慢性增生性念珠菌病——Secukinumab在口腔中的不良事件:1例报告和文献复习。

IF 3 Q2 MEDICINE, RESEARCH & EXPERIMENTAL
Ana Glavina, Bruno Špiljak, Merica Glavina Durdov, Ivan Milić, Marija Ana Perko, Dora Mešin Delić, Liborija Lugović-Mihić
{"title":"慢性增生性念珠菌病——Secukinumab在口腔中的不良事件:1例报告和文献复习。","authors":"Ana Glavina, Bruno Špiljak, Merica Glavina Durdov, Ivan Milić, Marija Ana Perko, Dora Mešin Delić, Liborija Lugović-Mihić","doi":"10.3390/diseases13080243","DOIUrl":null,"url":null,"abstract":"<p><p>Secukinumab (SEC) is a recombinant, fully human monoclonal antibody that is selective for interleukin-17A (IL-17A). SEC may increase the risk of developing infections such as oral herpes and oral candidiasis. The aim of this case report and literature review was to describe chronic hyperplastic candidiasis (CHC) in a patient with psoriasis (PsO) and psoriatic arthritis (PsA) treated with SEC. CHC is a rare and atypical clinical entity. A definitive diagnosis requires biopsy of the oral mucosa for histopathological diagnosis (PHD). The differential diagnosis includes hairy tongue, hairy leukoplakia, oral lichen planus (OLP), oral lichenoid reaction (OLR), leukoplakia, frictional keratosis, morsication, oral psoriasis, syphilis, and oral lesions associated with coronavirus disease (COVID-19). In addition to the usual factors (xerostomia, smoking, antibiotics, vitamin deficiency, immunosuppression, comorbidities), the new biological therapies/immunotherapies are a predisposing factor for oral candidiasis. The therapeutic approach must be multidisciplinary and in consultation with a clinical immunologist. Dentists and specialists (oral medicine, dermatologists, rheumatologists) must be familiar with the oral adverse events of the new biological therapies. Simultaneous monitoring of patients by clinical immunology and oral medicine specialists is crucial for timely diagnosis and therapeutic intervention to avoid possible adverse events and improve quality of life (QoL).</p>","PeriodicalId":72832,"journal":{"name":"Diseases (Basel, Switzerland)","volume":"13 8","pages":""},"PeriodicalIF":3.0000,"publicationDate":"2025-08-03","publicationTypes":"Journal Article","fieldsOfStudy":null,"isOpenAccess":false,"openAccessPdf":"https://www.ncbi.nlm.nih.gov/pmc/articles/PMC12385293/pdf/","citationCount":"0","resultStr":"{\"title\":\"Chronic Hyperplastic Candidiasis-An Adverse Event of Secukinumab in the Oral Cavity: A Case Report and Literature Review.\",\"authors\":\"Ana Glavina, Bruno Špiljak, Merica Glavina Durdov, Ivan Milić, Marija Ana Perko, Dora Mešin Delić, Liborija Lugović-Mihić\",\"doi\":\"10.3390/diseases13080243\",\"DOIUrl\":null,\"url\":null,\"abstract\":\"<p><p>Secukinumab (SEC) is a recombinant, fully human monoclonal antibody that is selective for interleukin-17A (IL-17A). SEC may increase the risk of developing infections such as oral herpes and oral candidiasis. The aim of this case report and literature review was to describe chronic hyperplastic candidiasis (CHC) in a patient with psoriasis (PsO) and psoriatic arthritis (PsA) treated with SEC. CHC is a rare and atypical clinical entity. A definitive diagnosis requires biopsy of the oral mucosa for histopathological diagnosis (PHD). The differential diagnosis includes hairy tongue, hairy leukoplakia, oral lichen planus (OLP), oral lichenoid reaction (OLR), leukoplakia, frictional keratosis, morsication, oral psoriasis, syphilis, and oral lesions associated with coronavirus disease (COVID-19). In addition to the usual factors (xerostomia, smoking, antibiotics, vitamin deficiency, immunosuppression, comorbidities), the new biological therapies/immunotherapies are a predisposing factor for oral candidiasis. The therapeutic approach must be multidisciplinary and in consultation with a clinical immunologist. Dentists and specialists (oral medicine, dermatologists, rheumatologists) must be familiar with the oral adverse events of the new biological therapies. Simultaneous monitoring of patients by clinical immunology and oral medicine specialists is crucial for timely diagnosis and therapeutic intervention to avoid possible adverse events and improve quality of life (QoL).</p>\",\"PeriodicalId\":72832,\"journal\":{\"name\":\"Diseases (Basel, Switzerland)\",\"volume\":\"13 8\",\"pages\":\"\"},\"PeriodicalIF\":3.0000,\"publicationDate\":\"2025-08-03\",\"publicationTypes\":\"Journal Article\",\"fieldsOfStudy\":null,\"isOpenAccess\":false,\"openAccessPdf\":\"https://www.ncbi.nlm.nih.gov/pmc/articles/PMC12385293/pdf/\",\"citationCount\":\"0\",\"resultStr\":null,\"platform\":\"Semanticscholar\",\"paperid\":null,\"PeriodicalName\":\"Diseases (Basel, Switzerland)\",\"FirstCategoryId\":\"1085\",\"ListUrlMain\":\"https://doi.org/10.3390/diseases13080243\",\"RegionNum\":0,\"RegionCategory\":null,\"ArticlePicture\":[],\"TitleCN\":null,\"AbstractTextCN\":null,\"PMCID\":null,\"EPubDate\":\"\",\"PubModel\":\"\",\"JCR\":\"Q2\",\"JCRName\":\"MEDICINE, RESEARCH & EXPERIMENTAL\",\"Score\":null,\"Total\":0}","platform":"Semanticscholar","paperid":null,"PeriodicalName":"Diseases (Basel, Switzerland)","FirstCategoryId":"1085","ListUrlMain":"https://doi.org/10.3390/diseases13080243","RegionNum":0,"RegionCategory":null,"ArticlePicture":[],"TitleCN":null,"AbstractTextCN":null,"PMCID":null,"EPubDate":"","PubModel":"","JCR":"Q2","JCRName":"MEDICINE, RESEARCH & EXPERIMENTAL","Score":null,"Total":0}
引用次数: 0

