广泛胆脂瘤损害整个同侧颅底:通过多通道手术技术切除。

IF 0.8 Q3 MEDICINE, GENERAL & INTERNAL
Lyubomir Rangachev, Julian Rangachev, Tzvetomir Marinov, Sylvia Skelina, Todor M Popov
{"title":"广泛胆脂瘤损害整个同侧颅底:通过多通道手术技术切除。","authors":"Lyubomir Rangachev, Julian Rangachev, Tzvetomir Marinov, Sylvia Skelina, Todor M Popov","doi":"10.3390/reports8030148","DOIUrl":null,"url":null,"abstract":"<p><p><b>Background and Clinical Significance</b>: Petrous bone cholesteatoma is a rare and complex condition that poses significant challenges in terms of its diagnosis and treatment. This benign yet locally aggressive lesion can cause extensive destruction of the surrounding structures, potentially leading to serious complications. <b>Case Presentation</b>: We present a case of extensive petrous bone cholesteatoma involving nearly the entire skull base. High-resolution CT and MRI were used to assess the extent of the lesion and its relationship with critical neurovascular structures. The cholesteatoma extended from the petrous apex to the clivus, involving the internal auditory canal and Meckel's cave, encasing the internal carotid artery, and compressing the brainstem. The surgical strategy included combined endoscopic transsphenoidal and transclival techniques with a retrolabyrinthine approach. The endoscopic component provided access to the anterior and central skull base regions, whereas the retrolabyrinthine approach allowed us to gain access to the posterior petrous area. Careful dissection was performed to separate the cholesteatoma from the internal carotid artery and the brainstem. Neuromonitoring was performed throughout the procedure to ensure cranial nerve integrity. This combined approach enabled gross total resection, and postoperative imaging confirmed successful tumor removal. The patient's recovery was uneventful, and no new neurological deficits were observed. <b>Conclusions</b>: The successful management of this complex case demonstrates the efficacy and safety of combining endoscopic surgical approaches for extensive skull base cholesteatomas. This multi-corridor approach allows for maximal tumor resection while also minimizing the risks to critical neurovascular structures.</p>","PeriodicalId":74664,"journal":{"name":"Reports (MDPI)","volume":"8 3","pages":""},"PeriodicalIF":0.8000,"publicationDate":"2025-08-18","publicationTypes":"Journal Article","fieldsOfStudy":null,"isOpenAccess":false,"openAccessPdf":"https://www.ncbi.nlm.nih.gov/pmc/articles/PMC12371988/pdf/","citationCount":"0","resultStr":"{\"title\":\"Extensive Cholesteatoma Compromising the Entire Ipsilateral Skull Base: Excision Through a Multi-Corridor Surgical Technique.\",\"authors\":\"Lyubomir Rangachev, Julian Rangachev, Tzvetomir Marinov, Sylvia Skelina, Todor M Popov\",\"doi\":\"10.3390/reports8030148\",\"DOIUrl\":null,\"url\":null,\"abstract\":\"<p><p><b>Background and Clinical Significance</b>: Petrous bone cholesteatoma is a rare and complex condition that poses significant challenges in terms of its diagnosis and treatment. This benign yet locally aggressive lesion can cause extensive destruction of the surrounding structures, potentially leading to serious complications. <b>Case Presentation</b>: We present a case of extensive petrous bone cholesteatoma involving nearly the entire skull base. High-resolution CT and MRI were used to assess the extent of the lesion and its relationship with critical neurovascular structures. The cholesteatoma extended from the petrous apex to the clivus, involving the internal auditory canal and Meckel's cave, encasing the internal carotid artery, and compressing the brainstem. The surgical strategy included combined endoscopic transsphenoidal and transclival techniques with a retrolabyrinthine approach. The endoscopic component provided access to the anterior and central skull base regions, whereas the retrolabyrinthine approach allowed us to gain access to the posterior petrous area. Careful dissection was performed to separate the cholesteatoma from the internal carotid artery and the brainstem. Neuromonitoring was performed throughout the procedure to ensure cranial nerve integrity. This combined approach enabled gross total resection, and postoperative imaging confirmed successful tumor removal. The patient's recovery was uneventful, and no new neurological deficits were observed. <b>Conclusions</b>: The successful management of this complex case demonstrates the efficacy and safety of combining endoscopic surgical approaches for extensive skull base cholesteatomas. This multi-corridor approach allows for maximal tumor resection while also minimizing the risks to critical neurovascular structures.</p>\",\"PeriodicalId\":74664,\"journal\":{\"name\":\"Reports (MDPI)\",\"volume\":\"8 3\",\"pages\":\"\"},\"PeriodicalIF\":0.8000,\"publicationDate\":\"2025-08-18\",\"publicationTypes\":\"Journal Article\",\"fieldsOfStudy\":null,\"isOpenAccess\":false,\"openAccessPdf\":\"https://www.ncbi.nlm.nih.gov/pmc/articles/PMC12371988/pdf/\",\"citationCount\":\"0\",\"resultStr\":null,\"platform\":\"Semanticscholar\",\"paperid\":null,\"PeriodicalName\":\"Reports (MDPI)\",\"FirstCategoryId\":\"1085\",\"ListUrlMain\":\"https://doi.org/10.3390/reports8030148\",\"RegionNum\":0,\"RegionCategory\":null,\"ArticlePicture\":[],\"TitleCN\":null,\"AbstractTextCN\":null,\"PMCID\":null,\"EPubDate\":\"\",\"PubModel\":\"\",\"JCR\":\"Q3\",\"JCRName\":\"MEDICINE, GENERAL & INTERNAL\",\"Score\":null,\"Total\":0}","platform":"Semanticscholar","paperid":null,"PeriodicalName":"Reports (MDPI)","FirstCategoryId":"1085","ListUrlMain":"https://doi.org/10.3390/reports8030148","RegionNum":0,"RegionCategory":null,"ArticlePicture":[],"TitleCN":null,"AbstractTextCN":null,"PMCID":null,"EPubDate":"","PubModel":"","JCR":"Q3","JCRName":"MEDICINE, GENERAL & INTERNAL","Score":null,"Total":0}
引用次数: 0

