. <b>Conclusions:</b> This case underscores the clinical heterogeneity of antisynthetase syndrome and highlights the diagnostic challenge posed by anti-PL-12-associated ILD in the absence of myositis. Importantly, it demonstrates that in patients with pre-existing rheumatologic diagnoses, the emergence of atypical pulmonary manifestations warrants repeat serologic evaluation to assess ASyS and other autoimmune conditions. Early diagnosis and immunosuppressive treatment are essential to optimize outcomes.</p>","PeriodicalId":74664,"journal":{"name":"Reports (MDPI)","volume":"8 3","pages":""},"PeriodicalIF":0.8000,"publicationDate":"2025-07-26","publicationTypes":"Journal Article","fieldsOfStudy":null,"isOpenAccess":false,"openAccessPdf":"https://www.ncbi.nlm.nih.gov/pmc/articles/PMC12372094/pdf/","citationCount":"0","resultStr":"{\"title\":\"Reclassification of Seronegative Rheumatoid Arthritis as Anti-PL-12 Antisynthetase Syndrome with Interstitial Lung Disease and Joint Involvement-Case Report.\",\"authors\":\"Diana Elena Cosău, Alexandru Dan Costache, Irina Iuliana Costache Enache, Ionela Lăcrămioara Șerban, Luiza Andreea Petrariu, Cristina Pomîrleanu, Mara Russu, Vladia Lăpuște, Codrina Ancuța\",\"doi\":\"10.3390/reports8030123\",\"DOIUrl\":null,\"url\":null,\"abstract\":\"<p><p><b>Background and Clinical Significance:</b> Antisynthetase syndrome (ASyS) is a rare autoimmune entity defined by the presence of anti-aminoacyl-t ribonucleic acid (RNA) synthetase autoantibodies and classically associated with a triad of interstitial lung disease (ILD), inflammatory myopathy, and arthritis. Additional clinical features may include Raynaud's phenomenon and \\\"mechanic's hands\\\". Among antisynthetase antibodies, anti-PL-12 is notably associated with predominant or isolated ILD and may occur in the absence of clinically evident myositis, thereby complicating timely diagnosis. <b>Case Presentation:</b> We are presenting a 45-year-old non-smoking female patient with a prior diagnosis of seronegative rheumatoid arthritis (RA) who developed progressive dyspnea, dry cough, and sicca symptoms. High-resolution computed tomography revealed a nonspecific interstitial pneumonia (NSIP) pattern. Despite normal creatine kinase and lactate dehydrogenase levels, serological work-up revealed positive anti-PL-12 and anti-Ro52 antibodies, supporting a diagnosis of antisynthetase syndrome without myositis, fulfilling the diagnostic criteria for ASyS per Connors and Solomon. Treatment with corticosteroids and cyclophosphamide induced clinical and functional respiratory improvement, while azathioprine was initiated for maintenance. <b>Conclusions:</b> This case underscores the clinical heterogeneity of antisynthetase syndrome and highlights the diagnostic challenge posed by anti-PL-12-associated ILD in the absence of myositis. Importantly, it demonstrates that in patients with pre-existing rheumatologic diagnoses, the emergence of atypical pulmonary manifestations warrants repeat serologic evaluation to assess ASyS and other autoimmune conditions. Early diagnosis and immunosuppressive treatment are essential to optimize outcomes.</p>\",\"PeriodicalId\":74664,\"journal\":{\"name\":\"Reports (MDPI)\",\"volume\":\"8 3\",\"pages\":\"\"},\"PeriodicalIF\":0.8000,\"publicationDate\":\"2025-07-26\",\"publicationTypes\":\"Journal Article\",\"fieldsOfStudy\":null,\"isOpenAccess\":false,\"openAccessPdf\":\"https://www.ncbi.nlm.nih.gov/pmc/articles/PMC12372094/pdf/\",\"citationCount\":\"0\",\"resultStr\":null,\"platform\":\"Semanticscholar\",\"paperid\":null,\"PeriodicalName\":\"Reports (MDPI)\",\"FirstCategoryId\":\"1085\",\"ListUrlMain\":\"https://doi.org/10.3390/reports8030123\",\"RegionNum\":0,\"RegionCategory\":null,\"ArticlePicture\":[],\"TitleCN\":null,\"AbstractTextCN\":null,\"PMCID\":null,\"EPubDate\":\"\",\"PubModel\":\"\",\"JCR\":\"Q3\",\"JCRName\":\"MEDICINE, GENERAL & INTERNAL\",\"Score\":null,\"Total\":0}","platform":"Semanticscholar","paperid":null,"PeriodicalName":"Reports (MDPI)","FirstCategoryId":"1085","ListUrlMain":"https://doi.org/10.3390/reports8030123","RegionNum":0,"RegionCategory":null,"ArticlePicture":[],"TitleCN":null,"AbstractTextCN":null,"PMCID":null,"EPubDate":"","PubModel":"","JCR":"Q3","JCRName":"MEDICINE, GENERAL & INTERNAL","Score":null,"Total":0}
引用次数: 0

