x连锁低磷血症佝偻病儿童口腔健康状况和父母意识:一项病例对照研究

IF 0.8 Q3 MEDICINE, GENERAL & INTERNAL
Victoria Zlateva, Krasimir Hristov, Zdravka Todorova, Ralitsa Bogovska-Gigova
{"title":"x连锁低磷血症佝偻病儿童口腔健康状况和父母意识:一项病例对照研究","authors":"Victoria Zlateva, Krasimir Hristov, Zdravka Todorova, Ralitsa Bogovska-Gigova","doi":"10.3390/reports8030151","DOIUrl":null,"url":null,"abstract":"<p><p>X-linked hypophosphatemic rickets (XLH) is a rare genetic disorder with a frequency of 1:20,000, caused by mutations in the PHEX gene, resulting in impaired phosphate metabolism and bone mineralization. There is an association between hypophosphatemia and dental issues, though this link is not definitively established. This study aims to evaluate the dental status, including oral hygiene, caries prevalence, and malocclusions, as well as parental awareness of dental complications, in children with XLH in Bulgaria, particularly those receiving or about to begin burosumab treatment, and to compare their oral health status with that of healthy children. Eleven children with XLH (seven girls, four boys, aged 2.5-17 years), nine receiving burosumab, were assessed and compared with eleven age- and gender-matched healthy children (seven girls, four boys, aged 2.5-17 years) without XLH or systemic conditions affecting dental health. Parental awareness of dental implications was assessed via a questionnaire, revealing no awareness of potential complications. Oral hygiene, measured using the Oral Hygiene Index-Simplified (OHI-s), was poor in 66.67% of children, with an average of 6.45 ± 5.80 carious lesions per child, and was highest in the 11-16 age group. Malocclusions were observed in 63.64% of children, and spontaneous endodontic infections occurred in 18.18%. Compared with healthy children, patients with XLH had significantly worse oral hygiene (<i>p</i> = 0.013) and a higher caries prevalence (<i>p</i> = 0.001). Children with XLH exhibit poor oral hygiene, a high caries burden, and frequent malocclusions, compounded by a lack of parental awareness of dental risks. These findings underscore the need for targeted dental interventions and education in XLH management, including the integration of routine dental assessments and structured parental education programs into existing clinical protocols to improve oral health outcomes.</p>","PeriodicalId":74664,"journal":{"name":"Reports (MDPI)","volume":"8 3","pages":""},"PeriodicalIF":0.8000,"publicationDate":"2025-08-20","publicationTypes":"Journal Article","fieldsOfStudy":null,"isOpenAccess":false,"openAccessPdf":"https://www.ncbi.nlm.nih.gov/pmc/articles/PMC12371944/pdf/","citationCount":"0","resultStr":"{\"title\":\"Oral Health Status and Parental Awareness in Children with X-Linked Hypophosphatemic Rickets: A Case-Control Study.\",\"authors\":\"Victoria Zlateva, Krasimir Hristov, Zdravka Todorova, Ralitsa Bogovska-Gigova\",\"doi\":\"10.3390/reports8030151\",\"DOIUrl\":null,\"url\":null,\"abstract\":\"<p><p>X-linked hypophosphatemic rickets (XLH) is a rare genetic disorder with a frequency of 1:20,000, caused by mutations in the PHEX gene, resulting in impaired phosphate metabolism and bone mineralization. There is an association between hypophosphatemia and dental issues, though this link is not definitively established. This study aims to evaluate the dental status, including oral hygiene, caries prevalence, and malocclusions, as well as parental awareness of dental complications, in children with XLH in Bulgaria, particularly those receiving or about to begin burosumab treatment, and to compare their oral health status with that of healthy children. Eleven children with XLH (seven girls, four boys, aged 2.5-17 years), nine receiving burosumab, were assessed and compared with eleven age- and gender-matched healthy children (seven girls, four boys, aged 2.5-17 years) without XLH or systemic conditions affecting dental health. Parental awareness of dental implications was assessed via a questionnaire, revealing no awareness of potential complications. Oral hygiene, measured using the Oral Hygiene Index-Simplified (OHI-s), was poor in 66.67% of children, with an average of 6.45 ± 5.80 carious lesions per child, and was highest in the 11-16 age group. Malocclusions were observed in 63.64% of children, and spontaneous endodontic infections occurred in 18.18%. Compared with healthy children, patients with XLH had significantly worse oral hygiene (<i>p</i> = 0.013) and a higher caries prevalence (<i>p</i> = 0.001). Children with XLH exhibit poor oral hygiene, a high caries burden, and frequent malocclusions, compounded by a lack of parental awareness of dental risks. These findings underscore the need for targeted dental interventions and education in XLH management, including the integration of routine dental assessments and structured parental education programs into existing clinical protocols to improve oral health outcomes.</p>\",\"PeriodicalId\":74664,\"journal\":{\"name\":\"Reports (MDPI)\",\"volume\":\"8 3\",\"pages\":\"\"},\"PeriodicalIF\":0.8000,\"publicationDate\":\"2025-08-20\",\"publicationTypes\":\"Journal Article\",\"fieldsOfStudy\":null,\"isOpenAccess\":false,\"openAccessPdf\":\"https://www.ncbi.nlm.nih.gov/pmc/articles/PMC12371944/pdf/\",\"citationCount\":\"0\",\"resultStr\":null,\"platform\":\"Semanticscholar\",\"paperid\":null,\"PeriodicalName\":\"Reports (MDPI)\",\"FirstCategoryId\":\"1085\",\"ListUrlMain\":\"https://doi.org/10.3390/reports8030151\",\"RegionNum\":0,\"RegionCategory\":null,\"ArticlePicture\":[],\"TitleCN\":null,\"AbstractTextCN\":null,\"PMCID\":null,\"EPubDate\":\"\",\"PubModel\":\"\",\"JCR\":\"Q3\",\"JCRName\":\"MEDICINE, GENERAL & INTERNAL\",\"Score\":null,\"Total\":0}","platform":"Semanticscholar","paperid":null,"PeriodicalName":"Reports (MDPI)","FirstCategoryId":"1085","ListUrlMain":"https://doi.org/10.3390/reports8030151","RegionNum":0,"RegionCategory":null,"ArticlePicture":[],"TitleCN":null,"AbstractTextCN":null,"PMCID":null,"EPubDate":"","PubModel":"","JCR":"Q3","JCRName":"MEDICINE, GENERAL & INTERNAL","Score":null,"Total":0}
引用次数: 0

