黑色素成毛细胞瘤:一罕见的色素变异型成毛细胞瘤的组织病理学病例报告。

IF 0.8 Q3 MEDICINE, GENERAL & INTERNAL
George S Stoyanov, Ivaylo Balabanov, Svetoslava Zhivkova, Hristo Popov
{"title":"黑色素成毛细胞瘤:一罕见的色素变异型成毛细胞瘤的组织病理学病例报告。","authors":"George S Stoyanov, Ivaylo Balabanov, Svetoslava Zhivkova, Hristo Popov","doi":"10.3390/reports8030130","DOIUrl":null,"url":null,"abstract":"<p><p><b>Background and clinical significance:</b> Trichoblastomas are rare, mixed epithelial tumors with a mesenchymal component and hair follicle differentiation. <b>Case presentation:</b> Herein, we present a case report of a 51-year-old female patient presenting to the obstetrics and gynecology department with complaints of edema and erythema of the right Bartholin gland, and a lesion measuring 2 cm on the right lateral edge of the mons pubis, towards the inguinal fold. Marsupialization of the Bartholin gland was performed, as well as an incision into the pubo-inguinal lesion, which the patient depicted as grossly resembling an ingrown hair. Upon incision into the pubic-inguinal lesion, it was dark brown in color and spontaneously popped out of the subcutis, without an attempt at enucleation. Histology and subsequent immunohistochemistry of the lesion showed a blue basaloid tumor with an extensive pigment component located deep in the dermis that was sharply demarcated from the surrounding tissues. <b>Conclusion:</b> Immunohistochemistry was diffusely and strongly positive for epithelial markers; melanocytic markers were positive only in dendritic melanocytes dispersed within the tumors, and the proliferative index was low. As such, the tumor was identified as melanotrichoblastoma.</p>","PeriodicalId":74664,"journal":{"name":"Reports (MDPI)","volume":"8 3","pages":""},"PeriodicalIF":0.8000,"publicationDate":"2025-08-01","publicationTypes":"Journal Article","fieldsOfStudy":null,"isOpenAccess":false,"openAccessPdf":"https://www.ncbi.nlm.nih.gov/pmc/articles/PMC12372001/pdf/","citationCount":"0","resultStr":"{\"title\":\"Melanotrichoblastoma: A Histopathological Case Report of a Rare Pigmented Variant of Trichoblastoma.\",\"authors\":\"George S Stoyanov, Ivaylo Balabanov, Svetoslava Zhivkova, Hristo Popov\",\"doi\":\"10.3390/reports8030130\",\"DOIUrl\":null,\"url\":null,\"abstract\":\"<p><p><b>Background and clinical significance:</b> Trichoblastomas are rare, mixed epithelial tumors with a mesenchymal component and hair follicle differentiation. <b>Case presentation:</b> Herein, we present a case report of a 51-year-old female patient presenting to the obstetrics and gynecology department with complaints of edema and erythema of the right Bartholin gland, and a lesion measuring 2 cm on the right lateral edge of the mons pubis, towards the inguinal fold. Marsupialization of the Bartholin gland was performed, as well as an incision into the pubo-inguinal lesion, which the patient depicted as grossly resembling an ingrown hair. Upon incision into the pubic-inguinal lesion, it was dark brown in color and spontaneously popped out of the subcutis, without an attempt at enucleation. Histology and subsequent immunohistochemistry of the lesion showed a blue basaloid tumor with an extensive pigment component located deep in the dermis that was sharply demarcated from the surrounding tissues. <b>Conclusion:</b> Immunohistochemistry was diffusely and strongly positive for epithelial markers; melanocytic markers were positive only in dendritic melanocytes dispersed within the tumors, and the proliferative index was low. As such, the tumor was identified as melanotrichoblastoma.</p>\",\"PeriodicalId\":74664,\"journal\":{\"name\":\"Reports (MDPI)\",\"volume\":\"8 3\",\"pages\":\"\"},\"PeriodicalIF\":0.8000,\"publicationDate\":\"2025-08-01\",\"publicationTypes\":\"Journal Article\",\"fieldsOfStudy\":null,\"isOpenAccess\":false,\"openAccessPdf\":\"https://www.ncbi.nlm.nih.gov/pmc/articles/PMC12372001/pdf/\",\"citationCount\":\"0\",\"resultStr\":null,\"platform\":\"Semanticscholar\",\"paperid\":null,\"PeriodicalName\":\"Reports (MDPI)\",\"FirstCategoryId\":\"1085\",\"ListUrlMain\":\"https://doi.org/10.3390/reports8030130\",\"RegionNum\":0,\"RegionCategory\":null,\"ArticlePicture\":[],\"TitleCN\":null,\"AbstractTextCN\":null,\"PMCID\":null,\"EPubDate\":\"\",\"PubModel\":\"\",\"JCR\":\"Q3\",\"JCRName\":\"MEDICINE, GENERAL & INTERNAL\",\"Score\":null,\"Total\":0}","platform":"Semanticscholar","paperid":null,"PeriodicalName":"Reports (MDPI)","FirstCategoryId":"1085","ListUrlMain":"https://doi.org/10.3390/reports8030130","RegionNum":0,"RegionCategory":null,"ArticlePicture":[],"TitleCN":null,"AbstractTextCN":null,"PMCID":null,"EPubDate":"","PubModel":"","JCR":"Q3","JCRName":"MEDICINE, GENERAL & INTERNAL","Score":null,"Total":0}
引用次数: 0

