前列腺特异性膜抗原(PSMA) PET/CT生成人工智能的潜力:挑战和未来方向。

Medical review (Berlin, Germany) Pub Date : 2025-01-24 eCollection Date: 2025-08-01 DOI:10.1515/mr-2024-0086
Md Zobaer Islam, Ergi Spiro, Pew-Thian Yap, Michael A Gorin, Steven P Rowe
{"title":"前列腺特异性膜抗原(PSMA) PET/CT生成人工智能的潜力:挑战和未来方向。","authors":"Md Zobaer Islam, Ergi Spiro, Pew-Thian Yap, Michael A Gorin, Steven P Rowe","doi":"10.1515/mr-2024-0086","DOIUrl":null,"url":null,"abstract":"<p><p>The diagnosis and prognosis of Prostate cancer (PCa) have undergone a significant transformation with the advent of prostate-specific membrane antigen (PSMA)-targeted positron emission tomography (PET) imaging. PSMA-PET imaging has demonstrated superior performance compared to conventional imaging methods by detecting PCa, its biochemical recurrence, and sites of metastasis with higher sensitivity and specificity. That transformation now intersects with rapid advances in artificial intelligence (AI) - including the emergence of generative AI. However, there are unique clinical challenges associated with PSMA-PET imaging that still need to be addressed to ensure its continued widespread integration into clinical care and research trials. Some of those challenges are the very wide dynamic range of lesion uptake, benign uptake in organs that may be adjacent to sites of disease, insufficient large datasets for training AI models, as well as artifacts in the images. Generative AI models, e.g., generative adversarial networks, variational autoencoders, diffusion models, and large language models have played crucial roles in overcoming many such challenges across various imaging modalities, including PET, computed tomography, magnetic resonance imaging, ultrasound, etc. In this review article, we delve into the potential role of generative AI in enhancing the robustness and widespread utilization of PSMA-PET imaging and image analysis, drawing insights from existing literature while also exploring current limitations and future directions in this domain.</p>","PeriodicalId":74151,"journal":{"name":"Medical review (Berlin, Germany)","volume":"5 4","pages":"265-276"},"PeriodicalIF":0.0000,"publicationDate":"2025-01-24","publicationTypes":"Journal Article","fieldsOfStudy":null,"isOpenAccess":false,"openAccessPdf":"https://www.ncbi.nlm.nih.gov/pmc/articles/PMC12362063/pdf/","citationCount":"0","resultStr":"{\"title\":\"The potential of generative AI with prostate-specific membrane antigen (PSMA) PET/CT: challenges and future directions.\",\"authors\":\"Md Zobaer Islam, Ergi Spiro, Pew-Thian Yap, Michael A Gorin, Steven P Rowe\",\"doi\":\"10.1515/mr-2024-0086\",\"DOIUrl\":null,\"url\":null,\"abstract\":\"<p><p>The diagnosis and prognosis of Prostate cancer (PCa) have undergone a significant transformation with the advent of prostate-specific membrane antigen (PSMA)-targeted positron emission tomography (PET) imaging. PSMA-PET imaging has demonstrated superior performance compared to conventional imaging methods by detecting PCa, its biochemical recurrence, and sites of metastasis with higher sensitivity and specificity. That transformation now intersects with rapid advances in artificial intelligence (AI) - including the emergence of generative AI. However, there are unique clinical challenges associated with PSMA-PET imaging that still need to be addressed to ensure its continued widespread integration into clinical care and research trials. Some of those challenges are the very wide dynamic range of lesion uptake, benign uptake in organs that may be adjacent to sites of disease, insufficient large datasets for training AI models, as well as artifacts in the images. Generative AI models, e.g., generative adversarial networks, variational autoencoders, diffusion models, and large language models have played crucial roles in overcoming many such challenges across various imaging modalities, including PET, computed tomography, magnetic resonance imaging, ultrasound, etc. In this review article, we delve into the potential role of generative AI in enhancing the robustness and widespread utilization of PSMA-PET imaging and image analysis, drawing insights from existing literature while also exploring current limitations and future directions in this domain.</p>\",\"PeriodicalId\":74151,\"journal\":{\"name\":\"Medical review (Berlin, Germany)\",\"volume\":\"5 4\",\"pages\":\"265-276\"},\"PeriodicalIF\":0.0000,\"publicationDate\":\"2025-01-24\",\"publicationTypes\":\"Journal Article\",\"fieldsOfStudy\":null,\"isOpenAccess\":false,\"openAccessPdf\":\"https://www.ncbi.nlm.nih.gov/pmc/articles/PMC12362063/pdf/\",\"citationCount\":\"0\",\"resultStr\":null,\"platform\":\"Semanticscholar\",\"paperid\":null,\"PeriodicalName\":\"Medical review (Berlin, Germany)\",\"FirstCategoryId\":\"1085\",\"ListUrlMain\":\"https://doi.org/10.1515/mr-2024-0086\",\"RegionNum\":0,\"RegionCategory\":null,\"ArticlePicture\":[],\"TitleCN\":null,\"AbstractTextCN\":null,\"PMCID\":null,\"EPubDate\":\"2025/8/1 0:00:00\",\"PubModel\":\"eCollection\",\"JCR\":\"\",\"JCRName\":\"\",\"Score\":null,\"Total\":0}","platform":"Semanticscholar","paperid":null,"PeriodicalName":"Medical review (Berlin, Germany)","FirstCategoryId":"1085","ListUrlMain":"https://doi.org/10.1515/mr-2024-0086","RegionNum":0,"RegionCategory":null,"ArticlePicture":[],"TitleCN":null,"AbstractTextCN":null,"PMCID":null,"EPubDate":"2025/8/1 0:00:00","PubModel":"eCollection","JCR":"","JCRName":"","Score":null,"Total":0}
引用次数: 0

