病例报告:一名年轻变性女性因无监督雌激素治疗而缺血性中风。

IF 2.4 Q2 OBSTETRICS & GYNECOLOGY
Frontiers in global women's health Pub Date : 2025-08-08 eCollection Date: 2025-01-01 DOI:10.3389/fgwh.2025.1588553
Lucas Blanco Insaurralde da Luz Silva, Andressa Camilo Oliveira, Anny Gabriela Marçal de Carvalho Araújo, Maria Luiza Ferri Cury, Isabela de Carvalho Florêncio, Amanda Boutrik, Franciely Hyun Su Barakat Kim, Egidi Mayara Firmino Silva, Luana Karen Dos Santos, Renata Gratão Rezende, Rodolfo Antônio Corona, Gabriel Pereira Braga
{"title":"病例报告:一名年轻变性女性因无监督雌激素治疗而缺血性中风。","authors":"Lucas Blanco Insaurralde da Luz Silva, Andressa Camilo Oliveira, Anny Gabriela Marçal de Carvalho Araújo, Maria Luiza Ferri Cury, Isabela de Carvalho Florêncio, Amanda Boutrik, Franciely Hyun Su Barakat Kim, Egidi Mayara Firmino Silva, Luana Karen Dos Santos, Renata Gratão Rezende, Rodolfo Antônio Corona, Gabriel Pereira Braga","doi":"10.3389/fgwh.2025.1588553","DOIUrl":null,"url":null,"abstract":"<p><strong>Introduction: </strong>Stroke is often associated with the elderly population, but recent epidemiological data indicate an increasing incidence among young adults. Among the risk factors, estrogenic hormone therapy (HT) has been linked to cerebrovascular events. This report presents the case of a transgender woman who suffered an ischemic stroke during the inappropriate use of HT, highlighting the importance of medical follow-up and risk assessment in gender-affirming therapy.</p><p><strong>Case description: </strong>A 30-year-old transgender female patient had been using estrogenic HT purchased on the black market (cyproterone 2 mg + ethinyl estradiol 0.035 mg/day) since the age of 17, without medical supervision. She had a history of HIV infection under irregular treatment and previously treated syphilis. She developed sudden-onset right-sided hemiparesis and homonymous hemianopsia. The initial computed tomography scan revealed no abnormalities, but magnetic resonance imaging showed ischemia in the territory of the left posterior cerebral artery. Etiological investigation with echocardiography, carotid and vertebral Doppler ultrasound, electrocardiogram, Holter monitoring, and thrombophilia panel revealed no abnormalities. The final etiological diagnosis was classified according to the TOAST criteria as \"other causes,\" attributed to the inappropriate use of estrogenic therapy. She was discharged with antiplatelet therapy, a statin, and fluoxetine, along with the discontinuation of hormone therapy and referral to transgender and vascular neurology outpatient clinics.</p><p><strong>Discussion: </strong>HT is essential in gender affirmation; however, its use is associated with increased risks of thromboembolic and cerebrovascular events. The patient in this case did not present traditional risk factors for stroke, reinforcing the suspicion of estrogen's role in the event. Studies suggest that supervised hormone therapy carries a lower risk of complications compared to indiscriminate use. Nonetheless, there are still gaps in the literature regarding the correlation between HT and stroke in transgender individuals.</p><p><strong>Conclusion: </strong>This case highlights the risks of inappropriate use of gender-affirming hormone therapy and the need for rigorous medical supervision. Given the growing access to this treatment, continuous monitoring is essential to minimize complications. Further research is needed to establish safer guidelines for the use of hormone therapy in the transgender population.</p>","PeriodicalId":73087,"journal":{"name":"Frontiers in global women's health","volume":"6 ","pages":"1588553"},"PeriodicalIF":2.4000,"publicationDate":"2025-08-08","publicationTypes":"Journal Article","fieldsOfStudy":null,"isOpenAccess":false,"openAccessPdf":"https://www.ncbi.nlm.nih.gov/pmc/articles/PMC12371930/pdf/","citationCount":"0","resultStr":"{\"title\":\"Case Report: Ischemic stroke in a young transgender woman due to unsupervised estrogen therapy.