氯氮平成功治疗22q11.2缺失综合征合并多发性脑室周围结节性异位的精神分裂症患者1例

IF 0.9
PCN reports : psychiatry and clinical neurosciences Pub Date : 2025-08-25 eCollection Date: 2025-09-01 DOI:10.1002/pcn5.70195
Kiwamu Hoshi, Koichi Matsuyama, Yasunori Oda, Shintaro Shibata, Teruomi Iyo, Takeru Saito, Kazuki Okada, Fumiaki Yano, Fumiaki Yamasaki, Yusuke Nakata, Tsuyoshi Sasaki, Tomihisa Niitsu
{"title":"氯氮平成功治疗22q11.2缺失综合征合并多发性脑室周围结节性异位的精神分裂症患者1例","authors":"Kiwamu Hoshi, Koichi Matsuyama, Yasunori Oda, Shintaro Shibata, Teruomi Iyo, Takeru Saito, Kazuki Okada, Fumiaki Yano, Fumiaki Yamasaki, Yusuke Nakata, Tsuyoshi Sasaki, Tomihisa Niitsu","doi":"10.1002/pcn5.70195","DOIUrl":null,"url":null,"abstract":"<p><strong>Background: </strong>22q11.2 deletion syndrome is associated with schizophrenia, seizures, and often experience intolerance to antipsychotics. Periventricular nodular heterotopia (PNH) is a neuronal migration disorder that can also be observed in individuals with 22q11.2 deletion syndrome. However, to our knowledge, the use of clozapine in adolescent patients with treatment-resistant schizophrenia and comorbid 22q11.2 deletion syndrome and PNH has not been previously reported.</p><p><strong>Case presentation: </strong>A 17-year-old female with treatment-resistant schizophrenia was referred to our hospital. She presented with auditory hallucinations, disorganized behavior, and insomnia. Multiple antipsychotics, mood stabilizers, benzodiazepines, and modified electroconvulsive therapy were either ineffective or poorly tolerated due to extrapyramidal symptoms. Brain magnetic resonance imaging (MRI) performed under sedation revealed PNH. Genetic testing confirmed a diagnosis of 22q11.2 deletion syndrome. Clozapine was initiated with close monitoring, and her symptoms gradually improved following a slow titration. She was discharged after approximately 6 months and has remained clinically stable for 15 months.</p><p><strong>Conclusion: </strong>Brain MRI and genetic testing-even when performed under sedation-may be valuable diagnostic tools in adolescents with treatment-resistant schizophrenia. Furthermore, the presence of structural brain abnormalities does not preclude the efficacy of clozapine, which may remain a viable and effective treatment option in such cases.</p>","PeriodicalId":74405,"journal":{"name":"PCN reports : psychiatry and clinical neurosciences","volume":"4 3","pages":"e70195"},"PeriodicalIF":0.9000,"publicationDate":"2025-08-25","publicationTypes":"Journal Article","fieldsOfStudy":null,"isOpenAccess":false,"openAccessPdf":"https://www.ncbi.nlm.nih.gov/pmc/articles/PMC12375868/pdf/","citationCount":"0","resultStr":"{\"title\":\"Successful use of clozapine in a patient with schizophrenia comorbid with 22q11.2 deletion syndrome and multiple periventricular nodular heterotopia: A case report.\",\"authors\":\"Kiwamu Hoshi, Koichi Matsuyama, Yasunori Oda, Shintaro Shibata, Teruomi Iyo, Takeru Saito, Kazuki Okada, Fumiaki Yano, Fumiaki Yamasaki, Yusuke Nakata, Tsuyoshi Sasaki, Tomihisa Niitsu\",\"doi\":\"10.1002/pcn5.70195\",\"DOIUrl\":null,\"url\":null,\"abstract\":\"<p><strong>Background: </strong>22q11.2 deletion syndrome is associated with schizophrenia, seizures, and often experience intolerance to antipsychotics. Periventricular nodular heterotopia (PNH) is a neuronal migration disorder that can also be observed in individuals with 22q11.2 deletion syndrome. However, to our knowledge, the use of clozapine in adolescent patients with treatment-resistant schizophrenia and comorbid 22q11.2 deletion syndrome and PNH has not been previously reported.</p><p><strong>Case presentation: </strong>A 17-year-old female with treatment-resistant schizophrenia was referred to our hospital. She presented with auditory hallucinations, disorganized behavior, and insomnia. Multiple antipsychotics, mood stabilizers, benzodiazepines, and modified electroconvulsive therapy were either ineffective or poorly tolerated due to extrapyramidal symptoms. Brain magnetic resonance imaging (MRI) performed under sedation revealed PNH. Genetic testing confirmed a diagnosis of 22q11.2 deletion syndrome. Clozapine was initiated with close monitoring, and her symptoms gradually improved following a slow titration. She was discharged after approximately 6 months and has remained clinically stable for 15 months.</p><p><strong>Conclusion: </strong>Brain MRI and genetic testing-even when performed under sedation-may be valuable diagnostic tools in adolescents with treatment-resistant schizophrenia. Furthermore, the presence of structural brain abnormalities does not preclude the efficacy of clozapine, which may remain a viable and effective treatment option in such cases.</p>\",\"PeriodicalId\":74405,\"journal\":{\"name\":\"PCN reports : psychiatry and clinical neurosciences\",\"volume\":\"4 3\",\"pages\":\"e70195\"},\"PeriodicalIF\":0.9000,\"publicationDate\":\"2025-08-25\",\"publicationTypes\":\"Journal Article\",\"fieldsOfStudy\":null,\"isOpenAccess\":false,\"openAccessPdf\":\"https://www.ncbi.nlm.nih.gov/pmc/articles/PMC12375868/pdf/\",\"citationCount\":\"0\",\"resultStr\":null,\"platform\":\"Semanticscholar\",\"paperid\":null,\"PeriodicalName\":\"PCN reports : psychiatry and clinical neurosciences\",\"FirstCategoryId\":\"1085\",\"ListUrlMain\":\"https://doi.org/10.1002/pcn5.70195\",\"RegionNum\":0,\"RegionCategory\":null,\"ArticlePicture\":[],\"TitleCN\":null,\"AbstractTextCN\":null,\"PMCID\":null,\"EPubDate\":\"2025/9/1 0:00:00\",\"PubModel\":\"eCollection\",\"JCR\":\"\",\"JCRName\":\"\",\"Score\":null,\"Total\":0}","platform":"Semanticscholar","paperid":null,"PeriodicalName":"PCN reports : psychiatry and clinical neurosciences","FirstCategoryId":"1085","ListUrlMain":"https://doi.org/10.1002/pcn5.70195","RegionNum":0,"RegionCategory":null,"ArticlePicture":[],"TitleCN":null,"AbstractTextCN":null,"PMCID":null,"EPubDate":"2025/9/1 0:00:00","PubModel":"eCollection","JCR":"","JCRName":"","Score":null,"Total":0}
引用次数: 0