摘要

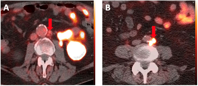
随着前列腺特异性膜抗原(PSMA)靶向正电子发射断层扫描(PET)成像技术的出现,前列腺癌(PCa)的诊断和预后发生了重大转变。与传统成像方法相比,PSMA-PET成像在检测前列腺癌、其生化复发和转移部位方面具有更高的灵敏度和特异性。这种转变现在与人工智能(AI)的快速发展——包括生成式人工智能的出现——相交叉。然而,与PSMA-PET成像相关的独特临床挑战仍然需要解决,以确保其继续广泛整合到临床护理和研究试验中。其中一些挑战是病变摄取的动态范围非常广,可能与疾病部位相邻的器官的良性摄取,训练人工智能模型的大数据集不足,以及图像中的人工制品。生成人工智能模型,如生成对抗网络、变分自编码器、扩散模型和大型语言模型,在克服各种成像模式(包括PET、计算机断层扫描、磁共振成像、超声等)的许多此类挑战方面发挥了至关重要的作用。在这篇综述文章中,我们深入探讨了生成式人工智能在增强PSMA-PET成像和图像分析的鲁棒性和广泛应用方面的潜在作用,从现有文献中吸取了见解,同时也探讨了该领域当前的局限性和未来的方向。
本文章由计算机程序翻译,如有差异,请以英文原文为准。

The potential of generative AI with prostate-specific membrane antigen (PSMA) PET/CT: challenges and future directions.

The potential of generative AI with prostate-specific membrane antigen (PSMA) PET/CT: challenges and future directions.

The potential of generative AI with prostate-specific membrane antigen (PSMA) PET/CT: challenges and future directions.

The diagnosis and prognosis of Prostate cancer (PCa) have undergone a significant transformation with the advent of prostate-specific membrane antigen (PSMA)-targeted positron emission tomography (PET) imaging. PSMA-PET imaging has demonstrated superior performance compared to conventional imaging methods by detecting PCa, its biochemical recurrence, and sites of metastasis with higher sensitivity and specificity. That transformation now intersects with rapid advances in artificial intelligence (AI) - including the emergence of generative AI. However, there are unique clinical challenges associated with PSMA-PET imaging that still need to be addressed to ensure its continued widespread integration into clinical care and research trials. Some of those challenges are the very wide dynamic range of lesion uptake, benign uptake in organs that may be adjacent to sites of disease, insufficient large datasets for training AI models, as well as artifacts in the images. Generative AI models, e.g., generative adversarial networks, variational autoencoders, diffusion models, and large language models have played crucial roles in overcoming many such challenges across various imaging modalities, including PET, computed tomography, magnetic resonance imaging, ultrasound, etc. In this review article, we delve into the potential role of generative AI in enhancing the robustness and widespread utilization of PSMA-PET imaging and image analysis, drawing insights from existing literature while also exploring current limitations and future directions in this domain.

求助全文
通过发布文献求助,成功后即可免费获取论文全文。 去求助
来源期刊
CiteScore
1.30
自引率
0.00%
发文量
0
×
引用
GB/T 7714-2015
复制
MLA
复制
APA
复制
导出至
BibTeX EndNote RefMan NoteFirst NoteExpress
×
提示
您的信息不完整,为了账户安全,请先补充。
现在去补充
×
提示
您因"违规操作"
具体请查看互助需知
我知道了
×
提示
确定
请完成安全验证×
copy
已复制链接
快去分享给好友吧!
我知道了
右上角分享
点击右上角分享
0
联系我们:info@booksci.cn Book学术提供免费学术资源搜索服务,方便国内外学者检索中英文文献。致力于提供最便捷和优质的服务体验。 Copyright © 2023 布克学术 All rights reserved.
京ICP备2023020795号-1
ghs 京公网安备 11010802042870号
Book学术文献互助
Book学术文献互助群
群 号:604180095
Book学术官方微信