摘要

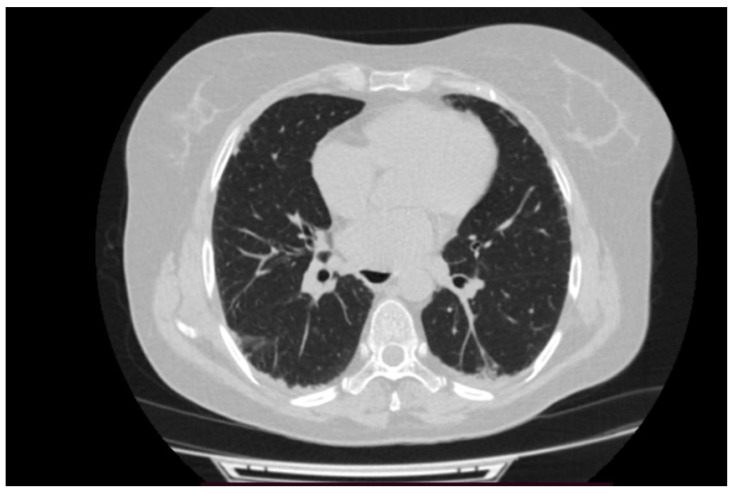
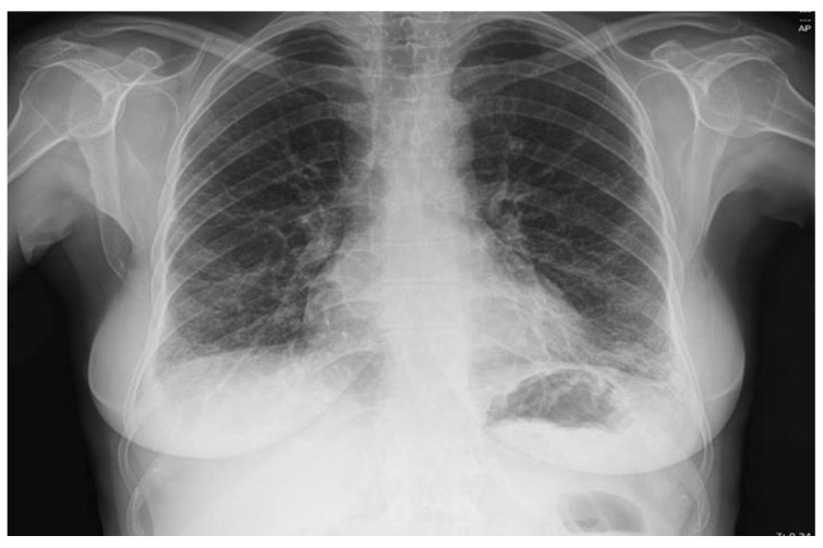
背景和临床意义:抗合成酶综合征(ASyS)是一种罕见的自身免疫性疾病,其特征是存在抗氨基酰基-t核糖核酸(RNA)合成酶自身抗体,通常与间质性肺疾病(ILD)、炎症性肌病和关节炎有关。其他临床特征可能包括雷诺现象和“机械师之手”。在抗合成酶抗体中,抗pl -12与显性或孤立性ILD明显相关,并且可能在没有临床明显肌炎的情况下发生,从而使及时诊断复杂化。病例介绍:我们报告一位45岁的非吸烟女性患者,既往诊断为血清阴性类风湿性关节炎(RA),出现进行性呼吸困难、干咳和恶心症状。高分辨率计算机断层扫描显示非特异性间质性肺炎(NSIP)模式。尽管肌酸激酶和乳酸脱氢酶水平正常,血清学检查显示抗pl -12和抗ro52抗体阳性,支持抗合成酶综合征的诊断,无肌炎,符合conors和Solomon的ASyS诊断标准。皮质类固醇和环磷酰胺治疗可诱导临床和呼吸功能改善,而硫唑嘌呤用于维持。结论:该病例强调了抗合成酶综合征的临床异质性,并强调了在没有肌炎的情况下,抗pl -12相关ILD所带来的诊断挑战。重要的是,该研究表明,在已有风湿病诊断的患者中,非典型肺部表现的出现需要重复血清学评估,以评估ASyS和其他自身免疫性疾病。早期诊断和免疫抑制治疗对优化预后至关重要。
本文章由计算机程序翻译,如有差异,请以英文原文为准。