\",\"authors\":\"Lucas Blanco Insaurralde da Luz Silva, Andressa Camilo Oliveira, Anny Gabriela Marçal de Carvalho Araújo, Maria Luiza Ferri Cury, Isabela de Carvalho Florêncio, Amanda Boutrik, Franciely Hyun Su Barakat Kim, Egidi Mayara Firmino Silva, Luana Karen Dos Santos, Renata Gratão Rezende, Rodolfo Antônio Corona, Gabriel Pereira Braga\",\"doi\":\"10.3389/fgwh.2025.1588553\",\"DOIUrl\":null,\"url\":null,\"abstract\":\"<p><strong>Introduction: </strong>Stroke is often associated with the elderly population, but recent epidemiological data indicate an increasing incidence among young adults. Among the risk factors, estrogenic hormone therapy (HT) has been linked to cerebrovascular events. This report presents the case of a transgender woman who suffered an ischemic stroke during the inappropriate use of HT, highlighting the importance of medical follow-up and risk assessment in gender-affirming therapy.</p><p><strong>Case description: </strong>A 30-year-old transgender female patient had been using estrogenic HT purchased on the black market (cyproterone 2 mg + ethinyl estradiol 0.035 mg/day) since the age of 17, without medical supervision. She had a history of HIV infection under irregular treatment and previously treated syphilis. She developed sudden-onset right-sided hemiparesis and homonymous hemianopsia. The initial computed tomography scan revealed no abnormalities, but magnetic resonance imaging showed ischemia in the territory of the left posterior cerebral artery. Etiological investigation with echocardiography, carotid and vertebral Doppler ultrasound, electrocardiogram, Holter monitoring, and thrombophilia panel revealed no abnormalities. The final etiological diagnosis was classified according to the TOAST criteria as \\\"other causes,\\\" attributed to the inappropriate use of estrogenic therapy. She was discharged with antiplatelet therapy, a statin, and fluoxetine, along with the discontinuation of hormone therapy and referral to transgender and vascular neurology outpatient clinics.</p><p><strong>Discussion: </strong>HT is essential in gender affirmation; however, its use is associated with increased risks of thromboembolic and cerebrovascular events. The patient in this case did not present traditional risk factors for stroke, reinforcing the suspicion of estrogen's role in the event. Studies suggest that supervised hormone therapy carries a lower risk of complications compared to indiscriminate use. Nonetheless, there are still gaps in the literature regarding the correlation between HT and stroke in transgender individuals.</p><p><strong>Conclusion: </strong>This case highlights the risks of inappropriate use of gender-affirming hormone therapy and the need for rigorous medical supervision. Given the growing access to this treatment, continuous monitoring is essential to minimize complications. Further research is needed to establish safer guidelines for the use of hormone therapy in the transgender population.</p>\",\"PeriodicalId\":73087,\"journal\":{\"name\":\"Frontiers in global women's health\",\"volume\":\"6 \",\"pages\":\"1588553\"},\"PeriodicalIF\":2.4000,\"publicationDate\":\"2025-08-08\",\"publicationTypes\":\"Journal Article\",\"fieldsOfStudy\":null,\"isOpenAccess\":false,\"openAccessPdf\":\"https://www.ncbi.nlm.nih.gov/pmc/articles/PMC12371930/pdf/\",\"citationCount\":\"0\",\"resultStr\":null,\"platform\":\"Semanticscholar\",\"paperid\":null,\"PeriodicalName\":\"Frontiers in global women's health\",\"FirstCategoryId\":\"1085\",\"ListUrlMain\":\"https://doi.org/10.3389/fgwh.2025.1588553\",\"RegionNum\":0,\"RegionCategory\":null,\"ArticlePicture\":[],\"TitleCN\":null,\"AbstractTextCN\":null,\"PMCID\":null,\"EPubDate\":\"2025/1/1 0:00:00\",\"PubModel\":\"eCollection\",\"JCR\":\"Q2\",\"JCRName\":\"OBSTETRICS & GYNECOLOGY\",\"Score\":null,\"Total\":0}","platform":"Semanticscholar","paperid":null,"PeriodicalName":"Frontiers in global women's health","FirstCategoryId":"1085","ListUrlMain":"https://doi.org/10.3389/fgwh.2025.1588553","RegionNum":0,"RegionCategory":null,"ArticlePicture":[],"TitleCN":null,"AbstractTextCN":null,"PMCID":null,"EPubDate":"2025/1/1 0:00:00","PubModel":"eCollection","JCR":"Q2","JCRName":"OBSTETRICS & GYNECOLOGY","Score":null,"Total":0}
引用次数: 0

