心血管干预后可能与莱卡单抗相关的脑桥出血:使用莱卡单抗的临床意义。

IF 2.8 Q2 NEUROSCIENCES
Journal of Alzheimer's disease reports Pub Date : 2025-08-18 eCollection Date: 2025-01-01 DOI:10.1177/25424823251366998
Siwei Chen, Yongan Sun, Lanqiu Yao, Qing Peng
{"title":"心血管干预后可能与莱卡单抗相关的脑桥出血:使用莱卡单抗的临床意义。","authors":"Siwei Chen, Yongan Sun, Lanqiu Yao, Qing Peng","doi":"10.1177/25424823251366998","DOIUrl":null,"url":null,"abstract":"<p><p>We report a 76-year-old patient with mild cognitive impairment and <i>APOE</i> ε3/ε3 genotype who developed a rare pontine hemorrhage following treatment with lecanemab, an anti-amyloid-β monoclonal antibody for Alzheimer's disease. She was initially on clopidogrel and rivaroxaban; rivaroxaban was discontinued prior to lecanemab initiation. After two infusions, lecanemab was paused due to angina. She then underwent coronary stenting and was placed on dual antiplatelet therapy (aspirin and clopidogrel). Pontine hemorrhage occurred after twenty days. This case highlights heightened bleeding risk when lecanemab is combined with intensified antithrombotic therapy, even without <i>APOE</i> ε4 or significant cerebral small vessel disease load.</p>","PeriodicalId":73594,"journal":{"name":"Journal of Alzheimer's disease reports","volume":"9 ","pages":"25424823251366998"},"PeriodicalIF":2.8000,"publicationDate":"2025-08-18","publicationTypes":"Journal Article","fieldsOfStudy":null,"isOpenAccess":false,"openAccessPdf":"https://www.ncbi.nlm.nih.gov/pmc/articles/PMC12365432/pdf/","citationCount":"0","resultStr":"{\"title\":\"Probable lecanemab-associated pontine hemorrhage following cardiovascular intervention: Clinical implications for lecanemab use.\",\"authors\":\"Siwei Chen, Yongan Sun, Lanqiu Yao, Qing Peng\",\"doi\":\"10.1177/25424823251366998\",\"DOIUrl\":null,\"url\":null,\"abstract\":\"<p><p>We report a 76-year-old patient with mild cognitive impairment and <i>APOE</i> ε3/ε3 genotype who developed a rare pontine hemorrhage following treatment with lecanemab, an anti-amyloid-β monoclonal antibody for Alzheimer's disease. She was initially on clopidogrel and rivaroxaban; rivaroxaban was discontinued prior to lecanemab initiation. After two infusions, lecanemab was paused due to angina. She then underwent coronary stenting and was placed on dual antiplatelet therapy (aspirin and clopidogrel). Pontine hemorrhage occurred after twenty days. This case highlights heightened bleeding risk when lecanemab is combined with intensified antithrombotic therapy, even without <i>APOE</i> ε4 or significant cerebral small vessel disease load.</p>\",\"PeriodicalId\":73594,\"journal\":{\"name\":\"Journal of Alzheimer's disease reports\",\"volume\":\"9 \",\"pages\":\"25424823251366998\"},\"PeriodicalIF\":2.8000,\"publicationDate\":\"2025-08-18\",\"publicationTypes\":\"Journal Article\",\"fieldsOfStudy\":null,\"isOpenAccess\":false,\"openAccessPdf\":\"https://www.ncbi.nlm.nih.gov/pmc/articles/PMC12365432/pdf/\",\"citationCount\":\"0\",\"resultStr\":null,\"platform\":\"Semanticscholar\",\"paperid\":null,\"PeriodicalName\":\"Journal of Alzheimer's disease reports\",\"FirstCategoryId\":\"1085\",\"ListUrlMain\":\"https://doi.org/10.1177/25424823251366998\",\"RegionNum\":0,\"RegionCategory\":null,\"ArticlePicture\":[],\"TitleCN\":null,\"AbstractTextCN\":null,\"PMCID\":null,\"EPubDate\":\"2025/1/1 0:00:00\",\"PubModel\":\"eCollection\",\"JCR\":\"Q2\",\"JCRName\":\"NEUROSCIENCES\",\"Score\":null,\"Total\":0}","platform":"Semanticscholar","paperid":null,"PeriodicalName":"Journal of Alzheimer's disease reports","FirstCategoryId":"1085","ListUrlMain":"https://doi.org/10.1177/25424823251366998","RegionNum":0,"RegionCategory":null,"ArticlePicture":[],"TitleCN":null,"AbstractTextCN":null,"PMCID":null,"EPubDate":"2025/1/1 0:00:00","PubModel":"eCollection","JCR":"Q2","JCRName":"NEUROSCIENCES","Score":null,"Total":0}
引用次数: 0

