前交通动脉瘤的死前ct血管造影资料与尸检结果的比较。

IF 2 Q3 CLINICAL NEUROLOGY
NeuroSci Pub Date : 2025-08-18 DOI:10.3390/neurosci6030081
Ana Maria Dumitrescu, Dragos Andrei Chiran, Cristinel Ionel Stan, Cringuta Mariana Paraschiv, Nicolaie Dobrin, Alexandru Chiriac, Maria Magdalena Leon, Lucia Corina Dima-Cozma, Cristina Gena Dascalu, Ana Marina Radulescu, Roxana Florentina Gavril, Anca Sava
{"title":"前交通动脉瘤的死前ct血管造影资料与尸检结果的比较。","authors":"Ana Maria Dumitrescu, Dragos Andrei Chiran, Cristinel Ionel Stan, Cringuta Mariana Paraschiv, Nicolaie Dobrin, Alexandru Chiriac, Maria Magdalena Leon, Lucia Corina Dima-Cozma, Cristina Gena Dascalu, Ana Marina Radulescu, Roxana Florentina Gavril, Anca Sava","doi":"10.3390/neurosci6030081","DOIUrl":null,"url":null,"abstract":"<p><strong>Background: </strong>The literature shows that anterior communicating artery (AcoA) aneurysms are the most common intracranial aneurysms. To date, there has only been one postmortem study focused on the correlations between autopsy findings and imaging results in cases of intracranial aneurysms associated with anatomical variants of the circle of Willis (CW).</p><p><strong>Methods: </strong>We investigated the anatomical variants of the CW associated with the occurrence and rupture of AcoA aneurysms by performing comparative analyses, in the same patients, of postmortem autopsy data with antemortem computed tomography-angiography (CTA) results obtained in the first 48 h after the onset of subarachnoid hemorrhage. Our retrospective observational study identified the anatomical variants of the CW at autopsy in 16 deceased adult Romanian patients with AcoA aneurysms over a 12-year period (2010-2022).</p><p><strong>Results: </strong>The autopsy findings revealed that the AcoA ruptured aneurysms had a mean external diameter of 9.50 mm, and 71.4% of them presented three or four anatomical variants inside the same CW. The initial antemortem CTA examination correctly located the AcoA aneurysms in all cases (100%), and an anatomical variant of the CW was only noted in 18.75% of patients. The final postmortem re-analyzed the same CTA images identified in all cases (100%), focusing on both the AcoA aneurysm and all anatomical variants of the CW found during the autopsies.</p><p><strong>Conclusions: </strong>Although it was previously thought that the occurrence of AcoA aneurysms is related only to the hemodynamic changes induced by the nearby arterial anatomical variants, we identified the simultaneous involvement of at least one hypoplastic artery and one or two PCA fetal-type anatomical variants that were located in both the anterior and posterior parts of the CW. Furthermore, if sufficient time is devoted to the CT-angiography analysis and interpretation of the images, anatomical variants of the circle of Willis associated with AcoA aneurysms can be identified as accurately as they are in invasive postmortem autopsy examinations.</p>","PeriodicalId":74294,"journal":{"name":"NeuroSci","volume":"6 3","pages":""},"PeriodicalIF":2.0000,"publicationDate":"2025-08-18","publicationTypes":"Journal Article","fieldsOfStudy":null,"isOpenAccess":false,"openAccessPdf":"https://www.ncbi.nlm.nih.gov/pmc/articles/PMC12371958/pdf/","citationCount":"0","resultStr":"{\"title\":\"Comparing Antemortem CT-Angiography Data with Autopsy Findings in Regard to Anterior Communicating Artery Aneurysms.