摘要

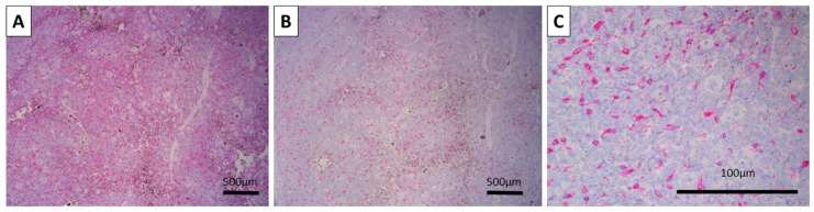
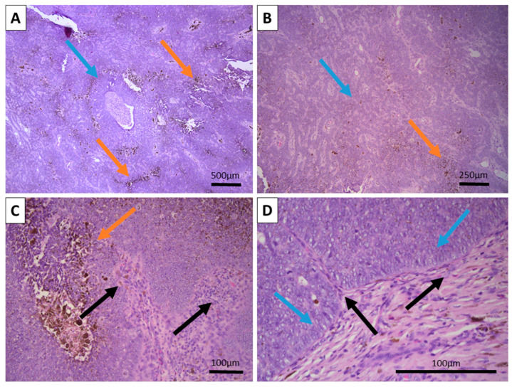
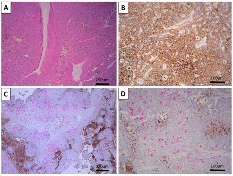
背景及临床意义:毛母细胞瘤是一种罕见的混合上皮性肿瘤,具有间充质成分和毛囊分化。病例报告:我们报告了一例51岁女性患者,以右侧巴托林腺水肿和红斑为主诉到妇产科就诊,在耻骨山右侧外侧缘,向腹股沟襞方向有2厘米的病变。进行了Bartholin腺的有袋化,并在耻骨-腹股沟病变处切开,患者描述为大致类似于向内生长的毛发。在进入耻骨腹股沟病变后,它呈深棕色,并自发地从皮下伸出,没有试图去核。病变的组织学和随后的免疫组织化学显示一个蓝色的基底细胞样肿瘤,位于真皮深处,与周围组织明显区分开。结论:上皮标记物免疫组化呈弥漫性强阳性;黑素细胞标志物仅在肿瘤内分散的树突状黑素细胞中呈阳性,增殖指数低。因此,肿瘤被确定为黑素成毛细胞瘤。
本文章由计算机程序翻译,如有差异,请以英文原文为准。

Melanotrichoblastoma: A Histopathological Case Report of a Rare Pigmented Variant of Trichoblastoma.

Melanotrichoblastoma: A Histopathological Case Report of a Rare Pigmented Variant of Trichoblastoma.

Melanotrichoblastoma: A Histopathological Case Report of a Rare Pigmented Variant of Trichoblastoma.

Melanotrichoblastoma: A Histopathological Case Report of a Rare Pigmented Variant of Trichoblastoma.

Background and clinical significance: Trichoblastomas are rare, mixed epithelial tumors with a mesenchymal component and hair follicle differentiation. Case presentation: Herein, we present a case report of a 51-year-old female patient presenting to the obstetrics and gynecology department with complaints of edema and erythema of the right Bartholin gland, and a lesion measuring 2 cm on the right lateral edge of the mons pubis, towards the inguinal fold. Marsupialization of the Bartholin gland was performed, as well as an incision into the pubo-inguinal lesion, which the patient depicted as grossly resembling an ingrown hair. Upon incision into the pubic-inguinal lesion, it was dark brown in color and spontaneously popped out of the subcutis, without an attempt at enucleation. Histology and subsequent immunohistochemistry of the lesion showed a blue basaloid tumor with an extensive pigment component located deep in the dermis that was sharply demarcated from the surrounding tissues. Conclusion: Immunohistochemistry was diffusely and strongly positive for epithelial markers; melanocytic markers were positive only in dendritic melanocytes dispersed within the tumors, and the proliferative index was low. As such, the tumor was identified as melanotrichoblastoma.

求助全文
通过发布文献求助,成功后即可免费获取论文全文。 去求助
来源期刊
自引率
0.00%
发文量
0
审稿时长
11 weeks
×
引用
GB/T 7714-2015
复制
MLA
复制
APA
复制
导出至
BibTeX EndNote RefMan NoteFirst NoteExpress
×
提示
您的信息不完整,为了账户安全,请先补充。
现在去补充
×
提示
您因"违规操作"
具体请查看互助需知
我知道了
×
提示
确定
请完成安全验证×
copy
已复制链接
快去分享给好友吧!
我知道了
右上角分享
点击右上角分享
0
联系我们:info@booksci.cn Book学术提供免费学术资源搜索服务,方便国内外学者检索中英文文献。致力于提供最便捷和优质的服务体验。 Copyright © 2023 布克学术 All rights reserved.
京ICP备2023020795号-1
ghs 京公网安备 11010802042870号
Book学术文献互助
Book学术文献互助群
群 号:604180095
Book学术官方微信