南大骨斑病:一罕见的细胞蓝色痣伴骨化。

IF 0.8 Q3 MEDICINE, GENERAL & INTERNAL
Camilla Soendergaard Kristiansen, Anna Louise Norling, Birgitte Bols, Christian Lyngsaa Lang
{"title":"南大骨斑病:一罕见的细胞蓝色痣伴骨化。","authors":"Camilla Soendergaard Kristiansen, Anna Louise Norling, Birgitte Bols, Christian Lyngsaa Lang","doi":"10.3390/reports8030139","DOIUrl":null,"url":null,"abstract":"<p><p><b>Background and Clinical Significance</b>: Osteonevus of Nanta is a rare histological phenomenon characterized by bone formation within a benign melanocytic nevus, most commonly in intradermal nevi of the head and neck. Although osteonevus of Nanta is rare, ossification in a cellular blue nevus is even more uncommon. To date, only one case of a cellular blue nevus with ossification has been documented. This case report adds to the limited literature and emphasizes the clinical importance of recognizing this rare phenomenon, as osteonevus of Nanta has been potentially associated with malignant melanoma. <b>Case Presentation</b>: A 72-year-old woman presented with an asymptomatic, pigmented scalp lesion that had recently increased in size. On clinical examination, the tumor appeared as a well-demarcated, firm, and nodular mass with dark blueish to violet pigmentation that measured 15 × 12 × 7 mm. To ensure a definitive diagnosis and rule out malignancy, the lesion was excised with narrow margins. Histological examination revealed a cellular blue nevus with prominent osseous metaplasia. Due to the absence of clear margins, a wider re-excision was performed. No residual tumor was found, and the patient remained asymptomatic with no recurrence. <b>Conclusions</b>: This case represents only the second published example of a cellular blue nevus with ossification. While osteonevus of Nanta is benign, its potential association with malignant melanoma, as well as its clinical resemblance to malignant entities such as nodular melanoma, malignant blue nevus, and pigmented basal cell carcinoma, underscores the need for thorough clinical and histopathologic evaluation.</p>","PeriodicalId":74664,"journal":{"name":"Reports (MDPI)","volume":"8 3","pages":""},"PeriodicalIF":0.8000,"publicationDate":"2025-08-06","publicationTypes":"Journal Article","fieldsOfStudy":null,"isOpenAccess":false,"openAccessPdf":"https://www.ncbi.nlm.nih.gov/pmc/articles/PMC12372020/pdf/","citationCount":"0","resultStr":"{\"title\":\"Osteonevus of Nanta-A Rare Case Report of a Cellular Blue Nevus with Ossification.\",\"authors\":\"Camilla Soendergaard Kristiansen, Anna Louise Norling, Birgitte Bols, Christian Lyngsaa Lang\",\"doi\":\"10.3390/reports8030139\",\"DOIUrl\":null,\"url\":null,\"abstract\":\"<p><p><b>Background and Clinical Significance</b>: Osteonevus of Nanta is a rare histological phenomenon characterized by bone formation within a benign melanocytic nevus, most commonly in intradermal nevi of the head and neck. Although osteonevus of Nanta is rare, ossification in a cellular blue nevus is even more uncommon. To date, only one case of a cellular blue nevus with ossification has been documented. This case report adds to the limited literature and emphasizes the clinical importance of recognizing this rare phenomenon, as osteonevus of Nanta has been potentially associated with malignant melanoma. <b>Case Presentation</b>: A 72-year-old woman presented with an asymptomatic, pigmented scalp lesion that had recently increased in size. On clinical examination, the tumor appeared as a well-demarcated, firm, and nodular mass with dark blueish to violet pigmentation that measured 15 × 12 × 7 mm. To ensure a definitive diagnosis and rule out malignancy, the lesion was excised with narrow margins. Histological examination revealed a cellular blue nevus with prominent osseous metaplasia. Due to the absence of clear margins, a wider re-excision was performed. No residual tumor was found, and the patient remained asymptomatic with no recurrence. <b>Conclusions</b>: This case represents only the second published example of a cellular blue nevus with ossification. While osteonevus of Nanta is benign, its potential association with malignant melanoma, as well as its clinical resemblance to malignant entities such as nodular melanoma, malignant blue nevus, and pigmented basal cell carcinoma, underscores the need for thorough clinical and histopathologic evaluation.</p>\",\"PeriodicalId\":74664,\"journal\":{\"name\":\"Reports (MDPI)\",\"volume\":\"8 3\",\"pages\":\"\"},\"PeriodicalIF\":0.8000,\"publicationDate\":\"2025-08-06\",\"publicationTypes\":\"Journal Article\",\"fieldsOfStudy\":null,\"isOpenAccess\":false,\"openAccessPdf\":\"https://www.ncbi.nlm.nih.gov/pmc/articles/PMC12372020/pdf/\",\"citationCount\":\"0\",\"resultStr\":null,\"platform\":\"Semanticscholar\",\"paperid\":null,\"PeriodicalName\":\"Reports (MDPI)\",\"FirstCategoryId\":\"1085\",\"ListUrlMain\":\"https://doi.org/10.3390/reports8030139\",\"RegionNum\":0,\"RegionCategory\":null,\"ArticlePicture\":[],\"TitleCN\":null,\"AbstractTextCN\":null,\"PMCID\":null,\"EPubDate\":\"\",\"PubModel\":\"\",\"JCR\":\"Q3\",\"JCRName\":\"MEDICINE, GENERAL & INTERNAL\",\"Score\":null,\"Total\":0}","platform":"Semanticscholar","paperid":null,"PeriodicalName":"Reports (MDPI)","FirstCategoryId":"1085","ListUrlMain":"https://doi.org/10.3390/reports8030139","RegionNum":0,"RegionCategory":null,"ArticlePicture":[],"TitleCN":null,"AbstractTextCN":null,"PMCID":null,"EPubDate":"","PubModel":"","JCR":"Q3","JCRName":"MEDICINE, GENERAL & INTERNAL","Score":null,"Total":0}
引用次数: 0