摘要

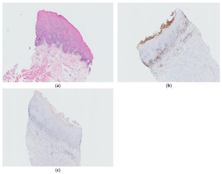
Secukinumab (SEC)是一种重组的全人源单克隆抗体,对白细胞介素- 17a (IL-17A)具有选择性。SEC可能会增加感染的风险,如口腔疱疹和口腔念珠菌病。本病例报告和文献回顾的目的是描述银屑病(PsO)和银屑病关节炎(PsA)患者的慢性增生性念珠菌病(CHC)。CHC是一种罕见的非典型临床实体。明确的诊断需要对口腔黏膜进行组织病理学诊断(PHD)。鉴别诊断包括舌毛、毛状白斑、口腔扁平苔藓(OLP)、口腔类地衣反应(OLR)、白斑、摩擦性角化病、摩痕、口腔银屑病、梅毒和与冠状病毒病(COVID-19)相关的口腔病变。除了常见的因素(口干、吸烟、抗生素、维生素缺乏、免疫抑制、合并症)外,新的生物疗法/免疫疗法是口腔念珠菌病的易感因素。治疗方法必须是多学科的,并与临床免疫学家协商。牙医和专家(口腔医学,皮肤科医生,风湿病学家)必须熟悉新的生物疗法的口腔不良事件。临床免疫学和口腔医学专家对患者的同时监测对于及时诊断和治疗干预至关重要,以避免可能的不良事件和提高生活质量(QoL)。
本文章由计算机程序翻译,如有差异,请以英文原文为准。

Chronic Hyperplastic Candidiasis-An Adverse Event of Secukinumab in the Oral Cavity: A Case Report and Literature Review.

Chronic Hyperplastic Candidiasis-An Adverse Event of Secukinumab in the Oral Cavity: A Case Report and Literature Review.

Chronic Hyperplastic Candidiasis-An Adverse Event of Secukinumab in the Oral Cavity: A Case Report and Literature Review.

Chronic Hyperplastic Candidiasis-An Adverse Event of Secukinumab in the Oral Cavity: A Case Report and Literature Review.

Secukinumab (SEC) is a recombinant, fully human monoclonal antibody that is selective for interleukin-17A (IL-17A). SEC may increase the risk of developing infections such as oral herpes and oral candidiasis. The aim of this case report and literature review was to describe chronic hyperplastic candidiasis (CHC) in a patient with psoriasis (PsO) and psoriatic arthritis (PsA) treated with SEC. CHC is a rare and atypical clinical entity. A definitive diagnosis requires biopsy of the oral mucosa for histopathological diagnosis (PHD). The differential diagnosis includes hairy tongue, hairy leukoplakia, oral lichen planus (OLP), oral lichenoid reaction (OLR), leukoplakia, frictional keratosis, morsication, oral psoriasis, syphilis, and oral lesions associated with coronavirus disease (COVID-19). In addition to the usual factors (xerostomia, smoking, antibiotics, vitamin deficiency, immunosuppression, comorbidities), the new biological therapies/immunotherapies are a predisposing factor for oral candidiasis. The therapeutic approach must be multidisciplinary and in consultation with a clinical immunologist. Dentists and specialists (oral medicine, dermatologists, rheumatologists) must be familiar with the oral adverse events of the new biological therapies. Simultaneous monitoring of patients by clinical immunology and oral medicine specialists is crucial for timely diagnosis and therapeutic intervention to avoid possible adverse events and improve quality of life (QoL).

求助全文
通过发布文献求助,成功后即可免费获取论文全文。 去求助
来源期刊
CiteScore
0.80
自引率
0.00%
发文量
0
审稿时长
6 weeks
×
引用
GB/T 7714-2015
复制
MLA
复制
APA
复制
导出至
BibTeX EndNote RefMan NoteFirst NoteExpress
×
提示
您的信息不完整,为了账户安全,请先补充。
现在去补充
×
提示
您因"违规操作"
具体请查看互助需知
我知道了
×
提示
确定
请完成安全验证×
copy
已复制链接
快去分享给好友吧!
我知道了
右上角分享
点击右上角分享
0
联系我们:info@booksci.cn Book学术提供免费学术资源搜索服务,方便国内外学者检索中英文文献。致力于提供最便捷和优质的服务体验。 Copyright © 2023 布克学术 All rights reserved.
京ICP备2023020795号-1
ghs 京公网安备 11010802042870号
Book学术文献互助
Book学术文献互助群
群 号:604180095
Book学术官方微信