摘要

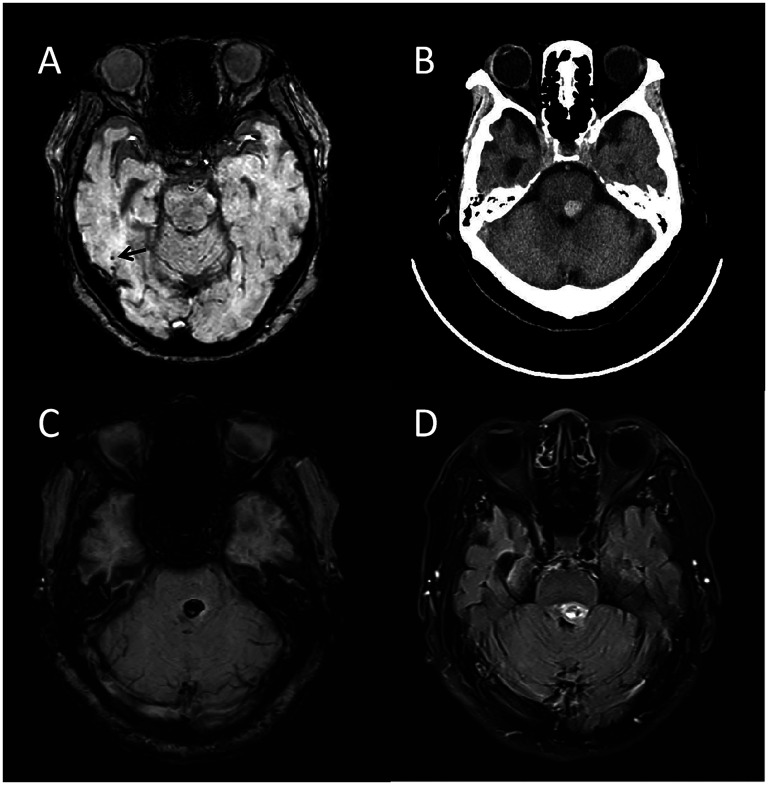
我们报告了一名76岁的轻度认知障碍患者,APOE ε3/ε3基因型患者在接受阿尔茨海默病抗淀粉样蛋白-β单克隆抗体lecanemab治疗后出现罕见的脑桥出血。她最初服用氯吡格雷和利伐沙班;利伐沙班在利卡耐单抗启动前停用。两次输注后,因心绞痛停药。随后,她接受了冠状动脉支架植入术,并接受了双重抗血小板治疗(阿司匹林和氯吡格雷)。20天后发生脑桥出血。该病例表明,即使没有APOE ε4或明显的脑血管疾病负荷,当lecanemab与强化抗血栓治疗联合使用时,出血风险也会增加。
本文章由计算机程序翻译,如有差异,请以英文原文为准。

Probable lecanemab-associated pontine hemorrhage following cardiovascular intervention: Clinical implications for lecanemab use.

Probable lecanemab-associated pontine hemorrhage following cardiovascular intervention: Clinical implications for lecanemab use.

We report a 76-year-old patient with mild cognitive impairment and APOE ε3/ε3 genotype who developed a rare pontine hemorrhage following treatment with lecanemab, an anti-amyloid-β monoclonal antibody for Alzheimer's disease. She was initially on clopidogrel and rivaroxaban; rivaroxaban was discontinued prior to lecanemab initiation. After two infusions, lecanemab was paused due to angina. She then underwent coronary stenting and was placed on dual antiplatelet therapy (aspirin and clopidogrel). Pontine hemorrhage occurred after twenty days. This case highlights heightened bleeding risk when lecanemab is combined with intensified antithrombotic therapy, even without APOE ε4 or significant cerebral small vessel disease load.

求助全文
通过发布文献求助,成功后即可免费获取论文全文。 去求助
来源期刊
CiteScore
2.80
自引率
0.00%
发文量
0
×
引用
GB/T 7714-2015
复制
MLA
复制
APA
复制
导出至
BibTeX EndNote RefMan NoteFirst NoteExpress
×
提示
您的信息不完整,为了账户安全,请先补充。
现在去补充
×
提示
您因"违规操作"
具体请查看互助需知
我知道了
×
提示
确定
请完成安全验证×
copy
已复制链接
快去分享给好友吧!
我知道了
右上角分享
点击右上角分享
0
联系我们:info@booksci.cn Book学术提供免费学术资源搜索服务,方便国内外学者检索中英文文献。致力于提供最便捷和优质的服务体验。 Copyright © 2023 布克学术 All rights reserved.
京ICP备2023020795号-1
ghs 京公网安备 11010802042870号
Book学术文献互助
Book学术文献互助群
群 号:604180095
Book学术官方微信