摘要

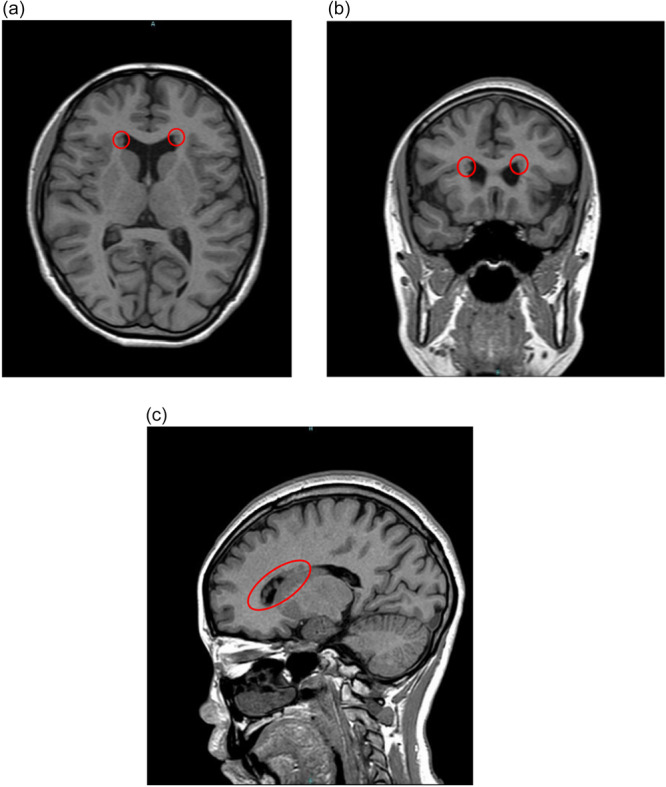
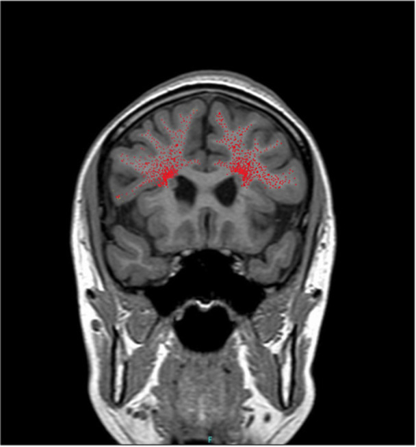
背景:22q11.2缺失综合征与精神分裂症、癫痫发作相关,并常出现抗精神病药物不耐受。脑室周围结节性异位(PNH)是一种神经元迁移障碍,也可在22q11.2缺失综合征患者中观察到。然而,据我们所知,氯氮平在难治性精神分裂症和22q11.2缺失综合征及PNH合并症青少年患者中的应用尚未见报道。病例介绍:一位患有难治性精神分裂症的17岁女性被转介到我院。她表现为幻听,行为混乱,失眠。由于锥体外系症状,多种抗精神病药物、情绪稳定剂、苯二氮卓类药物和改良电休克治疗无效或耐受性差。镇静下进行的脑磁共振成像(MRI)显示PNH。基因检测证实了22q11.2缺失综合征的诊断。开始时密切监测氯氮平,缓慢滴药后症状逐渐改善。大约6个月后出院,临床稳定15个月。结论:脑部核磁共振和基因检测——即使是在镇静状态下进行的——可能是难治性精神分裂症青少年患者有价值的诊断工具。此外,脑结构异常的存在并不妨碍氯氮平的疗效,氯氮平可能仍然是这种情况下可行和有效的治疗选择。
本文章由计算机程序翻译,如有差异,请以英文原文为准。

