韩国水鹿(Hydropotes inermis argyropus)的肝片吸虫感染。

IF 1.3 0 PARASITOLOGY
Parasites, hosts and diseases Pub Date : 2025-08-01 Epub Date: 2025-08-20 DOI:10.3347/PHD.25021
Na-Hyeon Kim, Min-Gyeong Seo, Bumseok Kim, Yu Jeong Jeon, In Jung Jung, Il-Hwa Hong
{"title":"韩国水鹿(Hydropotes inermis argyropus)的肝片吸虫感染。","authors":"Na-Hyeon Kim, Min-Gyeong Seo, Bumseok Kim, Yu Jeong Jeon, In Jung Jung, Il-Hwa Hong","doi":"10.3347/PHD.25021","DOIUrl":null,"url":null,"abstract":"<p><p>Fasciola hepatica is a species of zoonotic liver flukes with a broad range of definitive hosts worldwide. However, this liver fluke has not been detected in Korean water deer (Hydropotes inermis argyropus). This study provides the first evidence for Korean water deer being a definitive host of F. hepatica.</p>","PeriodicalId":74397,"journal":{"name":"Parasites, hosts and diseases","volume":"63 3","pages":"243-247"},"PeriodicalIF":1.3000,"publicationDate":"2025-08-01","publicationTypes":"Journal Article","fieldsOfStudy":null,"isOpenAccess":false,"openAccessPdf":"https://www.ncbi.nlm.nih.gov/pmc/articles/PMC12400076/pdf/","citationCount":"0","resultStr":"{\"title\":\"Fasciola hepatica infection in Korean water deer (Hydropotes inermis argyropus).\",\"authors\":\"Na-Hyeon Kim, Min-Gyeong Seo, Bumseok Kim, Yu Jeong Jeon, In Jung Jung, Il-Hwa Hong\",\"doi\":\"10.3347/PHD.25021\",\"DOIUrl\":null,\"url\":null,\"abstract\":\"<p><p>Fasciola hepatica is a species of zoonotic liver flukes with a broad range of definitive hosts worldwide. However, this liver fluke has not been detected in Korean water deer (Hydropotes inermis argyropus). This study provides the first evidence for Korean water deer being a definitive host of F. hepatica.</p>\",\"PeriodicalId\":74397,\"journal\":{\"name\":\"Parasites, hosts and diseases\",\"volume\":\"63 3\",\"pages\":\"243-247\"},\"PeriodicalIF\":1.3000,\"publicationDate\":\"2025-08-01\",\"publicationTypes\":\"Journal Article\",\"fieldsOfStudy\":null,\"isOpenAccess\":false,\"openAccessPdf\":\"https://www.ncbi.nlm.nih.gov/pmc/articles/PMC12400076/pdf/\",\"citationCount\":\"0\",\"resultStr\":null,\"platform\":\"Semanticscholar\",\"paperid\":null,\"PeriodicalName\":\"Parasites, hosts and diseases\",\"FirstCategoryId\":\"1085\",\"ListUrlMain\":\"https://doi.org/10.3347/PHD.25021\",\"RegionNum\":0,\"RegionCategory\":null,\"ArticlePicture\":[],\"TitleCN\":null,\"AbstractTextCN\":null,\"PMCID\":null,\"EPubDate\":\"2025/8/20 0:00:00\",\"PubModel\":\"Epub\",\"JCR\":\"0\",\"JCRName\":\"PARASITOLOGY\",\"Score\":null,\"Total\":0}","platform":"Semanticscholar","paperid":null,"PeriodicalName":"Parasites, hosts and diseases","FirstCategoryId":"1085","ListUrlMain":"https://doi.org/10.3347/PHD.25021","RegionNum":0,"RegionCategory":null,"ArticlePicture":[],"TitleCN":null,"AbstractTextCN":null,"PMCID":null,"EPubDate":"2025/8/20 0:00:00","PubModel":"Epub","JCR":"0","JCRName":"PARASITOLOGY","Score":null,"Total":0}
引用次数: 0

摘要

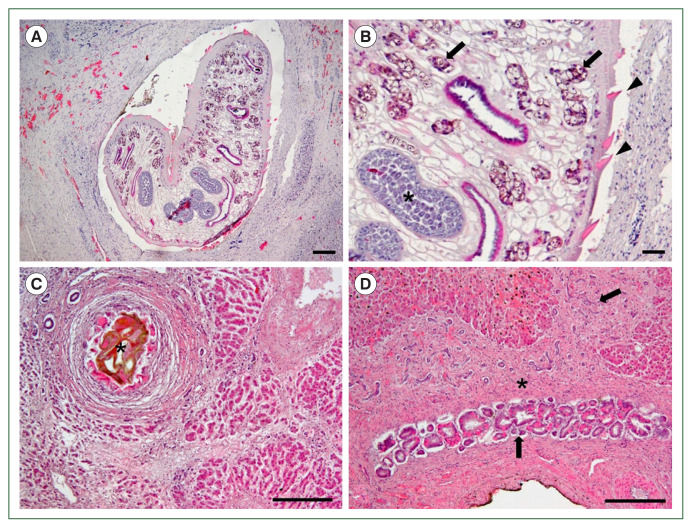
肝片吸虫是一种人畜共患肝吸虫,在世界范围内具有广泛的最终宿主。然而,这种肝吸虫尚未在韩国水鹿(Hydropotes inermis argyropus)中发现。本研究首次证明韩国水鹿是肝螺旋体的最终宿主。
本文章由计算机程序翻译,如有差异,请以英文原文为准。

Fasciola hepatica infection in Korean water deer (Hydropotes inermis argyropus).

Fasciola hepatica infection in Korean water deer (Hydropotes inermis argyropus).

Fasciola hepatica infection in Korean water deer (Hydropotes inermis argyropus).

Fasciola hepatica is a species of zoonotic liver flukes with a broad range of definitive hosts worldwide. However, this liver fluke has not been detected in Korean water deer (Hydropotes inermis argyropus). This study provides the first evidence for Korean water deer being a definitive host of F. hepatica.

求助全文
通过发布文献求助,成功后即可免费获取论文全文。 去求助
来源期刊
CiteScore
2.70
自引率
0.00%
发文量
0
×
引用
GB/T 7714-2015
复制
MLA
复制
APA
复制
导出至
BibTeX EndNote RefMan NoteFirst NoteExpress
×
提示
您的信息不完整,为了账户安全,请先补充。
现在去补充
×
提示
您因"违规操作"
具体请查看互助需知
我知道了
×
提示
确定
请完成安全验证×
copy
已复制链接
快去分享给好友吧!
我知道了
右上角分享
点击右上角分享
0
联系我们:info@booksci.cn Book学术提供免费学术资源搜索服务,方便国内外学者检索中英文文献。致力于提供最便捷和优质的服务体验。 Copyright © 2023 布克学术 All rights reserved.
京ICP备2023020795号-1
ghs 京公网安备 11010802042870号
Book学术文献互助
Book学术文献互助群
群 号:604180095
Book学术官方微信