\",\"authors\":\"Ana Maria Dumitrescu, Dragos Andrei Chiran, Cristinel Ionel Stan, Cringuta Mariana Paraschiv, Nicolaie Dobrin, Alexandru Chiriac, Maria Magdalena Leon, Lucia Corina Dima-Cozma, Cristina Gena Dascalu, Ana Marina Radulescu, Roxana Florentina Gavril, Anca Sava\",\"doi\":\"10.3390/neurosci6030081\",\"DOIUrl\":null,\"url\":null,\"abstract\":\"<p><strong>Background: </strong>The literature shows that anterior communicating artery (AcoA) aneurysms are the most common intracranial aneurysms. To date, there has only been one postmortem study focused on the correlations between autopsy findings and imaging results in cases of intracranial aneurysms associated with anatomical variants of the circle of Willis (CW).</p><p><strong>Methods: </strong>We investigated the anatomical variants of the CW associated with the occurrence and rupture of AcoA aneurysms by performing comparative analyses, in the same patients, of postmortem autopsy data with antemortem computed tomography-angiography (CTA) results obtained in the first 48 h after the onset of subarachnoid hemorrhage. Our retrospective observational study identified the anatomical variants of the CW at autopsy in 16 deceased adult Romanian patients with AcoA aneurysms over a 12-year period (2010-2022).</p><p><strong>Results: </strong>The autopsy findings revealed that the AcoA ruptured aneurysms had a mean external diameter of 9.50 mm, and 71.4% of them presented three or four anatomical variants inside the same CW. The initial antemortem CTA examination correctly located the AcoA aneurysms in all cases (100%), and an anatomical variant of the CW was only noted in 18.75% of patients. The final postmortem re-analyzed the same CTA images identified in all cases (100%), focusing on both the AcoA aneurysm and all anatomical variants of the CW found during the autopsies.</p><p><strong>Conclusions: </strong>Although it was previously thought that the occurrence of AcoA aneurysms is related only to the hemodynamic changes induced by the nearby arterial anatomical variants, we identified the simultaneous involvement of at least one hypoplastic artery and one or two PCA fetal-type anatomical variants that were located in both the anterior and posterior parts of the CW. Furthermore, if sufficient time is devoted to the CT-angiography analysis and interpretation of the images, anatomical variants of the circle of Willis associated with AcoA aneurysms can be identified as accurately as they are in invasive postmortem autopsy examinations.</p>\",\"PeriodicalId\":74294,\"journal\":{\"name\":\"NeuroSci\",\"volume\":\"6 3\",\"pages\":\"\"},\"PeriodicalIF\":2.0000,\"publicationDate\":\"2025-08-18\",\"publicationTypes\":\"Journal Article\",\"fieldsOfStudy\":null,\"isOpenAccess\":false,\"openAccessPdf\":\"https://www.ncbi.nlm.nih.gov/pmc/articles/PMC12371958/pdf/\",\"citationCount\":\"0\",\"resultStr\":null,\"platform\":\"Semanticscholar\",\"paperid\":null,\"PeriodicalName\":\"NeuroSci\",\"FirstCategoryId\":\"1085\",\"ListUrlMain\":\"https://doi.org/10.3390/neurosci6030081\",\"RegionNum\":0,\"RegionCategory\":null,\"ArticlePicture\":[],\"TitleCN\":null,\"AbstractTextCN\":null,\"PMCID\":null,\"EPubDate\":\"\",\"PubModel\":\"\",\"JCR\":\"Q3\",\"JCRName\":\"CLINICAL NEUROLOGY\",\"Score\":null,\"Total\":0}","platform":"Semanticscholar","paperid":null,"PeriodicalName":"NeuroSci","FirstCategoryId":"1085","ListUrlMain":"https://doi.org/10.3390/neurosci6030081","RegionNum":0,"RegionCategory":null,"ArticlePicture":[],"TitleCN":null,"AbstractTextCN":null,"PMCID":null,"EPubDate":"","PubModel":"","JCR":"Q3","JCRName":"CLINICAL NEUROLOGY","Score":null,"Total":0}
引用次数: 0