摘要

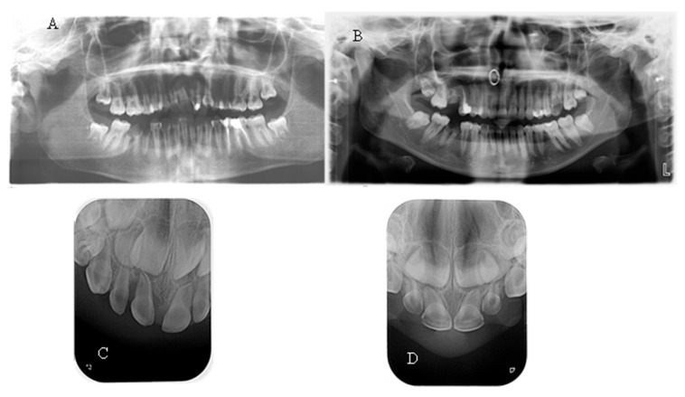
x连锁低磷血症佝偻病(XLH)是一种罕见的遗传疾病,发病率为1:20 000,由PHEX基因突变引起,导致磷酸盐代谢和骨矿化受损。低磷血症和牙齿问题之间存在联系,尽管这种联系尚未确定。本研究旨在评估保加利亚XLH儿童的牙齿状况,包括口腔卫生、龋齿患病率和咬合错误,以及父母对牙齿并发症的认识,特别是那些正在接受或即将开始布罗单抗治疗的儿童,并将他们的口腔健康状况与健康儿童进行比较。对11名患有XLH的儿童(7名女孩,4名男孩,年龄2.5-17岁),9名接受burrosumab的儿童进行评估,并与11名年龄和性别匹配的健康儿童(7名女孩,4名男孩,年龄2.5-17岁)进行比较,这些儿童没有XLH或影响牙齿健康的全身疾病。通过问卷调查评估父母对牙齿影响的意识,显示没有意识到潜在的并发症。使用口腔卫生指数-简化(OHI-s)测量,66.67%的儿童口腔卫生较差,平均每名儿童有6.45±5.80个龋齿,其中11-16岁儿童的龋齿发生率最高。63.64%的儿童出现错牙合,18.18%的儿童发生自发性牙髓感染。与健康儿童相比,XLH患者口腔卫生明显差(p = 0.013),龋齿患病率明显高(p = 0.001)。患有XLH的儿童表现为口腔卫生差,龋齿负担高,牙合错误频繁,加上父母缺乏对牙齿风险的认识。这些发现强调了有针对性的牙科干预和XLH管理教育的必要性,包括将常规牙科评估和结构化的父母教育计划整合到现有的临床方案中,以改善口腔健康结果。
本文章由计算机程序翻译,如有差异,请以英文原文为准。