摘要

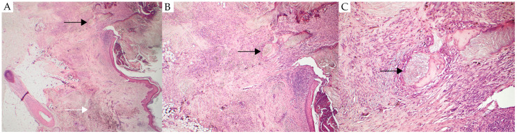
背景及临床意义:南大骨线虫病是一种罕见的组织学现象,其特征是在良性黑素细胞痣内形成骨,最常见于头颈部的皮内痣。虽然南塔骨瘤是罕见的,骨化在细胞蓝色痣是更罕见的。迄今为止,只有一例细胞蓝色痣骨化已被记录。本病例报告补充了有限的文献,并强调了认识这种罕见现象的临床重要性,因为Nanta骨线虫可能与恶性黑色素瘤有关。病例介绍:一名72岁女性,出现无症状的头皮色素病变,最近体积增大。在临床检查中,肿瘤表现为一个界限清晰,坚固的结节状肿块,色素沉着,深蓝至紫色,大小为15 × 12 × 7 mm。为了确保明确的诊断和排除恶性肿瘤,病变被切除窄边缘。组织学检查显示细胞蓝色痣伴明显骨化生。由于没有清晰的边缘,我们进行了更广泛的再次切除。未发现肿瘤残留,患者无症状,无复发。结论:该病例仅代表了第二个已发表的细胞蓝色痣骨化的例子。虽然Nanta骨瘤是良性的,但它与恶性黑色素瘤的潜在关联,以及它与结节性黑色素瘤、恶性蓝色痣和色素基底细胞癌等恶性实体的临床相似性,强调了对临床和组织病理学进行彻底评估的必要性。
本文章由计算机程序翻译,如有差异,请以英文原文为准。

Osteonevus of Nanta-A Rare Case Report of a Cellular Blue Nevus with Ossification.

Osteonevus of Nanta-A Rare Case Report of a Cellular Blue Nevus with Ossification.

Background and Clinical Significance: Osteonevus of Nanta is a rare histological phenomenon characterized by bone formation within a benign melanocytic nevus, most commonly in intradermal nevi of the head and neck. Although osteonevus of Nanta is rare, ossification in a cellular blue nevus is even more uncommon. To date, only one case of a cellular blue nevus with ossification has been documented. This case report adds to the limited literature and emphasizes the clinical importance of recognizing this rare phenomenon, as osteonevus of Nanta has been potentially associated with malignant melanoma. Case Presentation: A 72-year-old woman presented with an asymptomatic, pigmented scalp lesion that had recently increased in size. On clinical examination, the tumor appeared as a well-demarcated, firm, and nodular mass with dark blueish to violet pigmentation that measured 15 × 12 × 7 mm. To ensure a definitive diagnosis and rule out malignancy, the lesion was excised with narrow margins. Histological examination revealed a cellular blue nevus with prominent osseous metaplasia. Due to the absence of clear margins, a wider re-excision was performed. No residual tumor was found, and the patient remained asymptomatic with no recurrence. Conclusions: This case represents only the second published example of a cellular blue nevus with ossification. While osteonevus of Nanta is benign, its potential association with malignant melanoma, as well as its clinical resemblance to malignant entities such as nodular melanoma, malignant blue nevus, and pigmented basal cell carcinoma, underscores the need for thorough clinical and histopathologic evaluation.

求助全文
通过发布文献求助,成功后即可免费获取论文全文。 去求助
来源期刊
自引率
0.00%
发文量
0
审稿时长
11 weeks
×
引用
GB/T 7714-2015
复制
MLA
复制
APA
复制
导出至
BibTeX EndNote RefMan NoteFirst NoteExpress
×
提示
您的信息不完整,为了账户安全,请先补充。
现在去补充
×
提示
您因"违规操作"
具体请查看互助需知
我知道了
×
提示
确定
请完成安全验证×
copy
已复制链接
快去分享给好友吧!
我知道了
右上角分享
点击右上角分享
0
联系我们:info@booksci.cn Book学术提供免费学术资源搜索服务,方便国内外学者检索中英文文献。致力于提供最便捷和优质的服务体验。 Copyright © 2023 布克学术 All rights reserved.
京ICP备2023020795号-1
ghs 京公网安备 11010802042870号
Book学术文献互助
Book学术文献互助群
群 号:604180095
Book学术官方微信