Successful use of clozapine in a patient with schizophrenia comorbid with 22q11.2 deletion syndrome and multiple periventricular nodular heterotopia: A case report.

Successful use of clozapine in a patient with schizophrenia comorbid with 22q11.2 deletion syndrome and multiple periventricular nodular heterotopia: A case report.

Successful use of clozapine in a patient with schizophrenia comorbid with 22q11.2 deletion syndrome and multiple periventricular nodular heterotopia: A case report.

Background: 22q11.2 deletion syndrome is associated with schizophrenia, seizures, and often experience intolerance to antipsychotics. Periventricular nodular heterotopia (PNH) is a neuronal migration disorder that can also be observed in individuals with 22q11.2 deletion syndrome. However, to our knowledge, the use of clozapine in adolescent patients with treatment-resistant schizophrenia and comorbid 22q11.2 deletion syndrome and PNH has not been previously reported.

Case presentation: A 17-year-old female with treatment-resistant schizophrenia was referred to our hospital. She presented with auditory hallucinations, disorganized behavior, and insomnia. Multiple antipsychotics, mood stabilizers, benzodiazepines, and modified electroconvulsive therapy were either ineffective or poorly tolerated due to extrapyramidal symptoms. Brain magnetic resonance imaging (MRI) performed under sedation revealed PNH. Genetic testing confirmed a diagnosis of 22q11.2 deletion syndrome. Clozapine was initiated with close monitoring, and her symptoms gradually improved following a slow titration. She was discharged after approximately 6 months and has remained clinically stable for 15 months.

Conclusion: Brain MRI and genetic testing-even when performed under sedation-may be valuable diagnostic tools in adolescents with treatment-resistant schizophrenia. Furthermore, the presence of structural brain abnormalities does not preclude the efficacy of clozapine, which may remain a viable and effective treatment option in such cases.

求助全文
通过发布文献求助,成功后即可免费获取论文全文。 去求助
来源期刊
CiteScore
0.70
自引率
0.00%
发文量
0
×
引用
GB/T 7714-2015
复制
MLA
复制
APA
复制
导出至
BibTeX EndNote RefMan NoteFirst NoteExpress
×
提示
您的信息不完整,为了账户安全,请先补充。
现在去补充
×
提示
您因"违规操作"
具体请查看互助需知
我知道了
×
提示
确定
请完成安全验证×
copy
已复制链接
快去分享给好友吧!
我知道了
右上角分享
点击右上角分享
0
联系我们:info@booksci.cn Book学术提供免费学术资源搜索服务,方便国内外学者检索中英文文献。致力于提供最便捷和优质的服务体验。 Copyright © 2023 布克学术 All rights reserved.
京ICP备2023020795号-1
ghs 京公网安备 11010802042870号
Book学术文献互助
Book学术文献互助群
群 号:604180095
Book学术官方微信