摘要

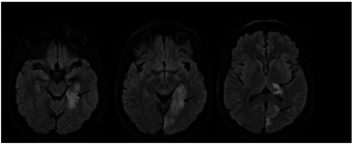
脑卒中通常与老年人有关,但最近的流行病学数据表明,年轻人的发病率正在增加。在危险因素中,雌激素治疗(HT)与脑血管事件有关。本报告介绍了一名变性妇女在不适当使用激素治疗期间遭受缺血性中风的病例,强调了在性别肯定治疗中医疗随访和风险评估的重要性。病例描述:一名30岁的变性女性患者从17岁开始在没有医疗监督的情况下使用黑市购买的雌激素激素(环丙孕酮2 mg +炔雌醇0.035 mg/天)。她有不定期治疗的HIV感染史,并曾治疗过梅毒。她出现了突发性右侧偏瘫和同质性偏盲。最初的计算机断层扫描未发现异常,但磁共振成像显示左侧大脑后动脉区域缺血。病因调查的超声心动图,颈动脉和椎动脉多普勒超声,心电图,动态心电图监测,和亲血栓症面板显示没有异常。最终的病因诊断根据TOAST标准归类为“其他原因”,归因于不适当使用雌激素治疗。她出院时接受了抗血小板治疗、他汀类药物和氟西汀,同时停止激素治疗并转诊到跨性别和血管神经病学门诊。讨论:HT在性别肯定中是必不可少的;然而,它的使用与血栓栓塞和脑血管事件的风险增加有关。在这个病例中,患者没有表现出传统的中风危险因素,这加强了对雌激素在该事件中所起作用的怀疑。研究表明,与滥用相比,在监督下进行激素治疗的并发症风险较低。尽管如此,关于跨性别人群中HT与中风之间的相关性,文献中仍然存在空白。结论:本病例强调了不当使用性别确认激素治疗的风险和严格医疗监督的必要性。鉴于获得这种治疗的机会越来越多,持续监测对于尽量减少并发症至关重要。需要进一步的研究来建立在跨性别人群中使用激素治疗的更安全的指南。
本文章由计算机程序翻译,如有差异,请以英文原文为准。

Case Report: Ischemic stroke in a young transgender woman due to unsupervised estrogen therapy.

Case Report: Ischemic stroke in a young transgender woman due to unsupervised estrogen therapy.

Introduction: Stroke is often associated with the elderly population, but recent epidemiological data indicate an increasing incidence among young adults. Among the risk factors, estrogenic hormone therapy (HT) has been linked to cerebrovascular events. This report presents the case of a transgender woman who suffered an ischemic stroke during the inappropriate use of HT, highlighting the importance of medical follow-up and risk assessment in gender-affirming therapy.

Case description: A 30-year-old transgender female patient had been using estrogenic HT purchased on the black market (cyproterone 2 mg + ethinyl estradiol 0.035 mg/day) since the age of 17, without medical supervision. She had a history of HIV infection under irregular treatment and previously treated syphilis. She developed sudden-onset right-sided hemiparesis and homonymous hemianopsia. The initial computed tomography scan revealed no abnormalities, but magnetic resonance imaging showed ischemia in the territory of the left posterior cerebral artery. Etiological investigation with echocardiography, carotid and vertebral Doppler ultrasound, electrocardiogram, Holter monitoring, and thrombophilia panel revealed no abnormalities. The final etiological diagnosis was classified according to the TOAST criteria as "other causes," attributed to the inappropriate use of estrogenic therapy. She was discharged with antiplatelet therapy, a statin, and fluoxetine, along with the discontinuation of hormone therapy and referral to transgender and vascular neurology outpatient clinics.

Discussion: HT is essential in gender affirmation; however, its use is associated with increased risks of thromboembolic and cerebrovascular events. The patient in this case did not present traditional risk factors for stroke, reinforcing the suspicion of estrogen's role in the event. Studies suggest that supervised hormone therapy carries a lower risk of complications compared to indiscriminate use. Nonetheless, there are still gaps in the literature regarding the correlation between HT and stroke in transgender individuals.

Conclusion: This case highlights the risks of inappropriate use of gender-affirming hormone therapy and the need for rigorous medical supervision. Given the growing access to this treatment, continuous monitoring is essential to minimize complications. Further research is needed to establish safer guidelines for the use of hormone therapy in the transgender population.

求助全文
通过发布文献求助,成功后即可免费获取论文全文。 去求助
来源期刊
CiteScore
3.70
自引率
0.00%
发文量
0
审稿时长
13 weeks
×
引用
GB/T 7714-2015
复制
MLA
复制
APA
复制
导出至
BibTeX EndNote RefMan NoteFirst NoteExpress
×
提示
您的信息不完整,为了账户安全,请先补充。
现在去补充
×
提示
您因"违规操作"
具体请查看互助需知
我知道了
×
提示
确定
请完成安全验证×
copy
已复制链接
快去分享给好友吧!
我知道了
右上角分享
点击右上角分享
0
联系我们:info@booksci.cn Book学术提供免费学术资源搜索服务,方便国内外学者检索中英文文献。致力于提供最便捷和优质的服务体验。 Copyright © 2023 布克学术 All rights reserved.
京ICP备2023020795号-1
ghs 京公网安备 11010802042870号
Book学术文献互助
Book学术文献互助群
群 号:604180095
Book学术官方微信