摘要

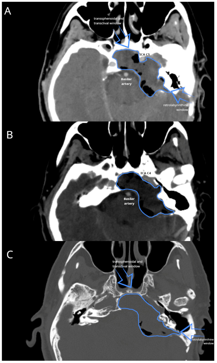
背景与临床意义:岩状骨胆脂瘤是一种罕见且复杂的疾病,在诊断和治疗方面具有重大挑战。这种良性但局部侵袭性病变可引起周围结构的广泛破坏,可能导致严重的并发症。病例介绍:我们报告一例广泛的石质骨胆脂瘤,几乎累及整个颅底。使用高分辨率CT和MRI来评估病变的程度及其与关键神经血管结构的关系。胆脂瘤由岩尖向斜坡延伸,累及内耳道和梅克尔洞,包裹颈内动脉,压迫脑干。手术策略包括经蝶窦和经巩膜联合内镜及迷路后入路。内窥镜组件提供了进入颅底前部和中央区域的通道,而迷路后入路允许我们进入后岩区。仔细的解剖将胆脂瘤从颈内动脉和脑干中分离出来。在整个手术过程中进行神经监测以确保脑神经的完整性。这种联合方法使大体全切除,术后影像学证实肿瘤切除成功。患者的恢复是平稳的,没有观察到新的神经功能缺陷。结论:这一复杂病例的成功治疗证明了联合内镜手术治疗广泛颅底胆脂瘤的有效性和安全性。这种多通道入路既能最大限度地切除肿瘤,又能最大限度地减少对关键神经血管结构的损害。
本文章由计算机程序翻译,如有差异,请以英文原文为准。

Extensive Cholesteatoma Compromising the Entire Ipsilateral Skull Base: Excision Through a Multi-Corridor Surgical Technique.

Extensive Cholesteatoma Compromising the Entire Ipsilateral Skull Base: Excision Through a Multi-Corridor Surgical Technique.

Extensive Cholesteatoma Compromising the Entire Ipsilateral Skull Base: Excision Through a Multi-Corridor Surgical Technique.

Extensive Cholesteatoma Compromising the Entire Ipsilateral Skull Base: Excision Through a Multi-Corridor Surgical Technique.

Background and Clinical Significance: Petrous bone cholesteatoma is a rare and complex condition that poses significant challenges in terms of its diagnosis and treatment. This benign yet locally aggressive lesion can cause extensive destruction of the surrounding structures, potentially leading to serious complications. Case Presentation: We present a case of extensive petrous bone cholesteatoma involving nearly the entire skull base. High-resolution CT and MRI were used to assess the extent of the lesion and its relationship with critical neurovascular structures. The cholesteatoma extended from the petrous apex to the clivus, involving the internal auditory canal and Meckel's cave, encasing the internal carotid artery, and compressing the brainstem. The surgical strategy included combined endoscopic transsphenoidal and transclival techniques with a retrolabyrinthine approach. The endoscopic component provided access to the anterior and central skull base regions, whereas the retrolabyrinthine approach allowed us to gain access to the posterior petrous area. Careful dissection was performed to separate the cholesteatoma from the internal carotid artery and the brainstem. Neuromonitoring was performed throughout the procedure to ensure cranial nerve integrity. This combined approach enabled gross total resection, and postoperative imaging confirmed successful tumor removal. The patient's recovery was uneventful, and no new neurological deficits were observed. Conclusions: The successful management of this complex case demonstrates the efficacy and safety of combining endoscopic surgical approaches for extensive skull base cholesteatomas. This multi-corridor approach allows for maximal tumor resection while also minimizing the risks to critical neurovascular structures.

求助全文
通过发布文献求助,成功后即可免费获取论文全文。 去求助
来源期刊
自引率
0.00%
发文量
0
审稿时长
11 weeks
×
引用
GB/T 7714-2015
复制
MLA
复制
APA
复制
导出至
BibTeX EndNote RefMan NoteFirst NoteExpress
×
提示
您的信息不完整,为了账户安全,请先补充。
现在去补充
×
提示
您因"违规操作"
具体请查看互助需知
我知道了
×
提示
确定
请完成安全验证×
copy
已复制链接
快去分享给好友吧!
我知道了
右上角分享
点击右上角分享
0
联系我们:info@booksci.cn Book学术提供免费学术资源搜索服务,方便国内外学者检索中英文文献。致力于提供最便捷和优质的服务体验。 Copyright © 2023 布克学术 All rights reserved.
京ICP备2023020795号-1
ghs 京公网安备 11010802042870号
Book学术文献互助
Book学术文献互助群
群 号:604180095
Book学术官方微信