Reclassification of Seronegative Rheumatoid Arthritis as Anti-PL-12 Antisynthetase Syndrome with Interstitial Lung Disease and Joint Involvement-Case Report.

Reclassification of Seronegative Rheumatoid Arthritis as Anti-PL-12 Antisynthetase Syndrome with Interstitial Lung Disease and Joint Involvement-Case Report.

Reclassification of Seronegative Rheumatoid Arthritis as Anti-PL-12 Antisynthetase Syndrome with Interstitial Lung Disease and Joint Involvement-Case Report.

Reclassification of Seronegative Rheumatoid Arthritis as Anti-PL-12 Antisynthetase Syndrome with Interstitial Lung Disease and Joint Involvement-Case Report.

Background and Clinical Significance: Antisynthetase syndrome (ASyS) is a rare autoimmune entity defined by the presence of anti-aminoacyl-t ribonucleic acid (RNA) synthetase autoantibodies and classically associated with a triad of interstitial lung disease (ILD), inflammatory myopathy, and arthritis. Additional clinical features may include Raynaud's phenomenon and "mechanic's hands". Among antisynthetase antibodies, anti-PL-12 is notably associated with predominant or isolated ILD and may occur in the absence of clinically evident myositis, thereby complicating timely diagnosis. Case Presentation: We are presenting a 45-year-old non-smoking female patient with a prior diagnosis of seronegative rheumatoid arthritis (RA) who developed progressive dyspnea, dry cough, and sicca symptoms. High-resolution computed tomography revealed a nonspecific interstitial pneumonia (NSIP) pattern. Despite normal creatine kinase and lactate dehydrogenase levels, serological work-up revealed positive anti-PL-12 and anti-Ro52 antibodies, supporting a diagnosis of antisynthetase syndrome without myositis, fulfilling the diagnostic criteria for ASyS per Connors and Solomon. Treatment with corticosteroids and cyclophosphamide induced clinical and functional respiratory improvement, while azathioprine was initiated for maintenance. Conclusions: This case underscores the clinical heterogeneity of antisynthetase syndrome and highlights the diagnostic challenge posed by anti-PL-12-associated ILD in the absence of myositis. Importantly, it demonstrates that in patients with pre-existing rheumatologic diagnoses, the emergence of atypical pulmonary manifestations warrants repeat serologic evaluation to assess ASyS and other autoimmune conditions. Early diagnosis and immunosuppressive treatment are essential to optimize outcomes.

求助全文
通过发布文献求助,成功后即可免费获取论文全文。 去求助
来源期刊
自引率
0.00%
发文量
0
审稿时长
11 weeks
×
引用
GB/T 7714-2015
复制
MLA
复制
APA
复制
导出至
BibTeX EndNote RefMan NoteFirst NoteExpress
×
提示
您的信息不完整,为了账户安全,请先补充。
现在去补充
×
提示
您因"违规操作"
具体请查看互助需知
我知道了
×
提示
确定
请完成安全验证×
copy
已复制链接
快去分享给好友吧!
我知道了
右上角分享
点击右上角分享
0
联系我们:info@booksci.cn Book学术提供免费学术资源搜索服务,方便国内外学者检索中英文文献。致力于提供最便捷和优质的服务体验。 Copyright © 2023 布克学术 All rights reserved.
京ICP备2023020795号-1
ghs 京公网安备 11010802042870号
Book学术文献互助
Book学术文献互助群
群 号:604180095
Book学术官方微信