Oral Health Status and Parental Awareness in Children with X-Linked Hypophosphatemic Rickets: A Case-Control Study.

Oral Health Status and Parental Awareness in Children with X-Linked Hypophosphatemic Rickets: A Case-Control Study.

Oral Health Status and Parental Awareness in Children with X-Linked Hypophosphatemic Rickets: A Case-Control Study.

Oral Health Status and Parental Awareness in Children with X-Linked Hypophosphatemic Rickets: A Case-Control Study.

X-linked hypophosphatemic rickets (XLH) is a rare genetic disorder with a frequency of 1:20,000, caused by mutations in the PHEX gene, resulting in impaired phosphate metabolism and bone mineralization. There is an association between hypophosphatemia and dental issues, though this link is not definitively established. This study aims to evaluate the dental status, including oral hygiene, caries prevalence, and malocclusions, as well as parental awareness of dental complications, in children with XLH in Bulgaria, particularly those receiving or about to begin burosumab treatment, and to compare their oral health status with that of healthy children. Eleven children with XLH (seven girls, four boys, aged 2.5-17 years), nine receiving burosumab, were assessed and compared with eleven age- and gender-matched healthy children (seven girls, four boys, aged 2.5-17 years) without XLH or systemic conditions affecting dental health. Parental awareness of dental implications was assessed via a questionnaire, revealing no awareness of potential complications. Oral hygiene, measured using the Oral Hygiene Index-Simplified (OHI-s), was poor in 66.67% of children, with an average of 6.45 ± 5.80 carious lesions per child, and was highest in the 11-16 age group. Malocclusions were observed in 63.64% of children, and spontaneous endodontic infections occurred in 18.18%. Compared with healthy children, patients with XLH had significantly worse oral hygiene (p = 0.013) and a higher caries prevalence (p = 0.001). Children with XLH exhibit poor oral hygiene, a high caries burden, and frequent malocclusions, compounded by a lack of parental awareness of dental risks. These findings underscore the need for targeted dental interventions and education in XLH management, including the integration of routine dental assessments and structured parental education programs into existing clinical protocols to improve oral health outcomes.

求助全文
通过发布文献求助,成功后即可免费获取论文全文。 去求助
来源期刊
自引率
0.00%
发文量
0
审稿时长
11 weeks
×
引用
GB/T 7714-2015
复制
MLA
复制
APA
复制
导出至
BibTeX EndNote RefMan NoteFirst NoteExpress
×
提示
您的信息不完整,为了账户安全,请先补充。
现在去补充
×
提示
您因"违规操作"
具体请查看互助需知
我知道了
×
提示
确定
请完成安全验证×
copy
已复制链接
快去分享给好友吧!
我知道了
右上角分享
点击右上角分享
0
联系我们:info@booksci.cn Book学术提供免费学术资源搜索服务,方便国内外学者检索中英文文献。致力于提供最便捷和优质的服务体验。 Copyright © 2023 布克学术 All rights reserved.
京ICP备2023020795号-1
ghs 京公网安备 11010802042870号
Book学术文献互助
Book学术文献互助群
群 号:604180095
Book学术官方微信