摘要

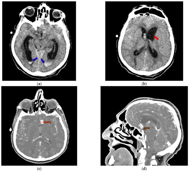
背景:文献显示,前交通动脉(AcoA)动脉瘤是最常见的颅内动脉瘤。迄今为止,只有一项尸检研究集中在与威利斯环(CW)解剖变异相关的颅内动脉瘤病例的尸检结果和影像学结果之间的相关性。方法:我们通过对同一例患者的死后尸检数据与蛛网膜下腔出血发生后48小时内的死前计算机断层血管造影(CTA)结果进行比较分析,研究了与AcoA动脉瘤发生和破裂相关的CW的解剖学变异。我们的回顾性观察研究在12年期间(2010-2022年)对16例死亡的罗马尼亚成年AcoA动脉瘤患者的尸检中发现了CW的解剖变异。结果:尸检结果显示,AcoA破裂动脉瘤平均外径9.50 mm, 71.4%的动脉瘤在同一CW内出现3 ~ 4个解剖变异。在所有病例(100%)中,最初的死前CTA检查正确定位了AcoA动脉瘤,只有18.75%的患者发现了CW的解剖变异。最后的尸检重新分析了所有病例(100%)相同的CTA图像,重点关注AcoA动脉瘤和尸检中发现的所有CW解剖变异。结论:虽然以前认为AcoA动脉瘤的发生仅与附近动脉解剖变异引起的血流动力学改变有关,但我们发现至少有一条发育不全的动脉和一两个PCA胎儿型解剖变异同时受累,这些变异位于CW的前部和后部。此外,如果有足够的时间用于ct血管造影分析和图像解释,与AcoA动脉瘤相关的Willis圈的解剖变异可以像有创伤性尸检检查一样准确地识别出来。
本文章由计算机程序翻译,如有差异,请以英文原文为准。

Comparing Antemortem CT-Angiography Data with Autopsy Findings in Regard to Anterior Communicating Artery Aneurysms.

Comparing Antemortem CT-Angiography Data with Autopsy Findings in Regard to Anterior Communicating Artery Aneurysms.

Comparing Antemortem CT-Angiography Data with Autopsy Findings in Regard to Anterior Communicating Artery Aneurysms.

Comparing Antemortem CT-Angiography Data with Autopsy Findings in Regard to Anterior Communicating Artery Aneurysms.

Background: The literature shows that anterior communicating artery (AcoA) aneurysms are the most common intracranial aneurysms. To date, there has only been one postmortem study focused on the correlations between autopsy findings and imaging results in cases of intracranial aneurysms associated with anatomical variants of the circle of Willis (CW).

Methods: We investigated the anatomical variants of the CW associated with the occurrence and rupture of AcoA aneurysms by performing comparative analyses, in the same patients, of postmortem autopsy data with antemortem computed tomography-angiography (CTA) results obtained in the first 48 h after the onset of subarachnoid hemorrhage. Our retrospective observational study identified the anatomical variants of the CW at autopsy in 16 deceased adult Romanian patients with AcoA aneurysms over a 12-year period (2010-2022).

Results: The autopsy findings revealed that the AcoA ruptured aneurysms had a mean external diameter of 9.50 mm, and 71.4% of them presented three or four anatomical variants inside the same CW. The initial antemortem CTA examination correctly located the AcoA aneurysms in all cases (100%), and an anatomical variant of the CW was only noted in 18.75% of patients. The final postmortem re-analyzed the same CTA images identified in all cases (100%), focusing on both the AcoA aneurysm and all anatomical variants of the CW found during the autopsies.

Conclusions: Although it was previously thought that the occurrence of AcoA aneurysms is related only to the hemodynamic changes induced by the nearby arterial anatomical variants, we identified the simultaneous involvement of at least one hypoplastic artery and one or two PCA fetal-type anatomical variants that were located in both the anterior and posterior parts of the CW. Furthermore, if sufficient time is devoted to the CT-angiography analysis and interpretation of the images, anatomical variants of the circle of Willis associated with AcoA aneurysms can be identified as accurately as they are in invasive postmortem autopsy examinations.

求助全文
通过发布文献求助,成功后即可免费获取论文全文。 去求助
来源期刊
自引率
0.00%
发文量
0
审稿时长
11 weeks
×
引用
GB/T 7714-2015
复制
MLA
复制
APA
复制
导出至
BibTeX EndNote RefMan NoteFirst NoteExpress
×
提示
您的信息不完整,为了账户安全,请先补充。
现在去补充
×
提示
您因"违规操作"
具体请查看互助需知
我知道了
×
提示
确定
请完成安全验证×
copy
已复制链接
快去分享给好友吧!
我知道了
右上角分享
点击右上角分享
0
联系我们:info@booksci.cn Book学术提供免费学术资源搜索服务,方便国内外学者检索中英文文献。致力于提供最便捷和优质的服务体验。 Copyright © 2023 布克学术 All rights reserved.
京ICP备2023020795号-1
ghs 京公网安备 11010802042870号
Book学术文献互助
Book学术文献互助群
群 号:604180095
Book学术官方微信